Implantologie 15.09.2016

Vier-Quadranten-Rehabilitation



Vier-Quadranten-Rehabilitation

Foto: © Autoren

In dem vorliegenden Fachbeitrag wird ein Patientenfall mit einem prothetisch und konservierend insuffizient versorgten Erwachsenengebiss mit Klasse II/2-Verzahnung und einseitig verkürzter Zahnreihe (Kennedy-Klasse II) vorgestellt. Die ästhetisch rekon­struktive Behandlung erfolgte nach Vorbehandlung mit tempo­rären Kompositaufbauten im Sinne einer festsitzenden Schiene, mit Presskeramikteilkronen und Veneers.

In dem vorliegenden Beitrag wird die Behandlung einer 51-jährigen Patientin mit guter allgemeiner Gesundheit vorgestellt. Die Ausgangssituation in diesem Patientenfall zeigt ein prothetisch und konservierend insuffizient versorgtes Erwachsenengebiss mit Klasse II-Verzahnung (Deckbiss) und einseitig verkürzter Zahnreihe (Kennedy-­Klasse II). Die habituelle Okklusion wurde zu­gunsten der zentralen Kondylenposition aufgegeben, da eine größere okklusale Rehabilitation vorgesehen war und die zentrische Okklusion durch die abradierten Kauflächen vom Patienten nicht mehr eindeutig reproduziert werden konnte. Bei der klinischen Funktionsanalyse zeigten sich Anzeichen einer parafunktionellen Störung.

Anamnese

Erstbesuch und Erhebung der allgemeinmedizinischen Anamnese erfolg­ten am 16.09.2012. 2006 wurde ein Ovarialkarzinom entfernt und im Anschluss daran eine Chemotherapie durch­geführt. Die Patientin ist seither beschwerdefrei und nimmt an den Nachkontrolluntersuchungen regelmäßig teil. Es bestehen keine Reaktionen auf bestimmte Medikamente.

Die letzte zahnärztliche Untersuchung fand vor circa einem halben Jahr statt. Bis zu diesem Zeitpunkt suchte die Patientin halbjährlich ihren Hauszahnarzt zur Kontrolle und Zahnreinigung auf. Die Patientin interessiert sich für eine Gesamtrestauration ihrer Zähne. Sie weist darauf hin, dass sie seit Langem am Erscheinungsbild ihrer „krummen und schiefen“ Zähne leide und etwas dagegen unternehmen möchte. Sie legt großen Wert auf eine ästhetisch-funktionelle und dauerhafte Verbesserung ihrer Situation und steht einer notwendigen umfangreichen ästhetisch-rekonstruktiven Rehabilitation aufgeschlossen gegenüber.

Klinische Befunde

Rote Ästhetik
Eine Disharmonie im gingivalen Verlauf Regio 12 und 22 war erkennbar. Nach Initialbehandlung und Aufnahme des Parodontalstatus entschied sich der Behandler aufgrund der mittleren Lachlinie vorerst keine plastische Deckung des freiliegenden Zahnhalsbereichs 12 vorzunehmen (Abb. 1). Die Patientin verfügt über eine kurze und schmal ­geformte Oberlippe. Ein bukkaler Korridor ist praktisch kaum vorhanden.

Weiße Ästhetik
Zahnlänge: Die OK-Front empfindet die Patientin von der Länge als ausreichend, das entspannte Lächeln zeigt ungefähr 5 bis 6 mm der Frontzahnreihe. Es zeigen sich generalisierte Abrasionen im Ober- und Unterkiefer. Die Breite des Lächelns misst bis in den Bereich der zweiten Prämolaren. Interinzisallinie und Mittellinie stimmen überein. Die Okklusionsebene steht parallel zur Kommissurenlinie (Horizontalen). Zahnform: Die leicht oval-quadratisch imponierende Zahnform erscheint harmonisch zur Gesichtsform der Patientin.

