Strahlend weiße Zähne sind für viele Patienten mehr als nur ein Schönheitsideal – sie gelten als Symbol für Gesundheit und Selbstbewusstsein und Verfärbungen können pathologisch sein. Kein Wunder also, dass die Zahnaufhellung in vielen Praxen längst ein fester Bestandteil des Angebots ist. Doch in den letzten Monaten sorgten widersprüchliche Herstellerpublikationen für Irritationen und Verunsicherung.
Strahlend weiße Zähne sind für viele Patienten mehr als nur ein Schönheitsideal – sie gelten als Symbol für Gesundheit und Selbstbewusstsein und Verfärbungen können pathologisch sein. Kein Wunder also, dass die Zahnaufhellung in vielen Praxen längst ein fester Bestandteil des Angebots ist. Doch in den letzten Monaten sorgten widersprüchliche Herstellerpublikationen für Irritationen und Verunsicherung.
Patienten ein schönes Lächeln zu ermöglichen, ist das Ziel und der Anspruch der ästhetischen Zahnheilkunde. Was man mit kosmetischer Zahnmedizin leisten...
Patienten ein schönes Lächeln zu ermöglichen, ist das Ziel und der Anspruch der ästhetischen...
Mit dem Aligner Journal erweitert die OEMUS MEDIA AG ihr Portfolio um ein Fachmagazin, das sich vollständig der Aligner-Therapie widmet.
Mit dem Aligner Journal erweitert die OEMUS MEDIA AG ihr Portfolio um ein Fachmagazin, das...
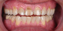
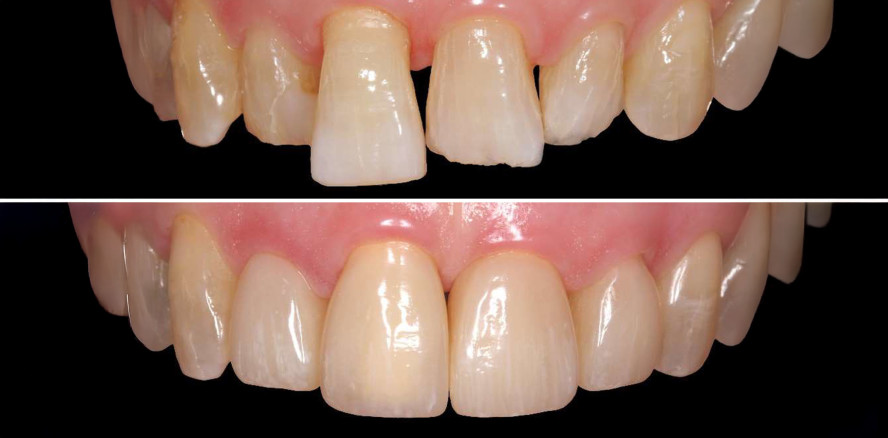
Die Restauration von frakturierten und ästhetisch beeinträchtigten mittleren Schneidezähnen ist sowohl für die Funktion als auch für das Erscheinungsbild...
Die Restauration von frakturierten und ästhetisch beeinträchtigten mittleren Schneidezähnen...
Dieser Fallbericht beschreibt eine multidisziplinäre Vorgehensweise bei einer umfassenden Gesamtrehabilitation. Es wird gleichzeitig eine zahnmedizinische...
Dieser Fallbericht beschreibt eine multidisziplinäre Vorgehensweise bei einer umfassenden...
Eine aktuelle systematische Übersichtsarbeit von Murchie, Jiwan und Edwards (2025) liefert wichtige Erkenntnisse zu den Erfolgs- und Überlebensraten...
Eine aktuelle systematische Übersichtsarbeit von Murchie, Jiwan und Edwards (2025) liefert...
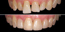
Da die Ästhetik eine wichtige Rolle für das persönliche Selbstvertrauen spielt, steigt die Nachfrage nach kosmetischen Zahnbehandlungen wie Zahnaufhellung...
Da die Ästhetik eine wichtige Rolle für das persönliche Selbstvertrauen spielt, steigt die...
Soeben ist die für dieses Jahr letzte Ausgabe der cosmetic dentistry erschienen und vernetzt funktionale mit ästhetischen Aspekten der Zahnmedizin. ZWP...
Soeben ist die für dieses Jahr letzte Ausgabe der cosmetic dentistry erschienen und vernetzt...
Die kommende ZWP 5/24 widmet sich im Schwerpunkt der „Restaurativen Zahnheilkunde“ und bietet unter anderem einen exklusiven Fachbeitrag der Würzburger...
Die kommende ZWP 5/24 widmet sich im Schwerpunkt der „Restaurativen Zahnheilkunde“ und...
Das lang ersehnte Update der S1-Handlungsempfehlungen 083-028 „Komposit im Seitenzahnbereich“ aus dem Jahr 2016 wurde in diesem Mai durch die AWMF...
Das lang ersehnte Update der S1-Handlungsempfehlungen 083-028 „Komposit im Seitenzahnbereich“...
