Mit einem umfassenden Update ist soeben die aktuelle Ausgabe des Jahrbuchs Zahnerhaltung erschienen. Das Kompendium vereint die beiden Kernbereiche Endodontie und Prophylaxe und liefert auf knapp 200 Seiten ein kuratiertes Best-of aus Wissenschaft, Praxis und Industrie. Klinische Fachbeiträge, aktuelle Marktübersichten sowie Einblicke in Trends und Innovationen machen das Jahrbuch zu einem unverzichtbaren Nachschlagewerk für Zahnärzte und Praxisteams.
Mit einem umfassenden Update ist soeben die aktuelle Ausgabe des Jahrbuchs Zahnerhaltung erschienen. Das Kompendium vereint die beiden Kernbereiche Endodontie und Prophylaxe und liefert auf knapp 200 Seiten ein kuratiertes Best-of aus Wissenschaft, Praxis und Industrie. Klinische Fachbeiträge, aktuelle Marktübersichten sowie Einblicke in Trends und Innovationen machen das Jahrbuch zu einem unverzichtbaren Nachschlagewerk für Zahnärzte und Praxisteams.
Im Bereich der Zahnheilkunde resultieren Traumata häufig in Verletzungen der Frontzähne. Aber nicht nur die Soforttherapie, auch Spätfolgen von Zahnverletzungen...
Im Bereich der Zahnheilkunde resultieren Traumata häufig in Verletzungen der Frontzähne....
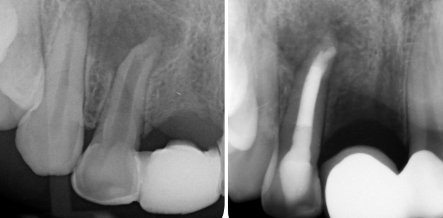
Zuverlässig auf die Arbeitslänge zu kommen und enge, gekrümmte oder sehr lange Wurzelkanäle sicher aufbereiten zu können. Der folgende Artikel soll...
Zuverlässig auf die Arbeitslänge zu kommen und enge, gekrümmte oder sehr lange Wurzelkanäle...
Dislokationsverletzungen treten je nach Richtung und Schwere der Krafteinwirkung in unterschiedlichem Ausmaß und unterschiedlicher Auswirkung auf. Dabei...
Dislokationsverletzungen treten je nach Richtung und Schwere der Krafteinwirkung in unterschiedlichem...
Die Bedeutung der Nachkontrollen und die Notwendigkeit des interdisziplinären Austausches bei der Behandlung von Traumata soll anhand des nachfolgenden...
Die Bedeutung der Nachkontrollen und die Notwendigkeit des interdisziplinären Austausches...
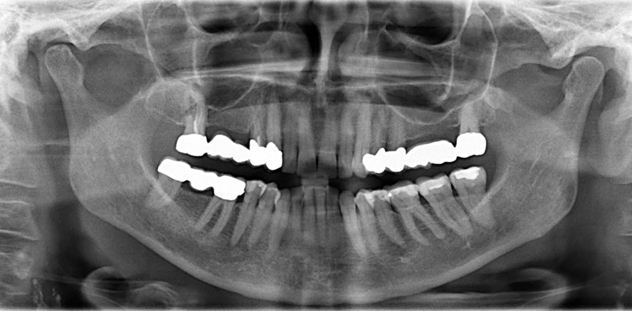
In diesem Beitrag werden die Relevanz und Erkenntnisse klinisch etablierter sowie experimenteller Möglichkeiten der Bildgebung für die zahlreichen Variationen...
In diesem Beitrag werden die Relevanz und Erkenntnisse klinisch etablierter sowie experimenteller...
Die Berliner Zahnärztin Jacqueline Krempels kombiniert ihren Behandlungsalltag mit Lehre- und Forschungszeiten. Dabei liegt ihr Fokus auf der Endodontie....
Die Berliner Zahnärztin Jacqueline Krempels kombiniert ihren Behandlungsalltag mit Lehre-...
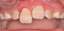
Der vorliegende Fallbericht schildert den Versuch des Zahnerhalts bei einer Kronen-Wurzel-Fraktur mittels intraalveolärer Transplantation und anschließender...
Der vorliegende Fallbericht schildert den Versuch des Zahnerhalts bei einer Kronen-Wurzel-Fraktur...
66 Prozent der Deutschen hatten bereits einen Zahnunfall, wie eine Befragung der DGET im Jahr 2023 ergeben hat. Kein seltenes Phänomen also, dennoch bestehen...
66 Prozent der Deutschen hatten bereits einen Zahnunfall, wie eine Befragung der DGET im Jahr...
Die aktuelle Ausgabe des EJ Endodontie Journal präsentiert in gewohnter Manier anschauliche Fall- und Anwenderberichte sowie wertvolle, praxisorientierte...
Die aktuelle Ausgabe des EJ Endodontie Journal präsentiert in gewohnter Manier anschauliche...
Die Aufgaben der qualifizierten Endo-Assistenz sind komplex: von der Vorbereitung des Arbeitsfeldes über die korrekte Absaug- und Abhaltetechnik bis hin...
Die Aufgaben der qualifizierten Endo-Assistenz sind komplex: von der Vorbereitung des Arbeitsfeldes...
