Implantologie 18.12.2013
Kurzübersicht Periimplantitis: Risikofaktoren und Therapiemöglichkeiten
Einleitung
Die Implantologie erlangt in der Zahnmedizin eine weiter zunehmende Bedeutung zum Ersatz von einzelnen oder mehreren Zähnen. Der langfristige Erfolg von Implantaten hängt dabei von vielen verschiedenen Faktoren ab. Einer der Hauptfaktoren für den Implantatverlust stellt dabei neben der initialen Einheilungsstörung die Periimplantitis dar. Periimplantitis definiert sich als eine Infektionserkrankung des periimplantären Gewebes, deren Ursache hauptsächlich in einer bakteriellen Besiedelung der Implantatstrukturen zu sehen ist. Diese führt inital zu Weichgewebsentzündungen, im weiteren Verlauf zum Rückgang des periimplantären Knochens und kann letztendlich zum Implantatverlust führen (v. Maltzahn et al.,2013). Verschiedene Faktoren können dabei das Risiko der Periimplantitis beeinflussen. Das Emergenzprofil, die Verbund-Geometrie der Implantat-Abutment-Verbindung, die Qualität des Abutment-Restaurations-Verbundes und vor allem die Material- und Oberflächeneigenschaften von Implantaten und Abutments sind hierbei von besonderer Bedeutung (Stiesch M. et al., 2012).
In einer Literaturübersicht von Mombelli et al. aus dem Jahr 2012 wurden insgesamt 29 Studien hinsichtlich des Entstehungsrisikos von Periimplantitis beurteilt. Dabei zeigte sich, dass bei 10 Prozent aller gesetzten Implantate und bei 20 Prozent der Patienten innerhalb von fünf bis zehn Jahren periimplantäre Entzündungen auftraten (Mombelli et al., 2012).
Symptomatik und Diagnostik von periimplantären Entzündungen
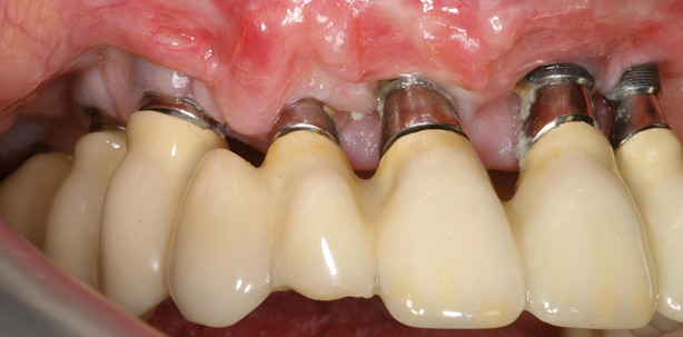
Differenzialdiagnostisch muss man neben der manifestierten Periimplantitis, also der Entzündung des die Implantatfixtur umgebenden Gewebes mit Knochenabbau, auch reine Schleimhautentzündungen (Mukositis) ohne Knochenabbau beachten, die die Implantataufbauten umgeben (Abb. 1). Auch die Ursachenbestimmung (Ätiologie) von Entzündungen der periimplantären Weich- und Hartgewebe sollte immer Teil der Diagnostik sein. Patienten mit periimplantären Entzündungen beschreiben analog zu parodontalen Entzündungen oftmals Blutungen der Gingiva beim Reinigen der Implantate sowie Aufbissschmerzen. Eine Periimplantitis kann sowohl an Einzelzahnimplantaten als auch bei großspannigen implantatgetragenen Versorgungen beobachtet werden. Generell lässt sich sagen, dass mit abnehmender Hygienefähigkeit von Implantatversorgungen das Erkrankungsrisiko signifikant steigt. Daher ist es zwingend erforderlich, prothetische Implantataufbauten, unabhängig davon, ob es sich um festsitzende Kronen- und Brückenkonstruktionen oder um Teleskop- und Stegkonstruktionen unter herausnehmbarem Zahnersatz handelt, so zu gestalten, dass es dem Patienten möglich ist, eine suffiziente häusliche Mundhygiene zu betreiben. Ebenfalls sollten die Patienten über eine notwendige regelmäßige professionelle Zahnreinigung sowie Kontrolluntersuchung aufgeklärt werden. Der zeitliche Abstand sollte dabei individuell angepasst werden.
Klinisch zeigt die Periimplantitis ähnliche Symptome wie die Parodontitis. Es kann neben Schmerzen zur Schwellung sowie Rötung der Gingiva, zur Blutung bei Sondierung, Attachmentverlust sowie zum Pusaustritt im periimplantären Bereich und im schlimmsten Fall zur Implantatlockerung kommen. Durch den Rückgang des periimplantären Gewebes sowie des Knochens können klinisch freiliegende Implantatwindungen sichtbar werden (Abb. 1). Die klassischen parodontalen Entzündungszeichen wie ein erhöhter BaS-Wert, Gingivarötungen oder auch Hyperplasien sind ebenfalls zu beobachten. Zur Diagnosesicherung einer Periimplantitis eignen sich neben der klinischen Inspektion und Sondierung verschiedene weitere Methoden: Mikrobiologische Tests wie eine Bestimmung des bakteriellen Spektrums stehen zur Verfügung, um eine eingängliche Verdachtsdiagnose zu verifizieren. Auch röntgenologisch kann im fortgeschrittenen Krankheitsverlauf ein periimplantärer Knochenverlust deutlich werden (Abb. 2). Radiologische Maßnahmen mittels Einzelzahnröntgenaufnahmen oder in besonderen Fällen dreidimensionale DVT-Aufnahmen sind zur Diagnosesicherung ebenfalls unverzichtbar. Im Rahmen der Diagnostik sollte immer auch die Kontrolle der okklusalen Verhältnisse und die Belastung einzelner Implantate oder implantatgetragener Konstruktionen Berücksichtigung finden. Okklusale Fehlbelastungen oder statisch ungünstige extraaxiale Belastungen von beispielsweise Stegkonstruktionen oder Brücken können zur Lockerung einzelner Implantataufbauten führen. Es können dabei Mikrospalten in der Implantat-Abutment-Verbindung entstehen, in welchen sich Biofilm anlagern kann. Dieser Prozess verläuft häufig unbemerkt und kann letztendlich das Periimplantitisrisiko erhöhen.

