Cosmetic Dentistry 28.02.2011

Der Zauber der Mikro-Veneers



Der Zauber der Mikro-Veneers

Häufig stellt sich die Frage, welche Versorgung und welche Vorgehensweise bei bestimmten Patienten sinnvoll und nützlich wären. Da es immer bessere Materialien auf dem Markt gibt, die es uns ermöglichen, minimalinvasiv zu arbeiten, können wir heute wertvolle Zahnsubstanz erhalten. In diesem Bericht möchten wir einen Patientenfall demonstrieren, bei dem es gelungen ist, mit noninvasiven Maßnahmen die verloren gegangene Zahnsubstanz wieder zu rekonstruieren.

Fallbeispiel

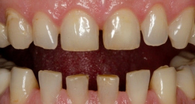
Die Patientin stellte sich in unserer Praxis mit einem kritischen Blick auf ihre Zähne vor und wollte wissen, was in ihrer Situation an Möglichkeiten bestünde (Abb. 1). Nach Abdrucknahme im Ober- und Unterkiefer und der Herstellung zweier Situationsmodelle wurden die Frontzähne im Oberkiefer und Unterkiefer aufgebaut. Dem Wunsch der Patientin entsprechend sollten dabei auch die unzähligen Diastemen geschlossen werden (Abb. 2–4). Die Wax-up-Situation wurde mit der Patientin besprochen, anschließend das Mock-up in situ anprobiert und gemeinsam diskutiert. Bei dieser Gelegenheit kamen zwei unterschiedliche Farben an Kunststoff zum Einsatz (Abb. 5–7). Diese erleichtern die spätere ­Farbabstimmung, bei der die Patientin entscheidet, in welche Richtung es gehen soll.


Das Ergebnis des Wax-up bzw. Mock-up hat die Patientin begeistert und mehr Lust auf schöne Zähne geweckt. Im Unterkiefer waren die Lücken größer und schwieriger ästhetisch zu versorgen und vielleicht nicht ganz wie wir uns das vorstellten. Eine KFO-Behandlung kam für die Patientin aber aus zeitlichen Gründen nicht infrage. Nach kurzer Besprechung mit der Patientin über die Zahnfarbe stand fest, dass es in Richtung schöne helle Zähne gehen sollte – „like Hollywood“. Für die Patientin und uns als Team war das Ziel der Behandlung nun klar, jetzt musste überlegt werden, mit welcher Versorgungsform wir das Ziel erreichen.

Die Therapie, mit der die Wünsche der Patientin am besten umgesetzt werden konnten, waren in diesem Fall Veneers. Die Veneers sollten aber nicht gemäß der klassischen Vorgehensweise beschliffen, sondern nach der amerikanischen Methode als Non-Präp-Veneers hergestellt werden. Bei diesem Verfahren werden die Zähne gar nicht bis sehr wenig beschliffen. Meistens werden nur unter sich gehende Bereiche und stark ausgeprägte Zahnleisten beschliffen bzw. geebnet. Im ersten Schritt werden die Zähne gereinigt und mit einem Silikon oder wie in unserem Fall mit Impregum (Polyäther) abgeformt. Danach folgt die digitale Zahnfarbnahme mit Farbanalyse im Labor (Abb. 8). Dort werden im nächsten Schritt die Modelle mit weißem Superhartgips ausgegossen und weiter bearbeitet.

Nach dem Einartikulieren des Gesichtsbogens im Artikulator werden die Zähne vorbereitet. Dabei werden die zervikal gelegenen Gingivaanteile mit einem Rosenbohrer weggeschliffen. Durch das Beschleifen unterhalb des zervikalen Zahnrandes entsteht nun ein zirkulärer Rand. Dieser dient uns später als Begrenzung ähnlich einer Präparationsgrenze. Um später das Abheben der Wachsmodellation zu erleichtern, werden die vorher markierten Begrenzungen unseres imaginären Präparationsrandes versiegelt. Nachdem der Lack getrocknet ist, kommt ein spezieller Farblack zur Anwendung, der uns einen Eindruck der Zahnfarbe geben soll (Abb. 9 und 10). Diesen speziellen Lack gibt es in verschiedenen Farben, um so den Bereich der Zahnfarben abzudecken und zu imitieren. Die aus dem Wax-up gewonnenen Informationen können nun durch einen Silikonschlüssel auf die Arbeitsmodelle übertragen werden. Die Modellationen sind in der Regel sehr dünn. Da keine Zahnsubstanz geopfert wird, müssen die späteren Schalen zart sein und dürfen nicht sonderlich auftragen. Die geschlossenen interdentalen Räume werden vorsichtig mit einer leicht angewärmten Rasierklinge durchtrennt (Abb. 11 und 12).

