Implantologie 18.12.2013

Prothetische vollkeramische Einzelzahnimplantatversorgung in der ästhetischen Zone

Prothetische vollkeramische Einzelzahnimplantatversorgung in der ästhetischen Zone

Foto: © Autor

Der klinische Workflow – Eine Versorgung hergestellt im integrierten Studentenkurs der UWH.

Die Einzelzahnversorgung in der ästhetischen Zone stellt für den Behandler eine große Herausforderung dar. Die Patientenanamnese und die exakte Analyse des dentalen Befundes sind von entscheidender Bedeutung für den voraussagbaren klinischen Erfolg und zufriedenen anspruchsvollen Patienten. Hierzu sind die zahnmedizinischen Bereiche der Funktionslehre, der Implantologie, der Parodontologie und der zahnärztlichen Prothetik zu berücksichtigen.

Anamnese und Ausgangssituation

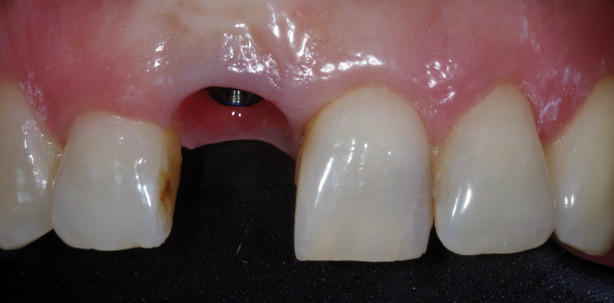
Die Patientin stellte sich in der Zahnklinik der Universität Witten/Herdecke mit dem Wunsch der prothetischen Neuversorgung ihres Implantats in Regio 11 vor. Die Implantatkrone musste wegen eines Frontzahntraumas entfernt und erneuert werden. Anamnestisch lagen keine Allgemeinerkrankungen und kein Nikotinabusus vor. In der speziellen Anamnese stellte sich heraus, dass beim Trinken aus einer Glasflasche die Inzisalkante der Implantatkrone der Patientin frakturierte. Das ästhetische Ergebnis war der Patientin sehr wichtig und sollte im Vergleich zur alten Restauration verbessert werden. Außerdem war, wenn möglich, eine vollkeramische Versorgung erwünscht. Röntgenologisch stellte sich ein osseointegriertes Implantat in Regio 11 dar. Vertikaler Knochenabbau und periimplantäre Aufhellungen sind nicht zu erkennen (Abb. 3). Die Patientin berichtet, dass sie den Ersatz des verloren gegangenen mittleren Schneidezahnes mit einem Implantat im Jahre 2001 erhalten hat. Das periimplantäre Weichgewebe weist keine Entzündungszeichen auf. Der zervikale Verlauf der Gingiva ist rundlich homogen und die interdentalen Papillen sind erhalten.

Die alte Versorgung erfolgte mit einer Metallkeramikkrone und einem individuellen Abutment mit angebrannter Keramikschulter. Somit lagen sehr gut ausgeformte Verhältnisse für die neue Versorgung vor (Abb. 1).

Therapieziel und ästhetische Analyse

Das Ziel sollte eine Rekonstruktion der Zahnkrone in möglichst natürlicher Form und Farbe sein. Zur ästhetischen Analyse wurden einige Parameter herangezogen. Eine mittelhohe Lachlinie, bei der die interdentalen Papillen leicht exponiert wurden, stellt eine hohe Anforderung für die Rot-Weiß-Ästhetik dar. Weitere Hilfslinien wie die Mittellinie, die Zahnachsen, der Schneidekantenverlauf im Oberkiefer, die Papillen und der Gingivaverlauf sind in der ästhetischen Analyse und Auswertung mit einbezogen worden. Da es sich hier um den Ersatz eines einzelnen mittleren Frontzahns handelt, ist die Variabilität der Korrekturmöglichkeiten sehr eingeschränkt. Somit wurde am Laptop mithilfe der Bilder und des Programms Keynote (iWork, Apple) die Analyse durchgeführt (Abb. 4). Die Zahnform der Patientin ist eher rechteckig und ein Zusammenhang zwischen dieser und dem Gingivatyp wurde bereits von Olssen und Lindhe untersucht. Wir finden einen gingivalen Biotyp, der dick und eher „Low Scalloping“ verläuft, vor.

