Parodontologie 21.02.2011
The Effectiveness of Conservative, Contemporary, Nonsurgical Periodontal Treatment
The American Dental Association has estimated that 80% of American adults have periodontal disease, including gingivitis. According to the American Academy of Periodontology, more than one third of Americans over the age of 30 have periodontitis.
In addition, recent research has offered a growing amount of compelling evidence showing direct links between periodontal health and systemic health. These links include the inflammatory effects of periodontal disease correlating with greater risks of heart attack, stroke, diabetes, lower birthweight babies, and premature births. Our office finds it disturbing that there is such a high prevalence of periodontal disease—almost to epidemic proportions—in a field that has experienced vast technological advances. It is the philosophy of our office to be patient-centered, and it is our mission to diagnose and treat periodontal disease, including gingivitis—its earliest form. The methodology to accomplish this is conservative, nonsurgical treatment, with active patient involvement. We use a systemic approach to patient care, and the model we have created is based on our standard of care. Since we use it daily on every patient, our model is continually tested and evaluated based on predictions of treatment outcome as well as direct observations of its effectiveness. Our evaluation includes the following:
- occlusal evaluation and anterior guidance
- TMJ examination and muscle palpitation
- head and neck exam and oral cancer screening
- charting existing restorations and missing teeth
- diagnosing areas of caries; taking a full-mouth series of periapical films, bitewings, and panoramic x-ray
- ascertaining the patient’s concerns
- establishing goals for treatment
- considering patient motivating factors as well as personality profiles.
Our periodontal evaluation form also becomes an educational tool for each patient. We record 6-point pocket depths for each tooth, bleeding points, recession, furcations, mobility, tissue contour, tissue color, plaque scores, and calculus present. We explain to patients that this is the most efficient way to determine their progress and periodontal health at a glance. We also point out to the patient all of the etiological factors that affect periodontal health and may compromise treatment. These include genetics, general systemic health, hormonal changes, diet, oral hygiene, occlusion, tobacco use, and stress. It becomes evident to patients that they can develop a “barometer” to measure their periodontal health and susceptibility to disease. All of the data and variables are used as course of treatment. This “map” is developed with patients’ input based on their own treatment goals. They become actively involved in their treatment recommendations.
Conservative treatment
Co-diagnosis and treatment planning with the patient sets the stage for the next step—providing conservative treatment. This includes the number of therapy appointments to be scheduled, the sequence in scheduling, and the actual clinical modalities to be used. The ultimate goal of periodontal therapy (PT) is to stop disease progression and to stabilize and improve tooth attachment. Treatment includes the use of hand instruments for scaling and root planing. We use microultrasonics for debridement and irrigation. Microultrasonics refers to power scalers that utilize mechanical vibrations to burst calculus or plaque deposits off tooth surfaces. Microultrasonic devices utilize thinner tips that are comparable to the thickness of a periodontal probe. These tips give better access to deep, narrow pockets as well as furcations. In addition, the fluid lavage of microultrasonics flushes bacteria and bacterial toxins, and the cavitational effect of the water from the rapidly moving ultrasonic tip breaks the cell walls of bacteria. (The unit the authors use is Dual Select by DENTSPLY.) Dr. Reichwage uses a diode laser to remove diseased epithelium and for bacterial decontamination. Local antimicrobials such as Atridox (CollaGenex Pharmaceuticals) are used when pocket depths are 5 mm or greater. Lastly, Periostat (Colla-Genex Pharmaceuticals) is used at 3-, 6-, 9- or 12-month intervals, depending on the patient’s progress. This subantimicrobial dose of doxycycline (20 mg), used twice daily, is FDA-approved for enzyme suppression to manage periodontitis. Regardless of the treatment modalities used, the purpose is to achieve a gradual healing process and continue treatment until the disease process is controlled. Co therapy by the patient is critical. Our recommendations for this include daily use of a power toothbrush, floss, and chlorine dioxide toothpaste and rinse, such as Oxyfresh (Oxyfresh Worldwide). Follow-up after periodontal therapy is crucial. Our system involves re-evaluation after 6 weeks and again after 3 months. Maintenance intervals of supportive periodontal therapy (SPT) are determined by the progress patients achieve. Our typical recommendation is a 3-month cycle, but it can be as short as 8 weeks.