Dentalstatus
Zahnform: Neben den bereits erwähnten abrasiven Zahnhartsubstanzver­lusten ist die ursprünglich okklusale Morphologie im Front- und Seitenzahn­bereich nur noch ansatzweise vor­handen. An Zahn 24 imponiert ein ­keil­förmiger Defekt (Abb. 2). Zahnfarbe: Neben den bereits verfärbten Kompositrestaurationen sowie des abrasiv bedingten Schmelzverlustes erscheint die Farbe der Zähne als zu gelb und zu dunkel. Die Patientin wünscht sich im Rahmen der Rehabilitation in dieser Frage eine deutliche Verbesserung.

Zusammenfassung
Zahnstellung: Im OK erscheint der Zahnbogen quadratisch. Der OK-Front-­Überbiss ist mit circa 6 mm zu groß. Durch die Retroinklination der oberen Frontzähne sowie die unsymmetrische Stellung/Länge der seit­lichen Schneidezähne wirkt die Zahnstellung insgesamt unruhig und unregelmäßig. Die Abstufungen in den Seitenzahnbereichen (Abstufungs­effekt) ebenso. Zusammenfassung der ästhetischen Problematik: Es zeigt sich hinsichtlich der Länge (Seitenzähne/Lächeln), Stellung (Fronzähne OK/UK), Farbe und Form der Zähne ein objektiv verbesserungswürdiger Zustand (Abb. 2–6; Hinweis: Aufnahmen der Lateral- und Okklusalansicht wurden gespiegelt), welcher auf Wunsch der Patientin im Rahmen einer umfassenden prothetischen Rehabilitation erreicht werden soll.

Röntgenologischer Befund

OPG
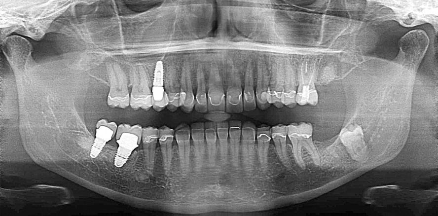
Das OPG (Abb. 7) gibt keinen Anhalt auf nicht zahnverursachte Prozesse – retinierter Zahn 38, Elongation 27. Insuffiziente Amalgam- und Kompositfüllungen vor allem im Seitenzahn­bereich des Ober- und Unterkiefers. Des Weiteren sind insuffiziente Wurzel­füllungen an 15 und 46 feststellbar und die UK-Frontzähne stehen in einer ­Supraposition.

Bissflügelaufnahme rechts
Die Aufnahme zeigt einen Randspalt an Krone 15, eine dislozierte Füllung 13, überkonturierter Kronenrand 46 und eine Mesialkippung 47/48 (Abb. 8a).

Bissflügelaufnahme links
Die Zähne 24, 25, 26, 27, 37–34 haben über- und unterkonturierte Restaurationsränder sowie Randspalten (Abb. 8b).

Diagnosen

  • Parafunktion mit Zahnhartsubstanzverlust 
  • (Attrition) vor allem im Frontzahn­bereich (Kronenfraktur 41) 
  • Angle-Klasse II mit Deckbiss und einseitig verkürzter Zahnreihe (Kennedy- Klasse II) 
  • leichte Hypertonie bei M. masseter und M. temporalis beidseits 
  • Kopfschmerzen, Verspannungen im Schulter- und Halsbereich 
  • konservierend/prothetisch insuffizient versorgtes Erwachsenengebiss 
  • nicht abgefüllter Zahn 46, zirkulärer Kronenrandspalt 
  • Root falsa Zahn 15 („dumpfes Gefühl“, „Zahn reagiert auf Wetter­änderung“) 
  • retinierter Weisheitszahn 38 

