In der Menopause stehen häufig Beschwerden wie Mundtrockenheit im Fokus der Dentalhygienesitzung. Doch ein weiteres, oft unterschätztes Thema ist der Vitamin-D-Wert, der entscheidenden Einfluss auf die orale Gesundheit, den Knochenstoffwechsel und das Immunsystem hat. Während Mundtrockenheit direkt spürbar ist, bleiben Veränderungen durch Vitamin-D-Mangel häufig zunächst unbemerkt.
In der Menopause stehen häufig Beschwerden wie Mundtrockenheit im Fokus der Dentalhygienesitzung. Doch ein weiteres, oft unterschätztes Thema ist der Vitamin-D-Wert, der entscheidenden Einfluss auf die orale Gesundheit, den Knochenstoffwechsel und das Immunsystem hat. Während Mundtrockenheit direkt spürbar ist, bleiben Veränderungen durch Vitamin-D-Mangel häufig zunächst unbemerkt.
Die Verbindung zwischen Parodontitis und Schwangerschaftskomplikationen ist ein bedeutendes Thema in der Zahnmedizin. Insbesondere bei Patientinnen mit...
Die Verbindung zwischen Parodontitis und Schwangerschaftskomplikationen ist ein bedeutendes...
Dank guter Prophylaxe und konservierender Zahnheilkunde haben viele Erwachsene bis ins hohe Alter eine nahezu komplette Dentition. Dies hat zu einem demografischen...
Dank guter Prophylaxe und konservierender Zahnheilkunde haben viele Erwachsene bis ins hohe...
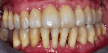
Die Gingivarezession ist ein weltweit relativ häufig vorkommender Zustand, der als Freilegung der Wurzeloberfläche aufgrund einer apikalen Verschiebung...
Die Gingivarezession ist ein weltweit relativ häufig vorkommender Zustand, der als Freilegung...
Im vorliegenden Beitrag soll die Behandlungsstrecke mit dem Clean & Seal-Konzept vorgestellt werden. Hierbei handelt sich um eine Kombination aus mechanischem...
Im vorliegenden Beitrag soll die Behandlungsstrecke mit dem Clean & Seal-Konzept vorgestellt...
Forschungsergebnisse, die im Journal of Periodontology veröffentlicht wurden, deuten auf einen möglichen schützenden Effekt von Antidepressiva gegenüber...
Forschungsergebnisse, die im Journal of Periodontology veröffentlicht wurden, deuten auf einen...
Parodontitis ist nicht nur ein Risiko für Zähne und Zahnhalteapparat. Laut einer aktuellen Mitteilung der EFP deutet wachsende Evidenz darauf hin, dass...
Parodontitis ist nicht nur ein Risiko für Zähne und Zahnhalteapparat. Laut einer aktuellen...
Ein Naturstoff aus Pflanzen wie Guavenblättern, Äpfeln und Feigen könnte vielleicht eines Tages eine neue Waffe gegen Parodontitis werden.
Ein Naturstoff aus Pflanzen wie Guavenblättern, Äpfeln und Feigen könnte vielleicht eines...
Ein Forscherteam aus den USA hat in einer großen Langzeitstudie herausgefunden, dass Menschen mit Parodontitis häufiger Veränderungen in der weißen...
Ein Forscherteam aus den USA hat in einer großen Langzeitstudie herausgefunden, dass Menschen...
Wenn Zuckerwerte steigen und die Waage ausschlägt, leidet auch das Zahnfleisch. Eine Studie aus Ägypten zeigt, wie eng Typ-2-Diabetes, Übergewicht und...
Wenn Zuckerwerte steigen und die Waage ausschlägt, leidet auch das Zahnfleisch. Eine Studie...
In einer neuen Erhebung wurde erstmals in großem Maßstab untersucht, ob bestimmte Bakterien und Pilze im Mundraum das Risiko für Bauchspeicheldrüsenkrebs...
In einer neuen Erhebung wurde erstmals in großem Maßstab untersucht, ob bestimmte Bakterien...
Eine Ernährungsweise, die in Südeuropa seit Jahrhunderten gepflegt wird, könnte mehr leisten als Herz und Kreislauf zu stärken. Neue Forschungsergebnisse...
Eine Ernährungsweise, die in Südeuropa seit Jahrhunderten gepflegt wird, könnte mehr leisten...
Die Sommerpause ist vorüber und das Prophylaxe Journal ist zurück mit einer frischen Ausgabe voller praxisorientierter News. ZWP online-Leser können...
Die Sommerpause ist vorüber und das Prophylaxe Journal ist zurück mit einer frischen Ausgabe...
