Kieferorthopädie 14.11.2022

Behandlung eines frontal offenen Bisses mithilfe von Alignern



Behandlung eines frontal offenen Bisses mithilfe von Alignern

Foto: Dr-medic stom. Cristina Stöcker/Dr. Maike Richter, M.Sc.

Anhand des klinischen Fallbeispiels einer 24-jährigen Patientin wird nachfolgend gezeigt, wie auch ohne Einsatz einer festsitzenden Apparatur oder Durchführen eines chirurgischen Eingriffs mittels Alignertherapie binnen kurzer Zeit ein ästhetisch wie funktionell zufriedenstellendes Ergebnis erzielt werden kann.

Bei jeder Therapieplanung ist eine korrekte Diagnose unabhängig von der gewählten Behandlungsart für eine erfolgreiche Behandlung elementar. Dazu gehören neben der Bemessung skelettaler und dentoalveolärer Strukturen auch Angewohnheiten, die zur Ätiologie des offenen Bisses beigetragen haben.

Die Ätiologie dieser vertikalen Diskrepanz ist multifaktoriell, wird durch verschiedene genetische und umweltbedingte Faktoren beeinflusst und in skelettale und dentoalveoläre Kausalitäten unterteilt. Ein Schmalkiefer kann, besonders in Kombination mit vertikalem Wachstumsmuster4, die Entstehung des offenen Bisses fördern. Ebenso können Habits einen starken Einfluss auf das Entstehen der Fehlentwicklung haben, wobei hier die Dauer des Einflusses entscheidend für das Ausmaß der Deformität innerhalb der Mundhöhle ist.4 Beispielsweise kann das Persistieren eines viszeralen Schluckmusters und die damit verbundene anteriore Positionierung der Zunge einen offenen Biss begünstigen.5,6

Bei erwachsenen Patienten sind die Behandlungsoptionen durch das abgeschlossene Wachstum naturgemäß deutlich eingeschränkt. Hier können neben kombiniert kieferorthopädisch-kieferchirurgischen nur noch dentoalveoläre Lösungsansätze verfolgt werden. Der Langzeiterfolg hängt dabei primär von der Anpassungsfähigkeit des umliegenden Weichgewebes ab.9

Sogenannte Temporary Anchorage Devices (TADs) ermöglichen es, Seitenzähne signifikant zu intrudieren und somit den offenen Biss zu behandeln.10,11 Jedoch ist dieser Prozess im Vergleich zu anderen Therapieoptionen langwieriger12 und erfordert zudem zwei minimalinvasive Eingriffe zur Insertion und Entfernung von Mini-Pins, die mit dem Risiko, umliegendes Gewebe zu verletzen, verbunden sind. Zudem gibt es häufig nur ein beschränktes Platzangebot zur Insertion und die Behandlungskosten erhöhen sich durch diese Maßnahmen erheblich.13

Der Nutzen von anterioren BoxElastics ist sehr stark von der Mitarbeit der Patienten abhängig und kann in Kombination mit Aufbissen im Seitenzahnbereich sehr gute Ergebnisse liefern. Erwachsene Patienten lehnen diese Option jedoch aus ästhetischen Gründen und aufgrund der eingeschränkten Phonetik häufiger ab und es besteht das Risiko, dass die Patienten bei unzureichender Mundhygiene Demineralisierungen der Zahnhartsubstanz entwickeln.

Der ganzheitlich-ursächliche Lösungsansatz besteht in der kombiniert kieferorthopädisch-kieferchirurgischen Behandlung, bei der auch – abhängig von der Operationstechnik – ein Gummy Smile behoben werden kann. Viele Patienten schrecken jedoch vor diesem invasiven Eingriff und der langwierigen Heilungsphase zurück.14,15

Ebenfalls lehnen Erwachsene häufig eine Therapie mit sichtbaren festsitzenden Apparaturen ab und wählen, wenn indiziert, eher eine Behandlung mit nahezu unsichtbaren herausnehmbaren Alignern.16–18 Die Nachteile dieser Therapieform sind die Notwendigkeit der Mitarbeit des Patienten, die beschränkte Möglichkeit, körperliche Zahnbewegungen durchzuführen, sowie das vergleichsweise geringe Potenzial, intermaxilläre Diskrepanzen ausgleichen zu können.19–22 Schupp und Kollegen waren unter den Ersten, die Erfolge bei anterior offenem Biss mithilfe von Fallstudien beschrieben.23

Mit dem nachfolgenden Fallbericht soll eine erfolgreiche Behandlung eines anterior offenen Bisses und die Einstellung einer funktionellen und ästhetischen Korrektur mithilfe von Alignern gezeigt werden.

