Cosmetic Dentistry 27.06.2016

Ästhetik in der Traumatologie – Minimalinvasive Keramikversorgung einer Kronenfraktur



Ästhetik in der Traumatologie – Minimalinvasive Keramikversorgung einer Kronenfraktur

Foto: © Autoren

Neue Trendsportarten können vor allem bei jugendlichen Patienten zu einem Zahntrauma führen.1 Die Fraktur der juvenilen Frontzahnkrone mit ausgeprägter Transluzenz und Anatomie gehört dabei zu den ­häufigsten Ereignissen.2 Gerade hier wird es schwierig, das ursprüngliche Farb- und Lichtspiel zu rekonstruieren. Im folgenden Patientenbeispiel schildert der Autor die Vorgehensweise eines solchen Falles.

Die Adhäsivtechnik macht heute eine Repositionierung des Frakturstücks als Re­attachment-Restauration möglich.3 Nichts passt besser als die eigene Zahnhartsub­stanz. Was aber, wenn das Frakturstück nicht mehr aufzufinden ist oder sich auf grund von abgesprengten Anteilen nicht mehr repositionieren lässt? Mit Komposit und der Säureätztechnik haben wir zwar die Möglichkeit, minimalinvasiv zu behandeln, aber gerade bei juvenilen Zähnen und größeren Defekten wird es oft schwierig, detailgetreu und natürlich zu rekonstruieren. Eine echte hochästhetische und dauerhafte Alternative bietet gerade hier die vollkeramische Versorgung.4 Eine hauchdünne Restauration aus Feldspatkeramik kann, wie in diesem Fall, ein minimalinvasives Vorgehen und Ästhetik auf höchstem Niveau ermöglichen.

Patientenfall

Ausgangssituation
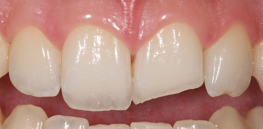
Ein 21-jähriger männlicher Patient wurde aufgrund eines Sportunfalls in der Zahnarztpraxis vorstellig. Der unliebsame Kontakt mit einem Hockeyschläger hatte eine Schmelz-Dentin-Fraktur ohne Pulpabeteiligung an 21 und eine reine Schmelzfraktur an 22 inzisal zur Folge (Abb. 1). Beide Zähne zeigten Vitalität auf Kälte, die Perkussion war negativ. Ein Lockerungsgrad beziehungsweise Verlagerungen konnten nicht diagnostiziert werden, die röntgenologische Kontrolle zeigte sich unauffällig. Das Frakturstück von 21 konnte nicht mehr repositioniert werden. Um die Vitalität des Zahns zu erhalten, wurde die ­Dentinwunde an 21 provisorisch adhäsiv abgedeckt.

Vorgehensweise
Da eine langfristige und hochästhetische Versorgung vom Patienten gewünscht wurde, fiel die Entscheidung auf eine minimalinvasive Versorgung von 21 mit einer Feldspatkeramik. Der inzisale Schmelzdefekt an 22 sollte abschließend direkt mit Komposit versorgt werden. Eine Situationsabformung wurde von der frakturierten Ist-Situation genommen, um am Modell ein idealisiertes Wax-up erstellen zu können. Mit Knetsilikon wurde ein palatinaler Schlüssel dieser Rekonstruktion hergestellt, um eine lagestabile und form­orientierte Keramikschichtung auf dem feuerfesten Stumpf zu ermöglichen.

Farbraumbestimmung
In einem Folgetermin wurde zuerst die Grundzahnfarbe mit dem VITA Toothguide 3D-MASTER (VITA Zahnfabrik) bestimmt (Abb. 2). Gerade im hochästhetischen ­Bereich lässt sich damit in nur drei systematischen Schritten der komplette Farb­raum natürlicher Zähne bestimmen.

Im ersten Schritt wird die Helligkeit ermittelt. Im zweiten Schritt wird die richtige Farbintensität ausgewählt. Abschließend wird der Farbton abgeglichen. Die Wahl fiel in diesem Fall auf ein wärmeres 1M2 im apikaleren Anteil und ein 1M1 im zentralen, helleren Kern. Mit dem Zusatzmassen-Farbindikator wurde für die inzisale Schichtung VITA VM 13 EFFECT ENAMEL 11 (EE11) und für die Schichtung der Mamelonstruktur VITA VM 13 MAMELON 1 (MM1) ausgewählt (Abb. 3 und 4).

Um einen fließenden und unsichtbaren Übergang zwischen der keramischen Versorgung und Zahn 21 zu gewährleisten, wurde der vestibuläre Anteil mit einem feinkörnigen diamantierten Torpedo unruhig und girlandenförmig gestaltet. Der palatinale Anteil wurde lediglich leicht angeschrägt, der adhäsive Wundverband im Zuge der Präparation entfernt. Aufgrund der deutlich supragingivalen Präparation gestaltete sich die Abformung mit Aquasil Ultra (Dentsply) sehr einfach. Ein Modell mit feuerfestem Stumpf an 21 aus der phos­phat­gebundenen Einbettmasse Cosmotech VEST (GC) wurde anhand dieser Arbeitsgrundlage hergestellt. Ein zweifacher Konnektorbrand mit dünn aufgetragenem Ducera Lay (DeguDent) sorgte für eine Versiegelung des Stumpfs und einen sicheren Verbund zur folgenden Keramikschichtung.

