defaultContestImage

Leider kein Gewinn!

Suchen Sie weiter, die nächste Flasche könnte ein Gewinner sein.

rivetContestImage
Wissenschaft und Forschung 02.09.2014

Von der Nase zum Knie: Gelenke mit körpereigenem Knorpel repariert

Von der Nase zum Knie: Gelenke mit körpereigenem Knorpel repariert

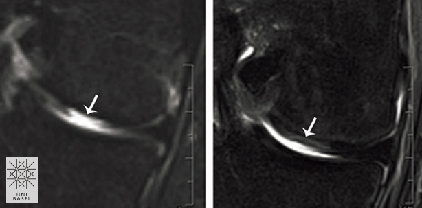
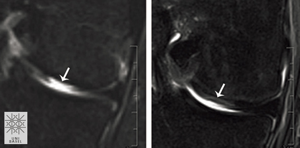
Foto: © Universität Basel, Departement Biomedizin

Beschädigte Gelenkknorpel am Knie lassen sich beim Menschen mit Knorpelzellen aus der Nase reparieren. Wie Forschende von Universität und Universitätsspital Basel berichten, können sich die Zellen aus der Nasenscheidewand an die Umgebung des Kniegelenks anpassen und somit Knorpeldefekte heilen. Diese Regenerations- und Anpassungsfähigkeit der Knorpelzellen der Nase hängt mit der Expression sogenannter Hox-Gene zusammen. Die Forschungsresultate und die Ergebnisse der ersten behandelten Patienten werden in der Fachzeitschrift „Science Translational Medicine“ veröffentlicht.

Knorpelschäden an Gelenken treten häufig bei älteren Menschen als Folge von jahrelanger Abnutzung auf, regelmässig aber auch bei jüngeren nach Verletzungen und Unfällen. Solche Schäden können derzeit nur schwer geheilt werden und erfordern oft komplizierte Operationen mit darauf folgenden langwierigen Rehabilitationen. Eine neue Möglichkeit zeigt nun ein Team am Departement Biomedizin von Universität und Universitätsspital Basel um Prof. Ivan Martin, Professor für Tissue Engineering, sowie Prof. Marcel Jakob, Chefarzt der Traumatologie: Knorpelzellen der Nase können solche eines Gelenks ersetzen.

Die Knorpelzellen der Nasenscheidewand (nasale Chondrozyten) haben die besondere Fähigkeit, sich zu regenerieren. Für eine laufende klinische Studie entnahmen die Forschenden bisher bei sieben von insgesamt 25 unter 55-jährigen Patienten kleine Biopsien von 6 Millimeter Durchmesser aus der Nasenscheidewand und isolierte daraus die Knorpelzellen. Diese vermehrten sie in Kultur auf ein Vielfaches der ursprünglichen Zellzahl und brachten sie danach auf ein Gerüst auf, um ein Knorpelstück von rund 30 x 40 Millimeter Grösse zu züchten. Einige Wochen später entfernten sie das beschädigte Knorpelgewebe am Knie der Patienten und ersetzten es durch das herangewachsene und zugeschnittene Gewebe aus der Nase. Mit demselben Verfahren haben die Forschenden in Basel bereits in einer klinischen Studie, in Zusammenarbeit mit der plastischen Chirurgie, kürzlich Nasenflügel rekonstruiert, die von Tumoren befallen waren.

Überraschende Anpassung

Die Forschenden um Erstautorin Dr. Karoliina Pelttari überraschte vor allem, dass die bei einem Tierversuch mit Ziegen implantierten Knorpelzellen der Nase mit der Gewebeumgebung am Kniegelenk kompatibel waren, obwohl die beiden Zelltypen verschieden sind. Denn in der embryonalen Entwicklung entstehen Zellen der Nasenscheidewand aus dem äusseren Keimblatt (Neuroektoderm), aus dem sich auch das Nervensystem bildet; ihre Regenerationsfähigkeit wird damit erklärt, dass bei ihnen einige sogenannte Homöobox (Hox)-Gene nicht exprimiert sind. Dagegen finden sich diese Hox-Gene in Zellen des Gelenkknorpels, die sich im Embryo aus dem mittleren Keimblatt (Mesoderm) bilden.

„Die Erkenntnisse aus der Grundlagenforschung und den präklinischen Studien über die Eigenschaften der Nasenknorpelzellen und den daraus gezüchteten Transplantaten haben die Möglichkeit eröffnet, eine innovative Behandlung für Knorpeldefekte bei Patienten zu untersuchen“, sagt Prof. Ivan Martin zu den Studienergebnissen. Bereits früher wurde gezeigt, dass die Fähigkeit der menschlichen Nasenknorpelzellen, zu wachsen und neue Knorpel zu bilden, kaum altersabhängig ist. Deshalb könnten auch ältere Menschen von der neuen Methode profitieren, ebenso Patienten mit grösseren Knorpelverletzungen. In der laufenden klinischen Studie mit 25 Patienten am Universitätsspital Basel wird weiter untersucht, wie mit Knorpelzellen aus der Nasenscheidewand gezüchtete Knorpelgewebe sicher und ohne Nebenwirkungen in Gelenke transplantiert werden können.

Originalbeitrag:

Karoliina Pelttari, Benjamin Pippenger, Marcus Mumme, Sandra Feliciano, Celeste Scotti, Pierre Mainil-Varlet, Alfredo Procino, Brigitte von Rechenberg, Thomas Schwamborn, Marcel Jakob, Clemente Cillo, Andrea Barbero, Ivan Martin
Adult human neural crest-derived cells for articular cartilage repair, Science Translational Medicine, 6, 251ra120 (2014) | doi: 10.1126/scitranslmed.3009688

Quelle: Universität Basel

Mehr News aus Wissenschaft und Forschung

ePaper