Laserzahnmedizin 27.09.2012

Diodenlaser und Hochfrequenztechnik in der oralen Anwendung



Diodenlaser und Hochfrequenztechnik in der oralen Anwendung

Die Nutzung von elektrischem Wechselstrom für die Ausführung blutungsarmer Eingriffe im oralen Weichgewebe hat sich seit fast einem Jahrhundert zunächst in Form des Elektromessers, später dann in Form der Hochfrequenzgeräte, etabliert. Bei beiden Technologien beruht die Wechselwirkung auf der lokalen, schnellen Erhitzung des Gewebes und beide können ­sowohl zum Schneiden als auch zum Koagulieren genutzt werden.

Lasergeräte wurden seit den 1980er-Jahren als neue, zusätzliche Werkzeuge eingeführt und haben heute stark an Bedeutung gewonnen. Mit der Einführung der Laser kam es jedoch zu einem nahezu „feindlichen“ Dialog im Zuge des Marketing, denn seit Jahrzehnten streiten sich die Hersteller von Lasern und Hochfrequenzgeräten in der Zahnheilkunde darum, wer das bessere Verfahren für die orale Weichgewebebehandlung bietet: „Der Laser ist besser als die Hochfrequenz“ – „Die Hochfrequenz ist besser als der Laser“ – „Aber mit dem Laser bekommt man bessere Ergebnisse, wenn die Leistung nur hoch genug ist“ – „Wenn die Leistung zu hoch wird, lässt sich ein Laser kaum kontrollieren“ – „Aber mit spezieller Pulstechnik kann der thermische Schaden kontrolliert werden“ – „Die Schneidegeschwindigkeit mit ­einem Laser ist schon limitiert, sie ist viel langsamer als mit der Hochfrequenz. Und mit der Pulstechnik wird sie dann nochmals langsamer“. Kombiniert man aber einen Diodenlaser mit einem modernen Hochfrequenzgenerator, dann gibt es keine Konkurrenz mehr, sondern man erhält ein sinnvolles und perfektes Werkzeug für das Weichgewebemanagement. Lassen sich mit einem Laser im relativ dünnen und komplizierten oralen Gewebe sehr gezielt und erfolgreich Anwendungen in der Parodontologie, der Endodontie und in der Implantatchirurgie durchführen, bietet die Hochfrequenztechnologie schon aufgrund der viel höheren Schneidegeschwindigkeit und idealen Koagulation Vorteile für die orale Chirurgie (Tab. 1). Die Photodynamische Therapie (PDT), die Low-Level-Laser-Therapie (LLLT) und die Verwendung des Lasers beim Bleaching eröffnen zusätzliche neue Behandlungsmöglichkeiten.

Warum ist dieser Ansatz vielversprechend?

Laser wurden und werden oft als Allzweckgeräte verstanden und manchmal auch so beworben, jedoch gibt es zahlreiche Anwendungen, die mit diesen Geräten nicht befriedigend durchzuführen sind. Von den vielen Lasern, die über die Jahrzehnte im oralen Weichgewebe „ausprobiert“ wurden, wie der CO2-Laser, der Nd:YAG-­Laser und die Diodenlaser, haben sich im wesentlichen nur letztere speziell wegen ihres breiten Behandlungsspektrums und der relativ preiswerten Gerätekonstruktionen durchsetzen können. Ihre Stärke liegt bei Anwendungen in der Parodontologie, in der Endodontie und bei der oberflächlichen Abtragung von Weichgewebe, wie der Implantatfreilegung. Ein wesentlicher Nachteil ergibt sich allerdings bei ­chirurgischen Anwendungen. Orale Gewebeabschnitte sind sehr dünn, fein und kompliziert strukturiert, zudem befinden sie sich oft in unmittelbarer Nähe zum Kieferknochen und zum Zahnhartgewebe. Die Laserstrahlung wird nicht nur im Gewebe absorbiert und dort in Hitze umgewandelt, sondern teilweise wird sie auch durch das Gewebe hindurch transmittiert. Dadurch können nicht vorhersehbare ungewünschte Nebenwirkungen in gesunden Arealen auftreten. Die Schneidegeschwindigkeit der Laserstrahlung ist durch die Tatsache limitiert, dass das Gewebe nur schichtweise abgetragen werden kann. Weder eine Erhöhung der Laserleistung noch die Anwendung von Laserpulsen können diese ­Problematik beseitigen.

