Parodontologie 21.02.2011
Nekrotisierende Parodontalerkrankungen
Nekrotisierende Parodontalerkrankungen nehmen eine Sonderstellung unter den Erkrankungen des Zahnhalteapparates ein. Sie stellen schwerwiegende Infektionen in der Mundhöhle dar, die ein rasches therapeutisches Eingreifen erfordern, da unbehandelt innerhalb kurzer Zeit ausgedehnte irreversible Schäden am Parodont entstehen können. Während die klinischen Symptome leicht zu diagnostizieren sind, ist die Ätiopathogenese dieser Erkrankungen nur sehr unvollständig erforscht. Ziel dieser Übersicht ist es, die epidemiologischen, ätiologischen und therapeutischen Aspekte der nekrotisierenden Parodontopathien näher zu erläutern und die klinische Symptomatik anhand diverser klinischer Bilder im Detail darzustellen.
Die Tatsache, dass es sich bei den nekrotisierenden Parodontalerkrankungen sowohl in klinischer als auch in ätiologischer Hinsicht um einen speziellen Formenkreis handelt, zeigt sich bereits in der aktuellen Nomenklatur parodontaler Erkrankungen, welche diese Parodontopathien einer eigenen Kategorie „Nekrotisierende Parodontalerkrankungen“ zuordnet. Die Nekrotisierende ulzerierende Gingivitis (NUG) und die Nekrotisierende ulzerierende Parodontitis (NUP) stellen zwei unterschiedliche Ausprägungsformen derselben Grunderkrankung dar. Die Ausdehnung einer NUG ist definitionsgemäß auf die Gingiva beschränkt, während bei der NUP darüber hinaus auch der Zahnhalteapparat betroffen ist. Beide Krankheitsformen weisen spezifische Krankheitsmerkmale auf, die sie von gewöhnlichen Gingivitiden oder Parodontitiden unterscheiden: So sind die Kardinalsymptome der NUG und der NUP akute Schmerzen, interdentale Nekrosen und Ulzerationen. Ausgeprägte Blutungen im Bereich der Gingiva können spontan und ohne Berührung auftreten.
Die Diagnose einer NUP oder NUG wird in der Regel rein klinisch aufgrund der zuvor erwähnten spezifischen Krankheitssymptome gestellt. Sowohl das Auftreten einer NUG als auch einer NUP wird häufig in Zusammenhang mit einer mutmaßlich systemisch bedingten Störung der Körperabwehr gegenüber bakterieller Infektionen beobachtet.
Epidemiologie und Ätiologie
Nekrotisierende Erkrankungen in der Mundhöhle wurden bereits im 4. Jahrhundert vor Christus erstmals in der Literatur erwähnt. Während der beiden Weltkriege des vergangenen Jahrhunderts wurden häufig nekrotisierende Parodontalerkrankungen bei Soldaten beobachtet, die unter extremem psychischen Stress und katastrophalen Hygienebedingungen in Schützengräben ausharren mussten. Seit dem 2. Weltkrieg sank die Prävalenz dieser in der angloamerikanischen Literatur auch „Trench Mouth“ (Schützengraben-Mund) genannten Erkrankungen deutlich ab. Sie wird mittlerweile in entwickelten Industrienationen nur noch selten beobachtet (Prävalenz etwa 0,5 % der Bevölkerung). In Entwicklungsländern ist die Prävalenz hingegen immer noch deutlich höher. NUG und NUP treten dort, wie die ätiologisch verwandte Noma (Cancrum oris) häufig bereits im Kindesalter auf, ein Befund, der in entwickelten Ländern praktisch nicht vorkommt.

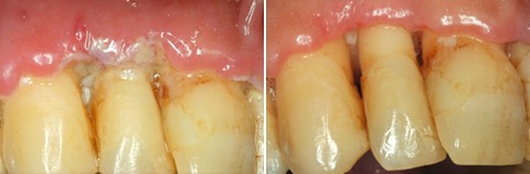
Abb. links NUG einer 37-jährigen Patientin mit interdentaler Nekrose in Regio 32/33. Anamnestisch ergab sich ein Alkoholabusus bei einer ansonsten gesunden Patientin.
