Digitale Zahnmedizin 21.04.2011
DVT - Datenschutz und Langzeitarchivierung
share
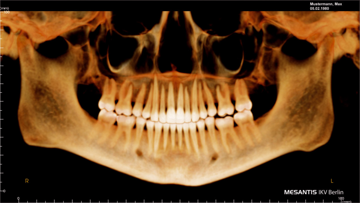
Der Einsatz digitaler Volumentomografie in der Zahnmedizin eröffnet ohne Frage ein breites Spektrum an diagnostischen Möglichkeiten (Abb. 1, 2). Um hierbei jedoch betriebswirtschaftlich sinnvoll agieren zu können, müssen einige wichtige Aspekte berücksichtigt und im täglichen Umgang mit DVTs entsprechend umgesetzt werden. So stellen neben dem großen Investitionsvolumen insbesondere der Datenschutz sowie die Langzeitarchivierung den Praktiker vor große Probleme. Diese Artikeltrilogie befaßt sich mit den positiven als auch negativen Erfahrungen rund um den Einsatz dieser Diagnostikmethode. In Teil 1 widmet sich RA Andreas Straubinger den Anforderungen an die elektronische Archivierung sowie dem Versenden von Patientendaten und Röntgenbildern. 

Abb. 1: Darstellung des vestibulären Knochenangebotes im Unterkiefer vor kieferorthopädischer Zahnbewegung. Diese Darstellung ist extrem wichtig für die Kieferorthopädie, da mehr als 70 % der Kinder und Jugendlichen an einem oder mehreren Zähnen vestibulären Knochenverlust vor Expansion des Zahnbogens aufweisen. Abb. 2: Einengung der oberen Atemwege in der Frontalansicht aufgrund ausgeprägter Hyperplasie der Tonsillen (Pfeile). Durch die digitale Volumentomografie werden im Rahmen der kieferorthopädischen Behandlungsplanung bei ca. 20 % der Patienten therapierelevante Befunde im Bereich der oberen Atemwege und Nebenhöhlen gefunden.
Das digitale Röntgenbild ersetzt immer öfter das herkömmliche Durchlichtbild. Kein Wunder, denn die Vorteile der Digitalisierung liegen auf der Hand: Digitale Röntgenbilder lassen sich leicht archivieren, schnell und kostengünstig an die involvierten medizinischen Leistungsträger versenden und bei Bedarf auf Papier ausdrucken. Dass der Versand an mehrere Leistungsträger parallel erfolgen kann, erleichtert die ärztliche Kommunikation und Zusammenarbeit bei der Behandlung von Patienten. Doch die Vorteile haben ihren Preis: Wer als Arzt digitale Röntgenbilder einsetzen möchte, tut gut daran, sich mit den rechtlichen Anforderungen an die Speicherung sowie den Transfer sensibler Patientendaten vertraut zu machen und die einschlägigen gesetzlichen Bestimmungen zu beachten.
Pflichten hinsichtlich digitaler Archivierung
Die Aufzeichnungspflichten regelt die Röntgenverordnung (RöV). Danach sind die Aufzeichnungen über eine Röntgenbehandlung 30 Jahre lang aufzubewahren. Die Röntgenbilder selbst müssen mindestens zehn Jahre lang aufbewahrt werden (§ 28 II S.1 RöV). Das Gleiche gilt für alle weiteren Aufzeichnungen der Röntgenuntersuchung. Anders bei Patienten unter 18 Jahren. Bei ihnen sind die Aufzeichnungen der Röntgenuntersuchung bis zur Vollendung des 28. Lebensjahrs aufzubewahren. 
Die Aufbewahrung von Röntgenbildern auf elektronischen Datenträgern ist ausdrücklich gestattet. Für die Dokumentation gelten die folgenden Anforderungen:  
- Urheber, Entstehungsort, Entstehungszeit müssen eindeutig erkennbar sein.
- Das Basisbild muss zusammen mit den bei der Nachverarbeitung verwendeten Bildbearbeitungsparametern unverändert aufbewahrt werden.
- Bei Serien von Einzelbildern muss erkennbar sein, wie viele Bilder bei der Untersuchung angefertigt und wie viele davon aufbewahrt wurden.
- Nachträgliche Änderungen oder Ergänzungen müssen als solche kenntlich gemacht werden und mit Angaben zu Urheber und Zeit der nachträglichen Änderung oder Ergänzung aufbewahrt werden.
Der Radiologe muss für die Dauer der Aufbewahrung außerdem sicher stellen, dass sich die Bilddaten zuverlässig mit dem Befund und den personengebundenen Patientendaten verknüpfen lassen. Die gesetzlichen Vorschriften machen insofern ein Archivierungssystem nötig, das die Verfügbarkeit der Daten während der Dauer der Aufbewahrungsfrist sicherstellt. Während der Aufbewahrungszeit dürfen keine Informationsänderungen oder -verluste eintreten. Die Radiologen müssen die Daten jederzeit innerhalb einer angemessenen Frist lesen können. Außerdem muss es auch für die mit- oder weiterbehandelnden (Zahn-)Ärzte sowie die (zahn-)ärztliche Stelle einen praktikablen Zugang zu den elektronisch aufbewahrten Röntgenbildern und Aufzeichnungen geben. Werden die Daten hierfür speziell aufbereitet, müssen diese mit den Ursprungsdaten übereinstimmen und die Erstellung von Bildmaterial erlauben, das zur Befundung geeignet ist.
Datenschutz bei Übersendung via Internet
Bei der Übersendung der Röntgenbilder via Internet müssen die involvierten Ärzte neben den Anforderungen an die ärztliche Schweigepflicht auch datenschutzrechtliche Bestimmungen beachten. Grundsätzlich sind (Zahn-)Ärzte in Fällen der Mit- und Nachbehandlung gegenüber den involvierten Ärzten von der ärztlichen Schweigepflicht befreit. Denn hier ist regelmäßig eine stillschweigende Einwilligung des Patienten anzunehmen. 