Klinisches Fallbeispiel

Die 24-jährige Patientin stellte sich nach Überweisung ihres Hauszahnarztes in unserer kieferorthopädischen Praxis vor. Ihr primärer Wunsch lag in der Verbesserung der Kaufunktion. Die Patientin hatte ca. zehn Jahre zuvor eine Multibandbehandlung alio loco mit abschließenden Lingual- und Palatinalretainern bekommen.

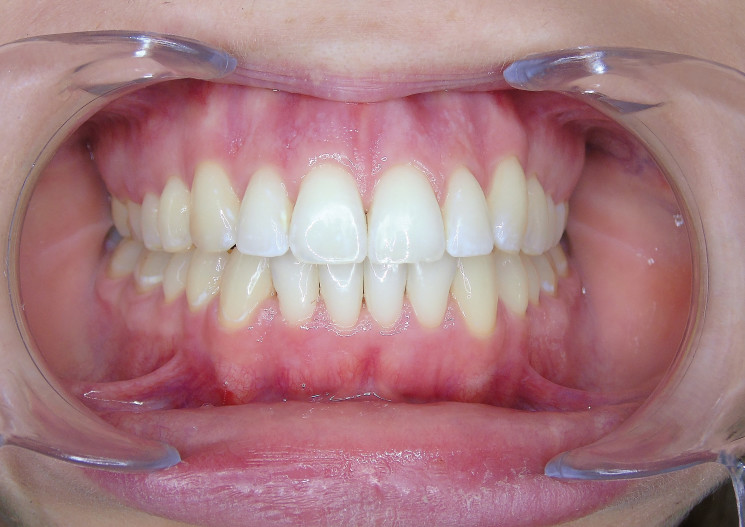
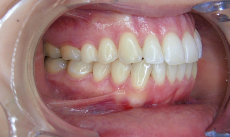
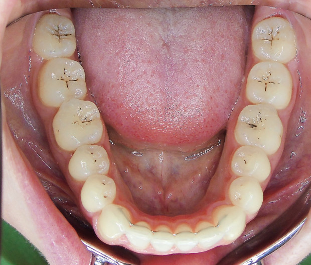
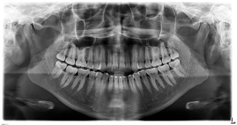
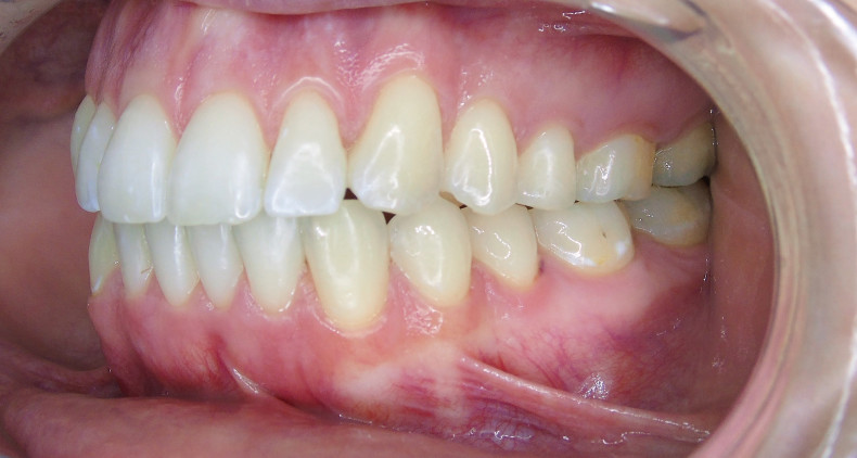
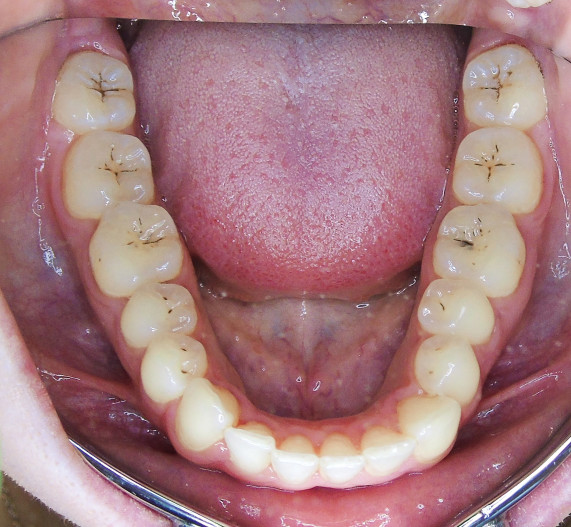
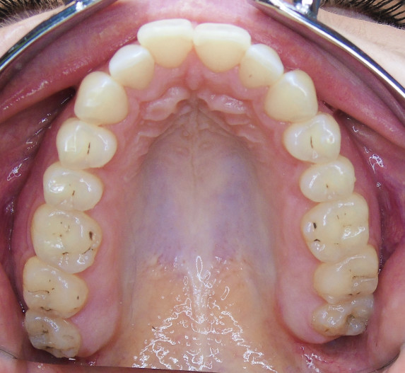
Der extraorale Befund (Abb. 1a–c) ergab ein gerades Durchschnittsgesicht mit leicht vergrößertem Nasolabialwinkel, ein symmetrisches Gesicht bei potenziell inkompetentem Lippenschluss sowie einen dolichofazialen Gesichtstyp. Intraoral lag beidseits annähernd eine Angle-Klasse I mit frontal offenem Biss (–2,5 mm) sowie ein dental-transversal zu schmaler Oberkiefer vor, woraus ein Kopfbiss von 13 und 23 resultierte. Des Weiteren zeigten sich ein persistierendes viszerales Schluckmuster und eine Inkongruenz der Kiefermitten (Abb. 2a–e; Abb. 3).