Abb. rechts Kontrolle fünf Tage nach mechanisch-medikamentöser Initialtherapie: deutlicher Rückgang der klinischen Entzündungszeichen und Verlust der interdentalen Papille in Regio 32/33.
Als mikrobiologische Ursache scheinen eine anaerobe Mischflora mit Treponema- und Selenomonas-Stämmen sowie Prevotella intermedia, Porphyromonas gingivalis und Fusobacterium-Stämme für die Infektion mitverantwortlich zu sein. In der Literatur wird darüber hinaus diskutiert, ob möglicherweise auch Cytomegalie-Viren an der Entstehung nekrotisierender Parodontalerkrankungen beteiligt sein könnten. Prinzipiell werden Nekrotisierende Parodontopathien in allen Altersgruppen beobachtet, der Häufigkeitsgipfel der Erkrankungen liegt jedoch im jungen Erwachsenenalter. Diverse klinische Untersuchungen zeigten, dass das Auftreten von NUG/NUP von folgenden Risikofaktoren gefördert wird:
1. Störungen der Funktionsfähigkeit des Immunsystems
Da eine eingeschränkte Immunabwehr ein prädisponierender Risikofaktor für die NUG/NUP darstellt, sind HIV-positive Patienten häufiger von der Erkrankung betroffen. Aber auch weitere systemische Erkrankungen mit negativem Einfluss auf die Funktionsfähigkeit des Immunsystems, wie beispielsweise leukozytäre Defekte einschließlich der Leukämien stehen im Zusammenhang mit dem vermehrten Auftreten nekrotisierender Parodontalerkrankungen.
2. Psychosozialer Stress
Die Ergebnisse vieler epidemiologischer Studien belegen, dass nekrotisierende Parodontalerkrankungen häufig dann auftreten, wenn die Patienten starkem psychischen Stress ausgesetzt sind: Es zeigte sich, dass frisch eingezogene Rekruten, Studenten während Examensprüfungen, ebenso wie Patienten mit Depressionen und anderen psychischen Erkrankungen für NUG/NUP anfälliger sind als psychisch unbelastete Kontrollpersonen. Dabei kann psychischer Stress auf vielfältige Weise die Immunabwehr beeinflussen: Durch erhöhte Kortikosteroid- und Katecholaminblutspiegel wird die Funktion des Immunsystems maßgeblich modifiziert. Dies kann beispielsweise zu einer reduzierten Mikrozirkulation im Bereich der Gingiva sowie zu einer reduzierten Speichelproduktion führen. Darüber hinaus führen erhöhte Kortikosteroid- und Katecholaminkonzentrationen im Blutserum zur Unterdrückung einer Vielzahl neutrophiler und leukozytärer Funktionen, was das Eindringen von Bakterien in das Körpergewebe hinein begünstigt.
3. Tabakkonsum
Rauchen wird seit vielen Jahren in der einschlägigen Literatur als Risikofaktor für die Entstehung nekrotisierender Parodontalerkrankungen angeführt. Nikotinabusus ist auch für die Entstehung zahlreicher anderer Formen parodontaler Erkrankungen ein nachgewiesener Risikofaktor. Klinische Studien zeigten, dass unter den untersuchten Individuen mit manifester NUG/NUP zwischen 94 und 98 % aktive Raucher waren. Die Anzahl der täglich konsumierten Zigaretten scheint ebenfalls eine bedeutsame Rolle für die Entstehung und den Verlauf der NUG/NUP zu spielen: 41 % der in einer Studie untersuchten Patienten mit NUG/NUP rauchten mehr als 20 Zigaretten pro Tag. Nikotin und die zahlreichen anderen Bestandteile im Tabakrauch schädigen auf vielfältige Weise die Funktion des Immunsystems. Der genaue Pathomechanismus des Einflusses des Rauchens auf die Entstehung und die Progression der NUG/NUP ist jedoch im Detail bislang weitgehend unerforscht.
