Besonders durch den Einsatz moderner Materialien und digitaler Technologien in der Implantologie können sowohl Funktionalität als auch Ästhetik signifikant verbessert werden. Ob Sofortimplantation, interdisziplinäre Konzepte oder praxiserprobte Workflows. Drei Experten teilen in unserer Statement-Serie ihre Erfahrungen und Einblicke in aktuelle Entwicklungen und zeigen, wie natürlich aussehende Resultate entstehen und warum Ästhetik längst zentraler Qualitätsfaktor ist.
Besonders durch den Einsatz moderner Materialien und digitaler Technologien in der Implantologie können sowohl Funktionalität als auch Ästhetik signifikant verbessert werden. Ob Sofortimplantation, interdisziplinäre Konzepte oder praxiserprobte Workflows. Drei Experten teilen in unserer Statement-Serie ihre Erfahrungen und Einblicke in aktuelle Entwicklungen und zeigen, wie natürlich aussehende Resultate entstehen und warum Ästhetik längst zentraler Qualitätsfaktor ist.
Die Dezemberausgabe des Implantologie Journals widmet sich intensiv dem Schwerpunktthema „Implantologie & Ästhetik“. Im Fokus stehen moderne Konzepte,...
Die Dezemberausgabe des Implantologie Journals widmet sich intensiv dem Schwerpunktthema „Implantologie...
Der interdisziplinäre Forschungsverbund SIIRI bündelt Expertise aus Medizin, Ingenieurwissenschaften und Materialforschung, um Implantate sicherer zu...
Der interdisziplinäre Forschungsverbund SIIRI bündelt Expertise aus Medizin, Ingenieurwissenschaften...
Kieler Forschende verschmelzen Glas direkt zu festen Strukturen – das Verfahren eröffnet Perspektiven für nachhaltige keramische Knochen- oder Zahnimplantate...
Kieler Forschende verschmelzen Glas direkt zu festen Strukturen – das Verfahren eröffnet...
Malek Abu-Gharbieh hält zwischen Zeigefinger und Daumen einen etwa einen Zentimeter kleinen anthrazitfarbenen konischen Stift und sagt: „Das ist ein...
Malek Abu-Gharbieh hält zwischen Zeigefinger und Daumen einen etwa einen Zentimeter kleinen...
Die implantologische Chirurgie umfasst verschiedene Techniken, die darauf abzielen, den Kieferknochen optimal für den Einsatz von Implantaten vorzubereiten....
Die implantologische Chirurgie umfasst verschiedene Techniken, die darauf abzielen, den Kieferknochen...
Parallel zur Entwicklung verkürzter Behandlungskonzepte haben sich auch die Außengeometrien zahnärztlicher Implantate hin zu aggressiveren Gewindeformen...
Parallel zur Entwicklung verkürzter Behandlungskonzepte haben sich auch die Außengeometrien...
Als Bruxismus wird das ständige, unbewusste, oftmals nächtliche, aber auch am Tag stattfindende, Aufeinanderpressen oder Reiben der Ober- und Unterkieferzähne...
Als Bruxismus wird das ständige, unbewusste, oftmals nächtliche, aber auch am Tag stattfindende,...
Am 11. Oktober 2025 fand der interdisziplinäre Humanpräparatekurs „Nose, Sinus & Implants“ im Institut für Anatomie der Berliner Charité statt....
Am 11. Oktober 2025 fand der interdisziplinäre Humanpräparatekurs „Nose, Sinus & Implants“...
Die 16. Ausgabe des Münchener Forums für innovative Implantologie kann sich mehr als sehen lassen. So wurde die „Macherei“ auch in diesem Jahr zum...
Die 16. Ausgabe des Münchener Forums für innovative Implantologie kann sich mehr als sehen...
Die S2k-Leitlinie „Zahnsanierung vor Herzklappenersatz“ ist in einer aktualisierten Fassung erschienen. Die Version 3.0 gibt evidenzbasierte Empfehlungen...
Die S2k-Leitlinie „Zahnsanierung vor Herzklappenersatz“ ist in einer aktualisierten Fassung...
Unter dem Motto Facts of Ceramic Implants Part III» lud die European Society for Ceramic Implantology (ESCI) bereits zum dritten Mal zum Europäischen...
Unter dem Motto Facts of Ceramic Implants Part III» lud die European Society for Ceramic Implantology...
Am 11. Oktober findet an der Charité bereits zum zehnten Mal der Humanpräparatekurs „Nose, Sinus & Implants“ statt – ein Format, welches sich längst...
Am 11. Oktober findet an der Charité bereits zum zehnten Mal der Humanpräparatekurs „Nose,...
Im Gespräch mit Dr. Maria Grazia Di Gregorio-Schinina, Oberärztin in der Abteilung für Prothetik an der Uniklinik Köln, werfen wir einen Blick auf...
Im Gespräch mit Dr. Maria Grazia Di Gregorio-Schinina, Oberärztin in der Abteilung für Prothetik...
Die digitale dentale Implantologie hat in den letzten Jahren einen bemerkenswerten Wandel in der Zahnmedizin bewirkt. Nachfolgend berichten Experten über...
Die digitale dentale Implantologie hat in den letzten Jahren einen bemerkenswerten Wandel in...
Obwohl Implantate bei jungen Patienten aufgrund des noch nicht abgeschlossenen Wachstums nur in Ausnahmefällen zum Einsatz kommen, spielen digitale Technologien...
Obwohl Implantate bei jungen Patienten aufgrund des noch nicht abgeschlossenen Wachstums nur...
Im Gespräch erläutern Dr. Alexander Faber (Chief Sales Officer) und Steffen Böhm (Chief Product Officer), warum die Conical Connection für BEGO mehr...
