Implantologie 20.04.2016
Sofort- und Spätimplantate aus Keramik in Kombination
share
Von herausnehmbarer zu festsitzender Versorgung in nur einer Sitzung
Anamnese und Befund
In unserer Praxis stellte sich Anfang 2015 ein 80-jähriger Patient mit erneuerungsbedürftiger Oberkiefer-Teleskopprothese vor. Laut Überweisung seines umweltmedizinischen Arztes sollten alle verbliebenen Zähne im Oberkiefer entfernt werden und der Patient eine Vollprothese erhalten, da er zu alt für Implantate wäre.
Bereits bei der Erstuntersuchung zeigte sich ein klinisch desolater Zustand (Abb. 1). Die Zähne 17, 14, 12, 11, 21 reagierten auf die Vitalitätsprobe negativ und waren teilweise gelockert. Sowohl auf der initialen Panoramarekonstruktion (Abb. 10) als auch auf der anschließenden DVT-Bildgebung wurde die Nichterhaltungswürdigkeit der Zähne 17, 14, 12, 11, 21 bestätigt. Das 3 D zeigte insuffiziente Wurzelfüllungen mit apikaler Ostitis in den Regiones 14, 21, eine starke parodontale Schädigung des Zahnes 17 und apikale osteolytische Prozesse an den Zähnen 11, 12.
Idealerweise konnte in Regio 23 und 25 ausreichend ortsständiger Knochen gemessen werden. Im Bereich 26-27 wäre zur weiteren Implantation ein Sinuslift notwendig gewesen. Dieser kam für den Patient nicht infrage.
Planung und Therapie
Die Entscheidung fiel auf die Sofortimplantation der Zähne 17, 14, 11, 21 (SCC – Short Cut Concept® n. Dr. Ulrich Volz) und Spätimplantation der Bereiche 13, 23, 25 und wurde entgegen der Überweisermeinung und auf Wunsch des Patienten, festsitzend versorgt zu werden, geplant. Im Vorfeld der Operation wurde eine Mundhygienephase durchgeführt.
Zur Vorbereitung auf die große OP wurden die beiden nicht erhaltungswürdigen Zähne 45 und 46 entfernt und mit Sofortimplantaten versorgt. Da der Patient bei diesem Eingriff keinerlei Probleme oder Schmerzen hatte, stand dem größeren Eingriff im Oberkiefer nichts mehr entgegen.
Auf dem präoperativen DVT (Veraviewepocs 3 D, Morita) wurde die geplante Implantation mit dem Patienten besprochen.
Bereits 14 Tage vor der geplanten OP begann der Patient mit dem orthomolekularen Bone Healing Protokoll (BHP n. Dr. Nischwitz), um seinen Körper optimal mit den richtigen Nährstoffen für Knochenregeneration und Wundheilung zu unterstützen. Die meisten Menschen ernähren sich nicht ideal. Eine falsche Ernährung mit viel Zucker, Weizen und Kuhmilchprodukten führt zur generellen Entzündungsneigung des Körpers sowie zu Vitamin- und Nährstoffmangel: Vitamin D3 (Mangel an Sonne), Zink, Magnesium und Omega-3-Fettsäuren fehlen für den Aufbau und die Regeneration von Gewebe und Knochen. Der Körper ist durch diese Mangelsituation mit Heilungsvorgängen häufig überfordert – er befindet sich sozusagen im Winterschlaf. Er ist nicht in der Lage, neues Gewebe aufzubauen, da schlicht und einfach die Nährstoffe dafür fehlen. Als Faustregel gilt hier: umso älter der Patient, umso größer die Defizite. In der Praxis des Autors hat sich die systemische Unterstützung der Patienten durch gezielte Ernährung und Ergänzung der richtigen Nährstoffe als wichtiger Baustein im Bereich der Chirurgie als Standard etabliert.
Direkt vor der Operation wurde dem Patienten Blut abgenommen, um eine PRGF®-Endoret®-Plasmamembran herstellen zu können.