Case Report no. 1
A 26-year-old male patient presented with a desire to alleviate generalized bleeding, inflammation, and sore gums. It had been more than 10 years since his last dental visit. We started by conducting a comprehensive clinical and diagnostic evaluation. We performed co-diagnosis techniques with the patient by using a hand mirror, radiographs, and an intraoral camera in order to have the patient involved in the clinical data process and understand the findings as we presented them. It was noted that his medical history was negative and presented no contributory data. The following were findings from his complete clinical evaluation: hyperemic bulbous tissue, heavy supragingival and subgingival calculus, probe depths from 4 to 7 mm, and 109 bleeding points. He was diagnosed with moderate periodontitis type III, with light to moderate generalized bone loss (Figures 1a to 1d).

Fig. 1-2 Case 1 before treatment
Treatment Plan
We reviewed our findings, the etiology behind our concerns, and the treatment necessary to achieve perfect tissue health. Treatment would consist of 4 to 6 PTs, which include scaling and root planing, microultrasonic with chlorhexidine for irrigation, soft-tissue laser to reduce and contour the bulbous infected tissue, and decontamination of the periodontal pockets. Following the last PT, a 6-week SPT would be needed to evaluate healing and determine if additional PTs are necessary. The patient would then be placed on a supportive recare schedule based on his needs.
Procedure
At the initial periodontal therapy (IPT), the patient used disclosing solution and was given manual and power brushing and flossing instructions. Treatment began the next day and started with local anesthesia on the lower arch with 4% Citanest Plain (Astra-Zeneca) and 2% lidocaine. Once profound anesthesia was obtained, treatment began by using the microultrasonics to remove supragingival and subgingival calculus. Next, scaling and root planning was performed to fine scale and remove any residual calculus. Scaling and root planing were followed by microultrasonics with chlorhexidine to flush out and irrigate pockets. The last step consisted of the doctor using the soft-tissue laser. The laser was set at 3.5 to 4.5 continuous wave (cw), and Touchtips (Laser Dental Innovations), the tips of the laser that hold the laser fiber in place, were used to contour the tissue. The laser was then set at 1.2 cw and used to decontaminate the periodontal pockets. Once the laser was completed, vitamin E was placed and a gel was dispensed as a soothing and healing agent. Postoperative instructions were also given. Two weeks later, this same procedure was repeated on the upper arch (Figures 1e and 1f).

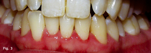
Fig. 3 Case 1 after treatment.
Results
Six weeks after the last PT, the patient returned for a SPT to evaluate the healing process as well as his home care and plaque control. During this appointment we also re-treated with microultrasonics and chlorhexidine for irrigation. At that time, a marked decrease in inflammation was noted, and the gingival tissue was responding well to the therapy. The tissue was generally pink and no longer bulbous. Some marginal redness was noted on the upper arch. The patient was given a Braun 3-D Excel Electric Toothbrush (Oral-B) and Oxyfresh toothpaste and fluoride rinse. He was placed on a 3-month SPT continuing care cycle. Twelve months posttreatment, the patient’s tissue was no longer bulbous and was generally pink. He had generalized 1- to 4-mm pocketing with 16 bleeding points (he originally had 109 bleeding points). The patient commented on how good the tissue looked and felt, and how it was no longer bleeding.
Case Report no. 2
A 46-year-old male presented with a desire to alleviate chronic pain he was experiencing on the upper left side. He stated that it had been more than 7 years since his last dental visit. The patient admitted that he had a fear of dental procedures and was uncomfortable in a dental environment. He also stated that his goal was to keep his natural teeth and bring his needed dentistry up to date. We conducted a comprehensive clinical and diagnostic evaluation. The patient presented with red, swollen gingiva that were tender to the touch, and the tissue contour was irregular in several areas. Upon disclosing, moderate plaque was present. Calculus, both subgingival and supragingival, was described as moderate to heavy. The patient had generalized recession of 1 to 2 mm. Probe depths ranged from 2 to 12 mm, with heavy, profuse bleeding upon probing. Radiographically, moderate to severe bone loss was noted. No mobility was present in any of the teeth. The diagnosis was advanced periodontitis type IV. Disruptive occlusal patterns and prematurities cannot be discounted as contributing etiologies in this case. Our clinical findings showed posterior crossbite, anterior open bite, and 80% overbite. We performed codiagnosis techniques with the patient by using a hand mirror, radiographs, and an intraoral camera in order to have the patient involved in the clinical data process and to understand the findings as we presented them to him. It was noted that his medical history was negative and presented no contributory data (Figures 2a to 2d).

