Implantologie 13.05.2015

Sofortimplantation mit Keramikimplantaten im Seitenzahngebiet



Sofortimplantation mit Keramikimplantaten im Seitenzahngebiet

Foto: © Nischwitz

Sofortimplantation im Seitenzahngebiet mit zweiteiligen Zirkonimplantaten der Firma SDS (Swiss Dental Solutions).

Durch die besondere Gewindeform (Dynamic Thread®) des SDS 2.0 Implantates ist es möglich, auch in schwierigen Knochenverhältnissen eine optimale Primärstabilität zu erreichen. Im hier vorliegenden Fall sollte in die palatinale Alveole der Zähne 26 und 27 implantiert werden. Durch das sehr aggressive Gewinde des SDS 2.0, kombiniert mit einer Stufenzylinder-Form, ist es für diese Situationen optimal geeignet.

Die Zähne 26 und 27 des 32-jährigen Patienten wurden bereits im jugendlichen Alter wurzelbehandelt. 2009 wurden diese, aufgrund von Zystenbildung, revidiert und erneut wurzelbehandelt. Eine weitere Revision und/oder Resektion kamen für den Patient nicht infrage.

 

Therapie

Chirurgische Versorgung

Ende 2014 wurde der Patient erneut in der Praxis des Autors vorstellig, da die Zähne immer schmerzempfindlich blieben und er gelesen hatte, das wurzelbehandelte Zähne Probleme im gesamten Organismus auslösen können. Im Zuge einer biologisch-zahnmedizinischen Anamnese, mit aufwendiger neuraltherapeutischer und röntgenologischer Evaluation, wurde entschieden, diese Zähne zu entfernen.

Da bereits anhand des OPG abzusehen war, dass bei einem konventionellen Vorgehen und klassischer Extraktion mit Abheilzeit im Anschluss ein Knochenaufbau (Sinuslift) sehr wahrscheinlich sein wird, wurde entschieden, Sofortimplantate zu setzen.

Auf dem präoperativen DVT (Morita) wurde die geplante Implantation mit dem Patienten besprochen. 14 Tage vor der OP begann der Patient mit dem Bone Healing Protokoll (BHP n. Dr. Nischwitz), um seinen Körper optimal mit den richtigen Nährstoffen für Knochenregeneration und Wundheilung zu unterstützen. Direkt vor der Operation wurde dem Patienten Blut abgenommen, um eine Plasmamembran PRGF®-Endoret® herstellen zu können. Die Implantation erfolgte in die palatinale Alveole des Zahnes 26 und 27.

In Regio 26 konnte ein SDS 2.0 46 x 14 mm Implantat mit einer Primärstabilität von 40 Ncm eingebracht werden, in Regio 27 wurde ein SDS 2.0 46 x 11 mm Implantat ausgewählt. Dieses wurde mit demselben Drehmoment primärstabil inseriert. Daraufhin wurde die PRGF®-Membran in die bukkalen Alveolen eingebracht. Der Situs wurde mit einer gekreuzten Matratzennaht gesichert (Naht: PTFE).

Auf eine Sofortversorgung wurde aus Sicherheitsgründen verzichtet. Die Implantate wurden auf Tissue Level inseriert. Dieses Vorgehen stellt im nicht ästhetischem, jedoch funktionell riskanteren Gebiet, die optimale Lösung dar.

Prothetische Versorgung

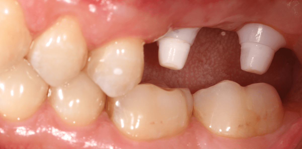
Nach drei Monaten Einheilzeit wurden die Implantate freigelegt und eine Standardabutment mit Ketac Cem™ und Halteschraube aus PEEK (Polyetheretherketon) eingesetzt. Der Halt des Abutments kommt primär durch den chemischen Verbund des Glasionomerzements mit der Zirkonoberfläche.

Die beschleifbaren SDS Zirkonimplantate wurden mit Rotringdiamanten am Beispiel eines natürlichen Zahnes präpariert. Anschließend erfolgte ein Abdruck mit Impregum™ (3M ESPE). Die provisorische Versorgung wurde aus Protemp™4 (3M ESPE) chairside gefertigt und mit Durelon™ (Carboxylatzement der Firma 3M ESPE) eingesetzt.

Zwei Wochen später wurde die definitive Zirkonbrücke ebenfalls mit einem Glasionomerzement (Ketac Cem™) definitiv eingesetzt. Bei der abschließenden Okklusions- und Artikulationskontrolle ist darauf zu achten, den Zahnersatz in leichter Infraokklusion (Shimstock-Folie ohne Wiederstand) und ohne jegliche Artikulationskontakte einzuschleifen.

Zusammenfassung

Der optimale Zeitpunkt zur Implantation ist nach Ansicht des Autors die Zahnextraktion. Das Implantat fungiert sozusagen als optimale Socket Preservation. Knochen- und Weichgewebe werden gestützt. Im vorliegenden Fall sieht es sogar so aus, als würden die Implantate in den Sinus ragen – genau wie der natürliche Zahn. Neben der Stützfunktion sind bei der Sofortimplantation der Zeit- und Kostenaufwand für den Patienten deutlich reduziert, ganz zu Schweigen von den verminderten Schmerzen. Mit den SDS 2.0 Implantaten ist es nun auch möglich, riskantere Sofortimplantationen im Seitenzahngebiet durchzuführen, ohne dass aufwendige und unangenehme Schutzmaßnahmen benötigt werden. Natürlich ist das OP-Protokoll entscheidend. Ein besonders großes Augenmerk liegt bei Zirkonimplantaten auf der absolut gründlichen Säuberung und Desinfektion des OP-Gebietes, da diese, im Gegensatz zu Titanimplantaten, nur in völlig gesundem Knochen einheilen. Dieses Protokoll umfasst die orthomolekulare Unterstützung mit Nährstoffen vorab (BHP n. Dr. Nischwitz), die lokale Desinfektion mit Ozon und Neuraltherapie sowie die immunologische Unterstützung mittels intravenösen Vitaminen und Mineralien (BTP Infusion n. VNV). Auf ein Antibiotikum kann damit vollständig verzichtet werden.

Für tiefere Einblicke in die biologische Zahnheilkunde ist die Seminarreihe des Autors „Biologische Zahnheilkunde“ zu empfehlen.

www.dnaesthetics.de

Mehr Fachartikel aus Implantologie

ePaper