Branchenmeldungen 02.06.2014
Webinar: Wie erreiche ich ein ansprechendes Lächeln in Rekordzeit?
Ein perfektes Lächeln in nur sechs Monaten? Die Kombination aus geprüfter kieferorthopädischer Technik und modernsten Materialien macht es möglich. In einem von DT Study Club präsentierten Webinar am 11. Juni erfahren die Teilnehmer wie das genau geht – und das kostenfrei und bequem vor dem eigenen Rechner.
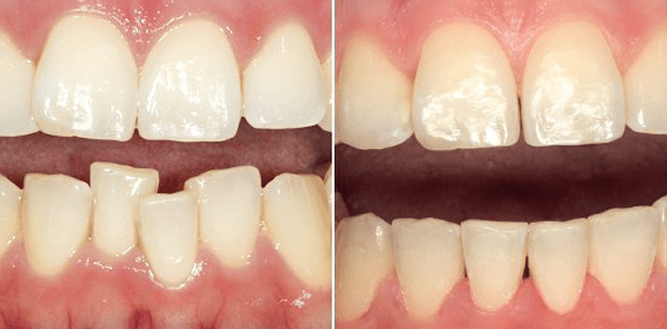
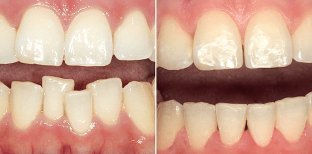
Erwachsene scheuen sich oftmals davor, sich ihre Zähne begradigen zu lassen. Zu groß ist die Angst, über einen langen Zeitraum eine Metallzahnspange tragen zu müssen. Alternative Zahnkorrekturmaßnahmen erfordern eine Operation oder sind sehr preisintensiv.
Mit dem speziellen durchsichtigen Spangensystem von Six Month Smiles wird eine behutsame Aufrichtung und Begradigung der Zähne in einer durchschnittlichen Zeit von nur sechs Monaten ermöglicht. Im Webinar stellt Referent Dr. Jan Einfeldt die effektive und bezahlbare kosmetische Spangensystemlösung vor, erläutert die Wirkungsweise und erklärt den Unterschied zu einer Behandlung mit Alignern.

Die Anmeldung für das etwa einstündige Webinar „Six Month Smiles – Erweitern Sie Ihr Behandlungsspektrum und schenken Sie Ihren Patienten ein neues Lächeln!“ ist ab sofort auf der Internetseite des DT Study Clubs möglich.
Die Übertragung erfolgt am Mittwoch, 11. Juni, ab 17 Uhr und kann bequem an jedem beliebigen Rechner verfolgt werden. Alle Teilnehmer haben die Möglichkeit, während der Übertragung per Chat Fragen an den Referenten zu stellen und sich durch das Beantworten eines Online-Fragebogens zur behandelten Thematik einen Fortbildungspunkt zu sichern.
Die kostenfreie Anmeldung ist ab sofort auf der Webseite www.dtstudyclub.de möglich.
Quelle: DT Study Club