4. Mangelnde Mundhygiene
Zahlreiche Studien belegen den Einfluss schlechter Mundhygiene auf das Auftreten nekrotisierender Parodontalerkrankungen: Folglich entstehen NUG/NUP in der Regel auf dem Boden einer bereits bestehenden chronischen Gingivitis. Es muss jedoch darauf hingewiesen werden, dass die bei NUG/NUP-Patienten häufig sichtbare starke Plaqueakkumulation auch die Folge einer erst aufgrund der Schmerzhaftigkeit der Erkrankung unterlassenen Mundhygiene darstellen kann.
5. Mangelernährung
Protein- und vitamindefiziente Fehl- und Mangelernährung ist ein Risikofaktor, der in den Industrienationen nur eine untergeordnete Rolle spielt. In Ländern der Dritten Welt jedoch ist dies ein ganz wesentlicher Faktor, der auch auf die Prognose dieser Parodontalerkrankungen einen entscheidenden Einfluss hat.
Seitenanfang
Symptomatik
Im Unterschied zu anderen parodontalen Erkrankungen beginnt die NUG interdental mit starken Nekrosen der Papillen. Dieses Symptom wird in der Literatur oft als „ausgestanzte Papillen“ beschrieben. Begleitend kommt es zu Blutungen und starken Schmerzen in den betroffenen Arealen. Diese Schmerzen sind ein wesentliches Unterscheidungsmerkmal gegenüber anderen Parodontalerkrankungen, da diese in der Regel schmerzlos ablaufen. Teilweise sind die Beschwerden bei NUG-Patienten so stark, dass keine feste Nahrung mehr gekaut werden kann und die Mundhygiene nicht mehr adäquat durchführbar ist. Wenn die Nahrungsaufnahme und die Zahnreinigung über einen längeren Zeitraum ausbleiben, kann es zur Bildung von gräulich-gelben Belägen auf den Weichgeweben kommen. Diese Beläge, welche die Ulzerationen bedecken können, bestehen aus Fibrin, nekrotischem Gewebe und Bakterien. Sie sind leicht zu entfernen, können dabei aber zu Spontanblutungen und Schmerzen führen. Mit den gingivalen Läsionen können weitere Symptome wie Foetor ex ore, Lymphadenopathie, reduzierter Allgemeinzustand und Fieber vergesellschaftet sein. In der Literatur wird auch ein metallischer Geschmack als Symptom einer NUG beschrieben. Diese Begleiterscheinungen müssen jedoch nicht in jedem Fall vorhanden sein und sind vom Ausmaß und der Progression der Erkrankung abhängig.

Abb. links NUP in Regio 13-11 bei einem 40-jährigen alkohol- und drogenabhängigen Patienten, der unmittelbar vor der Einweisung in eine Entzugseinrichtung stand. Allgemeinmedizinisch war der Patient gesund.
Abb. rechts Kontrolle elf Tage nach kombiniert mechanisch-medikamentöser Therapie: Interdentale Krater im betroffenen Bereich deutlich erkennbar.
Klinisch unterscheidet sich die Nekrotisierende Parodontitis (NUP) von der NUG durch ein Übergreifen der nekrotisierenden Entzündung auf alle Strukturen des Zahnhalteapparates. Es kommt also zu Nekrosen des gingivalen Gewebes, des Desmodonts und des Alveolarknochens. Der Verlust an Weich- und Hartgewebe kann bis zur Bildung interdentaler Krater fortschreiten, welche nicht nur selbst nach Abheilung eine adäquate häusliche Mundhygiene stark erschweren, sondern insbesondere im Frontzahnbereich zu starken ästhetischen Beeinträchtigungen führen können. Besonders ausgedehnte Entzündungen im Alveolarknochen können darüber hinaus zu Knochensequestrationen führen.
Eine NUG kann unter Umständen fließend in eine NUP übergehen. Darüber hinaus können innerhalb der Mundhöhle unterschiedliche Stadien der Entzündung nebeneinander bestehen. Eine NUG kann zudem auch ihren Ausgang in einem bereits von chronischer oder aggressiver Parodontitis betroffenen Gebiss nehmen, was unter Umständen eine eindeutige Diagnosestellung erschwert.