Parodontitis ist nicht nur ein zahnmedizinisches Problem, sondern kann auch weitreichende Auswirkungen auf die allgemeine Gesundheit haben. Ein Zusammenhang...
Parodontitis ist nicht nur ein zahnmedizinisches Problem, sondern kann auch weitreichende Auswirkungen...
Eine neue Studie aus den USA liefert nun einen konkreten Erklärungsansatz. Das Team um Ya-Qiong Li vom Massachusetts General Hospital und der Harvard...
Eine neue Studie aus den USA liefert nun einen konkreten Erklärungsansatz. Das Team um Ya-Qiong...
Neue Forschungsergebnisse, die auf der EuroPerio11 präsentiert wurden, legen nahe, dass Intervallfasten helfen könnte, Entzündungen im Zahnfleisch zu...
Neue Forschungsergebnisse, die auf der EuroPerio11 präsentiert wurden, legen nahe, dass Intervallfasten...
Ein Bakterium aus der Mundhöhle rückt zunehmend in den Fokus der Herzforschung. Eine neue Studie aus Japan zeigt, wie Porphyromonas gingivalis das Herzgewebe...
Ein Bakterium aus der Mundhöhle rückt zunehmend in den Fokus der Herzforschung. Eine neue...
Ein systematisches Review, erschienen in Evidence-Based Dentistry, hat den Effekt gesunder Ernährung auf parodontale Parameter bei Menschen mit Parodontalerkrankungen...
Ein systematisches Review, erschienen in Evidence-Based Dentistry, hat den Effekt gesunder...
Neue Leitlinien sind per se kein Novum, diese aber schon: bei der S2k-Leitlinie Diabetes und Parodontitis. Es ist die erste Leitlinie, die gemeinsam von...
Neue Leitlinien sind per se kein Novum, diese aber schon: bei der S2k-Leitlinie Diabetes und...
Da Sie der Verwendung von Google Maps nicht zustimmten, kann leider keine Karte angezeigt werden.
Haben Sie schon unseren Newsletter abonniert?
Um bei unserer Anwendung Formulare zu verwenden, benötigen wir die Zustimmung um einen Token für das Absenden zu setzen.
Datenschutz und Nutzungserlebnis
Wir übermitteln Daten an Drittanbieter, die uns helfen, unser Webangebot zu verbessern und zu finanzieren. In diesem Zusammenhang werden auch Nutzungsprofile gebildet und angereichert, auch außerhalb des Europäischen Wirtschaftsraumes. Hierfür und um bestimmte Dienste zu nachfolgend aufgeführten Zwecken verwenden zu dürfen, benötigen wir Ihre Einwilligung.
Indem Sie "Alle Cookies akzeptieren" klicken, stimmen Sie diesen (jederzeit widerruflich) zu.
Unter "Manuell auswählen" können Sie die Datenverarbeitung individuell personalisieren.
Unter "Nur notwendige akzeptieren" können Sie die Datenverarbeitung ablehnen.
Indem Sie "Speichern" klicken, stimmen Sie diesen (jederzeit widerruflich) zu.
Um Kartendaten in unserer Anwendung darzustellen, nutzen wir den Kartendienst Google Maps. Willigen Sie der Nutzung von Google Maps ein, werden ggf. personenbezogene Daten (Ihre IP-Adresse) von Google erhoben.
Einbinden von Google Maps erlauben
Einige unserer Videoinhalte (bspw. Livestream) werden über die Videoplattform Vimeo bereitgestellt.
Inhalte von Vimeo erlauben
Für ein besseres Benutzererlebnis können unsere Werbeanzeigen personalisiert werden. Um dies zu ermöglichen, wird das erstellen von Cookies vorausgesetzt. Sollten Sie diesem Dienst nicht zustimmen, werden Werbeanzeigen zufällig ausgeliefert.
Personalisierte Werbung erlauben
Um sich bei unserer Anwendung Formulare zu verwenden werden Tokens gesetzt die es uns ermöglichen Spam zu verhindern. Sollten Sie dies ausstellen, ist es Ihnen nicht mehr möglich sich bei uns anzumelden oder zu registrieren.
Anmeldeformulare absenden ermöglichen
Bei der Gestaltung unserer Anwendung benutzen wir Schriftarten von Adobe, diese werden über ein CDN geladen. Sollte Sie diesem Dienst nicht zustimmen wird die Standard Schrift des Systems benutzt. Außerdem könnte es zu Fehlern im allgemeinen Anwendungsdesign kommen.
Inhalte von Adobe erlauben
Sie können Ihre Auswahl jederzeit unter "Cookie-Einstellungen“ am Seitenende ändern.