Implantologie 14.08.2014

Implantatgetragene Verbundbrücke als Therapieoption



Implantatgetragene Verbundbrücke als Therapieoption

Zahn vs. Implantat ist eine häufig zu hörende Diskussionsgrundlage, welche in vielen Indikationen berechtigt scheint. Doch nichts ist „nur Schwarz oder Weiß“, bei der Wahl des optimalen Therapiekonzeptes sind viele Faktoren einzubeziehen. So kann beispielsweise die Verbundbrücke (zahn-implantatgetragen) einen nachhaltigen Therapieerfolg sowie den Erhalt der anatomischen Strukturen fördern. Der Autor beschreibt diese prothetische Versorgungsoption.

Die Entwicklung im Bereich der Implantatsysteme und -materialien hat dazu geführt, dass eine Implantattherapie nahezu jedem Patienten offen steht. Gerade in der Alterszahnmedizin respektive dem zahnlosen Kiefer gibt es implantatprothetische Versorgungskonzepte, die in ihrer Einfachheit überzeugen. Allerdings sollte im Sinne des bestmöglichen Erhalts der vorhandenen anatomischen Strukturen bei der Behandlungsplanung die strategische Pfeilervermehrung als Differenzialtherapie zu einer Extraktion in Betracht gezogen werden. In diesem Zusammenhang wird die Verbundbrücke (zahn-implantatgetragen) von vielen Behandlungsteams erfolgreich angewandt. Nachfolgend werden Vorteile dieser Versorgungsform dargestellt und hierbei anhand eines Patientenfalles die überzeugenden Möglichkeiten eines in der Prothetik relativ neuen Gerüstmaterials aufgezeigt. Wurden für Verbundbrücken bislang vorrangig Metall-Legierungen oder Zirkonoxid verwendet, können seit einiger Zeit PEEK-Gerüste im CAD/CAM-gestützten Vorgehen gefertigt werden. Das hochreine PEEK-Material Juvora Dental Disc (Fa. Juvora Dental Ltd.) gewährt diese prozessoptimierte Materialverarbeitung und somit die effiziente Herstellung einer hochpräzisen und spannungsfreien zahn- und/oder implantatgetragenen Restauration.

Argumente für die Verbundkonstruktion

Per Definition werden Verbundbrücken als festsitzende beziehungsweise bedingt abnehmbare Zahnersatzkonstruktionen beschrieben, die mindestens einen Zahn und ein Implantat verbinden.10 Im Vergleich zur rein implantatgetragenen Brücke sind bei einer zahn-implantatgetragenen Versorgung durch die reduzierte Anzahl der zu inserierenden Implantate der chirurgische sowie der finanzielle Aufwand geringer. Zudem kommt der Erhalt der Zähne den Ansprüchen an ein möglichst wenig invasives Behandlungskonzept entgegen. Einer Knochenresorption (wie sie nach einer Extraktion auftritt) kann vorgebeugt werden. Auch hinsichtlich des Tragekomforts sowie der Kraftübertragung auf den Kieferknochen bringt eine Verbundbrücke Vorteile. Bei einer rein implantatgetragenen Versorgung fehlen die parodontalen Rezeptoren und somit bedingen nur wenige Druckrezeptoren des Knochens eine Rückkopplung. Die Tastsensitivität ist dementsprechend gering, kaufunktionelle Belastungen können unkontrolliert weitergeleitet werden und eine Überbeanspruchung des Knochens hervorrufen.5, 15 Mit dem Einbeziehen parodontal gesunder Zähne in die prothetische Versorgung können die natürliche taktile Sensitivität sowie die Tastreflexe erhalten werden.

