Endodontologie 29.05.2015
Atraumatische Extraktion der unteren Weisheitszähne
Läsionen des Nervus alveolaris inferior oder des Nervus lingualis gehören zu den meistgefürchteten Komplikationen bei Weisheitszahnextraktionen. Iatrogene Verletzungen besagter Nerven führen meist zu Klagen auf Schmerzensgeld und Schadenersatz im Falle von auftretenden Sensibilitätsstörungen an Kinn, Unterlippe, Zahnfleisch und Zunge. Durch verbesserte Diagnosemethoden und Operationstechniken konnte das Auftreten solcher Komplikationen jedoch erheblich gesenkt werden. Es folgt die Beschreibung einer diagnostischen und therapeutischen Methode, die chirurgische Komplikationen an den unteren Weisheitszähnen verringern soll.
Der Nervus alveolaris inferior ist ein empfindlicher Nerv aus parallelen (zentralen/peripheren) Nervenfasern: Er entspringt aus dem hinteren Ende des hinteren Nervus mandibularis, während der Nervus lingualis ein Abzweig des mandibularen Astes des Nervus trigeminus ist. Der Nervus alveolaris inferior und der Nervus lingualis sind die Nerven, die am ehesten dem Risiko unbeabsichtigter iatrogener Läsionen im Zusammenhang mit Weisheitszahnextraktionen ausgesetzt sind. Derartige Nervenläsionen wurden zum ersten Mal 1943 in drei Kategorien eingeteilt:
1. Neurapraxie, d.h. eine Störung der Impulsweiterleitung in der Nervenfaser. Die Heilung findet in solchen Fällen ohne Waller’sche Degeneration statt und wird daher als leichteste Form der Nervenläsion betrachtet.
2. Axonotmesis, d.h. Verlust der Kontinuität des Axons und seiner Myelinhülle, aber Erhalt des Hüllgewebes des Nervs.
3. Neurotmesis, d.h. Verlust der Kontinuität des Axons sowie des umgebenden Bindegewebes.1–3
Die International Association for Study of Pain (IASP) unterscheidet die folgenden Symptome:
1. Anästhesie: kompletter Sensibilitätsausfall;
2. Parästhesie: Änderung der Sensibilität, einhergehend mit einem Gefühl von Kribbeln, Kitzeln, Prickeln, Stechen oder Brennen;
3. Hypästhesie: verminderte sensible bzw. taktile Wahrnehmung oder ein partieller Verlust der Sensibilität gegenüber Nervenreizen;
4. Hyperästhesie: unnormale Erhöhung der Sensibilität gegenüber Reizen;
5. Dysästhesie: unnormaler Tastsinn mit Empfindungen wie Brennen, Nässe, Jucken, Stromschlag und Kribbeln.
Die Häufigkeit in der Literatur dokumentierter postoperativer Schäden des Nervus alveolaris inferior und des Nervus lingualis variiert stark. Eine Umfrage aus dem Jahr 2005 unter allen Kieferchirurgen in Kalifornien über die Häufigkeit neurologischer Schäden an diesen Nerven zeigt, dass 94,5 Prozent der 535 teilnehmenden Chirurgen Verletzungen am Nervus alveolaris inferior und 56 Prozent Verletzungen am Nervus lingualis berichteten.4 In einer im Jahr 2000 veröffentlichten Studie von J. Gargallo-Albiol et al. lag die Häufigkeit temporärer Störungen am Nervus alveolaris inferior oder am Nervus lingualis zwischen 0,278 Prozent und 13 Prozent.5 Eine andere Studie von John R. Zuniga zeigte, dass die Häufigkeit dauerhafter Verletzungen an Nervus alveolaris inferior oder Nervus lingualis zwischen 0,4 Prozent und 25 Prozent bzw. 0,04 Prozent und 0,6 Prozent lag.6 Zwei wichtige Faktoren können das Risiko für Schäden am Nervus alveolaris inferior beträchtlich erhöhen: die Anatomie und ein hohes Alter. Mit Anatomie ist hier das Verhältnis zwischen Gefäßnervenstraße und Wurzeln des Weisheitszahns gemeint, das mithilfe eines Orthopantomogramms (OPG) geklärt werden kann. Bereits 1990 erstellten Rood und Shehab7 eine Liste klarer Indikationen für signifikant höhere Risiken einer Schädigung des Nervus alveolaris inferior, die alle anhand eines OPG erkannt werden können (Tabelle 1, Seite 88). Die Bedeutung dieser Risikoindikatoren wurde kürzlich von den folgenden Autoren bestätigt: Blaeser et al.8 berechneten den Wert einiger von Rood und Shehab definierten Indikatoren7 wie z.B. die Abweichung des Alveolarkanals, die Radioluzenz der Wurzel