Endodontologie 26.02.2016

Erfolgreiche Endodontie in nur einer Sitzung!?



Erfolgreiche Endodontie in nur einer Sitzung!?

Foto: © Autor

Folgender Beitrag geht der Frage nach, ob „Single-visit root canal treatment“ unter Einsatz u. a. der aPDT, adhäsiver Endodontie und zeitnaher definitiver Zahnersatzversorgung auch bei Zähnen mit (teilweise ausgedehnter) apikaler Parodontitis Erfolg versprechen kann.

Die Frage, wie viele Sitzungen für eine endodontische Therapie notwendig sein sollten, wird seit Jahren kontrovers diskutiert. Peters & Wesselink (2002) kamen in einer randomisierten, kontrollierten Studie zu dem Schluss, dass es bei einem Kontrollzeitraum von bis zu viereinhalb Jahren keinen signifikanten Unterschied in der Heilung einer periradikulären Aufhellung gibt, ob die Behandlung in einer (81 Prozent Heilung) oder zwei Sitzungen (mit einer Ca(OH)2-Einlage, 71 Prozent Heilung) stattfand. Zur Beurteilung des Vorhandenseins oder der Größe einer apikalen Läsion vor einer Wurzelkanalbehandlung (WKB) bzw. des Grades einer Ausheilung nach WKB stellten Ørstavik et al. 1986 den PAI vor, der auch heute noch Grundlage vieler Studienauswertungen ist. Er basiert darauf, dass in fünf Stufen das (rö.) Ausmaß einer periapikalen Parodontitis eingeschätzt und mit Referenzfotografien verglichen wird (Hülsmann 2008). Die Stichhaltigkeit dieser Vorgehensweise wird von Wu et al. (2009) infrage gestellt, weil der Gebrauch des PAI fragwürdig ist, aufgrund der Tatsache, dass die Dicke des kortikalen Knochens und die Position der Wurzelspitze variieren bezüglich z. B. der Zahnposition im Kiefer. Das bedeutet, dass diese zu bedenkenden Begrenzungen die korrekte Interpretation von Ergebnissen von WKB aus Longitudinalstudien einschränken. Die Autoren gehen noch weiter und wünschen sich, dass frühere Ergebnisse in Langzeitbeobachtungen reevaluiert, die DVT-Technik eingesetzt und die Neubewertungskriterien stringent gehandhabt werden sollten. Möglicherweise werden heute als gut und besser erscheinende WF dann als eher befriedigend oder schlechter bewertet angesprochen werden müssen, da das dreidimensionale DVT mehr In­formationen als die zweidimensionale Zahnfilmtechnik liefert.

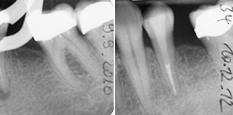
Stehen den endodontisch interessierten und tätigen Kollegen diese (DVT-)Techniken nicht zur Verfügung, dann genügt für den täglichen Gebrauch noch immer der PAI (Score 1 und 2 = „gesund“, Score 3 und schlechter = „krank“), allerdings erweitert um die Definition der European Society of Endodontology (ESE), dass bei einer „unvollständigen Heilung“ die Verbesserung des Scores eine Heilung zu versprechen scheint. Ist jedoch z. B. eine „Verbesserung“ von 5 auf 4 oder ein Bestehenbleiben von 4 zu verzeichnen, so soll dies als Misserfolg gewertet werden, selbst wenn klinische Symptomlosigkeit als auch subjektive Beschwerdefreiheit des Patienten festgestellt werden können. Score 3 steht dann für „Erfolg“, wenn bei „unvollständiger Heilung“ klinische Symptomlosigkeit vorzufinden ist und die Anfangsscores 5 oder 4 waren. Die Erfolgsquoten endodontischer Therapien sind je nach Ausgangslage unterschiedlich. Bei Erstbehandlungen liegen die Quoten höher als bei Revisionsbehandlungen, bei zusätzlichem Vorhandensein periapikaler Läsionen sinken die Erfolgsquoten im Durchschnitt. Die geringsten Erfolgsquoten werden bei wiederholter apikaler Chirurgie erzielt (ca. 37,5 Prozent; Abb. 1–7).

