Implantologie 21.02.2011

Der Spätverlust als Traumafolge – Implantation als „best chance“



Der Spätverlust als Traumafolge – Implantation als „best chance“

Der Verlust eines einzelnen Frontzahnes beim jugendlichen Patienten ist für den chirurgisch und prothetisch tätigen Zahnarzt stets eine besondere Herausforderung. Die Gestaltung der roten und weißen Ästhetik im sichtbaren Bereich erfordert genaueste Planung und sensible Durchführung, um ein langfristig stabiles Ergebnis ohne ästhetische Einbußen zu erzielen.

Bei dem vorliegenden Fall handelt es sich um eine junge Patientin (*1988), die im Alter von elf Jahren ein Frontzahntrauma erlitt. Dabei kam es zu einer intrapulpalen Kronenfraktur und vermutlich zu Sprüngen im Wurzelbereich, die in der Folge eine Wurzelkanalbehandlung notwendig machte (Abb. 1). Zur Apexifikation des Zahnes wurden als Frühtherapie wiederholt Ca(OH)2-Einlagen über einen Zeitraum von ca. anderthalb Jahren durchgeführt. Anschließend wurde der Zahn mit einer Wurzelkanalfüllung versorgt. Die weiterführende prothetische Versorgung erfolgte im Anschluss durch einen Kollegen.


Wie häufig zu beobachten, zeigen Zähne mit umfangreichem Trauma auch als Spätfolge Frakturen an Stellen, die vermutlich durch Sprünge zum Zeitpunkt des Traumas ausgelöst werden – so auch in diesem Fall. Die Patientin stellte sich 2008 nach achtjähriger Pause wieder in meiner Praxis vor. Der Zahn 21, mittlerweile stiftversorgt und überkront, war erneut frakturiert und nicht mehr erhaltungswürdig (Abb. 2). Nach umfangreicher Aufklärung über die Behandlungsalternativen entschied sich die Patientin für den sicheren Weg einer Extraktion mit anschließender verzögerter Sofortimplantation und Belastung nach einer sechsmonatigen Einheilphase. Alternativ wäre auch eine Sofortimplantation mit festsitzendem Provisorium infrage gekommen. Angesichts der umfangreichen putriden Entzündung entlang der Frakturspalte bis tief in die Alveole wäre diese Vorgehensweise aber wesentlich riskanter gewesen, weswegen der zeitlich aufwendigere Weg beschritten wurde.

Vorgehen

Extraktion, Socket Preservation und provisorische Versorgung
Am 30.11.2007 wurde der frakturierte Zahn (Abb. 3) unter sorgfältiger Schonung der labialen Knochenlamelle extrahiert. Hierzu wurde der Wurzelanteil des verbliebenen Zahnes vorsichtig mit einer feinen Lindemann-Fräse in vertikaler Richtung getrennt und die dadurch entstandenen Teilstücke vorsichtig mit Periotomen vom Desmodont abgelöst und entfernt. Trotz dieser zurückhaltenden Vorgehensweise war durch die Vorgeschichte bedingt ein Teil der fazialen Knochenwand bereits verloren. Um die Ausgangssituation für die spätere Implantation zu verbessern, wurde die Alveole mit Bio-Oss® (Geistlich, Baden-Baden) aufgefüllt und mit einem Bindegewebstransplantat mit Epithelanteil aus der Gaumenschleimhaut abgedeckt (Abb. 4). Das freie Schleimhauttransplantat wurde fest mit Seralene® 7-0 (Serag Wiessner, Naila) vernäht. Anschließend fand der Verschluss der Lücke mit einem adhäsiven Brückenprovisorium unter Kofferdamschutz der Wundfläche statt. Hierzu wurde im Eigenlabor ein Konfektionszahn auf der palatinalen Seite geschlitzt, ein Ribbon-Band (Polypropylenstreifen, Ribbon Inc., Seattle/USA) eingelegt und mit lichthärtendem Kunststoff befestigt. Die Enden, die mesial und distal überstanden, wurden so gekürzt, dass sie die gesamte Palatinalfläche der Zähne 11 und 22 außerhalb der Okklusionskontakte abdeckten. Diese Enden wurden anschließend auf den benachbarten Zähnen wie bei einer Marylandbrücke adhäsiv befestigt, ausgearbeitet, eingeschliffen und poliert (Abb. 5). Auf Abbildung 6 und 7 ist der Zustand eine Woche und zehn Wochen nach der Extraktion zu sehen.

Implantation und Augmentation
Am 28.02.2008 wurde das Provisorium abgenommen. Die Alveole wies eine gute Deckung mit Schleimhaut auf (Abb. 8). In der Ansicht von inzisal zeigte sich eine Abflachung der labialen Knochenwand. Eine Kleinbild-Röntgenaufnahme mit einer Referenzkugel von 5mm Durchmesser ergab eine knöchern gut reorganisierte Alveole mit einem ausreichenden Knochenangebot in Höhe und Breite für eine Implantation (Abb. 9).