 Behandlungsplan  

  1. Dentalhygiene (Abformung für Situ-­Modelle, Total-Wax-up, Fotostatus, Bissnahme in ZKP, Gesichtsbogenübertragung) 
  2. Etablierung einer neuen vertikalen und horizontalen Relation des Unterkiefers in ZKP mit temporären Kompositaufbauten 7-7 OK/UK (Tetric EvoCeram, Ivoclar Vivadent) anhand des Wax-ups mittels transparentem Silikonschlüssel (Elite Transparent, Zhermack), begleitende Kieferphysiotherapie zur Unterstützung der Adaptation an die neue VDO für acht Monate  
  3. Extraktion 15, 27, 46 und 48, Zahn 38 wurde nach Abklärung durch Kieferchirurgie und dem Wunsch der Patientin entsprechend belassen  
  4. (Früh-)Implantation 15, 46 und 47 nach Weichgewebeheilung  
  5. Präparation für die definitive Versorgung im Unterkiefer 36 bis 47 Presskeramikveneers und -teilkronen  
  6. Abdrucknahme, Zentrikbissnahme, Gesichtsbogenübertragung, Anproben und definitive Eingliederung in den Folgesitzungen  
  7. Präparation für die definitive Versorgung im OK 17 bis 26 Presskeramikveneers und -teilkronen
  8. Abdrucknahme, Zentrikbissnahme, Gesichtsbogenübertragung, Anproben und definitive Eingliederung in den Folgesitzungen  
  9. Nachkontrolle und Nachsorge 
  10. Reevaluation/Akzeptanz der neuen VDO nach Adaptationsphase von sechs Monaten 

Behandlungsablauf

Der folgende Behandlungsablauf wird wegen des umfangreichen Vorgehens anhand von Aufzählungen dargestellt:

  • Abformung OK/UK Alginat (Aroma Fine DF III, GC), Bissregistrat (Beauty Pink Wax x-hard, Moyco Union Broach, Bosworth Superbite) in ZKP, Gesichtsbogen- und Clinometerüber­tragung (Artex 3D, Amann ­Girrbach) 
  • Prophylaxesitzung einschließlich Re­evaluation und professioneller Zahnreinigung 
  • CMD-Screening, Mock-up 
  • Etablierung einer neuen vertikalen und horizontalen Relation des Unterkiefers in ZKP (zentrischer Kondylenposition) mit temporären Kompositaufbauten 7 bis 6 OK/UK (Tetric EvoCeram, Ivoclar Vivadent) auf Basis des Wax-ups mittels transparentem Silikonschlüssel (Elite Transparent, Zhermack), direkt im Mund des Patienten und Zuhilfenahme einer Lupenbrille (4,5-fache Vergrößerung) 
  • Auffüllen des transluzenten Schlüssels mit vorgewärmtem Komposit, um Verzerrungen zu vermeiden 
  • Aufsetzen des Schlüssels auf die zuvor konditionierte Zahnoberfläche, Lichtpolymerisation direkt durch den Schlüssel (Abb. 9) 
  • Reevaluation nach Adaptationsphase von sechs Monaten – sämtliche für die definitive Versorgung vorgesehenen Zähne scheinen sicher erhaltungswürdig 
  • Patientin fühlt sich mit der neuen horizontalen und vertikalen Bisslage sehr wohl und es liegen keine Anzeichen oder Symptome einer Kiefer­gelenkdysfunktion vor (Abb. 10) 
  • Extraktion 15, 27, 46 und 48, Auffüllen der Alveolen mit DBBM/Kollagenmembran; Frühimplantation 15, 46 und 47 nach Weichgewebeheilung (acht Wochen, Abb. 11 und 12) 
  • Einheilphase zwei Monate 
  • Präparation der Zähne im Unterkiefer 
  • Herstellung der Presskeramikteilkronen im zahntechnischen Labor (Abb. 13–15) 
  • Eingliederung der definitiven Versorgung im UK 
  • Präparation der Zähne im Oberkiefer 
  • Eingliederung der Frontzahnveneers (Feldspatkeramik Creation Willi Geller) und Presskeramikteilkronen mit Syntac Classic und Variolink II (Ivoclar Vivadent; Abb. 16) 

Schlussbefunde

Funktionsstatus
Die manuelle und klinische Funktions­analyse ergab keinen auffälligen Befund. Für die dynamische Okklusion wurde eine front-/eckzahngeschützte Variante programmiert. Die manuelle Führung ergab keine Abweichung in maximaler Interkuspidation (ohne Führung) und zentraler Kondylenposition (mit Führung). Des Weiteren waren auch keine Krepita­tionsgeräusche oder Schmerzen der Gelenke, keine Druckdolenzen der Muskulatur bei Palpation und unauffällige Öffnungs- und Schließbewegungen vorhanden.

