Implantologie 04.05.2016

Augmentatives Relining – Ein kombiniertes Verfahren



Augmentatives Relining – Ein kombiniertes Verfahren

Foto: © Autor

Der augmentative Ansatz dieses Falles nutzt die Kombination zweier bewährter Knochenaufbauverfahren. Hierbei handelt es sich um eine Methode, die eine geringere Komplikationsrate gegenüber Verfahren aufweist, die simultan eine Membran über autologen Knochenblöcken platzieren. Durch Verwendung der Schalentechnik kann die Knochenresorption zwischen Augmentation und Implantation deutlich gegenüber Vollblocktransplantaten gesenkt werden.

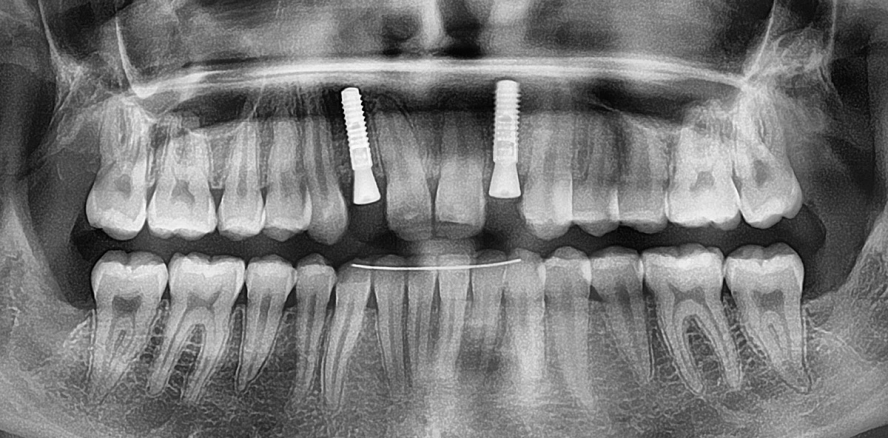
Eine 18-jährige Patientin kam mit dem Wunsch, aufgrund von Nichtanlagen bestehende Lücken Regio 12 und 22 durch implantatgetragenen Zahnersatz schließen zu lassen (Abb. 1 und 2). Hierbei stand neben der funktionellen Rehabilitation der Wunsch nach einer ästhetisch ansprechenden Lösung im Vordergrund.

Vorgehensweise

Behandlungsplanung
Die klinische Untersuchung zeigte einen durch die kieferorthopädische Behandlung gut ausgeformten Zahnbogen, der genügend Platz für die Kronen Regio 12 und 22 aufwies. Die Breite der keratinisierten und fixierten Gingiva war ebenfalls ausreichend. Die bukkale Einziehung deutete eine Einschränkung des horizontalen Knochenangebots an (Abb. 2). Das bereits beim Überweiser erstellte DVT zeigte, dass die Patien­tin Regio 12 und 22 ein deutliches horizontales Knochendefizit aufwies (Abb. 3 und 4). Somit wurde zunächst ein autologer Knochenaufbau mit der Schalentechnik präferiert. Nach einer viermonatigen Einheilzeit sollte die Implantation mit augmentativem Relining, einem Überaufbau mittels bovinem Knochenersatzmaterial und Kollagenmembran, erfolgen. Als Nebenbefund zeigten sich retinierte Zähne 18, 28, 38 und 48, die im Rahmen der chirurgischen Eingriffe entfernt werden sollten.

Chirurgisches Verfahren
Alle Behandlungen bei der Patientin wurden neben lokaler Betäubung in intravenöser Midazolamsedierung durch­geführt. Zunächst erfolgte im Rahmen der operativen Entfernung des Zahnes 38 die Entnahme eines autologen Knochenblocks. Dieser Block wurde anschließend in der Länge geteilt, sodass zwei kortikale Platten entstanden, die mittels eines Safescrapers soweit wie möglich ausgedünnt wurden. Im Oberkiefer wurden zur Vermeidung ästhetisch beeinträchtigender Narbenbildung die krestalen Inzisionen horizontal erweitert und nur eine Entlastungsinzision im distalen Bereich des Zahnes 14 durchgeführt (Abb. 5). Da der Kieferkamm in horizontaler Richtung nicht nur von bukkal, sondern auch von palatinal ein Defizit aufwies, wurde dieser mittels der „Schalentechnik“ durch Fixation jeweils einer dünnen Platte bukkal und palatinal aufgebaut, die mittels 1 mm großer Mini-Osteosyntheseschrauben fixiert wurden (Abb. 6). Die entstandenen Spalträume wurden mit Knochenspänen gefüllt, die zuvor bei der Ausdünnung der Blöcke mittels Safescraper gewonnen wurden (Abb. 7). Nach Mobilisation der bukkalen Lappen erfolgte ein speicheldichter Nahtverschluss (Abb. 8 und 9).