Adjuvante Photodynamische Therapie

Die adjuvante Photodynamische Therapie wurde für die Krebsbehandlung entwickelt und basiert auf dem Konzept, dass ein lichtsensibles Agens („Photosensitizer“) in prämalignes oder malignes Gewebe eingebracht und anschließend mit Licht abgestimmter Wellenlänge aktiviert wird, um Singulett-Sauerstoff und freie Radikale, die zytotoxisch für das Zielgewebe sind, zu generieren.

Dort, wo man die aPDT (Synonyme: PAD = photoaktivierte Desinfektion, PACT = photoaktivierte Chemotherapie) als einen Teilschritt in der endodontischen Therapie ansieht, besteht Klarheit darüber, dass eine vorherige chemomechanische Aufbereitung erfolgen muss. Bergmans et al. (2008) vermerkten in einer randomisierten, kontrollierten Studie, dass die photoaktivierte Desinfektion keine Alternative, aber eine mögliche Ergänzung zu einem existierenden Wurzelkanal-Desinfektionsprotokoll darstellt und ein breites Wirkungsspektrum besitzt, auch wenn einzelne Spezies allein einen Biofilm bilden, der schwer zu beseitigen ist. Die wissenschaftlichen Aussagen zur Wirkungsfähigkeit sind aber uneinheitlich; sie reichen von wirksam über empfehlenswert bis keine Beeinflussung eines zu erwartenden positiven Ergebnisses. Das hängt u. a. damit zusammen, dass keine einheitlichen Standards im Versuchsaufbau existieren. Foschi et al. (2007) beschrieben, dass die Studienergebnisse die Notwendigkeit aufzeigen, das Optimum einer Methylenblau-Konzentration und entsprechender Belichtungsparameter zu bestimmen, damit ein Maximum an Bakterienabtötung im Wurzelkanal erreicht werden kann.

Silva et al. (2012) beurteilten in einer In-vivo-Studie an Hundezähnen die Antwort des apikalen und periapikalen Gewebes nach Single-visit-Behandlungen in Kombination mit oder ohne aPDT bei bestehender apikaler Parodontitis. Obwohl dabei ein apikaler mineralischer Verschluss nicht erreicht wurde, konnten die Abwesenheit von Entzündungszellen, moderate Neoangiogenese sowie Fibrogenese bei der mit aPDT ­behandelten Gruppe festgestellt werden. Das lässt den Schluss zu, dass die Photo­dynamische Therapie eine vielversprechende zusätzliche Behandlungsmaßnahme zur chemomechanischen Aufbereitung bei Zähnen mit apikaler Parodontitis bei Single-visit-Behandlungen darstellt. Rios et al. (2011) ermittelten in einer weiteren randomisierten, kontrollierten Studie signifikant weniger Überlebensraten in der Gruppe von Zähnen, die mit NaOCl und Toluidinblau/Laser behandelt wurden, als in den Gruppen, die entweder mit NaOCl oder mit Toluidinblau/Laser eine Desinfektion erfuhren.

Auch endodontische Revisionsbehandlungen werden nach Möglichkeit in einer Sitzung vorgenommen – wie oben beschrieben u. a. unter Einsatz der aPDT, adhäsiven Endodontie sowie eines aus der Tiefe des Kanalsystems herauskommenden Kompositverschlusses (Abb. 8–11). Dass klinische und röntgenologische Ausgangsbefunde von untergeordneter Bedeutung sein können, zeigen auch die Beispiele in den Abbildungen 12–20.

