Cosmetic Dentistry 06.04.2015
Rehabilitation einer OK-Front mit Verschiebelappen und Veneers
share
Einleitung
Mit zunehmendem Alter
können Patienten durch Abnutzung der Schneidezähne den Wunsch nach
funktioneller und ästhetischer Rehabilitation haben. Oft liegt das
Dentin der Schneidekante frei und es hat sich Karies gebildet. Wenn
dann eine Restauration nötig ist, ist die Einstellung einer schönen
Rot-Weiß-Ästhetik wegen einer eventuell vorhandenen dünnen Gingiva
und/oder Rezessionen schwierig. Die nachhaltige Lösung solcher
Probleme ist oftmals sehr anspruchsvoll. Hier soll der erste Fall
vorgestellt werden, der bei uns mittels koronalen Verschiebelappens
behandelt wurde und inzwischen über diverse Jahre nachkontrolliert
werden konnte.
Fallbericht
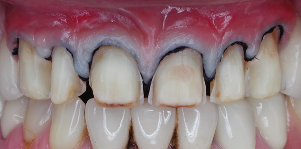
Die zum damaligen
Zeitpunkt 55 Jahre alte Patientin störte sich an der unansehnlichen,
verfärbten und abgenutzten Front im Oberkiefer (Abb. 1). Sie wollte
unbedingt sehr helle, jünger aussehende Frontzähne haben. Die
Inspektion intraoral ergab eine abradierte Oberkieferfront mit Karies
in den Schneidekanten der mittleren Frontzähne. Erschwerend war aber
eine sehr dünne Gingiva mit diversen Rezessionen und Spalten
vorhanden (Abb. 2 und 3). An eine ästhetisch einwandfreie Versorgung
war ohne Behandlung der Gingiva nicht zu denken. Dies wurde der
Patientin erklärt. In diesem Fall war ein beidseitiger koronaler
Verschiebelappen nötig, um das Zahnfleisch dicker, damit
widerstandsfähiger und in der Form harmonisch zu gestalten. Nachdem
die Patientin ein einfaches Computerbild der Zähne sah, wie sie mit
Veneers aussehen könnten (Abb. 4), stimmte sie dem gesamten
Behandlungsplan zu. Abbildung 5 und 6 zeigen, wie die Schnittführung
geplant wurde. Der rot eingezeichnete Teil der Gingiva wurde bis auf
den Knochen entfernt. Entlang der grünen Linie wurde ein Full-Flap
bis zur Grenze der Attached Gingiva gebildet. An dieser Grenze wurde
eine Periostschlitzung vorgenommen (blaue Linie). Der Lappen konnte
jetzt nach koronal mobilisiert und vernäht werden (Abb. 7 und 8).
Vorher wurden die Füllungsanteile entfernt, welche später
subgingival gelegen hätten, und die Wurzeloberflächen mit Küretten geglättet. Es wurde für drei Tage ein Zahnfleischverband
angelegt. Eine Woche später wurden die Nähte entfernt (Abb. 9).
Sechs Wochen später war die Gingiva einigermaßen verheilt (Abb.
10). Es wurden die Zähne 13–23 jetzt für Veneers präpariert
(Abb. 11). Diese wurden eine Woche später mit gelegten
Retraktionsfäden eingegliedert (Abb. 12). Das Lippenbild entsprach
weitestgehend der vorher gezeigten Simulation (Abb. 4 und 13). Einen
Monat später mussten leider die Veneers an den Zähnen 11 und 21
erneuert werden, da das Veneer am Zahn 21 zwischenzeitlich gebrochen
war. Zum Zeitpunkt der zweiten Eingliederung war die Operation 15
Wochen vergangen (Abb. 14). Die Kontrolle ein Jahr nach Operation
zeigt eine reizfreie Gingiva ohne Rezession und mit physiologischen
Sondierungstiefen an den Zähnen 13–23 (Abb. 15). Dies bestätigt
sich auch sieben Jahre später. Leider mussten die Eckzähne
zwischenzeitlich zunächst provisorisch neu versorgt werden, da im
Seitenzahnbereich Zahnverlust eingetreten war. Der Vergleich mit der
Situation nach einem Jahr zeigt, wie stabil und widerstandsfähig
sich die Gingiva darstellt (Abb. 16).
Diskussion
Koronale
Verschiebelappen ergeben bei noch ausreichend breiter Attached
Gingiva sehr vorhersagbare Resultate. Durch mikrochirurgische
Nahttechniken können diese noch optimiert werden. Die Gingiva wird
so verdickt, dass anschließend die Ränder von Restaurationen
relativ sicher gesetzt werden können. Diese Technik sollte bei sehr
dünnem Gingivatyp mit schon vorhandenen Rezessionen immer als Option
vor Frontzahnrestaurationen erwogen werden.
 
                             
                                         
                                                                                     
                 
                 
                 
                 
                 
                 
                 
                 
                 
                 
                 
                 
                 
                 
                 
                 
                                 
                                 
                         
                         
                         
                         
                        