Nach Angabe der Patientin stellt die nun vorliegende Dysgnathie nicht mehr den damaligen Behandlungsabschluss dar. Es muss daher angenommen werden, dass insbesondere die bis dato persistierende Zungendysfunktion trotz orthodontischer Vorbehandlung zu der Ausprägung dieser Malokklusion geführt hat. Dieser Befund bestätigt die Bedeutung des Erkennens und die Indikation der frühzeitigen kausalen Therapie von orofazialen Dyskinesien zur kieferorthopädischen Rezidivprophylaxe.

Der Patientin wurde aufgrund der vorliegenden myofunktionellen Dysfunktion eine Verordnung zur logopädischen Therapie ausgestellt. Nur so kann bei richtiger Indikationsstellung unter Berücksichtigung der biomechanischen Grundsätze und Einbeziehung der patientenindividuellen Eigenheiten ein weitgehend vorhersagbares und dauerhaftes Behandlungsergebnis geplant werden.

Die Patientin wurde über die möglichen Therapieoptionen der kombiniert kieferorthopädisch-kieferchirurgischen oder rein festsitzenden Therapie aufgeklärt, welche sie jedoch ablehnte. Ebenso lehnte die Patientin die Extraktion von vier Prämolaren ab. Somit fiel die Wahl auf die Behandlungsoption mit Alignern (SPARKTM System, Fa. Ormco). Nachdem die Patientin logopädisch behandelt und das viszerale Schluckmuster umgestellt worden war, konnte mit der Planung des Falls begonnen werden. Aufgrund der abgelehnten Therapieoptionen entfiel die Möglichkeit der Seitenzahnintrusion und man konzentrierte sich auf die Frontzahnextrusion als primäres Behandlungsziel.

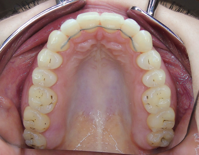
Dazu wurde die Approver 3D© Software eingesetzt, welche neben der Kronenbewegung auch die Bewegung der Wurzeln simulieren kann. Es wurden 20 Schienen und eine approximale Schmelzreduktion (ASR) an den unteren Frontzähnen zwischen 33 und 43 von je 0,3 mm geplant.

Durch sogenannte Optimized-Extrusion-Attachments wurde eine Extrusion der oberen Frontzähne von max. 2,3 mm und der unteren Frontzähne von max. 1,4 mm geplant (Abb. 4a–c). Mithilfe einer leichten Expansion der Prämolarenregion konnte der Platzmangel im Oberkiefer ohne ASR kompensiert werden.

Beim ersten Termin wurden alle Attachments geklebt. Die geplante ASR wurde bei der ersten Nachuntersuchung nach drei Wochen und somit vor der vierten Schiene durchgeführt. Es gab während der gesamten Behandlungsdauer keinerlei Komplikationen bezüglich der Alignerpassung oder der Patientenmitarbeit. Aufgrund der manuellen Nachbearbeitung der Alignerränder ergaben sich bei keiner Kontrolle Reizungen des Zahnfleischs, Verfärbungen oder Risse an den verwendeten Alignern.

Nach viereinhalb Monaten konnten die Attachments planmäßig entfernt werden.

Aufgrund der latenten Zungendysfunktion war ein stabiles Rezidivkonzept obligatorisch. Deshalb wurden in beiden Kiefern Sechs-Punkt-Retainer geklebt und zusätzliche Retentionsschienen angefertigt. Okklusion und ästhetisches Erscheinungsbild konnten relevant verbessert werden.