Auf der einen Seite (in der wissenschaftlichen Literatur) besteht gegenüber diesen („kunststoffbasierten“) Materialien Skepsis, z. B. wegen der einem Kunststoff innewohnenden Polymerisationsschrumpfung. Durch diese kann es demnach zu Brüchen zwischen dem „Monoblock“ (bestehend aus Resinsealer und resinbasiertem Kernmaterial nach Einbringung eines selbstätzenden Primers) und der umgebenen Resin-Dentin- Interdiffusionszone kommen (Bergmans et al. 2005). Auf der anderen Seite gibt es Kollegen, welche die adhäsive Endodontie in Single-cone-Technik für ebenbürtig dem „Goldstandard“ – warme GP-Kompaktion – halten, und begrüßten deren Einführung (u. a. Teixeira et al. 2004, Shipper et al. 2004, Pawin´ska et al. 2006). Zu überaus positiven Ergebnissen kommen Zmener & Pameijer (2012): sie hatten klinisch und radiologisch Single-visit behandelte Zähne, die mit EndoREZ (und lateraler Guttaperchakompaktion) verschlossen wurden, nachkontrolliert und sind in dieser 10-Jahres-Verlaufs-Kontrollstudie zu der Schlussfolgerung gekommen, dass sie resinbasierte Sealer als Alternative zu gewöhnlich verwendeten Sealern empfehlen können. Weiterhin stellten sie heraus, dass es keinen signifikanten Unterschied in der Heilungsrate bei Zähnen mit oder ohne PL (periapikale Läsion) gab und dass auch extrudiertes Sealermaterial keinen negativen Einfluss auf die Heilungstendenz hat.

Um die Prinzipien der Dentinadhäsivtechnik in der restaurativen Zahnheilkunde auf den intrakanalären Bereich erfolgreich übertragen zu können, müssen Kenntnisse über z. B. den (hohen) C-Faktor (u. a. Tay et al. 2005) im Wurzelkanal oder die verminderte Adhäsivfähigkeit des Wurzeldentins (u. a. Manicardi et al. 2011) vorhanden sein und Anwendung finden. Den ebenfalls diskutierten Undichtigkeiten adhäsiver Sealer und damit verbundener Gefahr einer Reinfektion des Kanals kann ggf. begegnet werden, indem der adhäsive Verschluss des koronalen Zahnanteils bereits im Kanal beginnt und sowohl Dentin als auch Schmelz entsprechend vorbereitet werden (Abb. 21–28).

 

 

Postendodontische Versorgung

Wann nach Abschluss der WKB und in welcher Qualität der definitive Verschluss des endodontisch behandelten Zahnes geschehen sollte, ist von entscheidender Bedeutung für die Langzeitprognose der Therapie. Hierzu haben bereits Ray & Trope (1995) entscheidende Erkenntnisse geliefert, die u. a. von Kirkevang et al. (2000), Tronstad et al. (2000), Heling et al. (2002) in einer Metaanalyse, Sritharan (2002) und ­Gillen et al. (2011) in einer weiteren Metaanalyse bestätigt wurden: Der zeitnahe und von guter Qualität bestehende definitive Verschluss des endodontisch behandelten Zahnes bringt eine hohe langfristige Überlebenswahrscheinlichkeit, und zwar selbst dann, wenn die WKB von minderer Qualität war. Von gleicher Bedeutung für die Prognose eines wurzelbehandelten Zahnes ist, ob und zu welchem Zeitpunkt die Insertion eines intrakanalären Stiftes erfolgt und welche Art von Stiftsystem genutzt wird. Das hängt auch von der vorhandenen Restzahnsubstanz ab. Je nach Zerstörungsgrad ist es möglich, einen Zahn nur mit Komposit zu stabilisieren und für die Aufnahme von Zahnersatz vorzubereiten. Es ist bekannt, dass die Widerstandsfähigkeit trepanierter Zähne verringert ist. Dies hat nicht nur etwas mit Substanzabtrag zu tun, sondern damit, dass Verluste der Empfindlichkeit der Mechanorezeptoren nach Entfernen des Pulpakammerdaches (eingeschränkter Rückkopplungsmechanismus) dazu führt, dass erst größere Druckbelastungen zur Wahrnehmung notwendig sind und dies demzufolge zu einem erhöhten Frakturrisiko wird (Randow & Glantz 1986; Abb. 29–35).

Infaust – erhaltungswürdige und/oder erhaltungsfähige Zähne?

Das Ziel einer WKB wird immer die größtmögliche Desinfektion des Kanalsystems sein sowie alles dafür zu tun, eine Reinfektion, z.B. durch exakt sitzenden Zahnersatz, zu verhindern.

