Implantologie 28.02.2011

Der piezochirurgische Sinuslift mit simultaner Implantation



Der piezochirurgische Sinuslift  mit simultaner Implantation

Ein Fallbeispiel zur Rehabilitation einer Einzelzahnlücke im lateralen Oberkiefer

Der Einsatz junger OP-Techniken ermöglicht in immer stärker werdendem Maße die orale Rehabilitation mit vorhersagbarem Erfolg. Durch piezochirurgische Maßnahmen wird dem Patienten eine schonende, komplikationsarme Behandlung mit einhergehender Zeitersparnis bis hin zur Ergebnisfindung zuteil.

Der oralen Rehabilitation zur Wiedererlangung der Kaufunktion als auch ästhetischer Wünsche wird seit Langem durch die Implantologie Rechnung getragen. Im Oberkiefer zeigt die oft unzureichende Höhe des seitlichen Alveolarfortsatzes nach Zahnverlust bei gleichzeitigem kaudalen Absinken des Sinusbodens einer geplanten Implantatinsertion Grenzen auf, welche oftmals nur mit der Technik des externen Sinuslifts (Boyne 1980) zu beherrschen sind. Alveolarkammerhöhungen von 8 bis 15mm sind dadurch zu erzielen. Die aus dieser Technik resultierende Verringerung des Sinusvolumens soll bei intakter Epithelauskleidung die normale Funktion der Nebenhöhle nicht beeinträchtigen. Die Überlebensrate bei der Platzierung von Standardimplantaten nach 15 Jahren wird mit Quoten von 85–96% angegeben. Der untere Erfolgsquotient korreliert mit einer intraoperativen Perforation der Schneider’schen Membran (Inzidenz von 25–40%); Misserfolge beruhen auf den darauf unter Umständen folgenden Komplikationen.
Da es selbst bei Beherrschung der konventionellen Fenstertechnik mit rotierenden Knochenfräsen in ca. 25% zu Perforationen kommt, wurde zur Minimierung dieser Risiken 1997 die Technik der piezochirurgischen Technik entwickelt (Vercellotti et al. 2001). Dieses mikrochirurgische Verfahren präzisiert atraumatisch und selektiv die Präparation der Schneider’schen Membran unter Schonung der Weichgewebe. Die Perforationsrate kann hierbei auf bis zu 5% abgesenkt werden.


Piezochirurgie verursacht in der Anwendung aufgrund der sinusförmigen Oszillation von 20–60µm bei einer Frequenz von 20–50kHz eine optimale Kühlung der Knochenoberfläche bei gleichzeitig guter Sicht im OP-Feld. Die Methode erfordert andere chirurgische Fertigkeiten, stellt jedoch aus heutiger Sicht die OP-Technik der Wahl dar, schlussendlich auch deshalb, weil der Patient nahezu keinen postoperativen Schmerzsensationen oder schwerwiegenden Ödemen ausgesetzt ist.
Bei externer Elevation und Augmentation des Sinus kann zur Vermeidung eines operativen Zweiteingriffes bei gegebener Restknochenhöhe von mindestens 5mm simultan die Implantation erfolgen. Bei der Elevation der Schneider’schen Membran in Sandwichtechnik gelangen sowohl autologer Knochen als auch synthetische Knochenersatzmaterialien zur Anwendung (Kamikawa et al. 2006). Es wird direkt in Nähe der Kieferhöhlenschleimhaut nicht resorbierbares Augmentat bzw. der horizontal-kranial eingeklappte und gestielte Knochendeckel platziert, um dem respiratorischen Druck des Sinus standzuhalten sowie vertikal Platz zu schaffen. Um den Knochenumbau bzw. die
-neubildung zu fördern, gelangt nunmehr in der mittleren Schicht ein resorbierbares Knochenersatzmaterial zur Anwendung. Der bei der Fensterung als auch Schaffung des Implantatbohrstollens gewonnene autologe Knochen wird alleinig oder im Gemisch mit Knochenersatzmaterial direkt um den eingebrachten Implantatkorpus platziert.

Die Augmentation des Sinusbodens mit zeitgleicher Implantation wird je nach verwendetem Augmentat mit bis zu 97,9% in der Neunjahresüberlebensrate angegeben (Peleg et al. 2006).
Die membrangeschützte Knochenregeneration als das in der Zahnmedizin meist angewandte Knochenaufbauverfahren bedient sich klinisch heute weitgehend bioresorbierbarer Membranen. Vorteilhaft ist neben dem einfachen Handling der Wegfall des Zweiteingriffes zur Membranentfernung und Minimierung der Komplikationsrisiken wie z.B. Weichteildehiszenzen.
Um die geringe Standfestigkeit auszugleichen, finden Membranen bei der GBR mit geeignetem Knochenersatzmaterial Anwendung.

Die Rehabilitation der Einzelzahnlücke mit Implantatkronen stellt bei Vorliegen intakter Nachbarzähne gegenüber der konventionellen Brückenprothetik das Mittel der Wahl dar. Im nachstehend dargestellten Patientenfall stellte sich jedoch für dieses Vorgehen erschwerend die Absenkung des Sinusbodens mit geringer Alveolarknochenhöhe bei seitlicher Begrenzung durch intakte Nachbarzähne dar. Vorteilhaft der auch bei uns standardmäßig mit Piezochirurgie gestützten Implantation bzw. Sinusaugmentation ist die zusätzliche Minimierung der Risiken einer Verletzung des Wurzelzementes oder der Pulpa der benachbarten Zähne. Auch ist eine selektive minimal invasive drucklose Präparation des lateralen Fensters möglich.
Bei Durchführung von lateralen einzeitigen Sinusaugmentationen mit Simultanimplantatinsertion verwenden wir zur Erlangung einer ausreichenden Primärstabilität hauptsächlich ein speziell entwickeltes Sinusliftimplantat (SL-Implantat; Fa. Dentegris). Positiv ist hierbei die durch Mikrofeingewinde vergrößerte Kontaktfläche im Schulterbereich zur verbesserten Kondensation der lateralen Knochenwandung des Implantatstollens hervorzuheben.

