Kieferorthopädie 01.11.2023

Optimaler Behandlungszeitpunkt und Überweisung zum Kieferorthopäden



Optimaler Behandlungszeitpunkt und Überweisung zum Kieferorthopäden

Foto: © Kieferorthopädische Praxis / Dr. Heiko Goldbecher

Einführung

Regelmäßige Vorsorgeuntersuchungen beim Hauszahnarzt dienen nicht nur der Früherkennung von Karies oder Mundschleimhauterkrankungen, sondern auch dem Erkennen von Zahn- und Kieferfehlstellungen. Viele Hauszahnärzte führen die kieferorthopädische Therapie nicht selbst durch, weshalb sie mit einer Überweisung zum Kieferorthopäden bzw. kieferorthopädisch tätigen Kollegen eine wichtige Schlüsselfunktion übernehmen. Dabei kann es zu Unsicherheiten bezüglich des geeigneten Zeitpunktes für eine Überweisung kommen. Im Folgenden sollen daher einige Hinweise zur kieferorthopädischen Diagnostik und Behandlung und dem optimalen Behandlungszeitpunkt zusammenfassend dargestellt werden. Abweichungen von einer regelrechten Zahn- oder Kieferstellung können prinzipiell in jedem Alter therapiert werden, auch wenn für bestimmte Therapiemittel Einschränkungen bestehen. So können z. B. festsitzende Behandlungsmethoden erst nach Durchbruch der bleibenden Zähne angewendet werden. Im Jahr 2021 wurde die aktuell gültige S3-Leitlinie Ideale Behandlungszeitpunkte kieferorthopädischer Anomalien veröffentlicht.

Anamnese und extraoraler Befund

Bereits vor der intraoralen Befunderhebung können die Anamnese und der äußere Eindruck erste Hinweise auf einen möglichen Behandlungsbedarf geben. So kann etwa ein inkompetenter Mundschluss, ein erhöhter Muskeltonus des M. mentalis oder M. orbicularis oris, in Ruhestellung sichtbare Zähne (Abb. 6a), Entwicklungsdefizite des Oberkiefers oder Unterkiefers mit ausgeprägter positiver oder negativer Lippentreppe bzw. deutlich retral oder ventral liegender Unterkiefer (Abb. 1a), ausgeprägte Symmetrieabweichungen oder eine Veränderung der Vertikaldimension, ebenso wie syndromale Abweichungen oftmals mit einem Blick erkannt werden. Nicht zuletzt können Habits, etwa Daumennuckeln, an Stiften lutschen, Lippensaugen, Zungenpressen oder eine offene Mundhaltung, gegebenenfalls durch gezieltes Nachfragen, identifiziert werden.

Intraorale Befunderhebung und bildgebende Diagnostik

Bei der sich anschließenden intraoralen Befunderhebung sollten nicht nur die Einzelzähne, sondern auch der Ober- und Unterkiefer in seiner Gesamtheit, ebenso wie die Bisslage in Okklusion beurteilt werden. Dabei kann ein Platzmangel oder Platzüberschuss, ebenso wie Okklusionshindernisse, Stufen, eine fehlerhafte bzw. nicht entwicklungsgerechte Zahnzahl oder eine veränderte Durchbruchsreihenfolge, erkannt werden. Hilfreich ist häufig ein Seitenvergleich, welcher ebenfalls Hinweise auf eine Nichtanlage oder Durchbruchstörungen, Verlagerungen und Resorptionen liefert. Beispiele hierfür sind einseitig nicht durchbrechende bleibende Eckzähne oder Prämolaren. In unklaren Fällen verschafft die bildgebende Diagnostik zusätzlich Sicherheit oder deckt Zufallsbefunde, zum Beispiel Nichtanlagen, Mehrfachanlagen, Verlagerungen etc., auf.

Tab.1: Modifizierte Darstellung der kieferorthopädischen Indikationsgruppen (KIG) für die vertragszahnärztliche Versorgung, Bewertung nach Richtlinien für die kieferorthopädische Behandlung 8a–d, Kriterien orientieren sich an anatomischen Gegebenheiten, (ja*): Behandlung auch ohne Leistungspflicht der GKV im Rahmen der privatzahnärztlichen Versorgung oft sinnvoll und möglich.

