Implantologie 21.02.2011

Implantate in der ästhetischen Zone



Implantate in der ästhetischen Zone

In den letzten zehn Jahren kam es zu einem enormen Fortschritt in der modernen Implantologie, die es uns heute ermöglicht, vorhersagbare ästhetische Ergebnisse zu erzielen. Bei der Rehabilitation der Ober- oder Unterkieferfront ist eine Vorausplanung unverzichtbar, da kaum Platz für Kompromisse besteht. In vielen Fällen müssen Hart- und Weichgewebsaugmentationen gleichzeitig oder nacheinander durchgeführt werden. Anhand der nachfolgenden Fälle soll unser Praxiskonzept zur Rehabilitation der ästhetischen Zone dargestellt werden.

Aufgrund der vielen Studien der letzten Jahre zur Wundheilung nach Extraktion (Araujo, Linde, Tanow, Salama u.a.) verstehen wir die komplexen Resorptionsvorgänge besser und können daraus neue Therapien ableiten. Wir können besser voraussagen, wann welche Therapie indiziert ist.

Wir unterscheiden hierzu drei Gruppen:
1. Sofortimplantation
2. Verzögerte Sofortimplantation
3. Späte Implantation

Wenn möglich, streben wir die Sofortimplantation an. Dies ist aber nur bei einer intakten Alveole möglich, die über eine dicke bukkale Wand verfügt (>1,5mm). Diese Situation findet sich häufig bei den oberen und unteren Prämolaren und unteren Eckzähnen. In diesen Fällen ist meist eine Sofortimplantation möglich.


Ist die bukkale Wand dünner als 1,5 mm oder bestehen kleine Fenestrationen, wenden wir die sogenannte Socket Preservation (SP) Technik an, meist in Kombination mit der Socket Seal (SS) Technik. Diese recht einfachen Techniken, bei der die Alveole mit schwer resorbierbarem Knochenmaterial aufgefüllt wird, zeigen in verschiedenen Studien (Fickl, Wentascheck, Jung u.a.) einen besseren Volumenerhalt nach der Extraktion sowie eine damit verbundene Verbesserung der Weichteilsituation vor der späteren Implantation. Die SS führt zu einer zusätzlichen Verbesserung der Weichgewebssituation, indem durch einen Weichgewebspunch aus dem Gaumen oder dem retromolaren Bereich, mit dem die Extraktionsalveole vernäht wird, es zu einer Verdickung der Gingiva in diesen Bereich kommt. Diese Vorgehensweise wird von uns in der Oberkieferfront bevorzugt, um einer späteren Rezession, die bei der Sofortimplantation nach fünf bis sieben Jahren auftreten kann, besser vorzubeugen. In dieser Situation implantieren wir circa sechs bis acht Wochen nach der Extraktion, wenn die Gingiva ausgeheilt ist.

Bei größeren Defekten der bukkalen Wand wenden wir die Ridge Preservation (RP) Technik an. Bei dieser Technik wird die bukkale Wand durch aufwendige Augmentationstechniken wieder aufgebaut. Bei mittelgroßen Defekten kann der Knochen durch resorbierbare Membranen in Kombination mit Knochenersatzmaterial rekonstruiert werden. Beim Vorliegen von größeren entzündlichen Prozessen überlassen wir die Alveole der Selbstheilung und augmentieren den Defekt nach acht bis zehn Wochen mit einem autologen oder heterologen Knochenblock.

Durch neue Techniken, wie die digitale Volumentomografie, können wir anschließend die Implantate mittels 3-D- Planung mit speziellen Bohrschablonen minimalinvasiv einbringen.

Neben der chirurgischen Leistung spielt auch die anschließende prothetische Versorgung eine entscheidende Rolle. Auch in diesem Gebiet gab es in den letzten Jahren bedeutende Fortschritte. Es stehen heute neue Materialien wie Zirkonoxid zur Verfügung.