Werden grundsätzliche Prinzipien einer Wurzelkanalbehandlung (z. B. Aufbereitung stets unter Kofferdam, vorhandenes und durchdachtes Spülprotokoll) ­beachtet, kann mit der adhäsiven Endodontie auch der Erhalt scheinbar „in­fauster Fälle“ möglich sein (Abb. 36–44). Die Erfolge sind heute mit denen in der Implantologie vergleichbar. Iqbal & Kim (2007) fanden heraus (Metaanalyse auf der Basis von 13 Studien zu wurzelkanalbehandelten Zähnen und 55 Untersuchungen zu Implantaten), dass der Erfolg eines wurzelbehandelten Zahnes strenger beurteilt wird als der einer Implantation. Deshalb schauten sie nur auf die jeweiligen Überlebensraten und ermittelten annähernd gleiche Werte: 94 und 97 Prozent nach fünf bis zehn Jahren für beide Behandlungen. Doyle et al. (2006) stellten Misserfolgsraten gegenüber – je 6 Prozent bei beiden Therapien (endodontische, nichtchirurgische Wurzelbehandlung und Einzelzahnimplantat), wobei bei Implantaten mit 18 Prozent mehr klinische Komplikationen (technische Probleme oder chirurgische Interventionen bei Periimplantitis) auftraten als bei wurzelkanalbehandelten Zähnen (4 Prozent, besonders Revisionen oder persistierende apikale Parodontitiden).

Der Sachverständigenrat zur Begutachtung der Entwicklung im Gesundheitswesen hat 2001 ein Gutachten zur Über-, Unter- & Fehlversorgung in der Zahnmedizin verfasst (siehe dazu: www.endodontie-am-venusberg.de). Im Rahmen des Heidelberger Kolloquiums äußerte sich der renommierte Endodontie-Wissenschaftler Prof. M. Hülsmann (Göttingen) dazu und führte u. a. aus: Auch wenn die Datenlage unzureichend sei, ließen sich aus vorhandenen Studien, wenn auch mit gebotener Vorsicht, durchaus Tendenzen ablesen. So seien Überversorgungen in der Endodontie selten anzutreffen. Eher müsse man in der Bevölkerung insgesamt wie in vielen Einzelfällen „deutliche Unterversorgungen” registrieren. Fehlversorgungen seien besonders „im Bereich der Prozessqualität” zu verzeichnen. Daneben gäbe es Hinweise darauf, dass immer noch viele Zähne zur Extraktion gelangten, die endodontisch erhalten werden könnten.

Zusammenfassung

Einige Autoren empfehlen die Single-visit-Behandlung, andere sehen in einer medizinischen Einlage mit Ca(OH)2 zwischen zwei Sitzungen einen Vorteil die Erfolgsaussichten betreffend. Einigkeit besteht darin, dass NaOCl das Spülmittel der Wahl ist, in der Frage der Konzentration ist man sich uneins.

Die aPDT wird als adjuvante Therapie akzeptiert, aber deren unbedingter Einsatz, speziell bei Zähnen mit PL, nicht als den Behandlungserfolg ausmachend favorisiert. Die Single-cone-Technik mit adhäsiven Sealern ist in manchen Studien anderen WF-Techniken überlegen, in anderen versagt sie.

Die jahrelangen (eigenen) positiven Erfahrungen lassen den Schluss zu, dass bei Beachtung von wichtigen Prinzipien bei einer WKB auch Zähne mit (teilweise großen) apikalen Parodontitiden in einer Sitzung erfolgreich behandelt und erhalten werden können.

Gerade dann, wenn umfangreiche, für die Patienten auch finanziell belastende Sanierungen anstehen, muss man auf ein endodontisches Behandlungskonzept zurückgreifen können, das günstige Prognosen zu versprechen scheint. Die Auswahl der Zähne, die mitunter größere prothetische Konstruktionen tragen müssen, kann deshalb selbstbewusst erfolgen.

Eine ausführliche Literaturliste gibt es hier.

Mehr Fachartikel aus Endodontologie

ePaper