Gegenspieler oder Mitstreiter? Gesunder Zahn und Implantat

Die physiologische Beweglichkeit eines parodontal gesunden Pfeilerzahnes kann bei axialer Belastung einen Intrusionsweg in die Alveole von etwa 50 bis 150 μm zurücklegen.8 Hingegen weist ein osseointegriertes Implantat, welches ohne parodontalen Fa- serapparat mit dem Knochen verwachsen ist, keine beziehungsweise nur die geringe Beweglichkeit von maximal 10 μm auf.1, 3 Als Folgen dieser unterschiedlichen Eigenschaften von Zahn und Implantat werden mechanische und biologische Komplikationen vermutet, zum Beispiel Schraubenlockerungen, Gerüstfrakturen, Überbelastung des Knochens und/oder periimplantäre Knochenläsionen. Im Hinblick darauf wurde beispielsweise von Lindh et al. die Frage diskutiert, ob gesunde Zähne extrahiert werden sollten, um einen Verbund von Zahn und Implantat zu vermeiden.6 Das widerspricht jedoch dem Ansinnen an einen bestmöglichen Erhalt der anatomischen Strukturen und sollte nur nach eingehenden differenzial-therapeutischen Abwägungen infrage kommen.

Verbundbrücke: Konstruktionsprinzipien

Die Mobilität eines Zahnes im Vergleich zu seiner physiologischen Beweglichkeit ist durch die starre Verbindung mit dem Implantat innerhalb einer Verbundbrücke signifikant reduziert,11 was die zuvor beschriebenen möglichen Komplikationen ad absurdum scheinen lässt. Außerdem ist die „Beweglichkeit“ eines natürlichen Zahnes nur bei einer hohen und langsam einwirkenden Kraft festzustellen; bei einem „normalen“ Kauvorgang treten jedoch impulsartige Kräfte auf.7 Zudem sollten die elastischen Deformationen der Suprakonstruktion in die therapeutischen Überlegungen einbezogen werden. Beispielsweise kann durch das Elastizitätsmodul des Materials PEEK der Konstruktion eine Dämpfung verliehen werden. Mit diesen stoßdämpfenden Eigenschaften können die Beweglichkeitsunterschiede zwischen dem natürlichen Zahn und dem Implantat kompensiert werden. Bei der Art der Befestigung der Verbundbrücke kann zwischen der definitiv zementierten und der bedingt abnehmbaren Variante differenziert werden.2 Im nachfolgend beschriebenen Fall wurde die bedingt abnehmbare Verbundbrücke gewählt. Die natürlichen Pfeilerzähne wurden zuvor mit Gerüstkappen überkront (ähnlich der Doppelkronen-Technik) und dann die Suprakonstruktion aus PEEK (Juvora Dental Disc, Juvora Dental Ltd.) auf den Pfeilerzähnen provisorisch zementiert (semipermanente Zementierung) und auf den Implantaten verschraubt. Die bedingte Abnehmbarkeit der Suprakonstruktion bietet neben der Reparaturmöglichkeit auch parodontal-prophylaktische Vorteile sowie einen möglichen Zugang zum Implantat. Für die Vermeidung von Sekundärkaries wird für eine definitive Zementierung plädiert, weshalb Gerüstkappen (Doppelkrone) als Basis dienten. Es bestehen zwei Vorteile der Doppelkrone innerhalb der Verbundbrückenkonstruktion: zum einen der Schutz des natürlichen Pfeilerzahnes, indem eine Dezementierung und/oder Sekundärkaries verhindert werden; zum anderen die vorhandene Erweiterbarkeit, denn bei Verlust eines Pfeilerzahnes kann die Restauration problemlos umgearbeitet werden.