Optimaler Zeitpunkt für Behandlungsbeginn bzw. Überweisung zur KF

Der konkrete Beginn einer kieferorthopädischen Behandlung richtet sich immer nach den individuellen Gegebenheiten eines jeden Patienten und ist grundsätzlich abhängig von der Art der Anomalie, vom Dentitionsalter, vom skelettalen Alter sowie der psychosozialen Entwicklung. Zusätzlich wird später die Wahl der Therapiemittel vom Alter und dentalen Zustand des Patienten sowie möglichen kassenrechtlichen Vorgaben beeinflusst. So werden Patienten mit kraniofazialen Anomalien, zum Beispiel Lippen-Kiefer-Gaumen-Segelspalten, über viele Jahre interdisziplinär betreut und benötigen in der Regel von Geburt an eine Behandlung. Diese beginnt ggf. im Säuglingsalter mit der Anfertigung einer Trinkplatte und setzt sich möglicherweise bis ins Erwachsenenalter mit einer Behandlung von Nichtanlagen und Lückenöffnung oder Lückenschluss in Kombination mit einer mund-kiefer-gesichtschirurgischen sowie einer logopädischen Behandlung fort.

In der kieferorthopädischen Diagnostik gibt es verschiedene Systematisierungs- und Gruppierungsmöglichkeiten der Befunde, beispielsweise nach Leitsymptomen. Auf eine genauere Ausführung wird an dieser Stelle verzichtet. Stattdessen orientiert sich die Darstellung der Befunde und die Einschätzung zum optimalen Zeitpunkt für einen Behandlungsbeginn an den kieferorthopädischen Indikationsgruppen der kassenzahnärztlichen Versorgung (Tab. 1).

Nicht immer müssen alle Behandlungsaufgaben sofort gelöst werden. So kann es beispielsweise ausreichend sein, einen Kreuzbiss in Form einer Frühbehandlung im Milchgebiss zu überstellen und die weitere Entwicklung etwa eines frontalen Engstandes abzuwarten. Bei Bedarf kann zu einem späteren Zeitpunkt eine erneute kieferorthopädische Behandlung aufgenommen werden.

Beginn der Regelbehandlung

In der Regel sollte eine kieferorthopädische Behandlung in der zweiten Wechselgebissphase stattfinden. Damit kann insbesondere der pubertäre Wachstumsschub genutzt werden, um nicht nur orthodontisch, sondern im eigentlichen Sinne kieferorthopädisch zu behandeln, das heißt, wachstumsfördernd oder wachstumshemmend auf das skelettale Gerüst Einfluss zu nehmen. Bei Mädchen liegt dieser Wachstumsschub etwa zwischen 10 und 12 und bei Jungen etwa zwei Jahre später zwischen 12 und 14 Jahren.

„Bereits vor der intraoralen Befunderhebung können die Anamnese und der äußere Eindruck erste Hinweise auf einen möglichen Behandlungsbedarf geben.“

Frühbehandlung

Abweichend davon ist für einige Befunde ein früherer Behandlungsbeginn sinnvoll und indiziert. Ziel ist es, einen progredienten Verlauf positiv zu beeinflussen. Dadurch wird oft gleichzeitig ein späterer größerer Behandlungsaufwand vermieden. Im Rahmen einer Frühbehandlung kann mit geringem Behandlungsaufwand bei Habits durch frühzeitiges Abstellen dieser Verhaltensmuster mithilfe von Übungsbehandlungen einer weiteren Ausprägung der Zahn- und Kieferfehlstellung, zum Beispiel einem offenen Biss, vorgebeugt werden. Außerdem wird dadurch in einigen Fällen eine spontane Ausheilung erreicht.

