Implantologie 19.12.2016

Socket Preservation 3.0: Sofortimplantation mit Keramikimplantaten



Socket Preservation 3.0: Sofortimplantation mit Keramikimplantaten

Foto: © Autor

Teil 3

Ab sofort präsentiert der bekannte Fachautor und Referent auf dem Gebiet der Zirkonimplantate, Dr. Dominik Nischwitz seinen Fall des Monats.

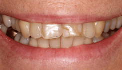
In unserer Praxis stellte sich Anfang Oktober dieses Jahres eine 65-jährige Patientin mit prothetisch und konservierend insuffizient versorgtem Erwachsenengebiss vor. Vor allem die Brücke Regio 34 bis 37 war erneuerungsbedürftig. Sowohl am wurzelbehandelten Zahn 35, als auch am devitalen Zahn 37 zeigten sich apikale Veränderungen im Sinne von radikulären Zysten. Für eine erneute prothetische Versorgung kamen diese Zähne aufgrund mangelhafter Wertigkeit nicht mehr in Frage. Auf dem DVT bestätigte sich der apikale Befund Regio 35 und 37. Der klinisch auffällige apikale Druckschmerz Regio 35 und Aufbissschmerz Regio 37 konnte somit röntgenologisch verifiziert werden. Die Entscheidung fiel auf die Sofortimplantation mit zweiteiligen Keramikimplantaten, als ideale Socket Preservation. Trotz chronisch-apikaler Entzündungen ist es möglich sofort zu implantieren.

Die peri-operative Vorbereitung der Patienten ist in diesen Fällen entscheidend. Zwei Wochen vor der geplanten Operation wird der Körper mit den richtigen Nährstoffen für Knochen- und Weichgewebsregeneration unterstützt (vgl. BHP® n. Dr. Nischwitz). Das Immunsystem wird optimal vorbereitet. Während der Operation ist auf die gründliche Reinigung und Desinfektion der Alveole zu achten, da Keramikimplantate nur in gesundem Knochen einheilen. Der Autor verwendet standardisiert Ozon zur Desinfektion. Der parodontale Faserapparat sowie jegliches Granulations- und Zystengewebe müssen vollständig entfernt werden. Das Implantat ist sozusagen der „Bonus on Top“ und stützt, wenn primär stabil eingebracht, die gesamte Alveole. Im vorliegenden Fall hat sich der Autor für zweiteilige Keramikimplantate entschieden, um jeglichen Zungendruck zu vermeiden und vollständige Ruhe während der Einheilung zu gewährleisten. Das chirurgische Vorgehen ist standardisierbar, hat eine hohe Erfolgsquote, ist schmerzfrei und minimal invasiv. Das Ergebnis spricht für sich.

dnaesthetics.de

Mehr Fachartikel aus Implantologie

ePaper