Rote Ästhetik
Es zeigen sich stabile und gesunde Weichgewebeverhältnisse nach abgeschlossener Behandlung (Abb. 17). Die Disharmonie im Gingivaverlauf Regio 12 erscheint der Patientin diskret (mittelhohe Lachlinie) und soll auf Wunsch vorerst so belassen werden. Beim Lächeln entspricht die Kurve der Schneidekanten der Krümmung der Unterlippe (Abb. 18).

Weiße Ästhetik
Zahnlänge: Die OK-Front empfindet die Patientin von der Länge als sehr angenehm, das entspannte Lächeln zeigt ungefähr 6–8 mm der Frontzahnreihe. Die Abrasionen im Frontzahnbereich sind durch die Restaurationen vollständig beseitigt. Die Breite des Lächelns misst bis in den Bereich der zweiten Prämolaren. Die Interinzisallinie und Mittellinie stimmen überein. Die Okklusionsebene steht parallel zur Kommissurenlinie ­(Horizontalen). Zahnform: Die leicht oval-rechteckig imponierende Zahnform fügt sich harmonisch im Gesamtbild ein.

Dentalstatus
Zahnform: Der keilförmige Defekt im Bereich 24 sowie die okklusale Morpho­logie bei den konservierend insuffizient versorgten Seitenzähnen und Front­zähnen des Ober- und Unterkiefers konnten durch die prothetische Sanierung wiederhergestellt werden. Zahnfarbe: Ebenso konnte durch die Keramikrestaurationen eine ansprechende Aufhellung aller Zähne erreicht werden. Die Auswahl der Zahnfarbe (VITA Skala A1) erfolgte auf Wunsch der Patientin.

Klinischer Befund
Zahnstellung: Im OK erscheint der Zahnbogen quadratisch. Der OK-Front-Überbiss konnte durch die Bisshebung auf ca. 4 mm reduziert werden. Insgesamt konnte die Harmonie im Bereich der Front- und seitlichen Schneidezähne deutlich verbessert werden. Der Abstufungseffekt im Seitenzahnbereich ebenso. Zusammenfassung der ästhetischen Problematik: Es zeigt sich nun hinsichtlich der Länge (Seitenzähne/Lächeln), Stellung (Fronzähne OK/UK), Farbe und Form der Zähne ein ansprechendes dentogingivales Erscheinungsbild. Der Overbite beträgt 4 mm, der Overjet 2 mm (Abb. 19–21b).

Röntgenologischer Befund
Der röntgenologische Schlussbefund ist in den Abbildungen 22 bis 23b dar­gestellt.

Spätbefund nach zwei Jahren

In dem vorliegenden Fall handelt es sich um eine adhäsive Full-Mouth-­Rehabilitation, mit deren Ergebnis sich die Patientin nach zwei Jahren Trage­zeit vollumfänglich zufrieden zeigt. Auf­grund der funktionellen Vorbehand­lung (ver­tikale und horizontale Kieferrela­tionsbestimmung in ZKP) mit Interims­kompositen sowie der konservativen Zahn­präparationen im Teil­kronen- und Fullveneerdesign sind okklusionsprophy­laktisch und biologisch (Zahnvitalität) alle Anfor­derungen an eine moderne zahnsubstanzschonende Vorgehensweise erfüllt worden. Es zeigen sich auch nach wie vor keinerlei Beschwerden im Kiefergelenkbereich. Der direkt überkappte Zahn 26 musste vier Monate nach dem Einsetzen, aufgrund pulpitischer Beschwerden, devitalisiert und eine Wurzelkanalbehandlung durchgeführt werden (Abb. 24a und b).

Die Mundhygiene der Patientin ist sehr gut. Die Recallintervalle werden zuverlässig eingehalten und die angefertigte Nachtschiene wird regelmäßig getragen. Der im Bereich des seitlichen Schneidezahns „geflickte“ horizontale Sprung soll vorerst mit Komposit (IPS Empress Direct A1, Enamel, Ivoclar Vivadent) versorgt bleiben. Die Patientin ist damit sehr zufrieden und möchte vorerst keinen Austausch des Veneers. Für die vorliegende Versorgung ist somit weiterhin mit einer sehr guten Langzeitprognose zu rechnen.

Die Produktliste steht auf Anfrage zur Verfügung.

Mehr Fachartikel aus Implantologie

ePaper