Die Gewinnung des autologen Knochens erfolgt mittels Knochenfilter (Aspeo-Filter; Fa. Dentegris) bei der piezochirurgischen Präparation des lateralen Fensters als auch bei Setzung des Bohrstollens (Abb. 1). Ergänzend gewinnen wir auch mit speziell abgestimmten Instrumentenansätzen des Piezogerätes (Fa. mectron) Knochen von intraoralen Nachbararealen. Zur Auffüllung des nach horizontal-kranial gefensterten Raumes und Stabilisierung des gestielten Knochendeckels vermischen wir autologen Knochen mit einem höchstreinen Knochenersatzmaterial bovinen Ursprungs (CompactBone B., Fa. Dentegris). Als Barrieremembran gelangen in unserer Praxis native Kollagenmembranen aus porcinem Pericardium zum Einsatz (BoneProtect Membrane; Fa. Dentegris).


Fallbericht


Bei der 36-jährigen Patientin stellte sich in der Eingangsuntersuchung nach Zahnverlust alio loco eine Einzelzahnlücke in Regio 015 dar (Abb. 2). Der Wunsch nach Schluss der Zahnlücke zur ästhetischen und kaufunktionellen Rehabilitation wurde von ihrer Seite vorgebracht. Aufgrund der guten mundhygienischen Eingangsvoraussetzungen sowie eines anatomisch ausreichenden vertikalen Restknochenangebotes wurde die Versorgung mit Einzelzahnimplantat (einzeitig) versus konventionell getragener Brückenversorgung erörtert und präferiert.
Auf Grundlage der diagnostischen Planung erfolgte nach lokaler Infiltrationsanästhesie und krestaler Schnittführung zur Bildung des Mukoperiostlappens die piezochirurgische Präparation des lateralen Fensters in Regio 015 (Abb. 3). Durch Wahl eines eher rundovalen Deckeldesigns werden scharfe Kanten vermieden, welche ein zusätzliches Perforationsrisiko darstellen.

Nach Darstellung des lateralen Fensters erfolgte mit den entsprechenden Instrumentenansätzen (Fa. mectron) die piezochirurgische Präparation der Schneider’schen Membran (Abb. 4). Bei kranialer Fixierung des gestielten Knochendeckels mit klassischem Instrumentarium und unter Sichtkontrolle wurde der Bohrstollen des Implantates schonend präpariert (Abb. 5).
Mit maschineller Insertion des SL-Implantates (3,75x10mm) (Abb. 6) wurde zunächst der gewonnene antrale Raum nach posterior, medial, kranial und anterior – zur Verstärkung und Schutz der Schneider’schen Membran (Abb. 7) – mit einer in 0,9%igen NaCl-hydrierten Kollagenmembran ausgekleidet und mit einem Gemisch aus autologem Knochen und bovinem Knochenersatzmaterial stabilisiert (Abb. 8). Nach Kontrolle der Primärstabilität wurden abschließend die restlichen Kompartimente des Augmentates nach lateral aufgefüllt und mit dem Überhang der nativen kollagenen Perikardmembran im Sinne der gesteuerten Knochenregeneration abgedeckt (Abb. 9).
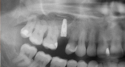
Der Lappen wurde nach Periostschlitzung readaptiert und der Zugang mittels Naht speicheldicht verschlossen (16 x Supolene 4.0; Fa. Resorba). Das Kontrollröntgenbild zeigt die achsengerechte Position des Implantates bei gleichzeitig guter Kontrollübersicht des augmentierten Sinus maxillaris (Abb. 10). Die Patientin wurde antibiotisch abgeschirmt und zur postoperativen Nachsorge bis hin zur Nahtentfernung bei komplikationslosem Verlauf einbestellt.

Nach fünf Monaten erfolgte das Re-Entry. Die Eingliederung der vollkeramischen Implantatkrone erfolgte nach Verschraubung des Aufbaus mit definiertem Drehmoment von 35Ncm unter Verwendung eines temporären Polyurethanklebers (Improve; Fa. Dentegris). Das Kontrollbild zeigt ein harmonisches und ästhetisch zufriedenstellendes Ergebnis (Abb. 11).
Seit Inkorporation des implantatgetragenen Zahnersatzes wird die Patientin im Rahmen des praxisspezifischen Prophylaxeprogramms regelmäßig betreut. Dadurch werden eventuell bestehende Pflegedefizite abgestellt und der Gefahr einer periimplantären Entzündung Einhalt geboten. Sowohl pflege- als auch kostentechnisch bietet die implantatgetragene Einzelkrone bei Erhalt gesunder Nachbarzähne dem Patienten vergleichsweise Vorteile gegenüber einer festsitzenden Brückenkonstruktion.

Eine ausführliche Literaturliste finden Sie hier.

Mehr Fachartikel aus Implantologie

ePaper