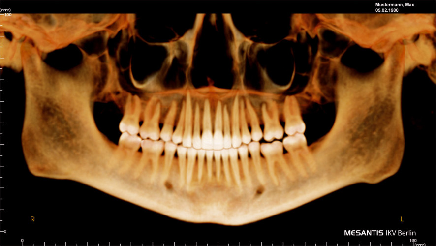
Abb. 3:  Panoramaansicht, die aus einem DVT generiert wurde. Aufgrund der Patientendaten (oben rechts) darf diese Aufnahme datenschutzrechtlich nicht per E-Mail unverschlüsselt versendet werden. Abb. 4: Typische Darstellung des Schädels von lateral mit Überlagerung der oberen Atemwege. Aufgrund der sogenannten „Clipping-Funktion“ (Darstellung dünnster Schichten ohne Überlagerungen) können Messpunkte für 2-D- bzw. 3-D-Analysen viel genauer bestimmt werden als bei herkömmlichen Fernröntgenaufnahmen. Auch diese Aufnahme darf nicht unverschlüsselt versendet werden.	(Fotos: MESANTIS IKV Berlin) 
Werden Röntgenbilder per elektronischer Datenübertragung übermittelt, ist der Datenschutz und die Datensicherheit sicherzustellen. Ziel dieser Pflichten ist die Gewährleistung von Vertraulichkeit und Unversehrtheit der Daten. Die Maßnahmen zu Datenschutz und Datensicherheit müssen dem jeweiligen Stand der Technik entsprechen. Die Konferenz der Datenschutzbeauftragten des Bundes und der Länder haben in dem Arbeitspapier „Datenschutz und Telemedizin“ die folgenden neun Anforderungen an Medizinnetze definiert:
1. Vertraulichkeit 
Der Arzt muss die Vertraulichkeit der erhobenen, gespeicherten, übermittelten oder sonst verarbeiteten Daten gewährleisten. Anders ausgedrückt: Nur befugte Personen dürfen die personenbezogenen Daten einsehen. Dies ist durch eine Verschlüsselungsmethode zu gewährleisten, die dem jeweiligen Stand der Technik entspricht.
2. Authentizität (Zurechenbarkeit)  
Die Authentizität der Daten muss gewährleistet sein. Dies kann durch eine elektronische Signatur und die Nutzung eines Zeitstempels geschehen. 
3. Integrität 
Mit der elektronischen Signatur wird gleichzeitig die Echtheit, Korrektheit und Vollständigkeit des Dokumenteninhalts bescheinigt, da der Signaturvorgang eine bewusste Handlung vom Signierenden erfordert. 
4. Verfügbarkeit 
Die Verfügbarkeit der Daten muss gewährleistet sein. Konkret heißt das, dass  die Daten zeitgerecht zur Verfügung stehen müssen und ordnungsgemäß verarbeitet werden können. Dafür müssen selbstverständlich alle Beteiligten über die jeweils nötigen technischen Voraussetzungen verfügen. 
5. Revisionsfähigkeit 
Die Revisionsfähigkeit der Daten muss gewährleistet sein. Das heißt, dass man die Ver-
arbeitungsprozesse lückenlos nachvollziehen und auch feststellen kann, wer wann welche patientenbezogenen Daten auf welche Weise verarbeitet hat. Grundvoraussetzung ist hier ebenfalls die elektronische Signatur. Denn der Inhalt eines elektronisch signierten Dokuments lässt sich nicht ohne Verletzung der elektronischen Signatur verändern.   
6. Validität 
