Cosmetic Dentistry 19.06.2015
Oberkieferfrontversorgung mit Presskeramikveneers und Teilkronen
share
In diesem Beitrag wird die Behandlung einer Patientin (67 Jahre) mit guter allgemeiner Gesundheit vorgestellt. Die Ausgangssituation in diesem Patientenfall zeigt eine konservierend insuffizient versorgte Frontbezahnung. Vorausgegangen war eine Rehabilitation des Ober- und Unterkiefer-Seitenzahnbereichs mittels Aluminiumoxidkeramikkronen (Procera, Nobel Biocare) und Presskeramikteilkronen sowie die konservierende Versorgung der Zähne 31, 32, 33, 37, 41, 43, 46 und 47 mit Tetric EvoCeram (Ivoclar Vivadent) im Mai 2008.
Allgemeinmedizinische Anamnese
Der Erstbesuch der 67-jährigen Patientin und die Erhebung der allgemeinmedizinischen Anamnese fanden am 29.11.2007 statt. Es lagen keine Grunderkrankungen vor. Die letzte zahnärztliche Behandlung fand vor sechs Monaten statt, dabei wurden die Seitenzahnbereiche mittels metallfreier festsitzender Rekonstruktionen (Procera, Nobel Biocare, und Empress, Ivoclar Vivadent) auf den natürlichen Zähnen saniert. Die Patientin interessierte sich nun für Veneers im Oberkieferfrontbereich und wies darauf hin, dass sie sich seit Langem am Erscheinungsbild des „Farbenmischmaschs“ störe. Nach Aufklärung und eingehender Beratung erklärte sich die Patientin bereit, ihr Kauorgan weiterbehandeln zu lassen. Sie betonte dabei, dass sie Wert auf eine weitere ästhetisch-funktionelle sowie dauerhafte Verbesserung ihrer Situation lege und einer notwendigen umfangreichen ästhetisch-rekonstruktiven Rehabilitation aufgeschlossen gegenüberstünde.
Klinischer Befund – Funktionsstatus
Die manuelle und klinische Funktionsanalyse ließ auf eine leichte parafunktionelle Aktivität schließen. Der Zahn 33 steht nach distal rotiert (Kantenbiss 22), 14 um 90 Grad nach mesial rotiert und Zahn 15 fehlt – Lückenschluss. Die zweiten Unterkiefermolaren sind durch den Lückenschluss in Regio 6 nach mesial gekippt. Zahn 27 fehlt. Es zeigen sich zudem Abrasionen an den rechten Eckzähnen und am bereits erwähnten rechten seitlichen Oberkieferschneidezahn. Die Führung bei Laterotrusion und Protrusion ist zunehmend auf Zahn 12 verlagert. Dadurch ergeben sich Interferenzen in der sta- tischen und dynamischen Okklusion (protrusiv/retrusive Vorkontakte). Die manuelle Führung ergab keine Abweichung in maximaler Interkuspidation (ohne Führung) und zentraler Kondylenposition (mit Führung)
Keine Krepitationsgeräusche der Gelenke, unauffällige Öffnungs- und Schließbewegung, leichte Druckdolenzen der Muskulatur bei Palpation. Die Patientin merkte an, dass sie gelegentlich leichte Kopfschmerzen verspüre.
Diagnosen
Leichte Parafunktion durch fehlende Führung bei Laterotrusion rechts (vermehrt auf Zahn 12 verlagert), einhergehend mit Schmelzverlust. Mesialkippung der zweiten Unterkiefermolaren durch Lückenschluss in Regio 6 (Protrusionsvorkontakt). Leichte Störung der statischen und dynamischen Okklusion, leichte Druckdolenzen der Muskulatur bei Palpation. Gelegentlich leichte Kopfschmerzen. Prothetisch und konservierend insuffizient versorgtes Erwachsenengebiss.
Klinischer Befund – rote Ästhetik
Hinweis: Die Aufnahmen der Lateral- und Okklusalansicht wurden gespiegelt, um eine seitenrichtige Darstellung wiederzugeben (Zustand nach Sanierung im SZB). Die Bilder wurden am 10. Juli 2008 mit einer Canon EOS 300D und einem Canon Macro Lens EF 100mm 1:2,8 Objektiv aufgenommen. Im Ober- und Unterkiefer sind ein regelmäßiger Gingivasaum sowie wohlgeformte Interdentalpapillen zu erkennen (Abb. 1). Ferner liegt ein Biotyp mit dünner Gewebestärke vor. Die Patientin verfügt über eine kurze und schmal geformte Oberlippe (Abb. 3). Beim Lächeln zeigt sich eine leichte Asymmetrie rechts, welche aber dezent erscheint und die Patientin nicht stört. Es liegt eine mittelhohe Lachlinie vor.
Klinischer Befund – weiße Ästhetik
Die Oberkieferfront empfindet die Patientin hinsichtlich der Zahnlänge als ausreichend (Abb. 3). Das entspannte Lächeln lässt fast die gesamte Länge der Frontzahnreihe erkennen. Es zeigen sich leichte Abrasionen am unteren rechten Eckzahn. Der Schneidekantenverlauf folgt der Konkavität der Unterlippe (berührungsaktives Verhältnis).
