Branchenmeldungen 03.05.2017

Fortsetzung des erfolgreichen Seminarangebots von SICAT

Fortsetzung des erfolgreichen Seminarangebots von SICAT

Foto: SICAT/Dentsply Sirona

Sicher implantieren mit 3D-Planung und Bohrschablone

Über die computergestützte Planung von Implantaten und den Einsatz von Bohrschablonen können sich Zahnärzte am 7. Juli 2017 in München in der Allianz Arena informieren. Das halbtägige Seminar bietet Einblicke in Software, Workflow und Anwendungssituationen.

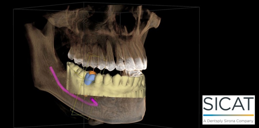
3D – und nun? Der Titel der aktuellen SICAT Fortbildung zum Thema „Mehrwert in der 3D-Implantatplanung“ greift eine Frage auf, die sicher viele Einsteiger in die computergestützte Zahnheilkunde beschäftigt. Denn auch wenn digitale Technologien bereits in vielen Praxen Einzug gehalten haben, werden deren umfassende Möglichkeiten nicht immer voll ausgeschöpft. SICAT, ein Tochterunternehmen von Dentsply Sirona, hat sich auf digitale 3D-Lösungen für dentale Fachbereiche spezialisiert. Dazu gehört unter anderem die digitale Implantatplanung und Umsetzung mit Bohrschablonen.

3D-Röntgendaten und eine Implantatplanungssoftware bieten dem Behandelnden viel Sicherheit: Er bestimmt vorab die Position des Implantats und inseriert es dank Bohrschablone sehr präzise. Wie genau das funktioniert, erfahren Anwender und Interessierte am 7. Juli zwischen 15 und 19 Uhr in der Allianz Arena in München. Dort gewähren drei Experten spannende Einblicke in die Planungssoftware Galileos Implant und die geführte Chirurgie mit Bohrschablonen.

Die Fachzahnärztin für Oralchirurgie Dr. Anne Bauersachs, SICAT 3D Applikationsspezialist Felix Uckert sowie Johannes Strey, Vertriebsspezialist Röntgen bei Dentsply Sirona, erläutern die Vorteile des komplett digitalisierten Workflows, demonstrieren diesen anhand eines Patientenfalls und stellen verschiedene Optionen der geführten Chirurgie vor. Konkrete Fallplanungen mit der Software Galileos Implant und ein offener Erfahrungsaustausch runden das Programm ab. Für das Seminar des Bonner Bohrschablonen-Spezialisten SICAT werden sechs Fortbildungspunkte nach den Richtlinien der DGZMK vergeben. Die Teilnahmegebühr beträgt 199,00 Euro pro Person zuzüglich Mehrwertsteuer.

Weitere Informationen zum Seminar „3D – und nun? Mehrwert in der 3D-Implantatplanung“ und die Möglichkeit zur Anmeldung gibt es unter www.sicat.de/roadshow-muenchen oder direkt bei SICAT: norina.kurth@sicat.com.

Quelle: Dentsply Sirona

Dieser Beitrag stammt von dem Anbieter und spiegelt nicht die Meinung der Redaktion wider.
Mehr News aus Branchenmeldungen

ePaper