In einer neuen Folge von #reingehört sprechen wir mit der Berliner Endodontologin Dr. Eva Dommisch. Dabei geht es um die Bedeutung und Machbarkeiten der...
In einer neuen Folge von #reingehört sprechen wir mit der Berliner Endodontologin Dr. Eva...
Ausgewählte Neuigkeiten aus der Dentalbranche sowie Wissenswertes aus der Zahnmedizin – das erwartet Sie in der aktuellen Ausgabe der Dental Tribune...
Ausgewählte Neuigkeiten aus der Dentalbranche sowie Wissenswertes aus der Zahnmedizin –...
Eine aktuelle Studie aus Nepal untersucht den „Butterfly Effect“ in unteren ersten Prämolaren und gibt Hinweise auf geschlechtsspezifische Unterschiede.
Eine aktuelle Studie aus Nepal untersucht den „Butterfly Effect“ in unteren ersten Prämolaren...
Die neue Ausgabe des EJ Endodontie Journal ist da und liefert erneut spannende Fachbeiträge und anwendungsnahe Tipps für den Praxisalltag. Leserinnen...
Die neue Ausgabe des EJ Endodontie Journal ist da und liefert erneut spannende Fachbeiträge...
Dr. Eva Dommisch erläutert, wie die Deutsche Gesellschaft für Endodontie und Traumatologie (DGET) durch innovative Forschung, gezielte Prävention und...
Dr. Eva Dommisch erläutert, wie die Deutsche Gesellschaft für Endodontie und Traumatologie...
Endodontologen agieren als Player am Gesundheitsmarkt. Sie müssen alle Marketingaktivitäten an den Bedürfnissen der Zielgruppe Patient festmachen...
Endodontologen agieren als Player am Gesundheitsmarkt. Sie müssen alle Marketingaktivitäten...
Eine neue systematische Übersichtsarbeit hat untersucht, ob das natürliche Bienenprodukt Propolis in der Endodontie Anwendung als Pulpakappungsmaterial...
Eine neue systematische Übersichtsarbeit hat untersucht, ob das natürliche Bienenprodukt...
Die Verbindung zwischen endodontischen Erkrankungen und koronaren Herzerkrankungen rückt zunehmend in den Fokus der Forschung. Die DGZMK hat zusammen...
Die Verbindung zwischen endodontischen Erkrankungen und koronaren Herzerkrankungen rückt zunehmend...
Da Sie der Verwendung von Google Maps nicht zustimmten, kann leider keine Karte angezeigt werden.
Haben Sie schon unseren Newsletter abonniert?
Um bei unserer Anwendung Formulare zu verwenden, benötigen wir die Zustimmung um einen Token für das Absenden zu setzen.
Datenschutz und Nutzungserlebnis
Wir übermitteln Daten an Drittanbieter, die uns helfen, unser Webangebot zu verbessern und zu finanzieren. In diesem Zusammenhang werden auch Nutzungsprofile gebildet und angereichert, auch außerhalb des Europäischen Wirtschaftsraumes. Hierfür und um bestimmte Dienste zu nachfolgend aufgeführten Zwecken verwenden zu dürfen, benötigen wir Ihre Einwilligung.
Indem Sie "Alle Cookies akzeptieren" klicken, stimmen Sie diesen (jederzeit widerruflich) zu.
Unter "Manuell auswählen" können Sie die Datenverarbeitung individuell personalisieren.
Unter "Nur notwendige akzeptieren" können Sie die Datenverarbeitung ablehnen.
Indem Sie "Speichern" klicken, stimmen Sie diesen (jederzeit widerruflich) zu.
Um Kartendaten in unserer Anwendung darzustellen, nutzen wir den Kartendienst Google Maps. Willigen Sie der Nutzung von Google Maps ein, werden ggf. personenbezogene Daten (Ihre IP-Adresse) von Google erhoben.
Einbinden von Google Maps erlauben
Einige unserer Videoinhalte (bspw. Livestream) werden über die Videoplattform Vimeo bereitgestellt.
Inhalte von Vimeo erlauben
Für ein besseres Benutzererlebnis können unsere Werbeanzeigen personalisiert werden. Um dies zu ermöglichen, wird das erstellen von Cookies vorausgesetzt. Sollten Sie diesem Dienst nicht zustimmen, werden Werbeanzeigen zufällig ausgeliefert.
Personalisierte Werbung erlauben
Um sich bei unserer Anwendung Formulare zu verwenden werden Tokens gesetzt die es uns ermöglichen Spam zu verhindern. Sollten Sie dies ausstellen, ist es Ihnen nicht mehr möglich sich bei uns anzumelden oder zu registrieren.
Anmeldeformulare absenden ermöglichen
Bei der Gestaltung unserer Anwendung benutzen wir Schriftarten von Adobe, diese werden über ein CDN geladen. Sollte Sie diesem Dienst nicht zustimmen wird die Standard Schrift des Systems benutzt. Außerdem könnte es zu Fehlern im allgemeinen Anwendungsdesign kommen.
Inhalte von Adobe erlauben
Sie können Ihre Auswahl jederzeit unter "Cookie-Einstellungen“ am Seitenende ändern.