Zahntechnik 15.05.2013
HandWerk – Garantiert CAD/CAM-frei
share
Handarbeit prägt den Beruf des Zahntechnikers von jeher, und das wird auch sicherlich im Zeitalter der Dentalscanner noch lange so bleiben. Nicht jedes Labor ist in der Lage – oder Willens –, sich die benötigten Geräte anzuschaffen, um dann den Großteil des Auftrags und des Umsatzes an ein Fräszentrum abzugeben.
Die Daten eines Oralscans sind sicherlich für Kronen und kleine Brücken schon alltagstauglich. Aber welches Labor möchte eine große Implantatarbeit nur anhand von virtuellen Bildern auf dem Monitor herstellen und anschließend die Garantie für die Passung übernehmen? Hier ist für viele immer noch das gute alte Handwerk gefragt. Garantiert CAD/CAM-frei habe ich diesen Artikel überschrieben, weil ich zeigen möchte, wie ich herausnehmbare Implantatarbeiten ganz ohne Maus und PC kostengünstig, passgenau und schnell herstellen kann: Ohne Outsourcing, dafür aber mit de vollen Umsatz im eigenen Labor – Handarbeit vom Modell bis zur Eingliederung.
Der Fall
Der Leidensweg unseres Patienten ist bereits lang. Die ursprünglich teleskopgetragene Unterkieferprothese wurde im Laufe der Zeit in eine Totalprothese umfunktioniert. Der Kieferknochen resorbiert in den folgenden Jahren immer weiter. Auch zahllose Unterfütterungen können der Prothese keinen befriedigenden Halt mehr geben. Haftcreme ist scheinbar die letzte Möglichkeit, um noch etwas Kaukomfort zu erhalten.
Irgendwann ist der Leidensdruck so groß, dass der Patient sich über den Einsatz von Implantaten informiert, um wieder mehr Lebensqualität zu erreichen. So werden nach umfangreichen Voruntersuchungen und Planungen vier Implantate (CAMLOG GmbH, Wimsheim) inseriert. Nach einer sechsmonatigen Einheilphase kann nun mit der zahntechnischen Versorgung begonnen werden. Geplant ist eine herausnehmbare Teleskopprothese, die im Einstückguss aus einer NEM-Legierung angefertigt werden soll
Modellherstellung
Die Abformung erfolgt mit einem geschlossenen Löffel (Abb. 1). Für die Modellherstellung werden die durchmesserentsprechenden Laborimplantate mit den Abformpfosten verschraubt. Diese werden dann in die Repositionshilfen im Abformlöffel repositioniert. Ein deutliches Einrasten zeigt die korrekte Positionierung der Abformpfosten an (Abb. 2). Das Modell wird aus Superhartgips der Klasse IV hergestellt und mithilfe der Bissnahme in einen Artikulator eingesetzt (Abb. 3 und 4).
Herstellung der Innenteleskope
Zunächst einmal wird die Prothese komplett aufgestellt und am Patienten eine Anprobe durchgeführt (Abb. 5). Wenn alles passt und der Patient mit der Ästhetik einverstanden ist, wird die Situation mit Silikon vor wällen fixiert (Abb. 6). In die Laborimplantate werden gerade CAMLOG Vario SR Abutments eingeschraubt und hier auf Vario SR Kunststoffkappen mit einer Laborschraube fixiert (Abb. 7 und 8). Die günstigste Einschubrichtung wird ermittelt und mit einem Frässockel fixiert. Die Kunststoff kappen werden individuell entsprechend des Platzangebotes, das der Vorwall vorgibt, gekürzt (Abb. 9). Die Modellation der Innenteleskope erfolgt mit einem handelsüblichen Fräswachs. Da die Implantate sehr dicht beieinander stehen, werden die Innenteleskope paarweise verblockt. Mit einer 1°-Wachsfräse werden die Innenteile dann im Fräsgerät konisch gefräst. Mit dem Vorwall kann man die Platzverhältnisse gut kontrollieren und die Innenteile der Situation anpassen (Abb. 10–12). Für die Umsetzung in eine NEM-Legierung werden Gusskanäle in Düsenform angewachst (Abb. 13). Diese garantieren durch ihre trichterartige Form ein homogenes Ausfließen des Hohlraums in der Muffel. Die Muffel wird im Speedverfahren aufgeheizt und der Guss erfolgt mit einer CoCr-Legierung (Abb. 14). Ein passgenauer NEM-Guss stellt heute kein Problem mehr dar. Die Systemkomponenten sind so gut aufeinander abgestimmt, dass Kronen, Abutments und auch Brücken nach dem Guss problemlos passen (Abb. 15 und 16). Gefräst und poliert werden die Innenteile mit kreuzverzahnten Hartmetallfräsern der Firma Komet Dental und mit den Frästechnikpolierern zum Vor-, Glanz- und Hochglanzpolieren (Abb. 17 und 18)