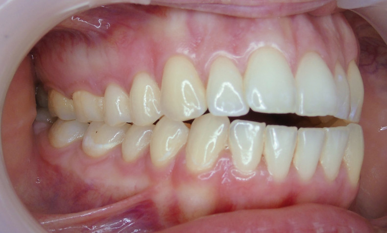
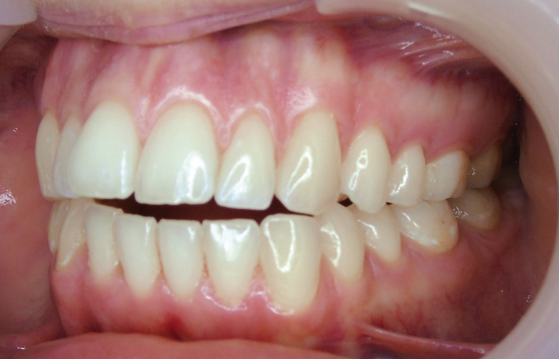
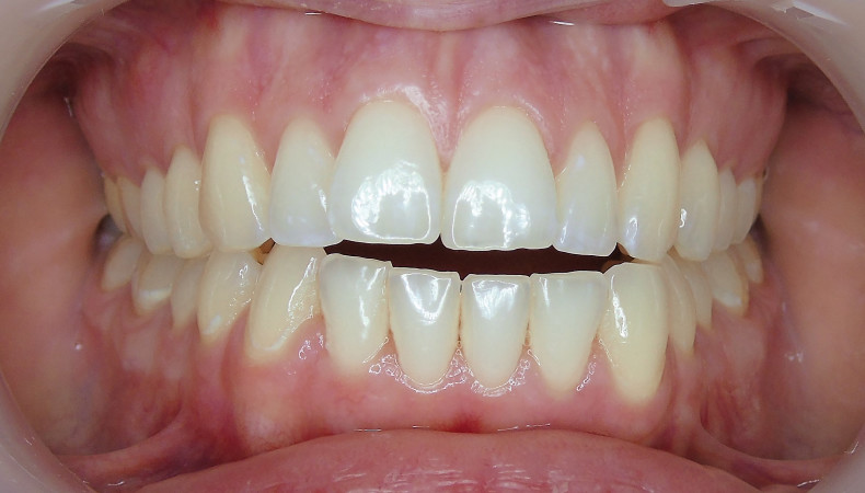
Sechs Monate nach Abschluss der Therapie besteht weiterhin ein stabiles Ergebnis. Wie im Vergleichsbild (Abb. 5a–c) zu sehen ist, konnte die geplante vertikale Korrektur vollständig erzielt und die Mittellinie bis auf eine MLV von 1 mm nach rechts im UK korrigiert werden.

Somit kann gezeigt werden, dass auch ohne operativen Eingriff oder festsitzende Apparaturen in kürzester Zeit ein ästhetisch und funktionell zufriedenstellendes Ergebnis erzielt werden kann (Abb. 6a–c; Abb. 7a–e). Es wird daher nachvollziehbar dargestellt, dass bei entsprechender Indikation Aligner für die Behandlung frontal offener Bisse eine hervorragende Alternative zu den konventionellen Behandlungsmethoden sein können. Voraussetzung für diesen Therapieansatz ist ein motivierter Patient mit guter Compliance.

Unsere Erfahrung zeigt, dass viele erwachsene Patienten ungeachtet der Zusatzkosten sehr offen für dieses klinische Vorgehen sind. Häufig wirkt die Erfahrung des stattgefundenen Rezidivs als ein zusätzlicher Motivator. Grundsätzlich sollte bei bestimmten Fehlstellungen das Augenmerk auf die kausalen myofunktionellen Dysbalancen gelegt werden und diese als Rezidivprävention gleichzeitig oder vor der kieferorthopädischen Therapie mitbehandelt werden.

Moderne Behandlungssysteme mit minimalen ästhetischen Einschränkungen während des Therapieverlaufs und einer kürzeren Behandlungszeit finden bei Patienten jeder Altersgruppe immer mehr Zuspruch.

Wir haben in unseren Praxen festgestellt, dass das SPARKTM-Alignersystem eine attraktive Option für unsere ästhetisch-anspruchsvollen Behandlungen ist und durch vorhersagbare Zahnbewegungen bei einer geringen Anzahl notwendiger Aligner im klinischen Alltag vielen Herausforderungen gerecht werden kann.

Eine Literaturliste finden Sie hier zum Download.

Der Beitrag ist in der KN Kieferorthopädischen Nachrichten erschienen.

Mehr Fachartikel aus Kieferorthopädie

ePaper