Kieferorthopädie 28.01.2016

Mechanische Strategien zur Verbesserung der Behandlungsstabilität offener Bisse



Mechanische Strategien zur Verbesserung der Behandlungsstabilität offener Bisse

Foto: © Autor

Ein Beitrag von Prof. Dr. Guilherme Janson, Direktor der Abteilung Kieferorthopädie der Bauru Dental School der Universität Sao Paulo/Brasilien, und Prof. Dr. Fabrício Valarelli von der Ingá Dental School in Maringá/Brasilien sowie Koordinator des Orthodontic Specialty Program des Dental Post-Graduate Institute in Bauru/Sao Paulo.

In der Behandlung von Milchzahn- und Wechselgebissen muss die Therapie und Stabilität eines frontal offenen Bisses anders angegangen werden als im bleibenden Gebiss, da die dentoskelettale Reaktion auf die Behandlung und die Stabilität anders sind.16

Behandlung im Milchzahn- und Wechselgebiss

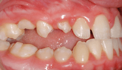
Die Behandlung im Milchzahn- und Wechselgebiss kann wie folgt zusammengefasst werden: Vor einem Alter von fünf Jahren sollten keine Apparaturen eingesetzt werden. Es wird lediglich eine Belohnungsstrategie empfohlen, d.h. vorzuschlagen, die Gewohnheit des Daumen- oder Schnullerlutschens gegen ein Spielzeug einzutauschen, das das Kind haben will.9 Ab einem Alter von fünf Jahren muss die Gewohnheit mithilfe einer Gaumenklammer oder Zungenspornen abgewöhnt werden.19 Wenn aufgrund einer Nasenblockade ein Mundatmungsproblem besteht, sollte das Kind zur Behandlung an einen Hals-Nasen-Ohren-Facharzt überwiesen werden. Nach Schließung des offenen Bisses sollte eine Sprach- oder Muskelfunktionsbehandlung eingeleitet werden, wenn die oralen Funktionsprobleme nach der Formungskorrektur nicht abklingen.23 Bei der Verwendung einer Gaumenklammer oder von Zungenspornen schließt sich der Biss, da die mechanischen Hindernisse, die der Daumen oder Schnuller und das falsche Zungenpressen bzw. die falsche Zungenstellung darstellten, beseitigt wurden und die Frontzähne wieder zu ihrer normalen vertikalen Entwicklung zurückfinden20 (Abb. 1a, b). Die klinische Stabilität der Behandlung beträgt nahezu 100 %6,11 und daher besteht kein Bedarf für eine zusätzliche Strategie zur Verbesserung. Die klinische Stabilität bezieht sich auf den Prozentsatz der Patienten, die langfristig einen positiven Überbiss haben.

Behandlung im bleibenden Gebiss

Non-Extraktionsbehandlung

Es muss eine Differentialdiagnose durchgeführt werden, um zu entscheiden, ob der offene Biss mittels Extrusion der anterioren Zähne oder Intrusion der posterioren Zähne geschlossen werden soll. Wenn beim Lächeln die Schneidezähne im Oberkiefer unzureichend zu sehen sind, ist eine Behandlung mittels Extrusion der anterioren Zähne zu bevorzugen. Andererseits ist eine Intrusion der posterioren Zähne zu bevorzugen, wenn sich die Schneidezähne im Oberkiefer normal bis übermäßig darstellen.16 Die klinische Stabilität durch Extrusion der anterioren Zähne mit intermaxillären vertikalen Gummizügen beträgt 61,9 %.12 Diese klinische Stabilität wurde jedoch bei Patienten erreicht, bei denen keine Bemühungen unternommen wurden, den Überbiss zu überkorrigieren oder die posterioren Zähne absichtlich aufzurichten; es wurden keine aktive Retention oder begleitende Gaumenklammern oder Zungensporen verwendet, und die Muskelfunktionstherapie wurde nicht beurteilt. Daher sind die mechanischen Strategien, die verwendet werden können, um diesen Grad der klinischen Stabilität zu verbessern, die folgenden:

