Cosmetic Dentistry 21.02.2011

Ästhetische Versorgungen mit Kronen und Brücken

Ästhetische Versorgungen mit Kronen und Brücken im Frontzahngebiet an stark zerstörten Zähnen, d. h. über 50% Verlust an Zahnhartsubstanz, verlangen nach zahnfarbenen Materialien und einem Stift zur Verbesserung der Retention für den Aufbau.

Glasfaserverstärkte oder keramische Stiftsysteme bilden hierbei den ersten Schritt zur Schaffung einer genügenden Retention für den späteren Aufbau und der vollkeramischen Krone. Welchen Stiften hier der Vorzug zu geben ist, ob keramisch oder glasfaserverstärkt, wird in der Literatur kontrovers diskutiert. Glasfaserverstärkte Stifte haben auf jeden Fall den Vorteil, dass sie – bedingt durch den dentinähnlichen E-Modul – Krafteinwirkungen besser auf den Restzahn verteilen. Die adhäsive Zementierung des Stiftes am endodontisch behandelten Dentin soll erstens die Retention des Aufbaus insgesamt, sowie zweitens zu einer besseren Kräfteverteilung unter Belastung führen und so einer Wurzelfraktur vorbeugen (Freedman et al. 2008).


Werden hierfür wenige verschiedene Materialien verwendet, so ergeben sich rein rechnerisch auch weniger unterschiedliche Grenzflächen. Somit entstehen weniger Schwachpunkte beim Aufbau der Zahnwurzel mit einem Stift. Ziel des in diesem Bericht dokumentierten Falles ist es, mit einem Adhäsivsystem sämtliche Behandlungsschritte abzudecken. Zu diesem Zweck wird im Einzelnen der Stift mit ParaCore und ParaBond – einem chemisch härtenden Adhäsiv – zementiert.

Der Aufbau wiederum ausschliesslich mit ParaCore – die Kontaktflächen können bereits beim Vorbereiten des Wurzelkanals auch mit Adhäsiv behandelt werden. Und das Zementieren der Krone erfolgt erneut mit ParaCore und ParaBond. Die Haftwerte sowie Biegefestigkeit (Komposit eignet sich hierzu sehr gut) zwischen Zahn–Para-Core–Stift–Kronenmaterial müssen dabei optimale Werte erreichen. In Laboruntersuchungen bei Millar et al. 2008 wurde die Stärke der Theorie des Systems ParaCore aufgezeigt. Anhand von Farbpenetrationsversuchen konnte eine sehr gute Dichtigkeit sowie ein optimaler Zementrand nachgewiesen werden. Dies weist hin auf eine effizientere Klebung als bei anderen Systemen, die in der Studie getestet wurden. Der Autor vermutet hierbei, dass das chemische Adhäsiv der Schlüssel zu den guten Testergebnissen ist. Dies wiederum lässt auf guten Eigenschaften von ParaCore bei den geforderten Einsatzgebieten wie Stiftzementierung, Aufbau und Modellierung sowie letztendlich die Zementierung der Restauration schliessen. Durch die Verwendung von einem Material für alle drei Indikationen entsteht der gewünschte  „Monoblock-Bond-Verbund“.

Der klinische Ablauf der Kanalerweiterung, Stifteinpassung und Zementierung etc. unterscheidet sich dabei nicht von den bisherigen Stiftsystemen. Die Behandlung mit nur einem Material für alle drei Indikationen erlaubt ein wirtschaftliches und somit auch zeitsparendes Arbeiten. Daraus resultierend erzielt man durch den „Monoblock- Bond-Verbund“ die höchtsmögliche Stabilität.