Multiple kariöse als auch nicht kariöse Zahnhartsubstanzdefekte führen in den meisten Fällen zum Verlust der vertikalen Höhe und/oder damit verbunden...
Multiple kariöse als auch nicht kariöse Zahnhartsubstanzdefekte führen in den meisten Fällen...
Besonderes Augenmerk wird im Artikel auf digitale Tools und auf die digitale Planung gelegt. Zudem wird verdeutlicht, dass digitale Tools dazu genutzt...
Besonderes Augenmerk wird im Artikel auf digitale Tools und auf die digitale Planung gelegt....
Die zweite Ausgabe 2024 der cometic dentistry ist da und widmet sich fachübergreifend aktuellen Themen aus den Bereichen ästhetische, funktionelle und...
Die zweite Ausgabe 2024 der cometic dentistry ist da und widmet sich fachübergreifend aktuellen...
Einhergehend mit kariösen und nichtkariösen Zahnhartsubstanzdefekten zeigt sich vielmals ein Verlust an vertikaler Dimension und/oder vermehrt das Auftreten...
Einhergehend mit kariösen und nichtkariösen Zahnhartsubstanzdefekten zeigt sich vielmals...
Mit der Einführung von Mikrohybridkompositen wurden Modifikationen der Zahnform wie beispielweise das Schließen von Diastemata oder die Korrektur eines...
Mit der Einführung von Mikrohybridkompositen wurden Modifikationen der Zahnform wie beispielweise...
Dieses Fallbeispiel veranschaulicht die einfache Bisshebung mittels CEREC und einem Mittelwertartikulator. Besonderes Augenmerk liegt hierbei auf der Verwendung...
Dieses Fallbeispiel veranschaulicht die einfache Bisshebung mittels CEREC und einem Mittelwertartikulator....
Der vorliegende Fall stellt die ästhetische und funktionale Rehabilitation einer Patientin dar. Durch den Einsatz modernster keramischer Werkstoffe wurden...
Der vorliegende Fall stellt die ästhetische und funktionale Rehabilitation einer Patientin...
Amelogenesis imperfecta ist eine genetische Erkrankung, die die Entwicklung und des Zahnschmelzes beeinträchtigt. Die nötigen Behandlungsschritte zur...
Amelogenesis imperfecta ist eine genetische Erkrankung, die die Entwicklung und des Zahnschmelzes...
Da Sie der Verwendung von Google Maps nicht zustimmten, kann leider keine Karte angezeigt werden.
Haben Sie schon unseren Newsletter abonniert?
Um bei unserer Anwendung Formulare zu verwenden, benötigen wir die Zustimmung um einen Token für das Absenden zu setzen.
Datenschutz und Nutzungserlebnis
Wir übermitteln Daten an Drittanbieter, die uns helfen, unser Webangebot zu verbessern und zu finanzieren. In diesem Zusammenhang werden auch Nutzungsprofile gebildet und angereichert, auch außerhalb des Europäischen Wirtschaftsraumes. Hierfür und um bestimmte Dienste zu nachfolgend aufgeführten Zwecken verwenden zu dürfen, benötigen wir Ihre Einwilligung.
Indem Sie "Alle Cookies akzeptieren" klicken, stimmen Sie diesen (jederzeit widerruflich) zu.
Unter "Manuell auswählen" können Sie die Datenverarbeitung individuell personalisieren.
Unter "Nur notwendige akzeptieren" können Sie die Datenverarbeitung ablehnen.
Indem Sie "Speichern" klicken, stimmen Sie diesen (jederzeit widerruflich) zu.
Um Kartendaten in unserer Anwendung darzustellen, nutzen wir den Kartendienst Google Maps. Willigen Sie der Nutzung von Google Maps ein, werden ggf. personenbezogene Daten (Ihre IP-Adresse) von Google erhoben.
Einbinden von Google Maps erlauben
Einige unserer Videoinhalte (bspw. Livestream) werden über die Videoplattform Vimeo bereitgestellt.
Inhalte von Vimeo erlauben
Für ein besseres Benutzererlebnis können unsere Werbeanzeigen personalisiert werden. Um dies zu ermöglichen, wird das erstellen von Cookies vorausgesetzt. Sollten Sie diesem Dienst nicht zustimmen, werden Werbeanzeigen zufällig ausgeliefert.
Personalisierte Werbung erlauben
Um sich bei unserer Anwendung Formulare zu verwenden werden Tokens gesetzt die es uns ermöglichen Spam zu verhindern. Sollten Sie dies ausstellen, ist es Ihnen nicht mehr möglich sich bei uns anzumelden oder zu registrieren.
Anmeldeformulare absenden ermöglichen
Bei der Gestaltung unserer Anwendung benutzen wir Schriftarten von Adobe, diese werden über ein CDN geladen. Sollte Sie diesem Dienst nicht zustimmen wird die Standard Schrift des Systems benutzt. Außerdem könnte es zu Fehlern im allgemeinen Anwendungsdesign kommen.
Inhalte von Adobe erlauben
Sie können Ihre Auswahl jederzeit unter "Cookie-Einstellungen“ am Seitenende ändern.