Herstellung der Sekundärstruktur
Die Sekundärstruktur wird im Einstückgussverfahren hergestellt. Hierfür stellt die Dentalindustrie verschiedene, gut funktionierende Systeme zur Verfügung. Zunächst wird das Meistermodell dubliert. Hierfür werden alle retentiven Bereiche mit Unterlegwachs bestückt. Die Löcher der Verschraubungen in den Abutments werden mit Wachs verschlossen. Auf die Deckel wird ein Platzhalter aufgetragen (Abb. 19). Dadurch wird verhindert, dass der Deckel des Außenteleskops zu früh auf dem Innenteleskop aufliegt und die Teleskope nicht ganz in ihre Schlussposition gleiten. Für die Dublierung wird ein silikonsparendes System verwendet. Um das vorbereitete Modell wird ein Dublierklebeband geklebt und eine passende Stabilisierungsplatte mit der Fixierungshilfe positioniert. Das Silikon wird bis zur oberen Kante der Stabilisierungsplatte eingefüllt. Die Stabilisierungplatte gibt dem relativ weichen Silikon die nötige Stabilität. Nach der Aushärtung des Silikons wird das Meistermodell entnommen und der Silikonform eine Rückstellzeit von mindestens 15 Minuten gegönnt (Abb. 20). Erst dann wird das Einbettmassemodell hergestellt. Hierbei kommt die sogenannte Kerneinbettung zum Einsatz. Das Dublierklebeband wird wieder um die Silikonform geklebt. Zunächst wird die Masse für die Innenteile mit einer Konzentration von ungefähr 80 % nach Herstellerangaben angemischt und in die Teile der Dublierform eingefüllt, die die Innenteleskope darstellen. Bevor diese Masse abgebunden hat, muss das restliche Modell mit einer Konzentration von 50 % der gleichen Einbettmasse aufgefüllt werden. Der Rüttler sollte dabei nur noch sparsam eingesetzt werden (Abb. 21).
Die Expansion der Einbettmasse kann sich nun beim Aushärten dank des weichen Silikons voll entfalten. Die Konzentrationsangaben, vor allem für die Stümpfe, sind nur Richtwerte, die von Anwender zu Anwender schwanken können und die jeder Techniker für sich durch einige Testgüsse ermitteln sollte. Je größer die Innenteleskope, umso geringer muss die Konzentration des Liquids sein. Nach Ablauf der Abbinde- und Expansionszeit von mindestens 25 Minuten wird das Einbettmassemodell entformt und die Sekundärkonstruktion kann modelliert werden. Hierbei leistet der Vorwall mit den eingesetzten Zähnen wichtige Hilfe (Abb. 22). Die Teleskope werden mit Ringlochretentionen verbunden und für die Frontzähne werden zusätzlich Stiftretentionen angewachst. Auf einen Unterzungenbügel kann bei solch einer Konstruktion verzichtet werden (Abb. 23–26). Eingebettet wird mit der gleichen Einbettmasse und mit der gleichen Konzentration, mit der auch das Modell hergestellt wurde. Die Kreppmanschette, die zur Herstellung der Muffel um das Einbettmassemodell geklebt wird, erlaubt die volle und ungehinderte Expansion der Einbettmasse. Aufgewärmt wird wieder im Speedverfahren, der Guss erfolgt wie gewohnt (Abb. 27). Nach dem Ausbetten und sauberen Abstrahlen der Konstruktion mit Al2SO3 werden zunächst die Gusskanäle abgetrennt und die Konstruktion grob ausgearbeitet. Eventuell vorhandene Grate an den Außenteleskopen werden mit einer feinen Fräse vollständig entfernt. Dann werden die Innenteleskope eingepasst (Abb. 28). Die Friktion wird mit Gummierern eingestellt, und abschließend wird die Innenseite der Außenteleskope auf Hochglanz poliert.