Keramikschichtung
Um höchsten ästhetischen Ansprüchen gerecht zu werden und ein naturgetreues Ergebnis zu erzielen, wurde die grazile Restauration mit der Feinstruktur-Feldspatkeramik VITA VM 13 (VITA Zahnfabrik) geschichtet. Die Kernbasis wurde aus BASE DENTINE 1M2 und 1M1 geschichtet. Um die sehr ausgeprägten, juvenilen Mamelonstrukturen zu kreieren, wurde BASE DENTINE 1M2 mit stark fluoreszierendem, beigem MAMELON 1 und 2 (MM1/2) abgemischt. Im Rahmen des ersten und zweiten Dentinbrands wurde so der Dentinkörper sukzessive gestaltet und die Länge des Facings festgelegt. Im inzisalen Bereich wurde eine Wechselschichtung durchgeführt. Als Basis diente hier das gräulich-transluzente EFFECT ENAMEL 11 (EE11) kombiniert mit EE3 (rosa-transluzent), EE7 (orange-transluzent), EE9 (bläulich-transluzent) und EE10 (blau). Komplettiert wurde die Schichtung mit EFFECT OPAL 1 (EO1), um die Opaleszenz und Transluzenz eines jugendlichen Zahns zu verwirklichen.

Nach dem Schmelzbrand wurden mit einer kegelförmigen Diamantspitze grobe Formkorrekturen vorgenommen. Defizite wurden mit einer erneuten Schichtung ausgeglichen und mit einem Korrekturbrand fixiert. Die Oberfläche konnte nun mit einer feinkörnigen diamantierten Flamme ausgearbeitet werden. In diesem Zug wurden auch die Leisten akzentuiert. Es folgte die abschließende Gummierung. Mit einer abgenutzten Flamme konnten Perikymatien angelegt werden. Die Restauration wurde nun mit dem sonnengelben VITA AKZENT Plus EFFECT STAINS 04 (ES04) punktuell noch leicht charakterisiert und durch den Glasurbrand fixiert. Die abschließende Politur wurde mit Ziegenhaarbürste und Bims durchgeführt.

Fertiges Ergebnis
Die Anprobe der Restauration am Patienten zeigt die hauchdünnen Randbereiche, die gegen Null laufen (Abb. 5). Der girlandenförmige Restaurationsrand entspricht dabei der unruhigen Präparation, die mit ihren angelegten Rillen auch eine sichere intraorale Positionierung der filigranen keramischen Arbeit ermöglicht (Abb. 6). Die Feldspatkeramik wurde nun für das volladhäsive Prozedere mit 5%iger Flusssäure konditioniert und anschließend silanisiert. Entsprechend wurde der adhäsive Verbund an der Präparation mittels Säure-­Ätz-Technik bewerkstelligt.

Der dualhärtende und niedrigviskose Kompositzement Variolink (Ivoclar Vivadent) in der Farbe Neutral wurde auf die Restaurationsunterseite appliziert und die Zementierung vorsichtig und ohne Druck durchgeführt. Der Überschuss wurde zunächst nur mit der Polymerisationslampe angehärtet, um ein elegantes Abschälen zu ermöglichen. Es folgte die abschließende Lichthärtung von allen Seiten. Die restlichen Überschüsse wurden mit einem neuen, scharfen Skalpell entfernt. Rotierende Instrumente kamen konsequent nicht mehr zum Einsatz, um die Oberflächentextur der Restauration nicht zu beschädigen. Die abgesplitterte Inzisalkante von 22 wurde abschließend direkt mit Komposit versorgt. Abbildungen 7, 8 und 9 zeigen das finale Ergebnis und den zufriedenen Patienten.

Fazit

Mit der Feldspatkeramik VITA VM 13 lassen sich sehr grazile und naturgetreue Restaurationen kreieren. Deswegen eignet sich dieser Werkstoff hervorragend für eine ­minimalinvasive Versorgung von Kronenfrakturen. Gerade bei der heiklen Einzelzahnversorgung im hochästhetischen Frontzahnbereich bietet die keramische Schichtung ästhetische Spielräume, die mit Komposit kaum erreicht werden können.

Die ausschließliche Präparation im Schmelz sorgt für einen optimalen adhä­siven Verbund. Eine Anschrägung und die unruhige vestibuläre Gestaltung des Randbereichs werden zudem auch bei einer Kompositversorgung im Frontzahnbereich empfohlen, um die Übergänge zwischen Zahn und Füllung zu kaschieren. Gerade bei juvenilen und transluzenten Zähnen wie in diesem Fall ist eine direkte Kompositschichtung allerdings sehr technikintensiv. Komposite neigen zudem zur Verfärbung, Wasseraufnahme und Plaqueanlagerung. Die Keramik kann da­gegen mit mehr Sta­bilität und einer zahnähnlichen Abrasion punkten, die eine harmonische Abnutzung mit der Restzahnsubstanz ermöglicht. So kann sich die Restauration altersentsprechend an die natürliche Bezahnung an­passen und sorgt damit für einen nach­haltigen Restaurationserfolg.

Die vollständige Literaturliste gibt es hier.

Mehr Fachartikel aus Cosmetic Dentistry

ePaper