Die Validität der Daten muss zudem gewährleistet sein. Diese Forderung betrifft insbesondere die Bilddaten, bei denen es auf Qualitätsmerkmale wie Bildauflösung und Farbechtheit ankommt. Die Validität wird von der Integrität nicht umfasst. Daten können zwar integer im Sinne von vollständig und unversehrt sein, gleichzeitig können sie jedoch unzureichend für medizinische Nutzungszwecke sein, weil es ihnen an Darstellungsqualität und Aktualität mangelt. 
7. Rechtssicherheit 
Für jeden Verarbeitungsvorgang und dessen Ergebnisse ist der Verursachende bzw. Verantwortliche beweiskräftig nachweispflichtig. Die Voraussetzung für die Rechtssicherheit ist die Revisionsfähigkeit und damit auch das elektronische Signieren eines jeden patientenbezogenen Dokuments. Damit eine elektronische Signatur rechtsverbindlich einer verantwortlichen Person zugeordnet werden kann, bedarf es einer sogenannten qualifizierten Signatur – eine gewöhnliche elektronische Signatur reicht hierzu nicht aus. 
8. Nicht-Abstreitbarkeit von Datenübermittlungen  
Die Nicht-Abstreitbarkeit des Sendens und Empfangens von patientenbezogenen Dokumenten muss gewährleistet sein. Und zwar in beide denkbaren Richtungen: Einerseits muss der Sender eines patientenbezogenen Dokuments sicher sein können, dass das Dokument seinen Empfänger auch wirklich erreicht hat. Dabei darf der Sender nicht abstreiten können, genau dieses Dokument an genau den Empfänger gesendet zu haben. Andererseits muss der Empfänger eines patientenbezogenen Dokuments sicher sein können, genau dieses von einem bestimmten Sender empfangen zu haben. Auch er darf nicht abstreiten können, genau das Dokument von einem bestimmten Sender empfangen zu haben. Hier kommt das so genannte Quittungsverfahren zum Einsatz. Hierbei bestätigen sich Sender und Empfänger auf qualifizierte Weise, dass das empfangene Dokument vom Sender stammt und der Empfänger genau dieses Dokument empfangen hat.
9. Nutzungsfestlegung 
Medizinische Datenverarbeitungssysteme müssen einen differenzierten Nutzerzugang ermöglichen. Im Einzelnen heißt das: Das System lässt für jedes patientenbezogene Dokument die Definition des Nutzerkreises sowie die Festlegung von abgestuften Nutzungsrechten und Nutzungsausschlüssen zu.
Schlussbemerkung
Die Archivierung und Übertragung digitalisierter Röntgenbilder erfordert eine technische Infrastruktur, die den hohen Anforderungen hinsichtlich Datenschutz und Datensicherheit gerecht wird. Für die Ärzte kommt es darauf an, dass sie sich vom IT-Dienstleister vor der Entscheidung für ein Archivierungssystem oder Archivierungszentrum den datenschutzrechtlich korrekten Umgang mit den Patientendaten bestätigen lassen.
Autor: Andreas Straubinger
Mehr zum Thema im 2. Teil der Artikeltrilogie:
DVT - Datenschutz und IT-Voraussetzungen
Seitenanfang
 
                             
                                         
                                                                                     
                         
                         
                         
                         
                        