Therapeutische Maßnahmen
Die Therapie nekrotisierender Parodontalerkrankungen gliedert sich in die Therapie der akuten Entzündungssymptomatik und die nachfolgende Erhaltungs- und Präventionstherapie auf. Sie unterscheidet sich daher im Wesentlichen nicht von der Therapie anderer Parodontopathien. Ziel der Akuttherapie ist, die rasche Eindämmung der Krankheitsaktivität um ein weiteres Ausbreiten der Gewebsnekrosen zu verhindern und somit auch die Schmerzsymptomatik zu beseitigen. Die Keimelimination erfolgt mechanisch und eventuell medikamentös. Therapie der Wahl ist eine Entfernung aller harten und weichen Auflagerungen von den Zahnoberflächen unter Lokalanästhesie. Diese Reinigung kann mit Handinstrumenten und geeigneten Ultraschallinstrumenten erfolgen. Eine chirurgische Intervention über die eventuelle Drainage parodontaler Taschenabszesse hinaus ist in der Regel nicht sinnvoll. Um eine weitere lokale Gewebszerstörung rasch zu unterbinden, empfiehlt es sich, auf die betroffenen Gingivaareale ein lokales Kortikosteroidpräparat in pastöser Form (Dontisolon Mundheilpaste, Volon-A Salbe o.ä.) aufzutragen, da das darin enthaltene Kortisol die überschießende Freisetzung gewebsauflösender Enzyme und Botenstoffe durch die Zellen des Immunsystems rasch unterbindet. Die akuten Schmerzen klingen nach der Initialtherapie normalerweise schnell ab. Unterstützend kann eventuell ein gängiges Analgetikum (Paracetamol, Ibuprofen) verordnet werden.
Der Einsatz von Antibiotika zusätzlich zur mechanischen Reinigung der Zahnoberflächen kann bei stark ausgeprägten nekrotisierenden Parodontalerkrankungen sinnvoll sein. Bewährt hat sich die oral systemische Gabe des für das anaerob gramnegative Keimspektrum gut wirksamen Metronidazols in einer Dosierung von dreimal täglich 250 mg über sieben Tage hinweg. Da die häusliche Mundhygiene zunächst weiterhin eingeschränkt ist, empfiehlt sich unterstützend zur mechanisch-medikamentösen Therapie täglich eine zwei- bis dreimalige Spülung der Mundhöhle mit 0,1- bis 0,2%igen Chlorhexidindigluconatlösungen durch den Patienten selbst.
Bei klinisch milderen oder lokalisierten Formen einer NUG ohne allgemeinmedizinisch relevante Symptome wie Fieber oder Lymphadenopathie kann auf den Einsatz systemischer Antibiotika verzichtet werden. Die Applikation lokaler Antibiotikapräparate wird bei nekrotisierenden Parodontalerkrankungen nicht empfohlen, da diese Medikamente gegen im Gewebe vorliegende Keime nur eine ungenügende Wirkung entfalten können. Vor allem bei Patienten mit eingeschränkter Immunabwehr darf die Gefahr einer sich ausbreitenden opportunistischen Infektion wie beispielsweise einer oralen Candidiasis im Zuge der systemischen Antibiotikagabe nicht unterschätzt werden. In diesen Fällen empfiehlt es sich, die Antibiotikatherapie mit dem behandelnden Internisten abzusprechen, da eventuell zusätzlich Antimykotika verordnet werden müssen.
Da nekrotisierende Parodontalerkrankungen häufig ein Frühsymptom allgemeinmedizinischer Erkrankungen wie beispielsweise einer HIV-Infektion sein können, empfiehlt sich aus medizinischer Sicht immer eine internistische Abklärung. Diese Zusammenhänge gilt es auch dem Patienten zu erläutern. An die oben beschriebene Akuttherapie schließt sich die parodontale Erhaltungstherapie an, welche in wesentlichen Zügen der Erhaltungstherapie anderer Parodontopathien entspricht.
Autorin: Dr. Simone Veihelmann