Abb. 2
Therapie
Sowohl die Therapie als auch die Prävention einer Periimplantitis ist bis heute noch nicht vollständig erforscht. Sie gilt als schwer behandelbar, da die Implantatoberflächen eine vollständige Entfernung pathogener Mikroorganismen nicht möglich machen. Um einer periimplantären Erkrankung vorzubeugen, wäre eine effektive medikamentöse Therapie mit dem Ziel, die Anlagerung von Biofilmen zu verringern oder bestenfalls komplett auszuschließen, erforderlich. Meyle stellte heraus, dass sich Spülungen mit salzhaltigen Lösungen und Abstrahlen der freiliegenden Implantatoberflächen zur Dekontamination von infizierten Implantatoberflächen zu eignen scheinen. Laserreinigung führe nicht zu einer Ausheilung der Periimplantitis. Meyle untersuchte weiter, dass eine nichtchirurgische Therapie von Periimplantitis nicht zum Erfolg führt (Meyle J, 2012). Eine alleinige medikamentöse Therapie einer etablierten Periimplantitis führt nicht zum Erfolg. Es wurde jedoch in der Literatur beschrieben, dass eine unterstützende Antibiotikatherapie parallel zur offenen oder geschlossenen Reinigung von freiliegenden Implantatoberflächen zur Reduktion klinischer Entzündungsparameter führen kann (Javed F et al., 2013).
Generell muss bei der Versorgung periimplantär entzündeter Bereiche nicht nur die Läsion selber behandelt werden, sondern es ist auch von großer Bedeutung, die Ursache für die Erkrankung zu finden und zu therapieren. Auch interdisziplinär hat die Bekämpfung der periimplantären Entzündung einen großen Stellenwert, da Implantate nicht nur in der Zahnmedizin zur Anwendung kommen, sondern auch zum Beispiel in der Orthopädie, Kardiologie oder aber Hals-Nasen-Ohrenheilkunde inseriert werden. Die wohl wichtigste Strategie in der Verhinderung periimplantärer Entzündungen ist eine entsprechende Vorabplanung der implantatgetragenen Restauration und der eigentlichen Implantation mit einer gewissenhaften Beurteilung der jeweiligen patientenindividuellen Situation. Es ist beispielsweise nicht sinnvoll, in einem parodontal vorgeschädigten Restgebiss bei bereits fortgeschrittener Knochenatrophie Implantate zu inserieren, solange es noch Besiedelungen mit parodontalpathogenen Keimen an benachbarten Zähnen gibt. Auch die Beurteilung des Patienten hinsichtlich der Fähigkeit, eine tägliche adäquate Pflege nicht nur des Zahnersatzes, sondern vor allem auch der intraoralen Implantataufbauten selber durchzuführen, muss bei der Vermeidung von Periimplantitis unbedingt berücksichtigt werden.
Zusammenfassung
- Die Verhinderung von Periimplantitis beginnt schon bei der Planung implantatgetragener Restaurationen.
- Nur eine suffiziente Mundhygiene und eine entsprechende hygienefähige Gestaltung von Zahnersatz tragen sicher dazu bei, Periimplantitis vorzubeugen.
- Die Therapie einer Periimplantitis gestaltet sich oft als sehr schwierig und aufwendig.
- Ist eine Periimplantitis bereits zu weit fortgeschritten, bleibt als einziges Therapiemittel nur die Explantation von entzündeten Implantaten
Literaturverzeichnis
1. v. Maltzahn N, Eberhard J, Stiesch M. Die Handhabung von Implantatmaterialien in der Klinik, Management & Krankenhaus 2011; 11: 29
2. Stiesch M, Pott PC, Eisenburger M. Implantat-Abutment-Verbund Konfiguration – Werkstoffe – Biologie, Zahnmedizin up2date 2011; 5: 445–464
3. Mombelli A, Müller N, Cionca N. The epidemiology of peri-implantitis. Clin Oral Implants Res. 2012; 6:67–76
4. Meyle J, Mechanical, chemical and laser treatment of the implant surface in the presence of marginal bone loss around implants. Eur J Oral Implantol. 2012; 5: 71–81
5. Javed F, Aglhamdi AS, Ahmed A, Mikami T, Ahmed HB, Tenenbaum HC, Clinical efficacy of antibiotics in the treatment of peri-implantitis. Int Dent J, 2013, 63:169–176
Autoren: N. Freifrau v. Maltzahn, Dr. Ph.-C. Pott – Klinik für Zahnärztliche Prothetik und Biomedizinische Werkstoffkunde, Medizinische Hochschule Hannover