Nach einer terminalen Infiltrationsanästhesie im Bereich des labialen Vestibulums und einer Leitungsanästhesie am Canalis incisivus wurde der Situs eröffnet. Hierzu fiel die Wahl auf eine trapezförmige Schnittführung, die sich ausgehend von der Umschlagfalte mesio-paramedian am Zahn 11, dann sulkulär nach palatinal unter Einbeziehung des Gebietes der ehemaligen Alveole, weiter sulkulär mesial und paramedian am Zahn 22 bis in die Umschlagfalte hinzog. Grund für diese Entscheidung war das Ziel, entsprechenden Platz für die Augmentation und Platzierung einer Bio-Gide®-Membran zu schaffen. Im Rückblick würde ich heute unter Umständen eine papillenschonende Schnittführung wählen, um noch mehr Sicherheit hinsichtlich der roten Ästhetik zu haben, die gut knöcherne Situation im Approximalbereich aber und das Alter der Patientin mit hoch regenerativer Potenz ließ mich damals im Sinne der besseren Übersicht die oben genannte Schnittführung wählen.

Die Knochensubstanz der gut reorganisierten Alveole bot sehr gute Verhältnisse für die Insertion eines Implantates. Die Entscheidung fiel auf ein Parallel Walled Implant der Größe 4,75x13mm. Zur Insertion wurde entsprechend dem Protokoll die notwendige Bohrerreihenfolge ausgewählt. Auf eine Gewindepräparation des Implantatbettes wurde wegen der spongiös-weichen Knochensubstanz verzichtet, um letztlich auch eine bessere Primärstabilität zu erreichen. Die Platzierung des Implantates erfolgte freihand ohne Bohrschablone. Die Angulation der Achse fand unter sorgfältiger Prüfung statt. Die Schulter des Implantates wurde so weit versenkt, dass sie mit ihrer Oberkante ca. 2 mm unterhalb der gedachten Verbindungslinie der kranialsten Punkte der beiden benachbarten Gingivagirlanden zu liegen kam (Abb. 10). Zur Augmentation wurde auf dem Implantat nur Eigenknochen appliziert, die übrigen bei der Bohrung gewonnenen Knochenspäne mit Bio-Oss® und Eigenblut vermischt und angeteigt. Anschließend wurde diese Mischung zur Kompensation des labialen Defektes in Form eines leicht überdimensionierten Jugus aufgebracht und mit einer resorbierbaren Folie der Marke Bio-Gide® abgedeckt (Abb. 11). Anschließend erfolgte mit Seralene® 7-0 ein speicheldichter Wundverschluss.

Provisorische Versorgung während der Einheilphase
Die provisorische Versorgung der Lücke bis zur vollständigen Einheilung des Implantates fand in analoger Weise zur Erstversorgung nach der Extraktion mit einem als Marylandbrücke gestalteten Brückenprovisoriums unter Kofferdamabdeckung des Operationsgebietes statt. Die adhäsive Befestigung des Provisoriums unter Kofferdam ist hier eine Conditio sine qua non, da sonst keine entsprechende relative Trockenheit für einen guten Adhäsivverbund erzielbar ist. Jeder Praktiker weiß, wie lästig es ist, wenn während der Einheilphase erneute Korrekturen an der provisorischen Versorgung erforderlich werden, weil der Klebeverbund unzureichend war. Eine Kontrolle zum Zeitpunkt der Nahtentfernung (Abb. 12) und nach 30 Tagen (Abb. 13) offenbarte jeweils reizlose Wundverhältnisse. Der Situs nach sieben Tagen zeigt, wie das Brückenglied, das im Vergleich zum Zahn 11 kürzer ist, gut von der umgebenden Schleimhaut unterstützt wird (Abb. 12). Die Dysbalance in der Zahnlänge (11/21) ist bewusst herbeigeführt, damit zum Zeitpunkt der Implantateröffnung und dem Beginn der Belastungsphase genügend Schleimhaut vorhanden ist, um eine adäquate Gingivaarchitektur zu erreichen. Die Patientin war über die eingeschränkte ästhetische Suffizienz in dieser Tragezeit des Provisoriums entsprechend aufgeklärt.

