Branchenmeldungen 11.12.2012

Forscher belegen Zuverlässigkeit von Implantaten

Forscher belegen Zuverlässigkeit von Implantaten

Foto: Foto: Uni Bern

Forschende der Zahnmedizinischen Kliniken (ZMK) Bern konnten in einer umfangreichen Langzeitstudie aufzeigen, dass bei der Routinebehandlung von Zahnimplantaten kaum Komplikationen auftreten und das Risiko für die Patienten somit gering ist.

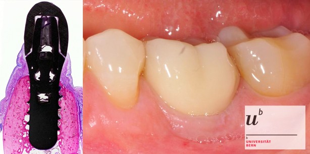
Zahnimplantate bedeuten für Patientinnen und Patienten eine grosse Hilfe: Sie stellen nach einem Zahnverlust die Kaufunktion und die Ästhetik wieder her und sind zahnschonender als Brücken, für die ein Teil der gesunden Zahnsubstanz abgeschliffen werden muss. Grosse Entwicklungsschritte in der Implantologie erfolgten ab Mitte der 1980er und bis Ende der 1990er Jahre, seither kann von einer Routinephase gesprochen werden.

Um zu prüfen, wie zuverlässig diese Zahnimplantate sind, hat eine Forschergruppe der Zahnmedizinischen Kliniken (ZMK) Bern eine Langzeitstudie durchgeführt, die nun in der international führenden Fachzeitschrift «Clinical Implant Dentistry and Related Research» publiziert wurde. Die Studie der ZMK zeigt, dass Behandlungen mit Zahnimplantaten eine hohe Zuverlässigkeit mit einer geringen Komplikationsrate aufweisen.

Risiko eines Implantatverlusts ist gering

Die Studie mit einer Laufzeit von zehn Jahren umfasste mehr als 300 teil-bezahnte Patientinnen und Patienten, bei denen Ende der 90er Jahre einzelne oder mehrere Zähne durch insgesamt 511 Implantate ersetzt worden waren. Dabei wurden Titanimplantate mit einer damals neuen mikrorauen Oberfläche verwendet, die noch heute eingesetzt werden. Die Nachkontrolle dieser Patienten ergab, dass über diese Zeit lediglich sechs Implantate nicht gehalten hatten, was einer Verlustrate von 1.2 Prozent entspricht. Weitere 1.8 Prozent der Implantate zeigten während dieses Zeitraums eine biologische Komplikation in Form einer Infektion.

«Die Resultate haben unsere bereits optimistischen Erwartungen übertroffen», freut sich Daniel Buser, Direktor der Klinik für Oralchirurgie und Stomatologie, der mit Giovanni Salvi, stellvertretender Direktor der Klinik für Parodontologie, und Urs Brägger, Leiter der Abteilung für Kronen- und Brückenprothetik, die Studie durchgeführt hat. «Solche Kennzahlen sind für uns wichtig, damit wir den Patientinnen und Patienten die Risiken darlegen können.»

Der Zahnmediziner betont, dass die Studie unter strikten Bedingungen durchgeführt worden sei, da nur evidenz-basierte Behandlungsmethoden zur Anwendung kamen, wissenschaftlich gut dokumentierte Implantate verwendet wurden und die meisten Patienten eine gute Mundhygiene betrieben sowie regelmässig mit Dentalhygienekontrollen betreut wurden.
Zudem waren die involvierten Implantat-Chirurgen gut ausgebildet und wiesen eine grosse klinische Erfahrung auf. «Dies sind alles begünstigende Faktoren für gute Langzeitergebnisse von Zahnimplantaten», so Buser.

Berner Zahnmediziner international führend

Die Zahnmedizinischen Kliniken Bern sind seit rund 40 Jahren wissenschaftlich in der zahnärztlichen Implantologie tätig und gehören heute zu den international führenden Kompetenzzentren in diesem wichtigen Bereich der Zahnmedizin. Die Aktivitäten umfassen nicht nur eine hohe präklinische und klinische Forschungstätigkeit, sondern auch die Behandlung von rund 1000 Implantatpatientinnen und -patienten pro Jahr. Zudem organisieren die ZMK in Bern regelmässig international ausgeschriebene Fortbildungskurse und Implantatkongresse.

Bibliographische Angaben:
Daniel Buser, Simone F. M. Janner, Julia-Gabriela Wittneben, Urs Brägger, Christoph A. Ramseier, Giovanni E. Salvi: 10-Year Survival and Success Rates of 511 Titanium Implants with a Sandblasted and Acid-Etched Surface: A Retrospective Study in 303 Partially Edentulous Patients, Clinical Implant Dentistry and Related Research, Dezember 2012, DOI: 10.1111/j.1708-8208.2012.00456.x

Quelle: idw-online; Uni Bern

Neue Broschüre „Implantate brauchen Pflege“ erhältlich
Mehr News aus Branchenmeldungen

ePaper