Die durch den dünnen Biotyp bedingte oval imponierende Zahnform der Oberkieferfrontzähne erscheint der Patientin harmonisch und soll bei der Neuversorgung beibehalten werden. Die altersbedingte Abnutzung der Zahnoberflächen (Oberflächentextur) der vorderen Inzisiven soll durch die Veneerversorgung wiederhergestellt werden.
Klinischer Befund – Dentalstatus
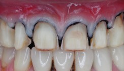
Neben den erwähnten Abrasionen im Unterkiefereckzahnbereich erscheint der rechte seitliche Oberkieferschneidezahn ebenfalls abradiert (Abb. 4). Die Inzisalkante ist im Vergleich zur kontralateralen Seite deutlich abgeflacht. Die ursprüngliche anatomische Kauflächenstruktur in den Seitenzahnbereichen ist durch die vorangegangene Sanierung in Keramik bereits rehabilitiert.
Neben den erwähnten Verfärbungen in den Interdentalbereichen und den verfärbten Randspalten der insuffizienten Füllungen der Oberkiefer- und Unterkieferfront erscheint die Farbe der Zähne als zu gelb und zu dunkel (Abb. 5). Die Patientin wünscht sich im Rahmen der Rehabilitation in dieser Frage eine merkliche Verbesserung.
Klinischer Befund – Zusammenfassung
Im Oberkiefer erscheint der Zahnbogen ausreichend harmonisch (Abb. 6). Der zweite Molar links sowie der erste PM rechts fehlen. Der OK-Front-überbiss ist mit ca. 3 mm ausreichend. Die Zähne 23 und 33 stehen leicht distorotiert. 
Hinsichtlich der Länge (Zahn 12), Stellung (leichte Distorotation 23), Farbe und Form der Zähne zeigt sich ein objektiv verbesserungswürdiger Zustand, der auf Wunsch der Patientin im Rahmen einer umfassenden Rehabilitation erreicht werden soll (Abb. 7). 
OPT
Es gibt keinen Anhalt auf nicht zahnverursachte Prozesse (Abb. 8). Die Kieferhöhlen-Septierung ist beidseitig, es existiert ein Lückenschluss im Bereich der unteren Sechser (leichte Mesialkippung der 7er) 14 um 90 Grad nach mesial rotiert, 15 fehlt, Lückenschluss. So der Ausgangsbefund am 29. November 2007 vor der Sanierung im SZB.
Behandlungsplan
Der Behandlungsplan sieht nach der Befundaufnahme die Dentalhygiene (Abformung für Situ-Modelle, Wax-up, Fotostatus) sowie ein In-Office-Bleaching des Unterkieferfrontsegments 33 bis 43 vor. Präparation für die definitive Versorgung im Oberkiefer 13 bis 23 mit Presskeramikveneers, Abdrucknahme, Zentrikbissnahme, Gesichtsbogenübertragung, Anproben sowie eine definitive Eingliederung in den Folgesitzungen. Dann Nachkontrolle und Nachsorge.
Behandlungsablauf
Begonnen wird mit einer Prophylaxesitzung einschließlich einer Reevaluation sowie professioneller Zahnreinigung, Abformung OK-/UK-Alginat und einem Fotostatus. Die Patientin erhält für 70 Minuten (drei Mal 15 Minuten) ein In-Office-Bleaching an der UK-Front 33 bis 43 (Opalescence Boost 35 Prozent, Ultradent) (Abb. 18 und 19). Anschließend werden unter Zuhilfenahme einer Lupenbrille (4,5-fache Vergrößerung, Zeiss) die Zähne im Oberkiefer in lokaler Anästhesie (Articain 1:100.000, Aventis) präpariert. Präparation 13–23 zur Aufnahme von Presskeramikveneers (Hohlkehldiamant 886-012 M, ökoDENT und Finierer FG 8878/014, Komet) (Abb. 20). Es erfolgt eine zweifache Abdrucknahme der präparierten Zähne mittels einer Doppelfadentechnik: Einbringen eines ersten, getränkten (Racestyptine solution, Septodont) Fadens (Ultrapak 0, Ultradent), über welchen ein zweiter getränkter Faden größeren Durchmessers gelegt wird (Ultrapak 1, Ultradent). Die Wartezeit bis zur Abdrucknahme mit den gelegten Fäden dauert etwa zehn Minuten. Die Abdrucknahme erfolgt nach Entfernung des zuletzt gelegten Fadens (der zuerst gelegte Faden geringeren Durchmessers verbleibt im Sulkus) mittels eines A-Silikons in Doppelmischtechnik einzeitig: Die präparierten Zähne werden mit dünnfließendem Mate- rial (Express Ultra-Light Body, 3M ESPE) umspritzt und das schwerfließende Material (Express Penta Putty, 3M ESPE) in einem Abdrucklöffel (Rim Lock, DENTSPLY DeTrey) eingebracht.