Bei einem drohenden Platzmangel im Seitenzahngebiet, beispielsweise durch vorzeitigen Milchzahnverlust, kann mit einem Lückenhalter das Aufwandern von Zähnen vermieden werden. Liegt bereits eine Lückeneinengung vor, die den Durchbruch der bleibenden Zähne behindert, wird eine Lückenöffnung notwendig. Besondere Relevanz hat ein frühzeitiger Behandlungsbeginn auch bei dentoalveolär bedingten Zahnfehlstellungen, zum Beispiel bei einem Kreuzbiss, welche sich beim Ausbleiben einer kieferorthopädischen Behandlung zu einer skelettalen Kieferfehlstellung manifestieren. Bei einer eindeutigen Rücklage des Unterkiefers mit stark vergrößerter negativer Lippentreppe sollte ebenfalls ein frühzeitiger Behandlungsbeginn empfohlen werden. Ein Sonderfall stellt die frühe Behandlung dar, welche die Behandlung von schwerwiegenden Zahn- und Kieferfehlstellungen umfasst, deren Behandlungszeit sich über einen längeren Zeitraum erstreckt, aber frühzeitig begonnen werden soll, beispielsweise bei Progenie.

Kieferorthopädische Indikationsgruppen (KIG)

Falls die Kosten einer kieferorthopädische Behandlung von den gesetzlichen Krankenkassen (GKV) übernommen werden sollen, müssen bestimmte Voraussetzungen erfüllt sein. Die aktuell gültigen versicherungstechnischen Grenzen wurden 2002 mit der Einführung der kieferorthopädischen Indikationsgruppen (KIG) neu geregelt. Die gesetzlichen Krankenkassen übernehmen im Allgemeinen die Kosten bis zum 18. Lebensjahr, wenn die Befundzuordnung in einer Indikationsgruppe mit einem bestimmten Schweregrad möglich ist. Die Kosten für eine Behandlung erwachsener Patienten werden nur dann übernommen, wenn ein kieferchirurgisch-kieferorthopädisch abgestimmtes Behandlungskonzept erforderlich wird.

In Tabelle 1 (modifizierte Darstellung der kieferorthopädischen Indikationsgruppen) sind die kieferorthopädischen Befunde, unabhängig zu ihrer korrespondierenden Diagnose oder Genese, zusammengefasst. Nach diesem Schema ist ein Behandlungsbeginn als Regelbehandlung in der zweiten Wechselgebissphase vorgesehen. Ausnahmen sind in der Richtlinie B4 (Erwachsenenbehandlung) und B8 (Behandlung vor der2. Wechselgebissphase) genannt. Obwohl einige behandlungsbedürftige Befunde, zum Beispiel retinierte Schneidezähne, nicht von dieser Einteilung erfasst werden, bieten sie eine Orientierung, um den kieferorthopädischen Behandlungsbedarf abschätzen zu können und eine Behandlung einzuleiten oder den Patienten zu überweisen.

„Der konkrete Beginn einer kieferorthopädischen Behandlung richtet sich immer nach den individuellen Gegebenheiten eines jeden Patienten und ist grundsätzlich abhängig von der Art der Anomalie, vom Dentitionsalter, vom skelettalen Alter sowie der psycho-sozialen Entwicklung.“

Beispielbefunde

Kraniofaziale Anomalien und Zahnunterzahl (Abb. 2–4)

Bei kraniofazialen Anomalien ist in der Regel ein frühzeitiger Behandlungsbeginn, häufig interdisziplinär, sinnvoll und indiziert. Die Behandlung erfolgt oftmals in Fachkliniken. Wenn eine fehlerhafte Zahnzahl vorliegt, sollte eine Therapie in Absprache mit dem Kieferorthopäden erfolgen. Insbesondere kann bei der Planung von Extraktionen (z. B. Milchmolaren bei Nichtanlagen oder aufgrund von Karies oder MIH [Molaren-Inzisiven-Hypomineralisation] nicht erhaltungsfähiger bleibender Zähne) durch eine frühzeitige Planung die Behandlungszeit oftmals deutlich verkürzt sowie Komplikationen vermieden werden (zum Beispiel Einbruch der Stützzone, Alveolenkollaps oder Invaginationen).

Soll eine Extraktion mit nachfolgendem Lückenschluss erfolgen, bietet sich eine Hemisektion und Teilextraktion an. Der ideale Zeitpunkt für eine Hemisektion und Teilextraktion der ersten Molaren ist kurz vor Ausbildung der Furkation der zweiten Molaren (Abb. 3 und 4). Nach Aufwanderung und Lückenschluss wird der verbliebene mesiale Anteil extrahiert (Abb. 3).

