Die Aligner-Therapie hat die Kieferorthopädie revolutioniert und ist längst nicht mehr nur Erwachsenen vorbehalten. Mit speziellen Systemen einzelner Aligner-Hersteller steht heute eine Reihe innovativer Lösungen zur Verfügung, die gezielt für Kinder und Jugendliche entwickelt wurden. Dennoch hält sich hartnäckig der Glaube, gerade bei jungen Patienten sei eine Behandlung mit Alignern schwieriger oder weniger effektiv als mit festsitzenden Apparaturen.
Die Aligner-Therapie hat die Kieferorthopädie revolutioniert und ist längst nicht mehr nur Erwachsenen vorbehalten. Mit speziellen Systemen einzelner Aligner-Hersteller steht heute eine Reihe innovativer Lösungen zur Verfügung, die gezielt für Kinder und Jugendliche entwickelt wurden. Dennoch hält sich hartnäckig der Glaube, gerade bei jungen Patienten sei eine Behandlung mit Alignern schwieriger oder weniger effektiv als mit festsitzenden Apparaturen.
Der seitliche Kreuzbiss ist eine häufig anzutreffende Zahnfehlstellung, die durch eine transversale Diskrepanz zwischen Ober- und Unterkiefer verursacht...
Der seitliche Kreuzbiss ist eine häufig anzutreffende Zahnfehlstellung, die durch eine transversale...
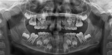
Molaren-Inzisiven-Hypomineralisation (MIH) ist neben Karies eine häufige Erkrankung der Zähne von Kindern und Jugendlichen. Sollten alle konservierenden...
Molaren-Inzisiven-Hypomineralisation (MIH) ist neben Karies eine häufige Erkrankung der Zähne...
Aufbissschienen sind in der Zahnmedizin ein bewährtes Instrument mit einem breiten Anwendungsspektrum – von der Funktionsdiagnostik über die Behandlung...
Aufbissschienen sind in der Zahnmedizin ein bewährtes Instrument mit einem breiten Anwendungsspektrum...
Die Kiefergelenke bilden eine bilateral funktionell gekoppelte Einheit des orofazialen Systems und erlauben Unterkieferbewegungen in sechs Freiheitsgraden,...
Die Kiefergelenke bilden eine bilateral funktionell gekoppelte Einheit des orofazialen Systems...
Das obstruktive Schlafapnoe-Syndrom (OSAS) ist ein schweres Krankheitsbild mit steigender Prävalenz. Das OSAS ist gekennzeichnet durch einen partiellen...
Das obstruktive Schlafapnoe-Syndrom (OSAS) ist ein schweres Krankheitsbild mit steigender Prävalenz....
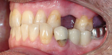
Dass nicht nur Schmelz, sondern auch häufig zahnärztliche Restaurationen einer harmonischen Zahnreihe im Wege stehen, ist leider nicht allzu selten....
Dass nicht nur Schmelz, sondern auch häufig zahnärztliche Restaurationen einer harmonischen...
Die Implantation von Zähnen gilt als bewährte Methode zur Wiederherstellung verlorener Zähne. Für jüngere Patienten sind Implantate jedoch nicht immer...
Die Implantation von Zähnen gilt als bewährte Methode zur Wiederherstellung verlorener Zähne....
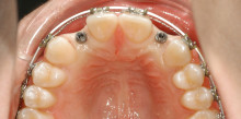
Kieferorthopädische Miniimplantate sind temporäre Implantate, die zur skelettalen Verankerung in den Kieferknochen eingesetzt und nach ihrem Einsatz...
Kieferorthopädische Miniimplantate sind temporäre Implantate, die zur skelettalen Verankerung...
Fachkräfte können sich ihre Arbeitsplätze aussuchen, und das tun sie auch. Wer eine ZFA gewinnen oder halten will, muss mehr bieten als einen sicheren...
Fachkräfte können sich ihre Arbeitsplätze aussuchen, und das tun sie auch. Wer eine ZFA...
Viele Kieferorthopädinnen und Kieferorthopäden sind in gemieteten Praxisräumen tätig, die sie mit einer festen Mietdauer über mehrere Jahre, oftmals...