Patientenfall: Ausgangssituation

Der 58-jährige Patient konsultierte die Praxis mit einem insuffizienten Zahnersatz im Oberkiefer. Die Kombinationsprothese war über einen metallkeramischen Zahnersatz auf den Restzähnen 13, 12, 11, 21, 23 verankert (Abb. 1 und 2). Das Brückengerüst war zwischen 12 und 11 gebrochen; es zeigten sich Keramikabplatzungen. Der M. masseter war stark ausgebildet. Dieses Diagnosebild ließ darauf schließen, dass der Patient ein sogenannter „Presser“ ist. In unserer Praxis wird ein bedenklicher Anstieg des Pressens in allen Altersstufen ab dem 17. Lebensjahr beobachtet. Die Patienten kommen mit Beschwerden, sind sich jedoch in der Mehrheit über den Habitus des Pressens nicht bewusst. Das unbewusste Pressen kann tagsüber und nachts auftreten. Dabei wird im Vergleich zum normalen Kauvorgang eine vier- bis fünffache Kraft auf dem Zahnbogen entladen.9 Der hierbei auftretende lange Krafthaltezyklus ist beim physiologischen Kauvorgang so nicht vorzufinden. Der Habitus des Pressens wird nicht durch eine Dysfunktion im Kauorgan ausgelöst, sondern ist rein zerebral bestimmt. Das Pressen kann über Jahre hinweg konstant oder schubweise durch Stress und andere Faktoren injiziert sein. Selbst ein bisher asymptomatischer Patient kann plötzlich eine Episode starken Pressens manifestieren. Das Kauorgan leidet unter diesem pathologischen Kaudruck sehr stark. Hinsichtlich dieses Sachverhalts bietet ein Zahnersatz mit kaudruckdämpfenden Eigenschaften zusätzliche Sicherheit, im Gegensatz zu einem starren und harten Zahnersatz.

In der Panoramaschichtaufnahme des Eingangsbefundes zeigten sich wurzelbehandelte Pfeilerzähne ohne periapikale Verschattungen, eine ausreichende knöcherne Verankerung der Zähne sowie ein stabiles Parodont. Im Unterkiefer hatte der Patient eine geschlossene Zahnreihe mit mehreren Metallkeramik-Brücken. Am unbehandelten Zahn 38 wurde eine Zahnhalskaries an der mesialen Wurzel diagnostiziert. Am Zahn 46 lag ein Knochendefekt in der Wurzelbifurkation vor. Der Zahn wurde während der Behandlung gezogen und durch ein Implantat mit okklusal verschraubter Zirkonoxidkrone und eingeklebter Titanbasis ersetzt.

Planung und Implantatversorgung

Der Patient wünschte eine ästhetische, festsitzende Versorgung mit gaumenfreier Gestaltung. Aus genannten Gründen entschied sich der Autor für den Erhalt der Pfeilerzähne als Verankerungselemente für die neue Restauration. Im Seitenzahnbereich war das Knochenangebot für fünf Implantate gegeben. Um für die Insertion der Implantate den ortsständigen Knochen (reduziertes Knochenangebot) optimal nutzen zu können, war die Implantatplanung anhand eines dreidimensionalen Röntgenbildes (DVT) das Mittel der Wahl. Der Datensatz wurde in die Planungssoftware importiert und die Implantate in Regio 18, 14, 24, 25 und 28 in optimaler Position virtuell „inseriert“. Bei der Umsetzung der Planung wurde eine auf der Brücke fixierte Bohrschablone (Abb. 3 und 4) verwendet, mit welcher die Implantate (BlueSky, bredent) schablonengeführt in den Kiefer eingebracht wurden. Für die Einheilung wurde die transgingivale Methode gewählt, wofür die Implantate in Regio 18 und 28 intraoperativ mit einem definitiven Multiunit versehen wurden. Vorteil ist, dass die Pfosten im Laufe der Therapie nicht mehr entfernt werden müssen und somit das Weichgewebe keiner zusätzlichen Reizung (Ab- und Einschrauben) ausgesetzt ist.

Bei der Planung wurde für das Implantat Regio 18 ein um 17 Grad geneigter Pfosten und für das Implantat Regio 28 ein 0-Grad-Pfosten als optimal erachtet. Die Implantate in Regio 14, 24 und 25 wurden mit flachen Einheilpfosten versorgt. Um den Patienten während der kommenden Monate zufriedenstellend versorgen zu können und gleichzeitig Belastung von den Implantaten fernzuhalten, wurde die vorhandene Modellgussprothese im Bereich der Implantataustritte freigeschliffen und weichbleibend unterfüttert (Abb. 5).