Es erfolgt eine Zentrikbissnahme mit Wachsbissregistrat (Beauty Pink extra-hart, Moyco Ind., Philadelphia) und Verschlüsselung mit dünnfließendem Zinkoxid-Eugenol-Material (Superbite, Bosworth, Illinois). Die gelenkbezogene Position des Oberkiefers mittels Gesichtsbogen (Artex 3-D, Amann Girrbach Dental, Pforzheim) wird registriert. Anschließend erfolgt die Bestimmung der Idealwinkel der Zähne aus frontaler Sicht mit dem Clinometer nach Dr. Behrend (Amann Girrbach GmbH, Pforzheim). Die Gegenkieferabformung (UK) wird mit Alginat (Alginat, Cadco) vollzogen. Eine provisorische Versorgung der präparierten Zähne mittels Silikonschlüssel (via Wax-up angefertigt) und Protemp 3 Garant A1 (3M ESPE) wird vorgenommen. Abschließend die Veneerprovisorien nach Ausarbeitung und Kontrolle von Randpassgenauigkeit und Okklusion durch punktförmige Schmelzätzung mit 35-prozentiger Phosphorsäure, Primen und Bonden mit Syntac Classic (Ivoclar Vivadent, Liechtenstein) eingegliedert.
Nach der ersten Anprobe wird die provisorische Versorgung entfernt, die präparierten Zähne werden sorgfältig gereinigt, die Frontzahnveneers (Empress, Ivoclar Vivadent) mit Glyceringel (Variolink II Try-In, Ivoclar Vivadent) beschickt und aufgesetzt. Schließlich erfolgt eine Kontrolle auf Randpassung, exakten Sitz sowie überprüfung der Okklusion, Artikulation und Phonetik (Abb. 22). Nun findet die Eingliederung der definitiven Versorgung im Oberkiefer statt. Zum Einsetzen der Veneers wird nach vorherigem Abstrahlen (RONDOflex plus, KaVo) mit Aluminiumoxidpulver der Korngröße 27 μm (RONDOflex plus, KaVo) und Schmelzätzung mit 35 Prozent Phosphorsäure (Ultra-Etch, Ultradent), eine selektive adhäsive Befestigung der zuvor geätzten und silanisierten (Monobond S Silan, Ivoclar Vivadent) Empress Veneers mit Syntac Classic (Ivoclar Vivadent) und Variolink II (Ivoclar Vivadent) vorgenommen (Abb. 23 und 24). Ausführliche und detaillierte Besprechung des ästhetischen Ergebnisses mit der Patientin. Die Abschlusskontrolle befasste sich mit sämtlichen funktionellen und ästhetischen Parametern. Es folgen Nachkontrolle und Erhebung der Abschlussbefunde sowie die Aufnahme in das Nachsorgeprogramm.
Diskussion
In dem vorliegenden Fall handelt es sich um eine aufwendig ästhetisch-rekonstruktive Rehabilitation,1 mit deren Ergebnis sich die Patientin vollumfänglich zufrieden zeigte. Seitens des Behandlers wurde eine Verlängerung der klinischen Krone 12 (prothetisch und chirurgisch) mit einhergehender Korrektur der Eckzahnführung additiv an der Palatinalfläche von Veneer 13 sowie Ausgleich der Distalrotation an 23 angeregt. Eine Korrektur des Weichgewebeverlaufs in Regio 12 lehnte die Patientin jedoch ab, da ihr die Asymmetrie dezent erscheint und sie nicht beeinträchtige.
Aufgrund der bereits vorangegangenen rehabilitierten Seitenzahnbereiche im Mai 2008 konnte mit der abschließenden prothetisch-ästhetischen Rekonstruktion der Oberkieferfront sofort begonnen werden. Die Rehabilitation des Frontzahnbereichs mit Presskeramikveneers3,4 geschah auf Wunsch der Patientin. Seitens des Behandlers wurde der Einbezug der Palatinalflächen 12 und 22 vorgeschlagen, um eine Einfassung der bereits bestehenden insuffizienten Restaurationen zu realisieren. Alternativ wäre die Behandlung ausschließlich mit Komposit oder kombiniert mit Veneers und Komposit durchführbar gewesen.5 Die gegenüber Keramik verminderte Abrasionsresistenz und einen damit verbundenen zyklischen Erneuerungsbedarf der Kompositrestaurationen sprachen wiederum für die prothetische Versorgung. Zudem zeichnet sich Keramik durch bessere biologische (Plaqueakkumulation) und materialspezifische (Farbe, Transluzenz und Beständigkeit) Eigenschaften gegenüber Komposit aus. Somit war auch angesichts des mittleren Alters der Patientin und dem Wunsch einer langfristig ästhetischen Versorgung Rechnung getragen.3,6 Einem regelmäßigen Recall steht die Patientin sehr aufgeschlossen gegenüber.