und die Unterbrechung der radiopaken Linien, die den Alveolarkanal kennzeichnen. Bei Vorliegen dieser Bedingungen liegt die Wahrscheinlichkeit neurologischer Läsionen zwischen 1,4 Prozent und 2,7 Prozent, also um mindestens 40 Prozent höher als die allgemeine Wahrscheinlichkeit. Sedaghafar et al.9 führen die klinisch-radiologische Bewertung einen Schritt weiter und zeigen, dass die Vorhersage von Läsionen noch genauer ist, wenn weitere Informationen, wie die Entwicklung und Form der Wurzeln, die Tiefe des Einschlusses etc., berücksichtigt werden.7 Eine von Andrew et al. im Jahr 2004 durchgeführte Studie zur Bestimmung der Häufigkeit einer Parästhesie des Nervus alveolaris inferior bei Weisheitszahnoperationen an Patienten mit freiliegender Nervenstraße ergab, dass eine solche Situation mit hoher Wahrscheinlichkeit eine enge Beziehung zwischen Nerv und Zahn mit sich bringt und ein 20%iges Risiko für Parästhesie sowie eine 70%ige Wahrscheinlichkeit für eine Genesung innerhalb eines Jahres nach der Operation bedeutet.10 Das Alter eines Patienten ist ein weiterer erheblicher Risikofaktor. Die Literatur zeigt, dass Komplikationen nach der Extraktion nach dem 25. Lebensjahr häufiger auftreten.11–13 Eine kürzlich veröffentlichte Retrospektivstudie über 4.995 Extraktionen bei 3.513 Patienten berichtete neurologische Schäden in 55 Fällen (1,1 Prozent). In den meisten Fällen waren die Verletzungen reversibel. 50 Prozent der Patienten genasen innerhalb von sechs Monaten. In einigen Fällen dauerte es über ein Jahr, bis die volle Sensibilität wieder hergestellt war. Die nur partielle Wiederherstellung der Sensibilität wurde häufiger bei älteren Patienten beobachtet.14

Diagnose
Die präoperative Diagnose umfasst ein Orthopantomogramm (OPG) und 3-D-Bildgebung. Im OPT sind Zahnstellung, eventuelle Erkrankungen wie Karies und Zysten sowie Risiken für den Nervus alveolaris inferior nach den Indikatoren von Rood und Shehab (komplette Überlagerung des Alveolarkanals durch die Wurzeln; Alveolarkanal, der die Wurzeln nahe der Gabelung überlagert etc.) deutlich erkennbar. Das OPT zeigt jedoch nicht die bukkolinguale Lage der Wurzeln und der Gefäßnervenstraße. 3-D-Bildgebung und insbesondere die Cone-Beam-Technologie erweisen sich als äußerst nützlich, da sie die genaue Bestimmung der Lage des Alveolarkanals und die Planung einer genauen Knochenresektion und Odontotomie ermöglicht. Eine 3-D-Bildgebung wird für Patienten unter 25 Jahren selten indiziert, da es weniger Risiken für neurologische Läsionen gibt und generell eine geringere Notwendigkeit zum Einsatz von Extraktionsinstrumenten für das tiefe Eindringen in die Wurzelspitze besteht. Während einige Studien allgemein darauf hinweisen, dass mit der Tiefe des Weisheitszahns die Häufigkeit von Nervenläsionen zunimmt, betonen Autoren anderer Studien die Bedeutung der den Chirurgen betreffenden Faktoren, die erheblich zu Nervenläsionen beitragen würden. Eine von Renton et al. durchgeführte Untersuchung aus dem Jahr 2001 ergab, dass Vorzeichen für permanente Läsionen des Nervus lingualis in absteigender Reihenfolge die Folgenden waren: die Perforation der Lingualplatte während der Operation, die Fähigkeiten des Chirurgen, die Schwierigkeit des Falls (distoanguläre Einklemmungen), Freiliegen des Nervs und fortgeschrittenes Alter des Patienten. Die Autoren gaben außerdem an, dass hauptsächlich den Chirurgen betreffende Faktoren zu Läsionen am Nervus lingualis während der Extraktion von Weisheitszähnen beitragen.15 Einige Autoren kommen sogar zu dem Schluss, dass die wahre Ursache für Nervenläsionen weniger die Tiefe des Weisheitszahns ist, sondern eher der chirurgische Vorgang, wie die Retraktion der Linguallappen, eine Ostektomie oder eine Zahnspaltung, der während einer Extraktion notwendig ist.16–19 Mit anderen Worten bestimmt die angewandte Technik zumindest zu einem Teil die Wahrscheinlichkeit einer Nervenläsion.