Beginn der prothetischen Phase

Die definitive prothetische Versorgung des Patienten begann aus patientenseitigen Gründen ein Jahr später als geplant. Derartige Verzögerungen im Behandlungsablauf können neben den Nachteilen auch Vorteile mit sich bringen; so auch in diesem Fall, wie sich später herausstellen wird. Allerdings war eine schwerwiegende negative Folge mit der ungewöhnlich langen provisorischen Phase verbunden. An Zahn 13 hatten sich eine Karies sowie eine tiefe Zahnfleischtasche gebildet. Der Zahn zeigte eine hohe Mobilität und musste als nicht erhaltungswürdig eingestuft sowie extrahiert werden. Der Restzahnbestand im Oberkiefer wurde mit konfektionierten Titanwurzelstiften verstärkt und neue Stumpfaufbauten mit einem selbsthärtenden Hybrid-Komposit (Paste-Paste Composite, Merz Dental) erarbeitet. Anschließend erfolgten eine leicht ausgeprägte Hohlkehlpräparation der Zähne sowie die Abformung der Situation. Für die Abformung der Pfeilerzähne (Herstellung der Zirkonoxidkappen) kam eine vom Autor modifizierte Kombination aus Kupferring/Silikon und Alginatüberabformung zur Anwendung (Abb. 6). Dieses Verfahren hat sich bei der subgingivalen Abformung während der vergangenen 25 Jahre als zuverlässig, einfach, atraumatisch und präzise erwiesen. Eine eventuelle Sulkusblutung wirkt sich bei dieser Methode nicht negativ auf die Präzision des Modelles aus.

Prothetische Umsetzung

Die zahntechnische Schwierigkeit ergab sich aus der Notwendigkeit, eine kieferumspannende Brücke anzufertigen, welche bedingt abnehmbar sein sollte. In der Praxis des Autors hat sich die Verschraubung von implantatgetragenen Brücken in den vergangenen Jahren als ein optimales Konzept erwiesen. Für die natürlichen Pfeilerzähne im Frontzahngebiet wurden im Sinne der Doppelkronentechnik dünne, auf 1 Grad gefräste Zirkonoxid-Kappen gefertigt (Abb. 7). Nach einer Passungskontrolle im Mund des Patienten konnten die Kappen zusammen mit den auf die Implantate aufgebrachten und mit Kunststoff verblockten Übertragungspfosten mit einem offenen Löffel abgeformt werden (Abb. 8 bis 10). Das Meistermodell erstellte der Zahntechniker aus einem Modellkunststoff (Abb. 11), um eine durch die Gipsexpansion entstehende Passungsdifferenz zu vermeiden. Nach der Parallelisierung der Zirkonoxid-Kappen auf dem Modell wurden die Laborimplantate mit den entsprechenden Abutments versehen und die Situation im Laborscanner digitalisiert. Der STL-Datensatz beinhaltete alle relevanten Modelldaten (Zirkonoxid-Kappen, Implantatpfosten, Weichgewebe) für die virtuelle Konstruktion des Gerüstes.

Bei der Entscheidung für das optimale Gerüstmaterial kam dem Patienten sowie dem Behandlungsteam die ungewöhnlich lange Tragezeit der provisorischen Versorgung zugute. Musste bei einem zahn-implantatgetragenen, festsitzenden Zahnersatz bis vor einiger Zeit noch auf das Gussverfahren (Metall-Legierung) oder das Pressverfahren (Hochleistungspolymer) zurückgegriffen werden, gewährt heutzutage ein hochreines PEEK-Material (Juvora Dental Disc, Juvora Dental Ltd.) die computergestützte Herstellung des Gerüstes. Mit der prozessoptimierten Materialverarbeitung kann die Restauration präzise, spannungsfrei sowie auf effizientem Weg gefertigt werden. Davon sollte auch in diesem Fall profitiert werden.11, 12

Warum PEEK?

