Endodontologie 04.12.2013
Modernste Endodontie mit einem einfachen Konzept
Im Laufe der letzten zwei Jahrzehnte sind die Behandlungskonzepte in der Endodontie enorm verbessert worden. Die Einführung des Operationsmikroskopes, elektrometrischer Längenbestimmung, maschineller Aufbereitung mit flexiblen Feilensystemen und thermoplastischer Wurzelfülltechniken haben zu deutlich erhöhten Erfolgsprognosen geführt, und als Folge hat die Endodontie heute einen extrem gestiegenen Stellenwert in der Zahnerhaltung.
SybronEndo hat im Jahre 2007 mit der Einführung der Twisted Files (TF), gefertigt aus einer hochflexiblen Nickel-Titan-Legierung und mit einem ausgeklügelten Design, zu dieser Entwicklung beigetragen. Dieses bewährte System kann in modifizierter Form, seit der IDS 2013, auch im reziproken Modus betrieben werden und trägt den Namen TF Adaptive. Der spezielle TF Adaptive-Motor erlaubt eine durchdachte Kombination aus rotierender und reziproker Bewegung, wobei die reziproke Bewegung erst bei Belastung der Feile einsetzt. Die reziproke Bewegung bringt einige Vorteile in der maschinellen Instrumentierung. Am wichtigsten sei hier die signifikant höhere Resistenz gegen zyklische Ermüdung und Torsionsbrüche der Feilen erwähnt.1
Die Abkehr von einem reziproken Einfeilensystem „Single File“ erfolgte bewusst, um den Stress auf die Kanalwand und die Menge an apikal überpresstem und in Isthmen eingepresstem Debris zu reduzieren. Im TF Adaptive-System werden meistens drei Feilen benötigt, um die Aufbereitung abzuschließen. In Bezug auf den postoperativen Schmerz lässt sich möglicherweise gerade deshalb sowohl bei TF als auch bei TF Adaptive ein signifikanter Unterschied gegenüber anderen reziproken Systemen feststellen.2

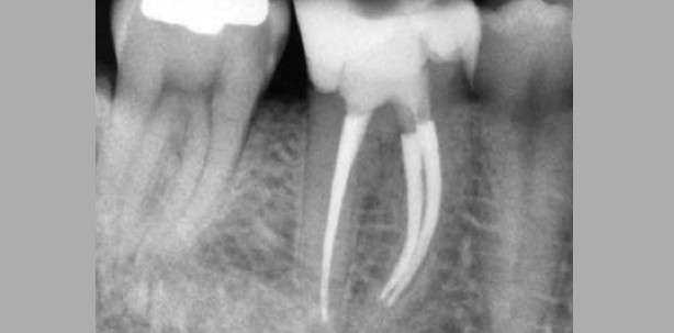
Bild in Vollgröße.
Patientenfall
In folgendem Fall kam der Patient mit Schmerzen in unsere Praxis. Das angefertigte Röntgenbild zeigte eine ausgedehnte Approximalkaries, welche auf eine Beteiligung der Pulpa schließen ließ. Nach Kariesexkavation wurde das eröffnete Pulpenkavum zunächst abgedeckt und der Zahn mit einer adhäsiven Kompositfüllung aufgebaut. Danach erfolgte unter Kofferdam und optischer Vergrößerung (Zeiss OPMI PROergo) die Trepanation des Zahnes. Nach Darstellung der Kanaleingänge und Bestimmung der Arbeitslänge wurden die Kanäle mit dem TF Adaptive-System aufbereitet. Nach Durchführung des Spülprotokolls mit Anwendung des Unterdruckspülsystems EndoVac (SybronEndo) erfolgte die Obturation als thermisch vertikale Kompaktion mit Resilon (Real Seal SE). Zum Abschluss wurde der Zahn noch adhäsiv mit Komposit verschlossen.
Literatur
1 Pedula E., Grande N.M., Plotino G., Gambarini G., Rapisarda E. Influence of Continuous or Reciprocating Motion on Cyclic Fatigue Resistance of 4 Different Nickel-Titanium Rotary Instruments, Journal of Endodontics Volume 39, Issue 2, Pages 258–261, February 2013.
2 Gambarini G., Testarelli L., De Luca M., Milana V., Plotino G., Grande N.M., Rubini A.G., Al Sudani D., Sanninio G. The influence of three different instrumentation techniques on the incidence of postoperative pain after endodontic treatment, Annali di Stomatologia 2013; IV(1): 152–155.
Autoren: Dr. Tom Schloss, Dr. Jürgen Wollner