Abschließend betrachtet, stellt sich das Behandlungsergebnis auch für den Behandler in ästhetisch-rekonstruktiver Hinsicht als Erfolg dar. Die Prognose ist aufgrund der vorrangig sanierten Seitenzahnbereiche sowie der programmierten Eckzahnführung7 aus funktioneller Sicht betrachtet als positiv zu werten, parodontal liegen keine Entzündungen vor. Die Patientin ist völlig gesund.
Schlussbefunde
Funktionsstatus
Die manuelle und klinische Funktionsanalyse ergab keinen auffälligen Befund. Für die dynamische Okklusion wurde eine front-eckzahngeschützte Variante programmiert. Die manuelle Führung ergab weiterhin keine Abweichung in maximaler Interkuspidation (ohne Führung) und zentraler Kondylenposition (mit Führung). Es gab keine Krepitationsgeräusche der Gelenke, die Öffnungs- und Schließbewegungen gestalteten sich unauffällig.
Rote Ästhetik
Es zeigen sich weiterhin stabile und gesunde Weichgewebsverhältnisse nach abgeschlossener prothetischer Behandlung (Abb. 25).
Rote Ästhetik
Die Papille an den zentralen Schneidezähnen ist noch nicht ausreichend ausgeformt. Es ist aber zu erwarten, dass sich durch die Beibehaltung der Zahnform und indirekt der leicht überkonturierten Restaurationen im Interdentalbereich wieder adäquate Weichgebewebsverhältnisse einstellen werden. Der asymmetrische Gingivaverlauf in Regio 12/22 wurde auf Wunsch der Patientin ebenso beibehalten (Abb. 26).
Weiße Ästhetik
Zahnlänge: Die OK-Front empfindet die Patientin als ausreichend „lang“, das entspannte Lächeln zeigt ca. 10 mm der Frontzahnreihe. Der Schneidekantenverlauf folgt der Konkavität der Unterlippe. Zahnform: Die ovale Zahnform wurde in die definitive Sanierung übernommen, lediglich die distalen Randleisten an 11, 21 wurden etwas konvexer gestaltet (Abb. 27) Die Veneeroberflächen wurden mit horizontalen und vertikalen Texturen versehen und verhelfen den Restaurationen dadurch zu einem natürlichen und ansprechenden Erscheinungsbild. Die abradierte Inzisalkante des rechten oberen seitlichen Schneidezahnes wurde entsprechend korrigiert und fügt sich nun harmonisch in das Gesamtbild ein (Abb. 28).
Dentalstatus
Die additiv an 13 palatinal aufgebaute Eckzahnführung genügt nun den funktionellen (laterale mediotrusive Bewegungen) und ästhetischen Ansprüchen (Abb. 29). Die ursprüngliche anatomische Kauflächenstruktur wurde durch die prothetische Sanierung wiederhergestellt. Zahnfarbe: Durch den Austausch der Füllungen im Interdentalbereich und dem anschließenden Bleichen konnte eine ansprechende Aufhellung der Unterkieferfront erreicht werden. Die Auswahl der Zahnfarbe (VITA Skala A1) erfolgte auf Wunsch der Patientin (Abb. 30).
Ästhetikstatus
Zahnstellung: Im OK wurde der harmonische Verlauf des Zahnbogens beibehalten, lediglich bei 23 (leicht distorotiert) erfolgte eine Stellungskorrektur mit dem Presskeramikveneer. Der Oberkieferfrontüberbiss wurde von 3 auf 4 mm erhöht (Abb. 31).
Hier gibt es die volständige Literaturliste
 
                             
                                         
                                         
                                                                                     
                 
                 
                 
                 
                 
                 
                 
                 
                 
                 
                 
                 
                 
                 
                 
                 
                 
                 
                 
                 
                 
                 
                 
                 
                 
                 
                 
                 
                 
                 
                 
                 
                 
                 
                 
                 
                 
                 
                 
                 
                 
                 
                 
                 
                 
                 
                 
                 
                 
                 
                                 
                                 
                         
                         
                         
                         
                        