Implantologie 21.02.2011
DVT bietet erstaunliche Möglichkeiten
Speziell für den zahnmedizinischen und kieferchirurgischen Bereich wurde 1997 erstmals die dentale digitale Volumentomografie eingeführt. Diese neue Technik, die seither von den Herstellern kontinuierlich weiterentwickelt wurde, bietet frappierende Möglichkeiten. Da zudem auch der Preis der angebotenen Geräte sinkt und zunehmend weitere Anwendungen beschrieben werden, wird die Anschaffung – insbesondere für große chirurgische Praxen oder Praxen mit Schwerpunkt Chirurgie/Implantologie – immer interessanter.
Im Gegensatz zur Computertomografie (CT) werden beim DVT keine einzelnen Schichten mit entsprechenden Detektoren erfasst, sondern der gesamte Aufnahmebereich wird in einem Aufnahmeumlauf des konusförmigen Nutzstrahlenbündels durchstrahlt. Metallhaltige Strukturen zeigen dabei erheblich geringere Störsignale als beim konventionellen CT und die Strahlenbelastung der DVT ist wesentlich geringer.

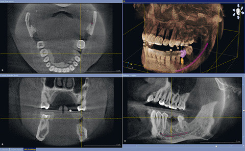
Abb.1 bis 3: Bildausschnitt eines DVT in Verbindung mit einer gängigen Software.
Vorteile gegenüber 2-D-Aufnahmen
Eine dreidimensionale Bildgebung bietet den grundsätzlichen Vorteil, die (dreidimensionalen) anatomischen Strukturen – ohne Dimensionsverlust – wiedergeben zu können. Dies führt zu einem erhöhten Informationsgehalt. Die räumliche Zuordnung von anatomischen Strukturen wird in drei Dimensionen häufig überhaupt erst möglich (z.B. räumliche Beziehung von Zahnwurzeln zum Verlauf eines Nervs; genaue Lage von verlagerten Zähnen; Beurteilung des zur Verfügung stehenden Knochenangebots usw.).
Aufnahmetechnik
Die Objektdetails werden mit kontinuierlicher Veränderung des Projektionswinkels mit multiplen Einzelbildern innerhalb der Drehbewegung in ihrer jeweiligen Darstellung und räumlichen Zuordnung erfasst. Aus der Summe der kontinuierlich erstellten 2-D-Aufnahmen (zw. 200 und 400 einzelne Bilder) wird dann – mithilfe spezieller Rechenalgorithmen – aus den Einzelaufnahmen ein dreidimensionales Volumen rekonstruiert und auf einem Monitor dargestellt.

Abb. 2: Bildausschnitt eines DVT in Verbindung mit einer gängigen Software.
Volumen
Mittlere bis große Volumen reichen dabei von Ober- und Unterkiefer bis hin zur vollständigen kraniofazialen Aufnahme. Die Hersteller bieten verschiedenste Volumina mit Größen von Ø5x5cm bis zu Ø20x19cm an.
Auflösung
Das Auflösungsvermögen wird durch die Voxelgröße (möglichst klein) und die Dosis beeinflusst. Zu geringe Dosis führt zu Rauschen in der Aufnahme, da die Anzahl der Röntgenquanten nicht mehr ausreicht, um auch homogene Objekte gleichmäßig zu durchstrahlen. Letztendlich ist die Bildqualität und die Auflösung stark durch die einzelnen Elemente der ganzen Bildkette und somit auch von den angewendeten mathematischen Algorithmen abhängig. Bei längerer Scanzeit nimmt die Gefahr der Verwacklung aufgrund möglicher Patienten-Bewegungen zu. Hierbei ist auch zu beachten, dass bei geringerer Voxelgröße und längerer Scanzeit ein größeres Datenpaket entsteht, welches wiederum zu längeren Rekonstruktionszeiten führt.

