Cosmetic Dentistry 21.02.2011
Kombination ästhetischer Verfahren
In der ästhetischen Zahnmedizin existiert eine umfangreiche Bandbreite unterschiedlichster Behandlungsmethoden. Nicht selten ist eine Kombination mehrerer Techniken notwendig, um ein optimales Endergebnis zu erzielen.
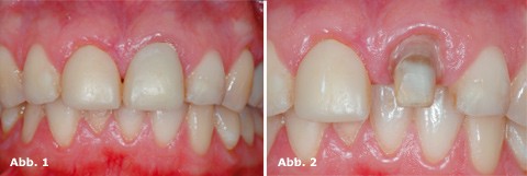
Im abgebildeten Behandlungsfall stellte sich die 38-jährige Patientin mit dem Wunsch einer Optimierung ihrer vorhanden Kronenversorgung der Zähne 11 und 21 vor. Nach einem 20 Jahre zurückliegenden Frontzahntrauma wurden die damals devitalen Zähne wurzelgefüllt und mit VMK-Kronen versorgt (Abb. 1). Nach Entfernen der vorhandenen Kronen zeigten sich stark verfärbte Zahnstümpfe (Abb. 2). Diese für wurzelgefüllte Zähne typische Problematik erforderte zusätzlich zur geplanten Neuversorgung zunächst ein Aufhellen der Zähne 11 und 21. Grundsätzlich sind Pigmenteinlagerungen die Ursache aller Verfärbungen devitaler Zähne.

Anders als bei extrinsischen Verfärbungen sind die für intrinsische Verfärbungen verantwortlichen Substanzausfällungen im Pulpencavum in den seltensten Fällen allein durch externe Bleachingverfahren zu therapieren. Die Ursache der Verfärbung kann hierbei mannigfaltig sein und hat direkten Einfluss auf die zu wählende Therapieform. Verfärbungen durch Blutabbauprodukte oder organische Farbstoffpigmente sprechen gut auf eine Bleichtherapie an, anorganische Farbstoffpigmente lassen sich dagegen nicht befriedigend aufhellen (Kunzelmann 2000).
Verfärbungen durch das Pulpengewebe entstehen häufig nach Traumata oder unzureichender Exstirpation. Das im Pulpencavum verbliebene Hämoglobin zerfällt in der Hämolyse unter anderem in Eisen. Verfärbungen nach erfolgter Wurzelfüllung können aus einer verbliebenen bakteriellen Besiedelung resultieren, deren Stoffwechselprodukt schwarzer Schwefelwasserstoff ist. Ähnlich verhält es sich bei einer unzureichenden oder undichten Wurzelfüllung als Ergebnis des Leakages. Typischerweise findet man, wie im dargestellten Fall, ein feuchtes und fötides Milieu während der Revision vor. Daher ist vor jedem internen Bleaching eine kritische Überprüfung der vorhandenen Wurzelfüllung grundlegende Bedingung.
Dementsprechend wurde in dem abgebildeten Fall zunächst eine Revision der Wurzelfüllung vorgenommen. Als medizinische Einlage wurde eine Kombination aus Kalziumhydroxid und Chlorhexidin zur Desinfektion der Kanäle für vier Wochen eingelegt. Erst nach erfolgter, suffizienter Wurzelfüllung wurde zunächst sukzessive eine Aufhellung der Zähne 11 und 21 durch ein internes Bleaching mit einer Kombination aus Natriumperborat und 30% Wasserstoffperoxid erzielt (Abb. 3). Seit der Einführung von Vollkeramikkronen auf Zirkonoxidbasis ist es zwar theoretisch möglich, Verfärbungen dieser Art supragingival vollständig abzudecken, allerdings bestünde die Gefahr eines Durchscheinen der dunklen Wurzeloberfläche unter der Gingiva.

Im Rahmen der Präzisionsabformung wurde besonderer Wert auf die Abformung eines Teils der subgingivalen Wurzeloberfläche gelegt, um neben einer eindeutigen Darstellung der Präparationsgrenze dem Zahntechniker eine harmonische Gestaltung des „emergence profile“ zu ermöglichen. Nach der ersten Einprobe des definitiven Zahnersatzes erfolgte eine Feinkorrektur in Bezug auf Form und Farbgebung. Mikro- und Makrotextur wurden harmonisiert und den Nachbarzähnen angeglichen. Das ästhetische Endergebnis zeigt eine reizlose und entzündungsfreie Gingiva sowie eine vollständige ästhetische Integrationen der neuen Kronen (Abb. 4).
Ästhetische Zahnmedizin beinhaltet die Betrachtung aller zur Verfügung stehenden Ressourcen. Die Auswahl der entscheidenden Behandlungsmethoden ist Grundvoraussetzung für ein ansprechendes Endergebnis. Diagnostische Sicherheit und Präzision in der Ausführung bestimmen das Resultat. „Keine Zukunft vermag gutzumachen, was du in der Gegenwart versäumst“ (Albert Schweitzer).
Autoren: Dr. Max Rosenkranz, ZA Arndt Ploenes