„Nicht immer müssen alle Behandlungsaufgaben sofort gelöst werden. So kann es beispielsweise ausreichend sein, einen Kreuzbiss in Form einer Frühbehandlung im Milchgebiss zu überstellen und die weitere Entwicklung etwa eines frontalen Engstandes abzuwarten.“

„Bei kraniofazialen Anomalien ist in der Regel ein frühzeitiger Behandlungsbeginn, häufig interdisziplinär, sinnvoll und indiziert.“

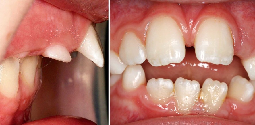
Durchbruchstörungen (Abb.5a–c)

Bei Durchbruchstörungen sollte frühzeitig, in der Regel bei Verdacht oder nach Diagnosestellung, der weitere Therapieplan abgeklärt werden. So können Komplikationen vermieden werden. Auftretende Durchbruchstörungen sind bei bleibenden Eckzähnen häufig. In Abbildung 5 ist zu sehen, dass ein vollständiger Lückenschluss von 13 durch Aufwanderung von 14 stattgefunden hat. Außerdem ist es infolge der Durchbruchstörung zu einer Resorption der Wurzel von 12 durch 13 gekommen.

Vergrößerte sagittale Stufe (Abb. 6a–c)

Eine vergrößerte sagittale Stufe kann endogen bedingt sein, tritt aber oft in Verbindung mit einer Fehlfunktion der Lippen und / oder Zungenfunktion auf. Eine große sagittale Stufe, die häufig mit einer Distalbisslage vergesellschaftet ist, bringt zusätzlich ein erhöhtes Risiko eines Frontzahntraumas, zum Beispiel bei einem Sturz, mit sich. Besonders groß ist dieses Risiko bei einer fehlenden Weichteilabdeckung der Zähne und einer Einlagerung der Unterlippe hinter die Frontzähne des Oberkiefers. Bei einer starken Ausprägung der sagittalen Stufe sollte eine Behandlung frühzeitig begonnen werden.

Progene Verzahnung (Abb. 7a und b)

Ähnlich ist es bei einer progenen Verzahnung (frontaler Kreuzbiss), welche außerdem bei einer genetischen Disposition oft erheblich schwieriger zu behandeln ist. Eine Therapie sollte schon frühzeitig im Milchgebiss eingeleitet werden.

Offener Biss (Abb. 8a und b)

Der offene Biss ist häufig durch ein Lutschhabit bedingt. Ab dem zweiten oder dritten Lebensjahr sollte aus diesem Grund versucht werden, das gewohnheitsmäßige Lutschen zu beenden. Eine Möglichkeit besteht darin, den Lutschkörper primär mit einem 1 mm großen Loch zu versehen. Dann wird wöchentlich der Sauger jeweils um 1 mm gekürzt, bis das Kind den Sauger nicht mehr mag. Auch kann die Entwöhnung beispielsweise durch einen Tauschprozess mithilfe einer Mundvorhofplatte geschehen. Durch die Kräftigung der perioralen Muskulatur und dem Wegfallen der zusätzlichen Krafteinwirkung durch permanente Einlagerung beispielsweise der Daumen, kommt es oft zu einer Normalisierung der Zungen-, Lippen- und Wangenfunktion und dem spontanen Schluss des offenen Bisses.

Tiefer Biss (Abb. 9)

Der tiefe Biss kann bei steil stehenden Frontzähnen das Bild eines Deckbisses hervorrufen (Abb. 9). Bei starker Ausprägung des tiefen Bisses kommt es durch die Frontzähne zu einer traumatischen Schädigung der Gingiva im Gegenkiefer. Insbesondere bei einer fehlenden dentalen Abstützung ist ein progredienter Verlauf zu erwarten. Ziel der Behandlung ist, eine Bisshebung zu erreichen und damit Weichgewebe und Parodont vor einer Schädigung zu schützen.

Kreuzbiss (Abb. 10a und b)

Ein Kreuzbiss führt zu einer Wachstumshemmung des Oberkiefers, da dieser vom Unterkiefer „gefangen“ ist. Ein lateraler Kreuzbiss sollte auch im Milchgebiss aufgelöst werden, um die Wachstumshemmung des Oberkiefers zu beseitigen, eine Unterentwicklung der Maxilla zu vermeiden sowie einer Fehlbelastung im Kiefergelenkbereich vorzubeugen.

