Zur Übersicht
Profil
authorImage

Dr. med. Dr. med. dent. Eberhard Bender

Arzt für Mund-, Kiefer- und Gesichtschirurgie
Michael-Vogel-Str. 1e
91052 Erlangen
Deutschland
Vita anzeigen

Kurzvita

Artikel auf ZWP online

Artikel in Publikationen

issueImage
Oralchirurgie Journal

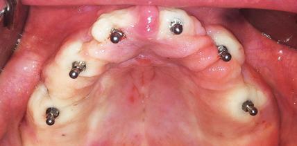
Mini-Implantate: Eine adäquate Therapieoption für Senioren

Jahr 2014, Ausgabe 01, Seite 28 Autoren: Dr. Dr. Eberhard Bender

ePaper  |  PDF

Erwähnungen in Publikationen

ePaper