Nach viermonatiger Einheilzeit  (Abb. 10) erfolgte die Implantation. Hierbei wurde zunächst der Frontbereich wieder eröffnet (Abb. 11) und die Osteosynthese­schrauben entfernt. Es zeigte sich nur eine geringfügige Resorption des aufgebauten Knochens. In Regio 12 und 22 wurden zwei Straumann Bone Level Implantate, SLActive-Oberfläche, Durchmesser 3,3 mm und Länge 12 mm eingebracht (Abb. 12). Anschließend erfolgte das augmentative Relining. Hierzu wurde zunächst eine Kollagenmembran 20 x 30 mm in zwei gleich große Hälften geteilt und entsprechend der gewünschten Form getrimmt. Nach apikaler Periostschlitzung wurden die beiden Membranen mit resorbierbarem Nahtmaterial durch jeweils zwei Nähte am apikalen Periost fixiert. Weiterhin wurden die Membranen an der distalen Gingiva/Mukosa in Höhe der mukogingivalen Grenze und mesial aneinander fixiert (Abb. 13). Die Membranen bildeten so einen präformierten Raum, in den leicht das bovine Knochenersatzma­terial (Botiss cerabone, 1–2 ml, 1 ccm) eingebracht werden konnte (Abb. 14). Nach dessen Applikation wurden die Membranen erneut mittels resorbierbarer Naht an der palatinalen Schleimhaut fixiert (Abb. 15). Zuletzt erfolgte ein speicheldichter Wundverschluss (Abb. 16 und 17). Nach abermals viermonatiger Einheilzeit erfolgte die Freilegung der Implantate. Aufgrund der vorangegangenen Eingriffe und der Vermeidung lückennaher Entlastungsinzisionen wiesen sowohl die Gingiva als auch die Kammkonturen keine Defizite auf (Abb. 18). Somit konnte mittels eines kleinen Roll­lappens, bei dem lediglich der Mukosaanteil über den Schleimhautkappen in eine bukkale Tasche eingerollt wurde, freigelegt werden. Hierbei wurden Gingivaformer, Durchmesser 4,8 mm und Höhe 5 mm, eingesetzt (Abb. 19–22).

Prothetisches Verfahren

Die Patientin wurde nach sechswöchiger Einheilphase zum überweisenden Zahnarzt, Dr. Wolf-Christian Hampe aus Minden, zurücküberwiesen. Nach dortiger Abdrucknahme und Anfertigung eines Meistermodells wurden zwei individuell verblendete Zirkonoxidkronen auf Titan-Klebebasis hergestellt. Aufgrund der leicht palatinalen Position der Implantate war eine direkte, vertikale Verschraubung der Kronen auf den ­Implantaten möglich (Abb. 23–25).

Resultat

Aufgrund des augmentativen Relinings in Kombination mit den hier beschriebenen Implantaten konnte ein sowohl funktionell als auch ästhetisch ansprechendes Resultat erzielt werden, das aufgrund der ausreichend dimensionierten Hart- und Weichgewebssituation auch langfristig stabile Verhältnisse erwarten lässt.

Schlussfolgerung

Der augmentative Ansatz dieses Falles nutzt die Kombination zweier bewährter Knochenaufbauverfahren. Hierbei handelt es sich um eine Methode, die eine geringere Komplikationsrate gegenüber Verfahren aufweist, die simultan eine Membran über autologen Knochenblöcken platzieren. Durch Verwendung der Schalentechnik kann die Knochen­resorption zwischen Augmentation und Implantation deutlich gegenüber Vollblocktransplantaten gesenkt werden. Zudem wird der im weiteren Heilungsverlauf auftretende Knochenverlust durch die nachfolgende Überaugmentation von bovinem Ersatzmaterial und resorbierbarer Membran nicht nur reduziert, sondern ein Knochengewinn, verglichen mit dem Volumen nach Augmentation, erreicht. Dabei werden die bovinen Partikel nicht wie bei direkter Applikation von Ersatzmaterial beim Knochenaufbau weichgewebig inkorporiert, sondern knöchern integriert. Hierbei ist von einer besseren Langzeitstabilität und aufgrund der guten Knochenstütze auch von einer besseren Ästhetik auszugehen.

Implantation mit Sofortbelastung im zahnlosen Unterkiefer
Mehr Fachartikel aus Implantologie

ePaper