Im nachfolgenden Fall wird das Vorgehen Schritt für Schritt gezeigt. Der Patient hatte nach einem Frontzahntrauma in der Jugend schon mehrere Versorgungen des Unfallzahnes 21 erhalten und stellte sich in der Praxis mit einem gelockerten Stiftzahn vor (Abb. 1). Im Röntgenbild waren keine Frakturlinien zu erkennen, nur der präparierte Stiftkanal zeigte eine leichte Abweichung vom Wurzelkanal. Diese Abweichung wurde bei der neuen Stiftsetzung übernommen. Nach der  Vorbereitung mit der Farbwahl und der Vorabformung wurde die alte Krone mit Metallgerüst und dem lose im Wurzelkanal steckenden Metallstift entfernt. Die anschliessende Wurzelkanalaufbereitung wurde mit den ParaPost Bohrern in aufsteigender Grösse durchgeführt. Mit der Parodontalsonde konnte nachgemessen werden, wieviel Tiefe gewonnen wurde. Der ausgewählte Fiber Lux musste in diesem klinischen Fall in der Länge gekürzt werden.

Nach Abschluss dieser Vorarbeiten erfolgte das Reinigen des Wurzelkanals und das Auftragen des ParaBond Adhäsivsystems im Wurzelkanal und den weiteren Kontaktflächen (Abb. 2–5). Durch das gleichzeitige Behandeln der Kontaktflächen erübrigte sich beim anschliessenden Stumpfaufbau das wiederholte Auftragen des Adhäsivsystems. Auf die sonst routinemässige Verwendung von Kofferdam wurde aufgrund der klinischen Situation verzichtet. Mit dem Root Canal Tip vom Para-
Core besteht die Möglichkeit der Direktapplikation in den Wurzelkanal (Abb. 6). Nach der tiftpositionierung im Wurzelkanal (Abb. 7) konnte die Fixierung mittels Polymerisationslicht vorgenommen werden. Der freihand modellierte Aufbau wurde mit weiteren  Polymerisationsschritten beendet und sofort  weiterbearbeitet (Abb. 8–10). Ein kleiner Tipp dazu: Das im Kühlschrank gelagerte Material verlängert die Verarbeitungszeit, was besonders im Sommer nützlich sein kann. Nach der Grobpräparation wurde ein Provisorium aus Cool Temp Natural hergestellt und mit TempoSIL 2 einzementiert.

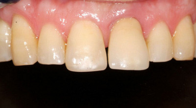
In der zweiten Sitzung konnte das Provisorium einfach entfernt und die Nachpräparation begonnen werden. Die Abformung erfolgte mittels Doppelmischtechnik mit dem schönzeichnenden Korrekturmaterial AFFINIS PRECIOUS light body sowie dem Löffelmaterial AFFINIS heavy body, beides additionsvernetzte Silikone. Nach der Erstellung des Bissregistrates erfolgte die  Unterfütterung des direkten Provisoriums, welches wiederum mit TempoSIL 2 befestigt wurde. Die in der Zwischenzeit vom Techniker angefertigte vollkeramische Krone konnte nun, nach allen Vorbereitungen, ebenfalls mit dem ParaBond–ParaCore-System adhäsiv befestigt werden (Abb. 11–13). Dabei standen wiederum die zwei Farben White und Dentin zur Auswahl. Besonders bei vollkeramischen Frontzahnkronen kommt dieser Produktvorteil, zur perfekten Eingliederung der Farbe in die Zahnreihe, zum Tragen. Die Überschussentfernung nach dem Einsetzen erfolgte in der gelartigen Abbindephase des Materials (Abb. 14), könnte aber auch im ausgehärteten Zustand einfach mit dem Scaler entfernt werden. Nach der Okklusionskontrolle wurde der Patient mit seiner neuen Restauration entlassen (Abb. 15).
 
Die mitgelieferten Anwendungsbeschreibungen (Step by Step Karten) für ParaCore sind  übersichtlich und einfach gestaltet, somit lassen sich die Abläufe noch schneller in die Praxisroutine integrieren. Mit ParaCore steht nun ein Material zur Verfügung, welches alle beschriebenen Schritte zur Befestigung einer Frontzahnkrone unter Verwendung eines Materials, als Monoblock-Bond-Verbund, abdeckt.

Autor: Dr. med. dent. Christoph G. Hüskens

Mehr Fachartikel aus Cosmetic Dentistry

ePaper