Branchenmeldungen 09.03.2026
Tiefenfluorid ® von Humanchemie – mit zwei Schritten zum Erfolg
Mehr als nur Oberflächenschutz
Prävention ist das Fundament für lebenslang gesunde Zähne. Doch nicht alle Fluoridierungsmethoden sind gleich effektiv. Während herkömmliche Fluoridlacke oft nur oberflächlich anhaften und schnell abgetragen werden, setzt das Tiefenfluorid® von Humanchemie dort an, wo der Schutz am dringendsten benötigt wird: in der Tiefe des Zahnschmelzes.
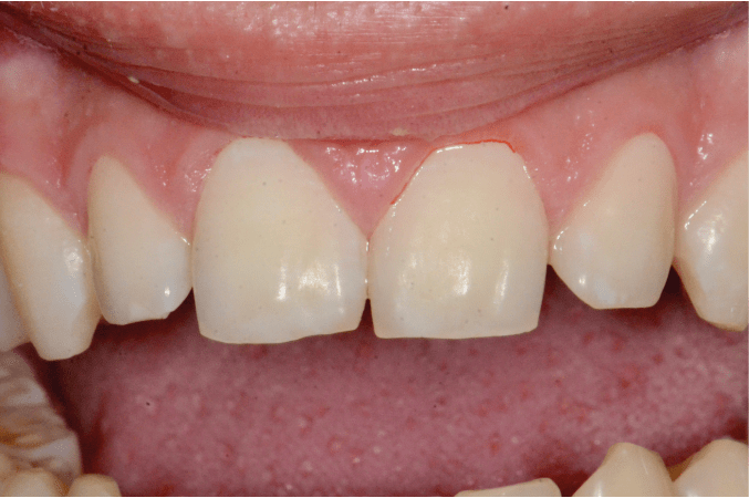
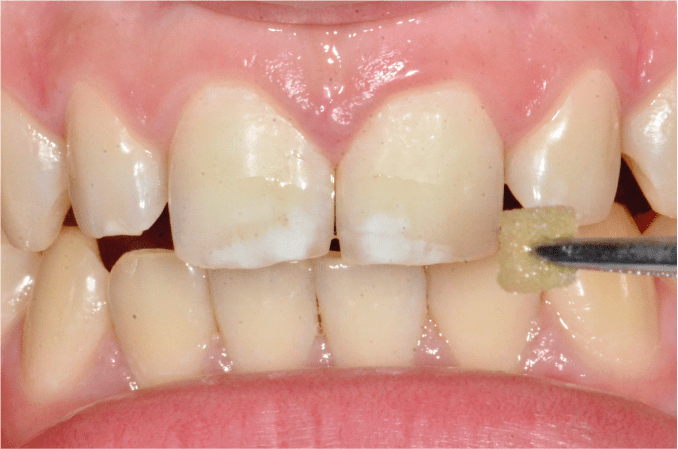
Behandlung einer Molaren-Inzisiven-Hypomineralisation (MIH) bei einem 13-jährigen Patienten
| |
| Beginn Behandlung Oktober 2024 | nach sechsmaliger Behandlung mit Tiefenfluorid® im April 2025 |
Die entscheidenden Vorteile für Ihre Praxis:
- Effektive Zahnhalsdesensibilisierung
Langanhaltende Wirksamkeit, da das entstehende Calciumfluorid vor Abrasion geschützt in der Tiefe des Schmelzes liegt. Farbneutral (kein Nachdunkeln), auch nach Bleaching. Schnelle und sichere Schmerzreduktion über sechs Monate.
- Mineralische Fissurenversiegelung
Die Alternative zur Polymerversiegelung – ohne Retentionsprobleme. Allergien sind nicht bekannt. Wirkt durch Stärkung der Remineralisation. - Kariesprophylaxe – auch bei Brackets
Durch die geringe Viskosität wird auch an sonst schwer erreichbaren Stellen eine dauerhafte und gleichmäßige Fluoridverfügbarkeit erzielt. Aufgrund der starken Remineralisation können auch White Spots erfolgreich therapiert werden. - Hohe Patientenakzeptanz
Die Anwendung ist schnell, schmerzfrei und lässt sich problemlos in jede professionelle Zahnreinigung integrieren. Der Patient kann nach der Anwendung sofort essen und trinken.
Sichern Sie sich jetzt 20 % Rabatt auf unser gesamtes Tiefenfluorid- Sortiment und testen Sie Ihre Favoriten mit dem Aktionscode: ZWP26
