Cosmetic Dentistry 21.02.2011

Interdisziplinäre Therapien für optimale Behandlungsergebnisse



Interdisziplinäre Therapien für optimale Behandlungsergebnisse

Bei der Schaffung einer ästhetischen Versorgung geht es darum, das Erscheinungsbild der natürlichen Zähne nachzuahmen bzw. zu verbessern. Gute ästhetische Gesamtergebnisse sind immer eine Leistung aus vielen Einzeldisziplinen.

In Fällen, in denen die anatomischen Voraussetzungen eingeschränkt sind, spielt die kieferorthopädische Therapie eine bedeutende Rolle.


Eine intensive Kommunikation zwischen Zahnarzt, Kieferorthopäden, Zahntechniker und Patient ist bereits bei der Behandlungsplanung erforderlich mit dem Ziel, nach Abschluss der Behandlung einen zufriedenen Patienten zu entlassen, der durch den Zugewinn an Lebensqualität seine Entscheidung für die Behandlung jederzeit wieder treffen würde.

Behandlungsfälle vorhersehbar mit Erfolg abschließen zu können, gestaltet sich umso schwieriger, je komplexer sich die an uns gestellten Anforderungen darstellen. Die in Vorfeld der Behandlung durchgeführten diagnostischen Maßnahmen haben sich in diesem Zusammenhang als Schlüsselelemente herauskristallisiert. Sie umfassen nicht nur Röntgenaufnahmen und Fotostatus, sondern auch die Untersuchung von Parodont und Gingiva sowie eine Funktionsanalyse, denn häufig beruhen ästhetische Disharmonien auf eine gestörte Funktion. Restaurationen, die Funktion und Ästhetik vereinen, sind von natürlichen Zähnen nicht mehr zu unterscheiden. Damit die restaurierten Zähne den hohen Kräften, speziell bei parafunktioneller Aktivität, standhalten, aber auch, damit die Restauration kein Auslöser für Parafunktion wird, sind hohe Anforderungen an die Gestaltung zu stellen.

Fallbeispiel

Das Hauptanliegen der 35-jährigen Patientin war die ästhetische Verbesserung ihrer Oberkiefer-Frontzahnsituation. Darüber hinaus klagte sie über druckdolente Kaumuskulatur und ständige Verspannungen der Hals- und Schultermuskulatur beidseits. Aus funktioneller Sicht zeigte sich eine physiologisch sehr ungünstige Front-Eckzahnbeziehung. Der vorhandene Deckbiss (Angle Klasse-II/2) mit starkem Overbite und steil stehenden Frontzähnen führte bereits zu starken Abrasionen an den palatinalen Flächen der OK-Frontzähne (Abb. 1, 2 und 3).

Nach ausführlicher funktioneller und ästhetischer Befundaufnahme erfolgte die Aufklärung der Patientin bezüglich der heutigen Behandlungsmöglichkeiten und des zu erwartenden Ergebnisses. Die Patientin stimmte insbesondere aufgrund ihrer funktionellen Beschwerden und ihrer ästhetischen Erwartungen einer kieferorthopädischen Behandlung zu, sodass ihr in Zusammenarbeit mit dem Kieferorthopäden ein Behandlungsplan vorgelegt wurde, der ihren Wünschen entgegenkam, von ihr aber Geduld und aktive Mitarbeit erforderte.

Anhand von zentrisch einartikulierten Modellen wurde ein funktionelles und ästhetisches Wax-up erstellt. Aufgrund des Wax-up lässt sich beurteilen, inwieweit eine funktionelle Vorbehandlung notwendig ist. Der zeitliche Ablauf der geplanten Vorbehandlungsmaßnahmen differiert von Fall zu Fall. Zur Verifizierung der therapeutischen Position des Unterkiefers erhielt die Patientin für
zwei bis drei Monate eine Aufbiss-Schiene. Vor und während der Behandlung erfolgte die physiotherapeutische Behandlung mittels manueller Therapie und Massage.

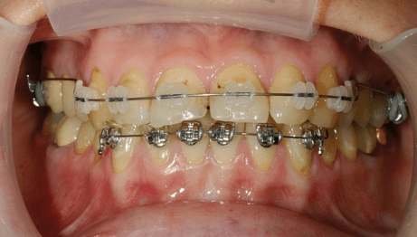
Nach deutlicher subjektiver und objektiver Verbesserung der Beschwerden begann die kieferorthopädische Therapie. Vom behandelnden Kieferorthopäden wurde die Frontzahnstellung mittels Multibandbehandlung korrigiert (Abb. 4). Die funktionelle Vorgabe war im Besonderen die Schaffung eines adäquaten Overbite von 4mm und einen Overjet von 2mm (Abb. 5). Die endgültige Versorgung erfolgte durch Keramikkronen auf den Zähnen 11 und 21 (Abb. 6). An den Zähnen 12, 13, 22 und 23 konnten wir eine adäquate Front-Eckzahn-Führung allein durch Compositeaufbauten an den palatinalen Flächen erreichen.

Fazit

Gesunde parodontale Verhältnisse, Schonung der Zahnhartsubstanz, adäquate Funktion und exzellente Langzeitprognose sind die maßgeblichen Parameter für zeitgemäße, restaurative Behandlungskonzepte. Die funktionellen Parameter des Patienten müssen erfasst werden und in die Herstellung der Rekonstruktion einfließen, damit die Rekonstruktion sich harmonisch in ihr Umfeld integriert. Das erreichte Ergebnis gewährleistet eine gut abgestimmte Führung über die Frontzähne und entspricht den ästhetischen Anforderungen der Patientin. Ziel ist es, nach Abschluss der Behandlung einen zufriedenen Patienten zu entlassen, der durch den Zugewinn an Lebensqualität seine Entscheidung für die Behandlung jederzeit wieder treffen würde (Abb. 7 und 8).

Autor: Dr. Marcus Striegel


Mehr Fachartikel aus Cosmetic Dentistry

ePaper