Fig. 4-5 Case 2 before treatment
Treatment Plan
At the treatment plan consultation appointment we reviewed our findings, the etiology behind these concerns, and the treatment necessary to restore carious lesions and achieve perfect tissue health. Short-term goals were to treat active decay that was causing the patient chronic pain. Our first recommendation was to refer the patient to a periodontist due to the severity of the pocketing. The patient declined and requested to be treated at our office. The treatment recommendation consisted of 6 to 8 PTs at 2-week intervals with the repetitive placement of Atridox and the use of the diode laser. The goal was to achieve a reduction in pocket depth, inflammation, and bleeding points. The patient would also need a 6-week SPT to evaluate healing and to determine if he required more periodontal therapy, or he could be placed on a recare interval. Long-term treatment goals included the possibility of a referral to a periodontist if pocket reduction was not enough to achieve health and stability. The final phase of treatment would be to take the necessary bite registrations for mounted models and perform an occlusal analysis to diagnose and treat premature contacts and lateral interferences.
Procedure
At the IPT, the patient was disclosed and was given both manual and electric brushing instructions as well as flossing instructions. The patient was also instructed to dry brush for at least 10 minutes per day and to use a rubber tip stimulator to massage and help recontour the tissue. The patient was placed on 100 mg of doxycycline twice a day during PT to help get infection under control and to avoid periodontal abscesses due to the severity of the pocketing. He was also placed on Gel Kam 63 Stannous Fluoride (Cypress Pharmaceuticals) to help with root sensitivity. At each PT, scaling and root planing was performed in conjunction with microultrasonics and irrigation with chlorhexidine. Dr. Reichwage used the soft-tissue laser for removal of necrotic epithelial lining, and then Atridox was placed. Periodontal therapies were performed approximately 2 weeks apart and included ongoing monitoring of oral hygiene progress and healing (Figures 2e to 2h).

Fig. 6-7 Case 2 after treatment
Results
The patient was brought back for a 6-week SPT. At this time he was re-treated with microultrasonics and chlorhexidine for irrigation. He was also evaluated for healing and plaque control. The patient was placed on an 8 week SPT interval to monitorhealing closely. When the patient returned for his 6-week SPT, there was a significant improvement in pocket depths, but heavy bleeding was still present. Tooth and tissue sensitivity had been resolved. Three months after the PTs, the patient had a pocket reduction of 1 to 5 mm. Six months later, periodontal progress had been significant, but periodontal health was still not ideal, so the patient was placed on Periostat. Seventeen months postoperative, Atridox was placed in pockets of 5 mm or greater. At this appointment, the patient was found to have dramatic improvement in pocket depths, ranging from 2 to 7 mm (previously 2 to 12 mm), light bleeding, pink tissue, and normal contour. The patient was encouraged with the results. He was relieved that at this point he could be maintained without seeing a periodontist. The patient is aware that, in the future, Atridox will need to be placed sporadically to control the disease and maintain health. The patient is also aware of the importance of SPTs to maintain and control the disease process. These significant results could not have been achieved without the commitment and determination of both the patient and hygienist.
Conclusion
The identity that our team desires for our practice is one of dedication to excellence. Our method to achieve this identity is to offer each patient customized, comprehensive, state-of-the-art care. This includes complete and accurate periodontal diagnosis and treatment planning with the ultimate goal of perfect tissues. The benefit for our patients is that they actively participate in selecting the level of care that is best for them, which restores their mouths to comfort, health, aesthetics, and function.
Authors: David P. Reichwage, DDS; Cassie M. Strickler, RDH; Kristen M. Castle, CDA, EFDA; Denise L. Marr, CDA, EFDA; Amber M. Jaress, EFDAA
Note: This article incorporates conservative, nonsurgical periodontics as taught by JP Consultants Institute and Comprehensive Care Institute, with occlusal and restorative principles taught by Dr. Ronald D. Jackson and Dr. William Dickerson at the Las Vegas Institute for Advanced Dental Studies.
Reprinted from Dentistry Today, (2006:25(08): 46–49).