Abb. 3: Bildausschnitt eines DVT in Verbindung mit einer gängigen Software.
Strahlenexposition
Es sind zurzeit nur begrenzt belastbare Daten verfügbar. Die effektive Dosis (berechnet nach den ICRP-Gewichtungsfaktoren von 2007) schwankt zwischen den einzelnen auf den Markt befindlichen Geräten beträchtlich. Sie liegt nach der S1-Empfehlung der DGZMK zwischen 13 μSv und 1.073 μSv (Panoramaschichtaufnahme: zwischen 10 μSv und 20 μSv).
Einsatzgebiete
Es werden zunehmend mehr Anwendungsgebiete beschrieben. Infrage kommen Anwendungen in den Bereichen Implantologie, Parodontologie, Kieferorthopädie, Oralchirurgie und Mund-Kiefer-Gesichtschirurgie.
Rechtfertigende Indikation
Laut RöV benötigt jede Röntgenaufnahme eine rechtfertigende Indikation. Hier ist das gesundheitliche Risiko der Strahlung gegenüber dem Nutzen (Zugewinn an Information) abzuwägen.
Software
Jeder Hersteller bietet mit seinem Produkt eine Software zur Darstellung und Analyse der Daten an. Die Funktionen und anwählbaren Ansichten bestehen z.B. in der Auswahl von saggitaler, coronaler und axialer Ansicht, Transversalansichten und einer Panoramaübersicht. Die Daten werden zur Archivierung und Bearbeitung unter anderem im standardisierten Format DICOM (Digital Imaging and Communication in Medicine) gespeichert.
Qualitätssicherung
Aufgrund der Neuartigkeit der DVT-Technologie ist die Gesetzeslage im Hinblick auf die Qualitätssicherung noch rudimentär.
Wissenschaftliche Leitlinie der DGZMK
Für die DVT liegt eine Leitlinie der Deutschen Gesellschaft für Zahn,- Mund und Kieferheilkunde (DGZMK) vor (S1-Empfehlung). Diese finden Sie unter: www.dgzmk.de. (Bitte geben Sie unter der Suchfunktion „Leitlinie DVT“ ein.) Die Leitlinie bietet dem Anwender wertvolle Informationen, insbesondere auch zu Indikation.
DIN Norm
Eine DIN Norm zur dentalen Volumentomografie befindet sich zurzeit noch in Bearbeitung.
Fachkunde DVT
Um ein DVT-Gerät betreiben zu können, benötigt der Zahnarzt die Fachkunde im Strahlenschutz für weitergehende Techniken. Die Rechtsgrundlage befindet sich in der Richtlinie Fachkunde und Kenntnisse im Strahlenschutz bei dem Betrieb von Röntgeneinrichtungen in der Medizin oder Zahnmedizin vom 22. Dezember 2005. Mit dem Erwerb der Fachkunde für weitergehende Techniken wird die gesamte Fachkunde im Strahlenschutz aktualisiert (Vorausgesetzt, die 5-Jahres-Frist wird hierdurch nicht überschritten).
Abrechnung
Zur Abrechnung von DVT existieren eine Reihe von Empfehlungen. Eine gefestigte Ansicht scheint sich noch nicht gebildet zu haben. Die am weitesten verbreitete Auffassung empfiehlt den Ansatz der GOÄ Nr. 5370 „CT, Kopf“, Einfachsatz 116,57 EUR, 1,8fach 209,83 EUR, 2,5fach 291,44 EUR und zusätzlich die GOÄ Nr. 5377 „Zuschlag, computergesteuerte Analyse“, 46,33 EUR. Beide Leistungen können nur von demjenigen berechnet werden, der über die spezielle Fachkunde verfügt.
Zusammenfassung
Die DVT ist ein dreidimensionales Bildgebungsverfahren mit erstaunlichen Möglichkeiten. Die Technik wird kontinuierlich weiterentwickelt, die mit ihr verbundene Strahlenbelastung immer weiter reduziert, sodass zunehmend neue Anwendungen im Bereich der Zahnheilkunde – auch unter Berücksichtigung der Aspekte des Strahlenschutzes – möglich werden. Bei allen potenziellen Anwendungen ist zu berücksichtigen, dass die gegenüber zweidimensionalen Aufnahmen immer noch erhöhte Strahlenbelastung durch einen Zugewinn an Informationen gerechtfertigt sein muss.
Wer einen DVT betreiben oder entsprechende Aufnahmen auswerten möchte, benötigt eine spezielle Fachkunde. Bei der Befundung einer DVT-Aufnahme muss das gesamte Volumen befundet werden. Deshalb ist im Entscheidungsprozess für ein bestimmtes, sprich großes DVT-Volumen, sowohl der zeitliche wie auch der rechtliche Aspekt der Befundung zu berücksichtigen.
Autoren: Dr. H. Schlegel, Daniela Blanke