Das hier gewählte vollkeramische Implantatsystem (SDS 1.1 und 2.0) aus Y-TZP mit besonders aggressivem Gewindedesign (Dynamic Thread®) steht in den enossalen Durchmessern 3,8 mm und 4,6 mm zur Verfügung und wird in drei Implantatlängen 8, 11 und 14 mm angeboten. Sowohl das einteilige, als auch das zweiteilige Implantat ist mit einer ausgeprägten Tulpe von 3 mm Höhe versehen, um die optimale biologische Breite der Gingiva erhalten und stützen zu können. Der Schulterdurchmesser beträgt auf Weichgewebeniveau 5 mm (beim durchmesserreduzierten Implantat) und 6 mm beim 4,6-mm-Implantat. Das zweiteilige Implantat ist also quasi ein reduziertes einteiliges Implantat, das nach erfolgter Einheilung lediglich oberhalb der Gingiva verlängert wird. Das eigentliche Implantat ist komplett im Knochen und dadurch sogar in der durchmesserreduzierten Variante stabiler als vergleichbare Implantatsysteme aus Titan. Je nach Höhe und Beschaffenheit der Gingiva kann das Implantat auch ein wenig tiefer oder kürzer inseriert werden, falls mehr als 3 mm Gingiva vorhanden sein sollten. Diese Flexibilität erlaubt es dem Chirurgen Implantatlängen von 7–15 mm mit einem System zu nutzen. Insbesondere kommt noch hinzu, dass die Tulpe beschleifbar ist, sodass der Behandler komplett nach anatomischen Gegebenheiten operieren kann. Vor allem im Bereich der Sofortimplantationen sind Achsneigungen nicht zu vermeiden, da das Implantat in die Mitte des Kieferkamms positioniert werden sollte und dieser in den meisten Fällen nicht mit der anatomischen Positionierung der Zähne korreliert. Es besteht also die Möglichkeit schon während der chirurgischen Phase, die Achsneigung durch Beschleifen zu korrigieren und damit bereits intraoperativ ein „individuelles Abutment“ herzustellen. Eine Achsabweichung von bis zu 20 Grad ist durch die ausgeprägte prothetische Plattform ohne Probleme zu bewerkstelligen.
Die Sofortimplantation erfolgte unter Lokalanästhesie in die Alveolen der Zähne 14, 11 und 21 mit einteiligen Implantaten (SDS 1.1 „Monkey“). In Regio 17 kam ein zweiteiliges Implantat zum Einsatz (SDS 2.0). Die Spätimplantate 13, 23, 25 wurden ebenfalls einteilig gewählt, um den Patienten direkt mit einem festsitzenden, Full-Arch-Provisorium versorgen zu können.
In Region 17 konnte ein 4,6 x 11mm Implantat mit einer Primärstabilität von 35 Ncm in die palatinale Alveole eingebracht werden. Die bukkale Alveole wurde mit einer PRGF®-Endoret®-Plasmamembran gefüllt und mit einer gekreuzten Matratzennaht gesichert (Naht: PTFE). In Regio 14 kam ein einteiliges 38 x 14mm Implantat zum Einsatz. Um eine verbesserte Prothetik gewährleisten zu können wurde es leicht distal exzentrisch inseriert, sodass die Tulpe in der Fünfer-Region platziert werden konnte. Im Bereich 11, 21 wurden einteilige vollkeramische Implantate der Länge 14 mm und Durchmesser 4,6 mm eingesetzt. Dasselbe Implantat wurde auch in den Regionen 13 und 23 benutzt. Beide Spätimplantate konnten flapless, durch die Gingiva operiert werden. Lediglich in Regio 25 wurde ein kleiner Schnitt benötigt, um ein wenig befestigte Gingiva nach bukkal verlagern zu können. Hier wurde ein einteiliges Implantat der Länge 11 mm und Durchmesser 3,8 mm ähnlich zur Regio 14 distal exzentrisch inseriert, um mit der Tulpe prothetisch weiter distal im Bereich 26 zu landen (Abb. 11 – postoperatives Panoramabild). Alle Implantate wurden mit ca. 35 Ncm primärstabil eingesetzt (Abb. 3).
Allein durch die Sofortimplantation wird bereits eine Aktivierung des Knochens erzielt. Da man üblicherweise über die Alveole hinaus bohrt, finden sich hier sehr häufig osteolytische Knochenareale, die bei der klassischen Zahnentfernung nicht mitbehandelt werden. Nach mechanischer Reinigung der Alveolen erfolgt die Desinfektion mit Ozon und einer neuraltherapeutischen Lösung. Da Zirkonimplantate nur in absolut gesunden Knochen einheilen, sollte auch auf osteolytische Seitenlakunen und generell gelbe Knochenareale geachtet werden (LDL – fettige Degeneration des Knochens ist ein Entzündungszeichen). Um einem Nichteinheilen entgegenzuwirken, ist dieses detektivische Verfahren äußerst wichtig.
Provisorium
Das Full-Arch Provisorium (Regio 15-25) wurde im Anschluss an die Operation vom Behandler selbst mit MaxiTemp® HP (Henry Schein) chairside gefertigt und mit DurelonTM (Carboxylatzement, 3M ESPE) eingegliedert (Abb. 4).
Auf eine Sofortversorgung in Regio 17 wurde aus Sicherheitsgründen verzichtet. Das zweiteilige Implantat wurde auf Zahnfleischniveau (Tissue Level) inseriert. Dieses Vorgehen stellt im nichtästhetischen, jedoch funktionell riskanteren Gebiet die optimale Lösung dar.
