Cosmetic Dentistry 04.03.2013

Ästhetische Rehabilitation komplexer Fälle – eine Teamleistung!



Ästhetische Rehabilitation komplexer Fälle – eine Teamleistung!

Einleitung

Schöne Zähne sind der Wunsch vieler Menschen, wie seit Jahren Umfragen ergeben. Im Zentrum der Ästhetik stehen das Lachen und das natürliche Aussehen der Zähne. Zusätzlich verlangt der Patient von heute neben der Ästhetik funktionierende Langlebigkeit und Biokompatibilität. Die heutigen adhäsiven Technologien und die vollkera­mischen Systeme/CAD/CAM–Technologie bilden die Basis für eine moderne rekonstruktive  Zahnheilkunde. Letztlich ist entscheidend, ob die anatomischen, biologischen Verhältnisse eine wunschgerechte Rehabilitation zulassen. Aus Studien geht hervor, dass den meisten Zahnärzten wie auch Patienten die langfristige Funktion/Biologie wichtiger ist als eine perfekte bzw. optimale Ästhetik. Grundsätzlich erfordert eine Behandlung ein systematisches Vorgehen in der Vorbehandlung. Diese Systematik erfordert die Berücksichtigung korrekter Materialien, Methoden nach aktuellen wissenschaftlichen Erkenntnissen. Eine regelmäßige Nachsorge speziell der komplexen parodontologischen, endodontologischen, funktionstherapeutischen und kieferorthopädischen Fälle ist ein unabdingbarer Bestandteil einer langfristigen Prognose. In diesem Artikel wird ein komplexer prothetischer Fall vorgestellt, der zeigt, wie verschiedene Arten von metallfreien Versorgungen/Suprakonstruktionen zum Einsatz kommen. Nicht nur unter ästhetischen Gesichtspunkten, sondern auch wegen parodontologischen und  implantologischen  Aspekten ist die metallfreie Vorgehensweise mittlerweile ein wesentlicher Bestandteil der restaurativen Zahnheilkunde. Ziel einer jeden Behandlung ist es, am Anfang des Gespräches ein Gefühl zu vermitteln, dass man sich um den Patienten individuell bemüht und eine Vertrauensbasis schafft.

Patientenfall

Die Abbildungen 1–6 zeigen die Ausgangssituationen, die Zähne 16 und 17 hatten einen Lockerungs-und Furkationsgrad II–III und waren resiziert, wiesen apikale Aufhellungen auf und waren substanztechnisch stark geschwächt, sodass diese lang-frist­ig eine schlechte Prognose darstellten und extrahiert wurden. Die klinischen und röntgenologischen Befunde werden durch scharnierachsbezügliche Modelle ergänzt. Der Patient wird über die Ausgangsbefunde informiert; Grundlage einer komplexen Behandlung ist, dass dem Patienten die Ätiologie der pathologischen Befunde dargestellt wird, um eine aktive Mitarbeit zu erreichen. Besonders die individuellen Karies- respektive Parodontitisrisiken müssen diskutiert werden, damit ein individuelles Mundhygieneprogramm erstellt werden kann. In diesem Fall wurde eine chronische Parodontitis festgestellt. Die größten Sondierungstiefen wurden im Seitenzahnbereich gemessen, insbesondere bei den Molaren, die auch eine Furkationsbeteiligung Grad II–III aufwiesen, die Bereiche im Frontzahn­gebiet waren eher unauffällig. Die parodontologische Behandlungsphase ist entscheidend für den langfristigen Erfolg  jeglicher ­restaurativer Maßnahmen. Ein funktionelles und ästhetisches Behandlungsergebnis kann nur erreicht werden, wenn die verschiedenen Phasen klinischer Behandlung, wie Mundhygiene/parodontale Regeneration, temporäre Versorgung, Stabilisierung der Funktion und abschließende Abformung mit entsprechender Eingliederung der definitiven Restauration, erfolgreich durchlaufen werden.