Jetzt folgt der heikelste Job, die kleinen und filigranen Modellationen abzunehmen. Sie werden, wie bei anderen Presssystemen, angestiftet, auf den Pressträger festgewachst und mit der Press-Einbettmasse eingebettet. Die Pressung erfolgt wie gewohnt in einem Pressofen. Zur Auswahl stehen verschiedene Pressrohlinge, wobei hier das Augenmerk auf helle Zähne gelegt worden ist, was sich heute viele Patienten wünschen. Die Pressrohlinge sind in verschiedenen Opazitäten, VP1-, VP4, VP6, als transparentes Material erhältlich. Das Material, welches zum Einsatz kommt, ist eine leuzitverstärkte mikrokristalline Glaskeramik (Presskeramik) und speziell für diese Art von Versorgung entwickelt worden (Fa. Jeneric Pentron, USA). Dieses Material ermöglicht uns Veneerversorgungen herzustellen, die eine Minimalstärke von 0,3–0,4mm aufweisen und dabei eine außergewöhnliche Stabilität besitzen. Auch das Ausbetten der gepressten Objekte ist wie gewohnt einfach, wobei man vorsichtig sein sollte, da, wie gesagt, die Press-objekte sehr dünn sind. Die Pressobjekte werden nun vorsichtig aufgepasst, störende Bereiche werden mit der Turbine und entsprechender Wasserkühlung entfernt. Die Bereiche, die eventuell beim Modellieren zu stark ausgeprägt sind, können jetzt auch noch sicher mit der Turbine und einem Diamanten dünner geschliffen werden. Das Material zeigt auch hier seine einzigartige Biegefestigkeit.

Nach dem Aufpassen erfolgt die Kontrolle der Okklusion. Das ist besonders wichtig, da zu starke Okklusionskontakte vermieden werden müssen, um so Frakturen vorzubeugen. Nachdem alle Vorarbeiten erledigt sind, kann mit den Feinheiten begonnen werden. Hierbei werden die Ränder mit Gummieren ausgedünnt (Abb. 13). Korrekturen oder auch individuell geschichtete Inzisalbereiche können mit Dentin und Schneidemassen ergänzt werden (Abb. 14). Um den Keramikschalen ein wenig Leben einzuhauchen, wird die Oberflächentextur mit Keramiksteinen bearbeitet und gummiert. Jetzt kann der ausstehende Glanzbrand durchgeführt werden. Dieser erfolgt in diesem Beispiel dünn und mehrmals. Im Anschluss wird eine Politur mit Bimsmehl vorgenommen. Die fertige Arbeit wird auf ein ungesägtes Modell gestellt (Abb. 15 – 17). Bevor im Anschluss die Veneers definitiv befestigt werden, können diese mit dem Trial Kit anprobiert und der jeweilige Befestigungszement ausgewählt werden. Bei der Anprobe im Mund sind die Patientin und der Behandler begeistert vom Ergebnis.

Mit dem Zementierungsset Lute-It der Firma Jeneric Pentron wurden die Veneers befestigt. Neuerdings steht allen Anwendern auch das neue Befestigungszement Mojo-Veneer Cement zur Verfügung, was auf die Press.tigeTM Mikro-Veneers abgestimmt wurde. Die Zemente sind so ausgelegt, dass bei eventuellen Farbkorrekturen noch Einfluss mit den Zementen auf die Farbe genommen werden kann. Beim Zementieren werden die Schmelzanteile geätzt, gebondet und die Veneers mit dem Zahn verklebt. Überschüssiges Material wird versäubert und poliert. Eine glückliche Patientin, die sichtlich zufrieden mit ihren neuen hellen Zähnen ist (Abb. 18–20).

Mein besonderer Dank geht an die Praxis Dr. Siever & Broermann für die tolle Zusammenarbeit und der Firma Jeneric Pentron für die Unterstützung und Durchführung.

Autoren: Dr. Siever, ZTM S.-Jan Strahinovic

Mehr Fachartikel aus Cosmetic Dentistry

ePaper