Freilegung und festsitzendes Provisorium, Papillenformung
Am 08.08.2008 wurde das adhäsiv befestigte Provisorium entfernt und das Implantat freigelegt. Das Implantat zeigte zu diesem Zeitpunkt eine gute Osseointegration. Da klinisch reizlose und im Hinblick auf die Menge gut ausreichende Schleimhautverhältnisse vorlagen, erfolgte die Eröffnung durch einen minimalinvasiven Eingriff, bei dem lediglich die über dem Implantat befindliche Schleimhaut mit einem u-förmigen Schnitt nach palatinal geschoben wurde, da die labialen Verhältnisse zu diesem Zeitpunkt bereits hinreichend gut ausgeformt waren (Abb. 14). Die festsitzend provisorische Versorgung ab diesem Zeitpunkt wurde so gestaltet, dass durch eine entsprechende seitliche Unterstützung des Provisoriums eine Papillenformung in der beabsichtigten Weise eintreten konnte (Abb. 15). Die leichte Anämie zirkulär um das frisch eingesetzte Provisorium ist beabsichtigt und schafft die Voraussetzung für eine Ausbildung der periimplantären Weichgewebssituation in einer zum Zahn 11 symmetrischen Form (Abb. 16). Bereits beim Kontrollbild nach zwölf Tagen ist der beabsichtigte Effekt eingetreten. Die rote Ästhetik fügt sich harmonisch in das Gesamtbild ein (Abb. 17).

Definitive Versorgung
Am 04.09.2008 wurde mit einem individuell angefertigten Löffel mit einem durchschraubbaren Abdruckpfosten die Situation mit Impregum™ Penta™ (3M Espe, Seefeld) abgeformt. Ich habe es mir zur Regel gemacht, jede Abdrucknahme für eine prothetische Versorgung zweimal durchzuführen, um dadurch eventuelle Verziehungen im Abdruck durch eine Vergleichsmöglichkeit zu eliminieren und das Risiko eines schlechten Kronensitzes zu minimieren. Diese Vorgehensweise hat mich schon vor mancher Wiederholung bewahrt, da letztlich der minimale zeitliche Mehraufwand in der Präparationssitzung allemal lohnender ist als eine neue Terminierung für den Fall, dass die Krone nicht passt.

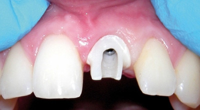
Zur Überwindung der Distanz zwischen der Implantat-Plattform und der labialen Gingivagirlande wurde ein konfektioniertes Zirkonoxid-Abutment gewählt, das durch Individualisierung in Form von aufgebrannter Keramik dem zuvor in mehreren Einzelschritten angepassten Provisorium entsprach. Der Zirkonaufbau verfügt über einen ovalisierten Rotationsschutz und einen Titanadapter, der mit einer Zentralschraube auf dem Implantat befestigt wird. Der Adapter verhindert, dass es bei der endgültigen Befestigung des Aufbaus oder infolge Belastung zu einem späteren Zeitpunkt ein Bruchversagen des Zirkons resultiert, da er die Kräfte durch exakte kraftschlüssige Passung gleichmäßig verteilt und es nicht zu punktförmigen Überlastungen kommt. Eine Röntgenkontrolle des eingesetzten Aufbaus zur Überprüfung des spaltfreien Sitzes auf der Implantatplattform war an dieser Stelle unerlässlich, da durch die straffe Gingiva bei dieser jugendlichen Patientin das Einfügen gegen den elastischen Widerstand der Schleimhaut geschah (Abb. 18). In Abbildung 19 ist der korrekte Sitz des Aufbaus zu sehen. Der labiale „Präparationsgrenzenverlauf“ wurde so gestaltet, dass er minimal subgingival verläuft. Auf diese Weise ist sichergestellt, dass der spätere Sitz des Kronenrandes so zu liegen kommt, dass er nicht zu sehen ist und durch eine entsprechende Emergenz an der Austrittsstelle den natürlichen Austritt der Krone des Zahnes 11 imitiert. Nach entsprechenden Einproben zur Feinabstimmung der form- und farbmäßigen Gestaltung wurde die Krone am 21.10.2008 eingegliedert (Abb. 20). Die Krone ist seit ihrer Eingliederung ohne Veränderung an der gingivalen Situation in situ. Natürlich ist der Zeitraum von 16 Monaten keine Gewähr für die Stabilität der roten und weißen Verhältnisse, aber das Zwischenergebnis ist Erfolg versprechend.

Fazit

Durch die Möglichkeiten moderner implantologischer und prothetischer Verfahren ist heutzutage selbst der gut fortgebildete Generalist in der Lage, Fälle mit einem sehr guten ästhetischen und funktionellen Ergebnis zu lösen, die lange Zeit in der Praxis wegen ihrer kompromittierenden Ausgangssituation nur als eingeschränkt lösbar galten. Voraussetzung dafür ist vor allem ein genaues Verständnis für die Gesetzmäßigkeiten der Hart- und Weichgewebe, um sich deren Eigenheiten zunutze zu machen.




Mehr Fachartikel aus Implantologie

ePaper