Der Patient wurde im Vorfeld darüber aufgeklärt, während der Einheilphase (drei Monate) nur weiche Kost zu sich zu nehmen. Das Provisorium wurde in Gruppenführung mit gleichmäßigen Okklusionskontakten eingeschliffen.
Prothetische Versorgung
Nach drei Monaten Einheilzeit wurden die Implantate freigelegt und leidglich in Regio 17 ein Standardabutment mit KetacTM Cem, 3M ESPE eingesetzt (Abb. 5). Der Halt des Abutments kommt primär durch den chemischen Verbund des Glasionomerzements mit der Zirkonoberflächezustande.
Die beschleifbaren SDS Zirkonimplantate wurden mit Rotringdiamanten am Beispiel eines natürlichen Zahnes minimal subgingival präpariert (Abb. 6 und 7). Da zu diesem Zeitpunkt bereits eine Anhaftung des keratinisierten periimplantären Weichgewebes mit der Keramikoberfläche besteht, sollte unter keinen Umständen ein Retraktionsfaden gelegt werden.
Anschließend erfolgte ein Abdruck mit ImpregumTM (3M ESPE). Die provisorische Versorgung wurde mit MaxiTemp® HP (Henry Schein) unterfüttert und mit DurelonTM (Carboxylatzement, 3M ESPE) wieder eingesetzt (Abb. 8).
Zehn Tage nach der Abdrucknahme erfolgte eine Gerüsteinprobe zusammen mit dem Zahntechniker.
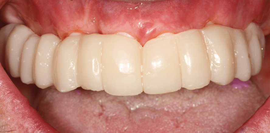
Zwei Wochen nach der Freilegung wurden die definitiven Zirkonbrücken (17-14, 11-13, 21-25 mit Anhänger) ebenfalls mit einem Glasionomerzement (KetacTM Cem) eingesetzt. Bei der abschließenden Okklusions- und Artikulationskontrolle wurde der Zahnersatz in gleichmäßiger Okklusion und Gruppenführung eingeschliffen (Abb. 9).
Im weiteren Verlauf wurde im Unterkiefer-Seitenzahngebiet die prothetische Versorgung eingegliedert. Aktuell wurden die Unterkieferfrontzähne aus parodontalen Gründen entfernt und mit zwei Sofortimplantaten versorgt.
Zusammenfassung
Der optimale Zeitpunkt zur Implantation ist nach Ansicht des Autors die Zahnextraktion (SCC – Short Cut Concept® n. Dr. Ulrich Volz). Das Implantat fungiert sozusagen als optimale Socket Preservation. Knochen- und Weichgewebe werden gestützt. Im vorliegenden Fall konnte der Patient sogar direkt festsitzend versorgt werden. Im Gegensatz zur konventionellen Vorgehensweise mit Zahnextraktion, Vollprothese und langer Wartezeit, sind bei der Sofortimplantation der Zeit- und Kostenaufwand für den Patienten deutlich reduziert, ganz zu Schweigen von den verminderten Schmerzen. Mit den ein- und zweiteiligen Vollkeramikimplantaten der Firma SDS (Swiss Dental Solutions) ist es nun auch möglich, riskantere Sofortimplantationen im Seitenzahngebiet durchzuführen, ohne dass aufwendige und unangenehme Schutzmaßnahmen benötigt werden. Natürlich ist das OP-Protokoll entscheidend. Ein besonders großes Augenmerk liegt bei Zirkonimplantaten auf der absolut gründlichen Säuberung und Desinfektion des OP-Gebietes, da diese nur in völlig gesundem Knochen einheilen. Dieses Protokoll umfasst die orthomolekulare Unterstützung mit Nährstoffen vorab (BHP n. Dr. Nischwitz), die lokale Desinfektion mit Ozon und Neuraltherapie sowie die immunologische Unterstützung mittels hochdosierten, intravenösen Vitaminen und Mineralien. Auf ein Antibiotikum kann damit in den meisten Fällen vollständig verzichtet werden. Bei größeren Knochenaufbauten, wie der Knochenring-Technik oder einem externen Sinuslift, ist eine präoperative, antibiotische Single-Shot-Gabe ideal, da das Antibiotikum auf diese Weise nicht über den sensiblen Darm wirkt.
Für tiefere Einblicke in die biologische Zahnheilkunde ist die Seminarreihe des Autors „Biologische Zahnheilkunde“ zu empfehlen. Der Autor ist Vizepräsident der ISMI – International Society of Metal Free Implantology und hat 2015 zusammen mit seinem Vater Andreas Nischwitz das DNA Health&Aesthetics – Zentrum für Biologische Zahnmedizin in Tübingen gegründet.