Im Gespräch erläutern Dr. Alexander Faber (Chief Sales Officer) und Steffen Böhm (Chief...
Eine neue Übersichtsarbeit untersucht Alternativen aus der Natur. Analysiert wurden pflanzliche, tierische und mineralische Substanzen, die antimikrobielle...
Eine neue Übersichtsarbeit untersucht Alternativen aus der Natur. Analysiert wurden pflanzliche,...
Die neue Ausgabe des Implantologie Journal ist da. Unter dem Schwerpunktthema „Biologisierung in der Implantologie“ widmet sich die Septemberausgabe...
Die neue Ausgabe des Implantologie Journal ist da. Unter dem Schwerpunktthema „Biologisierung...
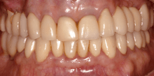
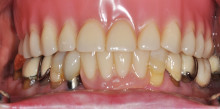
Der folgende Fallbericht präsentiert die erfolgreiche Behandlung einer Periimplantitis bei einer 56-jährigen Patientin. Die Patientin zeigte trotz regelmäßiger...
Der folgende Fallbericht präsentiert die erfolgreiche Behandlung einer Periimplantitis bei...
Die Versorgung der Patienten mit festsitzendem Zahnersatz oder in einigen Fällen überhaupt mit komfortablem Zahnersatz ist ein Argument, welches häufig...
Die Versorgung der Patienten mit festsitzendem Zahnersatz oder in einigen Fällen überhaupt...
In den letzten drei Jahrzehnten hat die Lasertechnologie die moderne Zahnmedizin revolutioniert und ist zu einem wichtigen Werkzeug für verschiedene Behandlungen...
In den letzten drei Jahrzehnten hat die Lasertechnologie die moderne Zahnmedizin revolutioniert...
Die Biologisierung ist ein spannendes und dynamisches Forschungsfeld. Durch die Integration biologischer Verfahren wie der Knochenregeneration, dem Einsatz...
Die Biologisierung ist ein spannendes und dynamisches Forschungsfeld. Durch die Integration...
Am 10. Oktober findet die 16. Ausgabe des Münchener Forums für Innovative Implantologie statt. Das kreativ-urbane Quartier im Osten der Stadt könnte...
Am 10. Oktober findet die 16. Ausgabe des Münchener Forums für Innovative Implantologie statt....
Keramische Implantate etablieren sich zunehmend als metallfreie Alternative zu Titan. Neben ästhetischen Vorteilen überzeugen sie durch eine günstige...
Keramische Implantate etablieren sich zunehmend als metallfreie Alternative zu Titan. Neben...
Die moderne Implantologie hat sich technisch enorm weiterentwickelt – dennoch erleben wir in der täglichen Praxis immer wieder unnötige Komplikationen,...
Die moderne Implantologie hat sich technisch enorm weiterentwickelt – dennoch erleben wir...
Da Sie der Verwendung von Google Maps nicht zustimmten, kann leider keine Karte angezeigt werden.
Haben Sie schon unseren Newsletter abonniert?
Um bei unserer Anwendung Formulare zu verwenden, benötigen wir die Zustimmung um einen Token für das Absenden zu setzen.
Datenschutz und Nutzungserlebnis
Wir übermitteln Daten an Drittanbieter, die uns helfen, unser Webangebot zu verbessern und zu finanzieren. In diesem Zusammenhang werden auch Nutzungsprofile gebildet und angereichert, auch außerhalb des Europäischen Wirtschaftsraumes. Hierfür und um bestimmte Dienste zu nachfolgend aufgeführten Zwecken verwenden zu dürfen, benötigen wir Ihre Einwilligung.
Indem Sie "Alle Cookies akzeptieren" klicken, stimmen Sie diesen (jederzeit widerruflich) zu.
Unter "Manuell auswählen" können Sie die Datenverarbeitung individuell personalisieren.
Unter "Nur notwendige akzeptieren" können Sie die Datenverarbeitung ablehnen.
Indem Sie "Speichern" klicken, stimmen Sie diesen (jederzeit widerruflich) zu.
Um Kartendaten in unserer Anwendung darzustellen, nutzen wir den Kartendienst Google Maps. Willigen Sie der Nutzung von Google Maps ein, werden ggf. personenbezogene Daten (Ihre IP-Adresse) von Google erhoben.
Einbinden von Google Maps erlauben
Einige unserer Videoinhalte (bspw. Livestream) werden über die Videoplattform Vimeo bereitgestellt.
Inhalte von Vimeo erlauben
Für ein besseres Benutzererlebnis können unsere Werbeanzeigen personalisiert werden. Um dies zu ermöglichen, wird das erstellen von Cookies vorausgesetzt. Sollten Sie diesem Dienst nicht zustimmen, werden Werbeanzeigen zufällig ausgeliefert.
Personalisierte Werbung erlauben
Um sich bei unserer Anwendung Formulare zu verwenden werden Tokens gesetzt die es uns ermöglichen Spam zu verhindern. Sollten Sie dies ausstellen, ist es Ihnen nicht mehr möglich sich bei uns anzumelden oder zu registrieren.
Anmeldeformulare absenden ermöglichen
Bei der Gestaltung unserer Anwendung benutzen wir Schriftarten von Adobe, diese werden über ein CDN geladen. Sollte Sie diesem Dienst nicht zustimmen wird die Standard Schrift des Systems benutzt. Außerdem könnte es zu Fehlern im allgemeinen Anwendungsdesign kommen.
Inhalte von Adobe erlauben
Sie können Ihre Auswahl jederzeit unter "Cookie-Einstellungen“ am Seitenende ändern.