Zusammenfassend wünschte sich der Patient eine ästhetisch hochwertige, metallfreie und ganzheit­liche funktionelle langfristige Lösung. Ein umfassendes Funktionsscreening zeigte in der Muskulatur und den Kiefergelenken aktiv und passiv keine Auffälligkeiten. In der dynamischen Okklusion  zeigten sich deutliche posteriore Interferenzen besonders bei den Seitwärtsbewegungen. Die Kauflächen auf den Restaurationen waren mehr oder weniger plan geschliffen. In der protrusiven Bewegung starke abrasive Interferenzen/Schliff­facetten (Abb. 2– 4 ). Die zentrische Position ließ sich dennoch eindeutig reproduzieren. Es wurden zwei identische Zentrikregistrate hergestellt. Außer der UK-Front waren alle Zähne primär behandlungsbedürftig.

Teamapproach

Im Vorfeld wird in einem Gespräch mit dem Patient, dem Zahntechniker und dem Behandler das zukünftige Ergebnis mittels Fotos, Wax-up/ggf.Mock-up annähernd ermittelt. Bei parodontal disponierten Fällen wie diesem müssen ggf. auftretende ästhetische Kompromisse diskutiert und dokumentiert werden. Grundsätzlich lernt bei uns jeder Patient das Team Zahnarzt/Zahntechniker persönlich kennen, sodass sich besonders auch der Zahntechniker, der letztlich den Zahnersatz anfertigt, ein Bild über die extra­orale Ästhetik wie Mimik und Lachen machen kann. Vorteilhaft für die angestrebte Restauration erwies sich die Lachlinie, da kein Gummy Smile vorlag. Nur so können wichtige Parameter wie Gesichtsproportionen, Lippe, Mittel-linie, Frontzahnlänge, ­Position der Incisalkante,  die Lage der Okklusionsebene, die rote Ästhetik auch einbezogen werden in die Planung des Testzahnersatzes. Fotos von den Zähnen wie auch ggf. ältere Fotos vom Patienten sind für eine intra- und extraorale Analyse und dem Wax-up und Mock-up hilfreich.

Behandlungs-/Therapiekonzept

Parodontitistherapie (geschlossene PAR mit Evaluierung und ggf. nachfolgender offener PAR zur Reduktion der Taschentiefen)

  • Austausch der insuffizienten Restaurationen mit Langzeitprovisorien
  • Erhöhung der vertikalen Dimension der Okklusion (VDO)
  • Aufbau von Stützzonen durch Einzelimplantate
  • Wiederherstellung einer balancefreien Front-Eckzahnführung zur Risikominimierung okklusionsbedingter Funktionsstörungen
  • Nachtschiene zum Schutz der definitiven Restauration


Primäre Behandlung

Primär ist es wichtig, dass ein gesundes Fundament für die weitere Therapie vorhanden ist. Es erfolgte eine systematische Parodontaltherapie mit eng­maschigem quartalsweisem Recall. Gleichzeitig erfolgte die Entfernung von Karies und der Austausch insuffizienter indirekter Restaurationen durch präzise angefertigter Langzeitprovisorien, damit sich die Parodontien über mindestens sechs Monate regenerieren konnten. Unter dem insuffizienten Zahnersatz konnten leider Seitenzähne aufgrund eines starken Substanzverlustes und starker parodontaler Schädigung nicht gehalten werden. Nach Stabilisierung der parodontalen Verhältnisse erfolgte die Insertion verschiedener Implantate im Seitenzahnbereich Regio 16, 26, 45 und 46. Um eine stabile Okklusion zu erreichen, beschränkten wir uns auf eine verkürzte Zahnreihe bis zum ersten Molaren. Die Programmierung der Artikulatoren erfolgte durch eine Registrierung mit dem ARCUSdigma-System (Fa. KaVo). Die LZP in der Front kamen dem Geschmack des Patienten sehr nahe, alte Fotos wurden zur Vorlage genommen, die zentralen Frontzähne waren auch in jungen Jahren nur leicht länger als die seitlichen Schneidezähne, ein Kuriosum war ein dritter seitlicher Schneidezahn 12/Doppelanlage (Abb.4). Kurz vor der definitiven Phase kam es zum prothetischen Gau, nachdem der Patient unfallbedingt die Oberkieferfront bis auf Gingivaniveau frakturierte. Zusätzlich kam es zu einer Längsfraktur des alio loco wurzelkanalbehandelten Zahnes 21, welcher ­daraufhin extrahiert wurde (Abb. 7 und 8). Nach einem ausführlichen Gespräch mit dem Patienten wurden verschiedene Behandlungsoptionen diskutiert, da die Stabilität der frakturierten Stümpfe erheblich eingeschränkt war. Wir entschieden uns für den Erhalt der Zähne mithilfe chirurgischer Kronenverlängerungen und ein Implantat Regio 22 (Längsfraktur), um die Frontzähne zu entlasten. Ein signifikanter Faktor für die prothetische Restauration bei Zähnen mit großer Destruktion ist die Schaffung eines Ferrule-Designs. Zur Stabilisierung der Aufbauten diente ein Glasfaserstift, da die frakturierten Stümpfe auch endodontisch versorgt werden mussten. Die Frontzahnführungswinkel wurden sehr flach gehalten, um die Scherkräfte bei den Excursionsbewegungen so gering wie möglich zu halten (Abb. 8–12). Die präparierten Zahnstümpfe wurden mit einem laborgefertigten Provisorium zur Stabilisierung für drei Monate verblockt.

