Implantologie 28.02.2011

Zementfrei ans Ziel



Zementfrei ans Ziel

Die prothetische Versorgung eines zahnlosen Unterkiefers – ein Fallbericht

Die Laborfertigung einteilig-verlaserter, implantatgetragener Teleskopabutments – kein schwieriges Unterfangen. Im Folgenden sollen die Vorteile dieser zementfreien Methode sowie in diesem Zusammenhang das Verfahren einer bissregistratgestützten, individuellen Implantatabformung demonstriert werden.


Ein 50-jähriger Mann mit ausgeprägter kardiovaskulärer Erkrankung und instabiler Unterkiefervollprothese wird mit der Bitte um prothetische Rehabilitation überwiesen. Nach Aufklärung über verschiedene Versorgungsmöglichkeiten entscheidet sich der Patient für eine teleskopierende Versorgung auf vier intraforaminär gelegenen Implantaten. Im Rahmen des Backward Planning erfolgt mithilfe der vorhandenen UK-Prothese eine Funktionsabformung mit einem dünnfließenden A-Silikon (z. B. Panasil Contact Plus, Fa. Kettenbach) und eine Verschlüsselung der Bisslage. Auf dieser Grundlage wurden eine UK-Totalprothese in Wachsaufstellung und ein entsprechender Silikonvorwall angefertigt. Die Implantatplanung wurde auf das einartikulierte UK-Funktionsmodell übertragen und eine Bohrschablone mit Titanhülsen und seitlichen Aufbissen aus einem speziellen lichthärtenden Kunststoff (z.B. Fa. Primotec) hergestellt (Abb. 1). Hierauf erfolgt die Implantatinsertion. Nach der Anästhesie wurde mit einem krestalen Schnitt von Regio 35 bis 32 und 45 bis 42 jeweils ein Mukoperiostlappen präpariert, beidseits der N. mentalis dargestellt und das knöcherne Lager vorbereitet. Unter Zuhilfenahme der Bohrschablone fanden die Pilotbohrungen statt. Mit Parallelindikatoren wurde die Ausrichtung der Implantate kontrolliert. Um eine ausreichende Osseointegration zu gewährleisten, ist die Einhaltung einer mindestens dreimonatigen Einheilzeit empfehlenswert, worauf dann die Freilegung der Implantate und die Weichgewebskonditionierung erfolgen kann (Abb. 2).



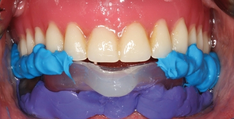
Die Abformung der vier Implantate erfolgte mit einem individuellen, bissregistratgestützten, offenen Abformlöffel. Dieser wurde aus lichthärtendem Kunststoff hergestellt und berücksichtigt die Implantatposition, die durch die Bohrschablone vorgegeben ist. Ferner ist der Abformlöffel seitlich mit Aufbissen versehen, die in der vertikalen Dimension der ermittelten Bisshöhe entsprechen (Abb. 3 und 4). Die Abformung erfolgt mit einem dünnfließenden A-Silikon, was folgende Vorteile hat: Die vier Abformpfosten (PITT-EASY, Sybron Implant Solutions) werden durch selbsthärtenden Kunststoff (Pattern Resin, Fa. GC) spannungsfrei mit dem individuellen Abformlöffel verblockt. Ferner ist bei dieser besonderen Technik der Implantatabformung eine gleichzeitige Verschlüsselung der Bisslage möglich, da der Patient über die Aufbisse in der Abbindephase der Abformmaterialien in die richtige Bisslage geführt wird. Es folgte die Herstellung des Implantatmeistermodells mit entsprechender Zahnfleischmaske und schädelbezogener Einartikulation der Modelle (Abb. 5).

Die vier Titanaufbaupfosten (drei V.D.L. Pfosten Anatomic Line gerade; ein 15° abgewinkelter PITT-EASY-Pfosten, Sybron Implant Solutions) (Abb. 6) wurden entsprechend des Weichgewebeprofils individualisiert und zur Ermittlung der Höhe der Titanaufbauten des vorher angefertigten Silikonvorwalls der UK-Prothese herangezogen. Unter Beachtung der Einschubrichtung wurden im Anschluss auf den Aufbaupfosten parallele Primärteile in Kunststoff (Pattern Resin, Fa. GC) modelliert, gefräst, eingebettet und gegossen. Diese Primärteile werden okklusal offen gestaltet, auf die Implantataufbauten aus Titan aufgepasst und anschließend verlasert (Abb. 7). Für das Laserverschweißen der Primärteile mit den Titanimplantataufbauteilen werden sehr niedrige Leistungsparameter benötigt, da sich beide Legierungen hervorragend für das Laserschweißen eignen.

Die individuellen Implantatprimärteile werden in Abhängigkeit zur Ausgangssituation parallel, mit 1°oder 2°, nachgefräst. Hierbei sind sowohl die Anzahl und die Höhe der Implantatprimärteile als auch die verwendete Legierung von Bedeutung.

Es erfolgte die Herstellung der Galvanosekundärteile. Wie für die Galvanotechnik erforderlich, wurde bei der Herstellung der Implantatprimärteile auf eine kupferfreie Edelmetalllegierung (z. B. Stabilor NF IV, Fa. DeguDent) geachtet. Die Galvanokäppchen werden direkt auf die Implantatprimärteile galvanisiert (Solaris, Fa. DeguDent). Anschließend fand die Herstellung des Übertragungs- und Drehsicherungsschlüssel mit bukkaler Kennzeichnung statt. Der Übertragungsschlüssel aus Kunststoff dient uns auch zur Kontrolle vor dem Verkleben des Tertiärgerüstes mit den Galvanosekundärteilen in der Mundhöhle (Abb.8 bis 11). Nachdem die Galvanosekundärteile in der Mundhöhle mit dem Tertiärgerüst verklebt wurden (AGC Cem, Fa. Wieland), erfolgt die Fertigstellung der Implantatarbeit. Im Anschluss an die Eingliederung des Zahnersatzes befand sich der Patient weiterhin unter zahnärztlicher/individualprophylaktischer Kontrolle. Die Versorgung wies weder röntgenologische noch klinische Auffälligkeiten auf (Abb.12 und 13).

Fazit

Individuelle Edelmetallprimärteile, die auf Titanimplantataufbauten verlasert werden, haben den Vorteil, dass Zement als Verbindungselement zwischen beiden Komponenten entfällt. Dadurch bedingt, kann dieser Komplex auch nach intraoraler Intregration jederzeit problemlos entfernt werden, womit die Möglichkeit der Erweiterung der Prothetik sichergestellt ist. Die Kombination mit einer teleskopierenden Galvanosuprakonstruktion gewährleistet außerdem ideale Adhäsionsverhältnisse bei gleichzeitigem Verzicht auf einen friktiven Verbund. Ein weiterer Vorteil der vorgestellten laborgefertigten Methode besteht darin, dass die Kosten im Vergleich zu industriell gefertigten, konfektionierten Systemen geringer sind.





Mehr Fachartikel aus Implantologie

ePaper