Zur Übersicht
Profil
authorImage

Dr. Frank Beck

Praxis Dr. Frank Beck
Am Pfaffensteiner Hang 17
93059 Regensburg
Deutschland
Vita anzeigen

Kurzvita

- Zahnarzt

- Spezialist für Parodontologie

Artikel auf ZWP online

articleImage
Parodontologie 10.11.2011

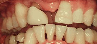
Ozonanwendung in der Parodontologie

In der menschlichen Mundhöhle gibt es im Wesentlichen zwei Infektionserkrankungen: Karies und die Parodontitis. Während die Karies eine spezifische Infektion ist, handelt es sich bei der Parodontitis um eine kommensale Mischinfektion obligater Mundhöhlenflorakeime.

Artikel in Publikationen

Erwähnungen in Publikationen

issueImage
TD ZWP today

Vorschau: Kongresse & Veranstaltungen

Jahr 2008, Ausgabe 12, Seite 4 Autoren: Redaktion

PDF

ePaper