Bei der Hochfrequenztechnik wird das Gewebe dagegen gleichzeitig, homogen und sehr schnell in der gesamten eingeführten Länge der Elektrode erhitzt und geschnitten, wobei die Tiefe der Läsion durch die Länge der Metallelektroden vorgegeben ist. Schäden in angrenzenden gesunden Arealen sind dabei eher unwahrscheinlich bzw. sind sie vorhersehbar und planbar, wenn sie auftreten. Die mit relativ niedrigen Frequenzen von 200 bis 400 kHz betriebenen Hochfrequenzgeräte aus der Humanmedizin erzeugen ausgeprägte thermische Nekrosezonen mit verlängerten Heilungszeiten, vermehrten Schwellungen und Gewebsretraktionen als Folgeerscheinungen. Sie wurden in der Zahnheilkunde mittlerweile durch moderne Hochfrequenztechniken mit Arbeitsfrequenzen von 2 bis 4MHz ersetzt.


Welche Gemeinsamkeiten gibt es zwischen ­einem Diodenlaser und der Hochfrequenz und was unterscheidet sie?

Gemeinsamkeiten
Sowohl bei den Diodenlasern als auch bei der Hoch­frequenz wird die abgegebene elektromagnetische Leistung (Laserlicht bzw. hochfrequenter elektrischer Strom) im Gewebe in Wärme umgewandelt. Die Zellen im Gewebe werden in Sekundenbruchteilen erhitzt, dies führt zu einem Schnitt bzw. zu einer Koagulation. Während beim Laser die Leistung durch eine Glasfaser zum Einsatzort geleitet wird und die Lichtenergie aus der Faserspitze heraustritt, nutzt man bei der Hochfrequenz eine metallische Elektrode, durch die der hochfrequente Strom ins Gewebe geleitet wird.

Der wesentliche Unterschied
Eine Laserfaser kann a priori nicht tief in das Gewebe eingeführt werden, um einen Schnitt zu erzeugen. Die Laserstrahlung tritt aus dem vorderen Ende der Faser aus, erhitzt dadurch nur die oberste Gewebeschicht und trägt sie ab. Um in die Tiefe zu kommen, muss daher das Gewebe Schicht um Schicht abgetragen werden (Abb. 1).
Im Unterschied dazu kann die Elektrode bei der Hochfrequenz in gewünschter Tiefe in das Gewebe eingeführt werden. Das Hochfrequenzfeld erhitzt das Areal gleichzeitig und homogen mit der gesamten physikalisch ­eingeführten Elektrodenlänge (Abb. 2). Die Schneidegeschwindigkeit der Hochfrequenzelektrode ist somit sehr viel schneller als mit einem Diodenlaser. Auch wird bei dem intraoralen Einsatz der Hochfrequenztechnik sehr positiv eingeschätzt, dass lokale Temperaturerhöhungen von weniger als 60 bis 80°C angenommen werden können. Bei einem Lasereinsatz oder bei einem Elektromesser ist dagegen mit mehr als 400°C zu rechnen.
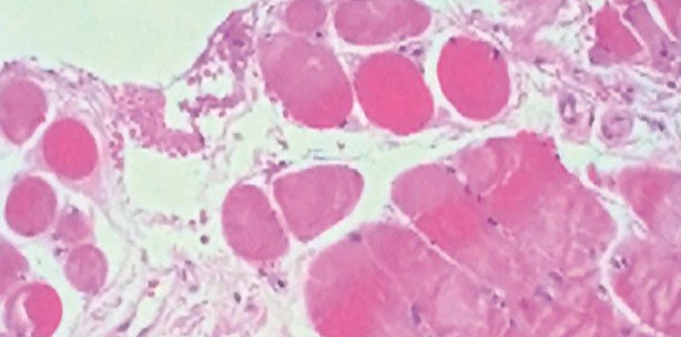
Bei einer leukoplakischen, exophytisch wachsenden Veränderung am linken Zungenrand zeigt die Histologie nach dem Einsatz der Hochfrequenz (2,2MHz) geringe thermische Veränderungen in der quergestreiften Muskulatur (Abb. 3), die thermische Reaktionsschicht im Stroma ist sehr gering, es ist keine Vakuolenbildung zu sehen. Abbildung 4 zeigt ein histologisches Vergleichsbild der thermischen Reaktionszone eines Exzidates, welches mit einem 980-nm-Laser genommen wurde. Erkennbar ist die sehr viel breitere und partiell verschmolzene Reaktionszone infolge einer erheblichen Temperatureinwirkung.