Verblendung
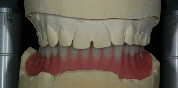
Wenn alles passt, kann die Sekundärstruktur verblendet werden. Hierzu werden zunächst alle Retentionen mit rosa Opaker und die Außenteleskope mit einem Opaker der entsprechenden Zahnfarbe beschichtet (Abb. 29). Die Außenteile werden in diesem Fall nicht mit einem Komposit verblendet, sondern die aufgestellten Zähne werden mit integral esthetic press (Merz Dental GmbH, Lütjenburg) an den Außenteleskopen befestigt (Abb. 30 und 31). Die restlichen Zähne werden wieder aufgestellt und die Arbeit noch einmal anprobiert (Abb. 32–34). Nach eventuell notwendigen Korrekturen kann die Arbeit fertiggestellt werden (Abb. 35–40).
Fazit
Mithilfe moderner, auf die NEM-Legierungen abgestimmter Materialien ist es möglich, leichte, aber trotzdem stabile Einstückgussprothesen herzustellen, die ohne jede Lötung, Klebung, ohne Friktionshilfsteile und ohne den Einsatz von CAD/CAM-Equipment auskommen. Da für Innen- und Außenteile und Modellgussanteile die gleiche NEM-Legierung verwendet wird, entsteht ein biokompatibler Zahnersatz, der ohne Unterzungenbügel oder Transversalverbinder angefertigt werden kann. Einstückguss-Teleskoparbeiten können ohne viel Aufwand zu einem günstigen Preis hergestellt werden. Wenn sich nach einigen Arbeiten alle Verfahrensschritte eingespielt haben, ist der Techniker in der Lage, solch eine Arbeit schon fertig zu haben, bevor das industriell gefertigte Werkstück aus dem Fräszentrum zurück ist. Die hier beschriebene Prothese wurde als reine HandWerks-Arbeit angefertigt. Alle Verfahrensschritte sind dem Techniker bekannt, alle benötigten Geräte sind in einem zahntechnischen Labor vorhanden. Der Techniker kann sein Wissen um Materialien, Verarbeitung, Anatomie, Funktion und Ästhetik voll zum Einsatz bringen. Der Umsatz bleibt im Labor. Lange wird es aber wohl nicht mehr dauern, dann sind die handwerklichen Fähigkeiten nicht mehr so entscheidend. Ein junger Mensch, der heute die Zahntechnik erlernt, wird viel mehr mit dem Computer arbeiten. Allerdings wird das Wachsmesser da nicht durch die Maus ersetzt, wie es am Anfang dieser Entwicklung oft geheißen hat. Vielmehr konstruieren die Programme den Zahnersatz schon aus umfangreichen Datenbanken wie von Zauberhand. Innenteile, Außenteile und selbst die Verblendungen kommen schon aus den Maschinen. Dieser Trend ist nicht mehr umkehrbar. Er schreitet mit jedem Jahr schneller voran. Für den modernen Techniker ist es sehr wichtig, sich beizeiten mit dieser Technik auseinanderzusetzen und es zu lernen, hochwertige Arbeiten mithilfe der Maschinen anzufertigen. Aber bis es so weit ist, machen wir noch echte, CAD/CAM-freie Handarbeit, die, wie die Erfahrung gezeigt hat, sehr gut und problemlos funktioniert.
Pinzette (BWI)
Directa TrollByte Kimera
3-Layer FLEX
3D-gedruckte Schienen
DD cube X® ML
DD Incisal X
DD Art Elements – Effektfarben
DD Solid Link
DD Bio Splint FLEX
DD Bio Splint P HI