Instrumente und Methodik
Die bei einer Extraktion eines impaktierten oder halbimpaktierten Weisheitszahns angewandte Technik ist von höchster Bedeutung bei der Vermeidung von Läsionen des umliegenden anatomischen Gewebes, wie des Nervus lingualis, des Nervus alveolaris inferior und des Periodontium des zweiten Molars. Den dabei verwendeten chirurgischen Instrumenten kommt ebenfalls äußerste Wichtigkeit zu. Im folgenden Fall wurde ein innovatives Instrument verwendet, der mechanische Periotomluxator LX (Directa), um die Extraktion eines Weisheitszahnes vorzunehmen. Das Instrument ermöglicht es, die den Zahn umgebenden Sharpey-Fasern zwischen Zement und Alveolarknochen abzutrennen (Feneiss et al. 1952), indem das Parodontalligament wie in den Abbildungen 4 bis 6 luxiert wird.
Fallbeschreibung
Anamnese
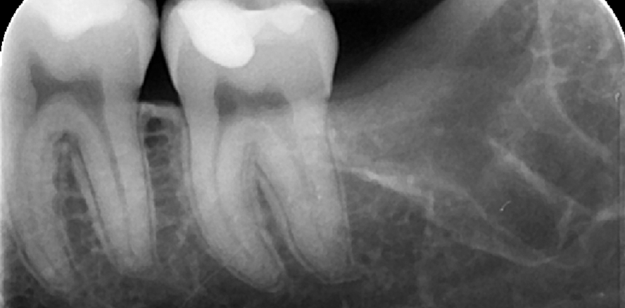
Eine 22 Jahre alte Patientin, bei guter Gesundheit, suchte die Klinik der Autoren in Via San Gottardo 83, Monza (Italien), auf und berichtet über Schmerzen vom 38 ausgehend und sich über den gesamten unteren Bogen ausbreitend. Die erste Panoramaabbildung zeigt die Kompression des Nervus mandibularis, der die unteren Wurzeln des 38 berührt – eine physikalische Inklusion der Schleimhaut und partielle Knocheninklusion in engem Zusammenhang mit dem Nervus alveolaris inferior. Die körperliche Untersuchung zeigt ödematöse und erythematöse Schleimhaut distal zu Element 37. Keine Änderung der Sensibilität im betroffenen Zahnbogen. Eine zweite Röntgenaufnahme mithilfe eines Dentalscans zeigt die Lage das Nervus alveolaris inferior an der distolingualen Spitze, wie im CT bestätigt.