Viele Kieferorthopädinnen und Kieferorthopäden sind in gemieteten Praxisräumen tätig, die...
Schwangere oder stillende Zahnärztinnen und Kieferorthopädinnen dürfen nicht automatisch vom Behandlungsstuhl ferngehalten werden. Das Mutterschutzgesetz...
Schwangere oder stillende Zahnärztinnen und Kieferorthopädinnen dürfen nicht automatisch...
Mit dem Aligner Journal erhält die Alignertherapie ihr eigenes Fachmagazin. Die neue Publikation der OEMUS MEDIA AG zeigt, wie stark sich transparente...
Mit dem Aligner Journal erhält die Alignertherapie ihr eigenes Fachmagazin. Die neue Publikation...
Die 97. Jahrestagung der Deutschen Gesellschaft für Kieferorthopädie e.V. (DGKFO) fand vom 10. bis 13. September in Leipzig statt und stand unter dem...
Die 97. Jahrestagung der Deutschen Gesellschaft für Kieferorthopädie e.V. (DGKFO) fand vom...
Fachkräfte aus dem Ausland gewinnen auch in Kieferorthopädiepraxen zunehmend an Bedeutung. Frau Dr. Christina Essers berichtet im Interview von ihren...
Fachkräfte aus dem Ausland gewinnen auch in Kieferorthopädiepraxen zunehmend an Bedeutung....
Da Sie der Verwendung von Google Maps nicht zustimmten, kann leider keine Karte angezeigt werden.
Haben Sie schon unseren Newsletter abonniert?
Um bei unserer Anwendung Formulare zu verwenden, benötigen wir die Zustimmung um einen Token für das Absenden zu setzen.
Datenschutz und Nutzungserlebnis
Wir übermitteln Daten an Drittanbieter, die uns helfen, unser Webangebot zu verbessern und zu finanzieren. In diesem Zusammenhang werden auch Nutzungsprofile gebildet und angereichert, auch außerhalb des Europäischen Wirtschaftsraumes. Hierfür und um bestimmte Dienste zu nachfolgend aufgeführten Zwecken verwenden zu dürfen, benötigen wir Ihre Einwilligung.
Indem Sie "Alle Cookies akzeptieren" klicken, stimmen Sie diesen (jederzeit widerruflich) zu.
Unter "Manuell auswählen" können Sie die Datenverarbeitung individuell personalisieren.
Unter "Nur notwendige akzeptieren" können Sie die Datenverarbeitung ablehnen.
Indem Sie "Speichern" klicken, stimmen Sie diesen (jederzeit widerruflich) zu.
Um Kartendaten in unserer Anwendung darzustellen, nutzen wir den Kartendienst Google Maps. Willigen Sie der Nutzung von Google Maps ein, werden ggf. personenbezogene Daten (Ihre IP-Adresse) von Google erhoben.
Einbinden von Google Maps erlauben
Einige unserer Videoinhalte (bspw. Livestream) werden über die Videoplattform Vimeo bereitgestellt.
Inhalte von Vimeo erlauben
Für ein besseres Benutzererlebnis können unsere Werbeanzeigen personalisiert werden. Um dies zu ermöglichen, wird das erstellen von Cookies vorausgesetzt. Sollten Sie diesem Dienst nicht zustimmen, werden Werbeanzeigen zufällig ausgeliefert.
Personalisierte Werbung erlauben
Um sich bei unserer Anwendung Formulare zu verwenden werden Tokens gesetzt die es uns ermöglichen Spam zu verhindern. Sollten Sie dies ausstellen, ist es Ihnen nicht mehr möglich sich bei uns anzumelden oder zu registrieren.
Anmeldeformulare absenden ermöglichen
Bei der Gestaltung unserer Anwendung benutzen wir Schriftarten von Adobe, diese werden über ein CDN geladen. Sollte Sie diesem Dienst nicht zustimmen wird die Standard Schrift des Systems benutzt. Außerdem könnte es zu Fehlern im allgemeinen Anwendungsdesign kommen.
Inhalte von Adobe erlauben
Sie können Ihre Auswahl jederzeit unter "Cookie-Einstellungen“ am Seitenende ändern.