Definitive Phase

Alle Keramikveneers (UK-Front), Teilkronen und Kronen wurden aus IPSe.max Press der Firma ­Ivoclar Vivadent hergestellt. Diese Keramik aus ­Lithiumdisilikat zeichnet sich durch eine hervorragende Stabilität und Festigkeit (400Mp) aus und bietet gleichzeitig eine hervorragende Ästhetik. Die individualisierten CAD/CAM-gefertigten keramischen Zirkon-Abutments auf Titanbasen wurden mit vollkeramischen Kronen aus Lithiumdisilikat versorgt. Der große Vorteil ist die parodontal vorteilhafte Gestaltung des Emergenzprofils, die sonst ungünstige Entfernung der Zementüberreste der Suprakonstruktion lässt sich durch den iso- oder leicht subgingival gelegten Präparationsrand des Abutments leicht bewerkstelligen  (Abb.13 und 14). Die Versorgung erfolgte vier Wochen nach der Freilegung der Implantate.  Die adhäsive Befestigung  der Kronen erfolgte
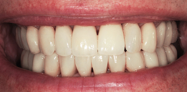
mit dualhärtendem Zement (Multilink, Ivoclar  Vivadent), die Veneers in der UK-Front wurden mit lichthärtendem Komposit unter Kofferdam ­adhäsiv befestigt (Variolink Veneer, Syntac Classic). Die abschließenden Abbildungen zeigen eine gute Integration der Restaurationen in das Gewebe, besonders die OK-Frontpartie zeigt trotz des starken Eingriffes nach 18 Monaten eine gute harmonische Adaptation in das umliegende Gewebe (Abb. 15–21). Ein engmaschiger dreimonatiger Recall ist in diesem Fall Voraussetzung, um die parodontologischen (PZR) und funktionellen (Schienenkontrolle) Parameter stabil zu halten.

Zusammenfassung

Im dargestellten komplexen Patientenfall ist die Sanierung trotz des unfallbedingten Zwischenfalls ohne gravierende Probleme durchgeführt worden, was nur durch das konsequente Einhalten des Konzeptes und der engen Zusammenarbeit mit dem Zahntechniker und auch der guten Compliance des Patienten zu verdanken ist. Die Möglichkeit der Vorhersagbarkeit durch Kontrolle und möglicher Veränderung des Zahner­satzes (Form, Farbe, Funktion) trug nicht unwesentlich dazu bei. Nichtsdestotrotz sollten verschiedene Therapieoptionen und Behandlungsmodalitäten in solchen komplexen Fällen bekannt sein, man sollte sich viel Zeit nehmen für die Beratung und Erläuterung der ästhetischen Analyse. Grundsätzlich sollte primär der Patient funktionsstabil sein bzw. die Risiken bei funktionsgestörten Patienten minimiert werden (Schiene, LZP in zentrischer Position mit ggf. interdisziplinärer Unterstützung). Zur Sicherheit wird dem Patienten eine Schiene  mitgegeben, denn Stressbruxen oder Pressen können wir nicht vermeiden, zudem sollen die Restaurationen auch lange halten, wenn Zähne Schaden nehmen, nehmen die Restaurationen auch Schaden. Das kann jeder Patient nachvollziehen. Die Zentrik der Schiene entsprach genau der statischen neuen Okklusion. Ein Lächeln des Patienten sagt mehr als tausend Worte (Abb. 22 und 23). Das ist der Moment, der uns als Team – Zahntechniker, Mitarbeiter und Zahnarzt – in unserem Job  glücklich macht.

Mehr Fachartikel aus Cosmetic Dentistry

ePaper