Individuelle Implantatabformung

Das seit 2001 versorgte Implantat zeigte ideale Voraussetzungen für die Abformung auf. Ein konventioneller Workflow wurde für die Versorgung gewählt. Das periimplantäre Gewebe war stabil und konnte nun auf das Gipsmodell übertragen werden. In der Vorbereitung wurden Situationsmodelle angefertigt, einartikuliert und ein individueller Abformlöffel aus Kunststoff angefertigt. Die offene Abformtechnik mit perforiertem Löffel und Polyether wurde ausgewählt. Um einen Kollaps des Gewebes nach Entfernen des Abutments zu vermeiden, wurde der Abformpfosten individualisiert. Hierzu kann man ein Modellanalog verwenden und das Abutment mit Silikon dublieren. Im Anschluss wird der Abformpfosten auf das Modellanalog aufgeschraubt und die entstandene Hohl- form kann mit einem Kunststoff aufgefüllt werden. In diesem Fall wurde ein Flowcomposite verwendet (Abb. 5). Im Anschluss wird der individuelle Abformpfosten auf das Implantat eingeschraubt und kontrolliert, ob die Endposition erreicht ist. Hierzu kann ein Röntgenkontrollbild erfolgen. Außerdem wird nun der Erhalt der roten Ästhetik überprüft. Durch den individuellen Abformpfosten kommt es zu keinem Kollaps der periimplantären Gewebe und diese Situation kann exakt auf das Meistermodell übertragen werden (Abb. 6). Nach erneuter Anprobe des individuellen Löffels erfolgt nun die Abformung mit Polyether (Impregum, 3M). Ein Gesichtsbogen (SAM, München) wurde für die arbiträre Übertragung der Lage des Oberkiefers bezüglich der Kondylen angelegt.

Prothetische Versorgung

Im zahntechnischen Labor wurden die Modelle angefertigt und einartikuliert. Die Herstellung des individuellen Abutments erfolgte im CAD/CAM-Verfahren. Verwendet wurde ein keramisches Abutment mit einer Titanklebebasis. Darauf wurde ein Zirkoniumdioxidkäppchen angefertigt und keramisch verblendet. Die individuelle Zahnfarbe wurde direkt vom Techniker bestimmt. Die Eingliederung des individuellen definitiven Abutments erfolgt mit dem vom Hersteller empfohlenen Anzugsdrehmoment von 35 Ncm. Ein Richtungsindikator als Einbringhilfe war bei dieser Einzelzahnversorgung nicht nötig. Nun wurde die vollkeramische Einzelzahnkrone mit provisorischem Zement eingesetzt. Hierbei ist es extrem wichtig, alle Zementreste sicher zu entfernen, da diese Reste die häufigste Ursache für eine Periimplantitis darstellen. Falls es nötig ist, kann ein Röntgenkontrollbild angefertigt werden. In der röntgenologischen Kontrolle ein Jahr nach prothetischer Versorgung zeigt sich kein Abbau periimplantärer Gewebe (Abb. 7). Die interproximale Stütze der Papillen konnte mit dem individuellen Abutment erhalten werden und der Kontaktpunkt wurde dementsprechend nach apikal verlagert, um die nach Tarnow ermittelte Mindesthöhe von 5 mm zum Knochenniveau nicht zu überschreiten (Abb. 8). Die Patientin war mit der Versorgung sehr zufrieden.

Fazit

Die Rehabilitation der Einzelzahnlücke mit implantatgetragener Einzelzahnkrone ist eine anspruchsvolle Versorgung. Vor der prothetischen Versorgung sind allerdings wichtige Einflussfaktoren in die Planung zu integrieren, zu denen beispielsweise die schonende Zahnextraktion, die Wahl des Implantatsystems, die Wahl der Implantat-Abutment-Verbindung und natürlich die Ermittlung und Planung der idealen Implantatposition gehören. Trotz der nicht populären Außenhex-Verbindung konnte in diesem Fall ein sehr gutes Ergebnis im Bezug auf den Erhalt des Volumens auch durch die erste prothetische Versorgung über eine Dauer von zwölf Jahren erzielt werden. Zur Bewertung des klinischen Erfolgs der roten Ästhetik können wir den Pink Esthetic Score von Fürhauser verwenden. Dieser bezieht sich auf eine zweidimensionale Impression des klinischen Bildes. Die dritte Dimension erfasst das Volumen um das Implantat, welches für die Langzeitstabilität eine entscheidende Rolle spielen könnte. In den Abbildungen 10 und 11 kann man den Erhalt des Volumens auf der lateralen Aufnahme gut erkennen.

Autor: Paul Leonhard Schuh, wissenschaftlicher Mitarbeiter der Universität Witten/Herdecke

Mehr Fachartikel aus Implantologie

ePaper