Ebenso zeigte sich in den letzten Jahren ein Trend zur Einfachheit. Haben wir früher mit aufwendigen Provisorien ein Weichteilshaping durchgeführt, verzichten wir heute, wenn möglich, auf eine provisorische Phase und setzen die endgültigen Kronen mit optimalen Emergenzprofil bei der Freilegung oder kurz danach ein.

Diese Änderung des Therapiekonzeptes resultiert aus der Erkenntnis, dass wir von verschiedenen Studien (Tarnow, Misch, Chen) wissen, dass mit jedem Wechseln der Implantatteile das periimplantäre Weichgewebe gereizt wird und es dadurch zu einer Resorption kommen kann.

Fallbeispiel

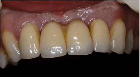
Der folgende Fall beschreibt ein komplexes Vorgehen in der Oberkieferfront. Die 38-jährige Patientin stellt sich mit Schmerzen am 23 in unserer Praxis vor (Abb. 1). Klinisch zeigte sich eine Schwellung am 23 mit Fistelbildung. Röntgenologisch sah man einen apikalen Abszess nach erfolgloser Wurzelbehandlung. Aufgrund der starken Entzündung haben wir auf eine Sofortimplantation verzichtet. Wir haben hier die RP mit der SS kombiniert (Abb. 2–3). Man sieht, dass der Kiefer aufgrund der fehlenden Zähne 12–23 stark resorbiert ist. Um hier ein optimales Ergebnis zu erzielen, ist eine kombinierte Hart- und Weichgewebsaugmentation notwendig. Zehn Wochen nach der Extraktion erfolgte die zweite Operation mit der Implantation von zwei TSV Implantaten der Firma Zimmer Dental. Gleichzeitig wurde in der Region 12–23 eine Augmentation mit Bio-Oss® der Firma Geistlich durchgeführt. Das Augmentat wurde mit einer Bio-Gide® Membran der Firma Geistlich abgedeckt. Über der Membran wurde das Weichgewebe mit zwei Bindegewebstransplantaten aus dem Gaumen aufgebaut. Die Provisorien wurden reduziert, sodass ein Spalt von mindestens einem Millimeter blieb (Abb. 4–7). Nach zwei Wochen wurden die Nähte entfernt. Drei Monate später erfolgte die Freilegung und wir begannen mit dem Weichgewebsshaping (Abb. 8–10). Hierbei wurde das Gewebe durch gezielten Druck ausgeformt. Das Provisorium wurde dabei mehrmals alle zwei Wochen umgearbeitet. Nach einem weiteren Weichgewebsaufbau wurde fehlendes Weichgewebe ergänzt, um gleichmäßige Papillen an allen Zähnen zu erzielen. Es folgte eine Haltephase von zwölf Wochen, bevor die Zähne endgültig mit Zirkonkronen versorgt wurden (Abb.11–13).

Schlussfolgerung

Es ist heute möglich, bei genauer Analyse und konsequenter chirurgischer sowie prothetischer Planung ästhetische vorhersagbare Ergebnisse zu erzielen. Es gibt dabei keinen Königsweg, sondern eine Vielzahl von Alternativen, die mit dem Patienten im Vorfeld genau durchgesprochen werden sollten. Gerade die ästhetische Zone verlangt hier ein sorgfältiges Vorgehen und viel Erfahrung, da jeder Fehler schwerwiegende Konsequenzen nach sich ziehen kann. Dank neuerer Studien haben wir heute ein besseres Verständnis der knöchernen Strukturen und deren Heilungs- und Umbauvorgängen. Aufgrund neuerer chirurgischer Techniken und neuer Materialien sind wir heute in der Lage, vielen Patienten eine natürliche Ästhetik zu ermöglichen.

Ich bedanke mich bei meinem Team sowie bei ZTM J. Mayer (Oraldesign Bodensee), die wesentlich zum Erfolg dieses Falls beigetragen haben.



Mehr Fachartikel aus Implantologie

ePaper