Der Vorteil von PEEK als Gerüstmaterial für eine Verbundbrücke ist unter anderem der Ausgleich von leichten Ungenauigkeiten zwischen dem Modell und der Mundsituation. Gerade bei einer zahn-implantatgetragenen Konstruktion ist der zuverlässigen Passung sowie dem spannungsfreien Sitz des Gerüstes hohe Aufmerksamkeit zu zollen. Hierbei sei darauf hingewiesen, dass eine CAD/CAM-gefertigte Restauration nicht automatisch mit einem Passiv-fit einhergeht. Viele Variablen beeinflussen das Ergebnis (Gipsexpansion, Schrumpf des Abformsilikons etc.), daraus resultierende Ungenauigkeiten lassen sich nach Ansicht des Autors selbst mit hochpräzisem, akkuraten Arbeiten kaum gänzlich vermeiden. Ein Hochleistungspolymer wie PEEK hat den Vorteil, geringe Diskrepanzen auszugleichen. PEEK hat ein Elastizitätsmodul ähnlich des spongösen Knochens und eine hohe Bruchfestigkeit. Das in diesem Fall verwendete Material wird als industriell angefertigte Fräsronde für die CAD/CAM-gestützte Verarbeitung angeboten (Abb. 12). Der Hersteller verwendet für die Fräsblanks das seit Jahrzehnten in der Humanmedizin bewährte PEEK-OPTIMA (Invibio) in seiner reinen Form; es werden keinerlei Farbzusätze, Additive, Verarbeitungshilfsmittel oder Ähnliches zugeführt. Aufgrund seiner semikristallinen Struktur ist PEEK nicht spröde, sondern präsentiert sich mit einer knochenähnlichen Elastizität. Die guten physikalischen und chemischen Eigenschaften von PEEK erklären sich durch den Aufbau des Polymers aus einer Kette aromatischer Ringe. PEEK eignet sich ideal für die Herstel- lung von bedingt abnehmbaren Restaurationen, zum Beispiel für eine zahn-implantatgetragene Verbundbrücke. Verwindungen sowie kleine Passungenauigkeiten des Gerüstes können dank der physiologischen Elastizität kompensiert werden. Die stoßdämpfenden Eigenschaften wirken schonend auf die Implantate und den periimplantären Knochen. Zudem macht es das geringe spezifische Gewicht möglich, auch bei großvolumigen Brückengerüsten (zum Beispiel implantatgetragener Zahnersatz) einen leichten Zahnersatz mit einem Gesamtgewicht von 15 Gramm zu erstellen.

Konstruktion und Fertigstellung des Gerüstes

Nach dem Importieren der STL-Daten in die Modellationssoftware konstruierte der Zahntechniker die Suprakonstruktion (Abb. 13), welche auf den Implantaten in Regio 18, 28 sowie 14, 24 und 25 verschraubt und auf den Zirkonoxid-Kappen der Pfeilerzähne semi-permanent zementiert werden sollte. Bei der Konstruktion ist darauf zu achten, die vom Hersteller vorgegebenen Mindeststärken nicht zu unterschreiten und runde Geometrien (beziehungsweise weiche Übergänge) zu gestalten. Das muss selbstverständlich auch bei der Ausarbeitung respektiert werden. Kerben müssen vermieden werden, da diese potenzielle Bruchstellen sind. Um eine entsprechende Gerüststabilität zu garantieren und gleichzeitig die sehr guten Eigenschaften (biokompatibel, gewebeverträglich, geringe Plaqueanlagerung) des PEEK-Materials zu nutzen, wurden in diesem Fall die basalen sowie die palatinalen Anteile vollanatomisch gestaltet (Abb. 13 und 14). Es hat sich als sinnvoll erwiesen, die Schraubenkanäle bis zur Okklusalfläche in PEEK auszufräsen und die Verblendung darumzulegen. Somit ist der Kanal exakt an den Schraubenkopf adaptiert und kann nicht durch Reste des Verblendkunststoffes kontaminiert werden. Zudem ist ein fühlbar kontrolliertes Festziehen der Schraube garantiert. Durch die beige Farbe des PEEK-Materials wird eine eventuell kompromittierende Wirkung des Schraubenkanals verhindert. Die Bedenken, dass PEEK dem Schraubendruck nicht standhalten könnte, teilt der Autor nicht. PEEK als Hochleistungspolymer wird den Anforderungen einer Verschraubung in jedem Maße gerecht; es kommt nicht zu einem Nachlassen des anfänglichen Drehmomentes. Der Autor hat seit über einem Jahr mehrere PEEK-Arbeiten in dieser Ausführung, auch als Einzelkronen, in klinischer Anwendung und konnte bisher keine Schraubenlockerungen beobachten.