Situation in der Zahnheilkunde

Bei den geschätzten mehr als 20 Anbietern von Diodenlasern sind die wesentlichen Marketingargumente die Laserwellenlänge, die Leistung und die Möglichkeit, den Laserstrahl gepulst einzusetzen. A jour werden die Wellenlängen von 810 nm und 980 nm beworben, obgleich es hier nur sehr geringe Unterschiede gibt. So zeigt sich eine höhere Wasserabsorption bei 980 nm, was eine bessere Ankopplung an wässrige Umgebungen verspricht und damit ein besseres Schneideverhalten. Dagegen sind eine geringere Wasserabsorption und eine höhere Absorption z.B. in Blutfarbstoffen bei 810nm erkennbar, was eine gute Koagulation verspricht. Die Unterschiede aber sind tatsächlich eher gering. Es gibt auch eine historische Erklärung: Die Laserdioden mit 810nm kamen lange vor den Laserdioden mit 980nm auf den Markt, für viele technische Anwendungen werden aber heutzutage weitaus mehr 980-nm-Laserdioden genutzt.
Hohe Laserleistungen und immer kürzere Pulszeiten werden von den Anbietern propagiert. Die gepulste Anwendung bietet in der Tat Vorteile, insbesondere wird bei sehr kurzen Pulsen von wenigen µs der thermische Einfluss deutlich geringer. Dies bedeutet gleichzeitig aber auch die Herabsetzung der ohnehin geringen Arbeitsgeschwindigkeit. Zudem gerät man bei einer Erhöhung der Laserleistung sehr schnell an eine Grenze, bei der die Gefahr einer Schädigung des gesunden Nachbargewebes größer wird als der therapeutische Behandlungswunsch.
Der Vorteil des Lasers zeigt sich jedoch besonders bei oberflächlichen Anwendungen, zum Beispiel zur gezielten Abtötung von Bakterien in der Parodontologie und in der Endodontie, zum Freilegen überwachsener Implantate oder auch zum Trimmen der Gingiva. Der Einsatz in der Photodynamischen Therapie, in der Lasertherapie (Softlaser) und beim Bleaching sind zusätzliche und nur mit Lasern zu erreichende Behandlungsmöglichkeiten. Bei oralchirurgischen Anwendungen jedoch, zum Beispiel der Entfernung von Fibromen und Hä­mangiomen, bei der Frenektomie und größeren invasiven Anwendungen bietet die Hochfrequenz aufgrund der schnelleren und präziseren Wechselwirkung klare Vorteile.
Mithilfe sehr dünner, flexibler Elektroden aus speziellen Metalllegierungen werden die elektromagnetischen Wellen in das Gewebe geleitet. Das Vorgehen erlaubt ein präzises, druckloses und nahezu athermisches Schneiden. Zudem ist mit einem einstellbaren Koagulationsgrad eine Blutung effektiv kontrollierbar. Im Vergleich mit einem Laser bietet die HF-Anwendung aufgrund der starren Metallelektroden, die in verschiedenen Formen für spezielle Indiktionen angeboten werden, eine bessere Haptik als die Glasfasern und wegen der vorgegebenen Elektrodenlänge eine exakte Eindringtiefe. Die hohe Arbeitsgeschwindigkeit ist bei größeren und tieferen Schnitten vorteilhaft. Je höher die Laserausgangsleistung eines Lasers bzw. je aufwendiger die Konstruktion der Pulstechnologie, desto teurer wird ein solches Gerät sein. Dazu kommen in nicht unerheblichem Anteil die zusätzlichen Kosten für das Verbrauchsmaterial, hier insbesondere die bei hohen Leistungen in chirurgischen Einsätzen häufig beschädigten Glasfasern. Aus hygienischen Gesichtspunkten, auch unter Berücksichtigung des geforderten Qualitätssicherungssystems in der Zahnarztpraxis, geht die Überlegung zu der Verwendung steriler Faserspitzen, statt immer wieder aufzubereitender Laserfasern. Die Hochfrequenztechnologie ist dagegen in der Gerätekonstruktion vergleichsweise preiswert zu realisieren. Die Metallelektroden können im Vergleich zu den Glasfasern viele Male relativ einfach wieder aufbereitet und neu sterilisiert werden. Das Kombinationsgerät LaserHF (Hager & Werken) besteht aus einem 975 nm Laser mit einer Leistung von 6W, kombiniert mit einem 2,2 MHz Hochfrequenzgenerator mit einer Leistung von 50W – ergänzt mit einem 660nm Therapielaser mit 100mW für die Photodynamische Therapie und die Low-Level-Laser-Therapie.

Fazit – es ist sinnvoll!

Der alten Feindschaft zum Trotze: Betrachtet man die möglichen Anwendungen, dann erfüllt die Kombination eines Diodenlasers mit einem Hochfrequenzgerät den Wunsch nach einem perfekten System für das komplette Weichgewebemanagement.

Mehr Fachartikel aus Laserzahnmedizin

ePaper