Bukkal-/Lingualokklusion (Abb. 11a und b)

Ähnlich wie beim Kreuzbiss führt eine Bukkalokklusion zu einer Fehlbelastung und durch eine unerwünschte Wachstumshemmung zu kaufunktionellen Einschränkungen. Besonders deutlich wird dies in Abbildung 11b, wo durch die erhebliche Größendifferenz und Inkongruenz der Zahnbögen eine rechtsseitige Nonokklusion vorliegt.

Engstand (Abb. 12a und b)

Oft kann bei einem Engstand der Front im Wechselgebiss die weitere Entwicklung abgewartet werden. Falls ein ausgeprägter Engstand vorliegt und beispielsweise der Zahndurchbruch behindert ist (zum Beispiel ein vollständiger Lückenschluss 42, kein regelhafter Durchbruch von 42 und 43 möglich; Abb. 12a), kann eine Therapie auch frühzeitig eingeleitet werden. Da bei einem moderaten Engstand (zum Beispiel Zahn 32; Abb. 12a) in vielen Fällen keine Leistungspflicht der GKV vorliegt, kann aufgrund einer individuellen Entscheidung auch eine Behandlung auf Selbstzahlerbasis durchgeführt werden.

Platzmangel (Abb. 13a und b)

Ein Platzmangel im Seitenzahngebiet rechtfertigt ebenfalls einen frühzeitigen Behandlungsbeginn, um notwendige Mesialisierungen oder Distalisierungen leichter durchführen zu können und beispielsweise vor oder während des Durchbruchs der Ersatzzähne auf deren Wachstumsrichtung Einfluss nehmen zu können. Hier kann zum Beispiel auch mit einfachen Mitteln wie einem Lückenhalter nach vorzeitigem Milchzahnverlust bereits vom Hauszahnarzt eine Behandlung eingeleitet werden. So wird ein partieller oder vollständiger Lückenschluss vermieden.

„Ein Platzmangel im Seitenzahngebiet rechtfertigt ebenfalls einen frühzeitigen Behandlungsbeginn, um notwendige Mesialisierungen oder Distalisierungen leichter durchführen zu können und beispielsweise vor oder während des Durchbruchs der Ersatzzähne auf deren Wachstumsrichtung Einfluss nehmen zu können.“

Fazit

Bei den regelmäßigen Vorsorgeuntersuchungen sollte auch auf Zahn- und Kieferfehlstellungen geachtet werden. Anhand der vorgestellten Tabelle 1 (modifizierte Darstellung KIG) und der Abbildung 14 findet man eine Orientierung, um den optimalen Zeitpunkt für eine kieferorthopädische Behandlung nicht zu verpassen. Insbesondere Befunde, bei denen nicht nur eine dentale Anomalie vorliegt, und wenn während der Behandlung Wachstumsprozesse beeinflusst werden sollen, beispielsweise bei einer Distalbisslage mit großer Stufe, Mesialbiss, Kreuzbiss oder Bukkal/Lingualokklusion, empfiehlt sich eine frühzeitige Behandlungsplanung. Gegebenenfalls ist eine Behandlung bereits im Milchgebiss einzuleiten. So kann bei verschiedenen Anomalien der Aufwand und die Zeitdauer einer kieferorthopädischen Behandlung reduziert werden. Dadurch erübrigt sich in vielen Fällen eine Spätbehandlung, die schon zu Fehlbelastungen der Zähne, der Kiefer und des Kiefergelenks geführt haben.

Erstveröffentlichung: ZN Zahnärztliche Nachrichten Sachsen-Anhalt 07/23

Autoren: Karsten Junghanns, Dr. Annemarie Stolze und Dr. Heiko Goldbecher

Dieser Artikel ist unter dem Originaltitel „Timing ist alles – Optimaler Behandlungszeitpunkt und Überweisung zum Kieferorthopäden“ in der KN Kieferorthopädie Nachrichten 10/2023 erschienen.

Mehr Fachartikel aus Kieferorthopädie

ePaper