Behandlung
Die Patientin erhielt eine Anästhesie und eine Nervenblockade des Plexus mit einem 2%igen Vasokonstriktor. Der 38 wurde mit einem intrasulkulären Einschnitt am Rand freigelegt und mit einem Abfluss zum 37 versehen. Die distale Freilegung sollte in einem Winkel von 45 Grad zum zweiten Molar zunächst bei voller Dicke und schließlich bei halber Dicke erfolgen. Dieser Einschnitt vermeidet das Risiko, den Nervus lingualis zu zertrennen und ist der Übergang zum Lappen. Nach der Skelettierung des Kiefers und der Platzierung eines Zungenschutzes wurden die Sharpey-Fasern mithilfe des mechanischen Periotomluxators LX entlang des Zahns durchtrennt und das Parodontalligament wurde wie in den Abbildungen 4 und 5 luxiert. Der Zahn wurde nach und nach mithilfe eines Hebers extrahiert, ohne das umliegende Gewebe zu luxieren und vor allem ohne den Nervus mandibularis zu verletzen. Dank seiner kontrolliert schaukelnden Bewegung dringt der Luxator LX in den Bereich, der das Parodontalligament beherbergt, ein (0,15–0,38 mm) und trennt das Faserbündel so atraumatisch für den Zahn wie möglich. Die leichte vertikale Bewegung, die an das Periodontium angesetzt wird, verursacht kein neurales Trauma. Mithilfe des mechanischen Periotomluxators LX konnten die Autoren den Zahn ohne Gewebeläsionen und vor allem ohne Läsionen am Nervus mandibularis extrahieren. Die periapikale Röntgenaufnahme (Abb. 6) zeigt, wie die – zur Erleichterung der Aufnahme vom Winkelstück getrennte – Klinge des Luxators LX in die Alveole eindringt und so die Entnahme des Zahns vereinfacht. Auf Abbildung 8 ist erkennbar, dass keine Wurzelreste vorhanden sind. Die Extraktion erfolgte ohne Spaltung des Zahns. Abbildung 9 zeigt, dass der Zahn in einem Stück extrahiert wurde. Es waren keine traumatischen Eingriffe nötig, um nach Wurzelresten zu suchen. Die Alveole wurde gereinigt, mit kalter physiologischer Lösung gespült und mit einem 4/0-Seidenfaden vernäht. Der Rand konnte genäht werden, sodass die Patientin keine postoperativen Schmerzen ertragen musste. Nach sieben Tagen konnten die Fäden entfernt werden. Die Patientin berichtete eine gute postoperative Genesung mit leichten Schmerzen während der ersten drei Tage, die mit herkömmlichen Schmerzmitteln gelindert werden konnten.
Nachsorge
Die Patientin erhielt die Empfehlung, eine innovative Zahnpasta in Gelform (Hobagel von Hobama) mit einer Mischung aus feuchtigkeitsspendenden und antibakteriellen Substanzen (Cetylpyridiniumchlorid, Triclosan, ätherische Öle) in Mikrokapseln zu verwenden, die es ermöglichen, die parodontale Plaque und Blutungen signifikant zu reduzieren. Mit ihrem geringen bis mittleren RDA-Wert (± 3o) ist sie weniger abrasiv für den natürlichen Zahn sowie das Reparaturmaterial.20 Der Dentalhygieniker konzentriert sich auf die Reduzierung von Plaque nahe des operierten, genesenden Bereichs, erkennt unzureichende Zahnhygiene des Patienten und wird dann umgehend aktiv, um eine Korrektur der Zahnhygiene herbeizuführen. Die Sitzungen zur professionellen Zahnreinigung sind besonders wichtig, um die den Zahn umgebenden Bakterien bevorzugt durch Air Polish (EMS) mit Glycin-Pulver zu entfernen und so die Gesundheit des Zahnfleisches zu erhalten. Die abschließende Politur ist von Bedeutung, um eine glatte Oberfläche zu schaffen, da Bakterien an einer rauen Oberfläche besseren Halt finden. Es wird eine Polierpaste auf Basis von Siliziumdioxid mit einem geringen RDA-Wert wie z.B. Prophy Paste CCS Yellow RDA 40 (DIRECTA) empfohlen.21
Schlussfolgerung
Extraktionen der unteren Weisheitszähne sind zweifelsohne mit Risiken neuraler Läsionen verbunden, die für den Patienten temporäre oder permanente Beeinträchtigungen und gerichtliche Schritte gegen den Behandler bedeuten können. Eine gründliche präoperative Diagnose ist zwingend notwendig und Komplikationsfaktoren wie Alter und Anatomie, d.h. Tiefe des impaktierten Zahns und aufliegender Ramus-Knochen, müssen berücksichtigt werden. Die Herangehensweise des Chirurgen ist von äußerster Wichtigkeit für die Minimierung von Gewebeläsionen und neurosensorischen Störungen. Der mechanische Periotomluxator LX erweist sich als ein geeignetes Werkzeug für die operative Extraktion und ermöglicht ein minimales Trauma und eine signifikant reduzierte postoperative Beeinträchtigung.
Autoren: Dr. Loris Prosper, Dr. Nicolas Zunica
Die Literaturliste finden Sie hier.