Zur Übersicht
Profil
authorImage

Dr. Nadja Grättinger

Dr. med. dent., M.Sc.L.O., Nadja Grättinger
Fachzahnärztin für Kieferorthopädie
Hauptstraße 8b
82319 Starnberg
Deutschland
Vita anzeigen

Kurzvita

  • 1987 - 1993: Studium der Zahnheilkunde an der Ludwig-Maximilians-Universität München
  • 1993: Approbation als Zahnärztin
  • 1995: Promotion zum Dr. med. dent. (Gesamtnote: magna cum laude)

  • 1993-1995: Ausbildungsassistentin in der Zahnarztpraxis Dr. Werner Habersack in Weilheim/Obb.

  • 1995-1997: Weiterbildungsassistentin in der kieferorthopädischen Praxis Dr. Karin Habersack in Weilheim/Obb.

  • 1997-1998: Fortsetzung der Weiterbildung an der Poliklinik für Kieferorthopädie der LMU München, Direktion Frau Professor Dr. Ingrid Rudzki-Janson

  • 1998: Anerkennung als Fachzahnärztin für Kieferorthopädie

  • 1999: Neugründung der kieferorthopädischen Fachpraxis in Starnberg

  • 1995: Mitgliedschaft bei der Deutschen Gesellschaft für Kieferorthopädie (DGKFO)

  • 1998: Mitglied beim Berufsverband der Deutschen Kieferorthopäden e. V. (BDK)

  • 2003: Auszeichnung durch das „Qualitätsforum KFO“ des Berufsverbandes der Deutschen Kieferorthopäden (BDK)

  • 2008: Zertifiziertes und aktives Mitglied im „German Board of Orthodontics and Orofacial Orthopedics“(GBO)

  • 2009: Zertifiziertes und aktives Mitglied in der “Deutschen Gesellschaft für linguale Orthodontie” (DGLO)

  • 2010: Zertifiziertes und aktives Mitglied in der „European Society of Lingual Orthodontics“ (ESLO) mit Auszeichnung und dem Erreichen des 2. Platzes für die besten Behandlungsfälle in London

  • 2010: Erlangung des Master-Grades „Master of Science“ (M. Sc.) im Master-Studiengang „Lingual Orthodontics“ an der Medizinischen Hochschule Hannover

  • 2013: Zertifiziertes und aktives Mitglied in der „World Society of Lingual Orthodontics“ (WSLO)

Artikel auf ZWP online

articleImage
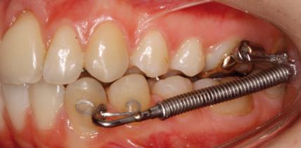
Kieferorthopädie 08.11.2013

Forsus-Feder in Kombination mit der Lingualtechnik

Die Therapie von Distalbissen gehört zu den häufigsten Behandlungen in KFO-Praxen. Im Folgenden wird gezeigt, dass die Regulierung eines einseitigen Distalbisses mit einer individuellen lingualen Apparatur in Kombination mit einer Klasse II-Gebissfeder gleichermaßen möglich ist.

Artikel in Publikationen

Erwähnungen in Publikationen

ePaper