Die Konstruktionsdaten wurden in die Software der Fräsmaschine geladen und das Gerüst aus dem PEEK-Blank (Juvora Dental Disc) herausgefräst. Die Nacharbeit beschränkte sich auf das Abtrennen der Konstruktion aus dem Blank sowie dem Verschleifen der Ansätze. Das Gerüst passte ohne Nacharbeit auf das Arbeitsmodell und konnte verblendet werden; die Zähne 17 und 27 waren als Vollkronen gestaltet (Abb. 15 und 16). Hierfür kamen industriell vorgefertigte PMMA-Schalen (visio.lign, bredent) zum Einsatz. Die form- und farbstabilen Schalen verwendet der Autor seit mehr als sechs Jahren und hat bisher keine Verfärbungen festgestellt. Der Verbund zwischen PEEK-Gerüst und Verblendkunststoff erfolgte über eine chemische Konditionierung.

Eingliederung

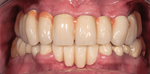
Die fertiggestellte Restauration beein- druckte neben dem ästhetisch-sauberen Bild ohne jegliche metallischen Strukturen sowie mit einem geringen Gewicht und fand sofort die Akzeptanz des Patienten (Abb. 17 bis 19). Nach dem Zementieren der Zirkonoxid-Kappen (Abb. 20 und 21) wurde die Arbeit im Mund probiert und nach Überprüfung aller relevanten Parameter (Ästhetik, Funktion, Phonetik) eingegliedert. Die Brücke wurde auf den Implantaten verschraubt und die Schraubenkanäle mit einem lichthärtenden Komposit verschlossen. Die Doppelkronen im Frontzahnbereich wurden mit einem provisorischen Zement abgedichtet (Abb. 21 bis 23).

Fazit

Der Patient konnte im Sinne des bestmöglichen Erhalts der Strukturen mit einem festsitzenden und gaumenfreien Zahnersatz versorgt werden. Die vorhandenen Zähne wurden in das Therapiekonzept eingebunden, was einer Resorption des Kieferknochens entgegenwirkt. Bei einer Verbundbrücke (Zahn-Implantat) ist eine festsitzende Versorgung zu bevorzugen, wobei die bedingte Abnehmbarkeit neben der regelmäßigen professionellen Reinigung eine extraorale Reparatur sowie die Erweiterung zulässt. Um die Risiken einer Sekundärkaries zu umgehen, ist bei einer Verbundbrücke der zahngetragene Anteil zu zementieren.1 Um trotzdem eine bedingt abnehmbare Versorgung fertigen zu können, wurden im beschriebenen Fall die natürlichen Pfeilerzähne mit Kronenkappen versorgt und darüber die Brücke semipermanent zementiert. Für die Kappen kam Zirkonoxid zum Einsatz, da es hervorragende biologische Eigenschaften hat. Die Suprakonstruktion wurde aus einem PEEK-Material CAD/CAM-gestützt gefertigt und mit einem Komposit verblendet. Vorteile des gewählten Gerüstwerkstoffes sind unter anderem die knochenähnliche Elastizität, durch welche geringe Passungenauigkeiten ausgeglichen werden können, die hohe Gewebeverträglichkeit sowie die Korrosionsfreiheit. Das beschriebene Konstruktionskonzept (zahn-implantatgetragene Brücke) hat sich als prothetische Option bewährt und gewinnt durch die Möglichkeit, das Gerüst aus einem PEEK-Material CAD/CAM-gestützt zu fertigen, zusätzliche Sicherheit und Relevanz.13, 14

Hier gibt's die vollständige Literaturliste

Mehr Fachartikel aus Implantologie

ePaper