1. Differenzierte Positionierung der vorderen Brackets

Die Brackets an den Frontzähnen, insbesondere an den Schneidezähnen, sollten mehr zervikal geklebt werden, um die Schließung eines offenen Bisses zu begünstigen (Abb. 2).1 Außerdem ermöglicht die zervikalere Positionierung der Brackets an den Schneidezähnen im Unterkiefer eine größere Überkorrektur. Die Überkorrektur ist im Allgemeinen ein Verfahren zur Verbesserung der Behandlungsstabilität.

2. Mesial angulierte Attachments an den posterioren Zähnen

Bei Patienten mit frontal offenem Biss können die hinteren Zähne mesial anguliert sein (Abb. 3).16,18 Daher sollten die Attachments um etwa 3 Grad anguliert sein, um eine Korrektur dieses mesialen Winkels zu unterstützen. Wenn anteriore intermaxilläre Gummizüge zum Schließen des Bisses verwendet werden, richten die Kräfte, die über den Bogen auf die posterioren Zähne übertragen werden, diese auf und tragen somit zur Schließung des frontal offenen Bisses bei; es wird erwartet, dass dies die Behandlungsstabilität verbessert.

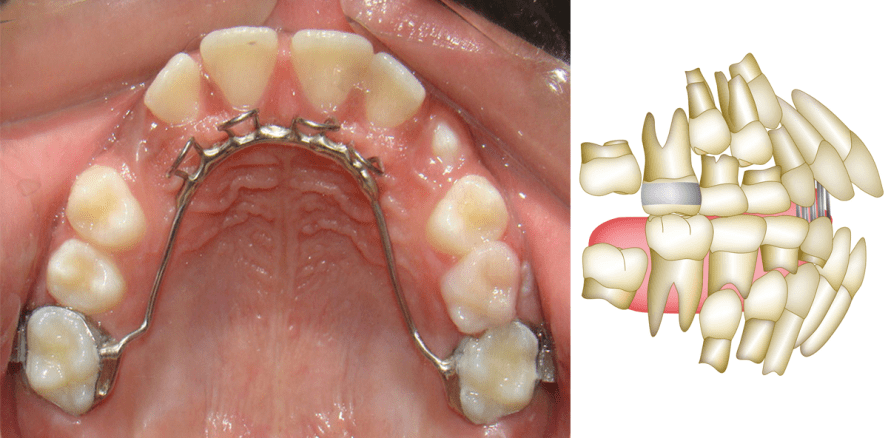
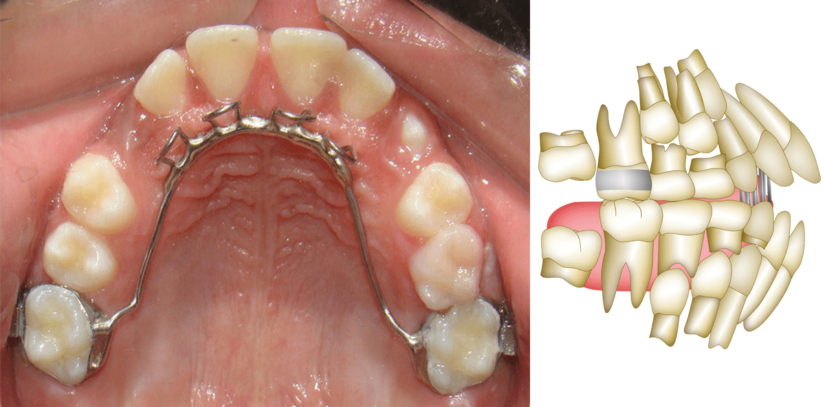
3. Begleitende Verwendung einer Gaumenklammer oder von Zungenspornen während der Behandlung

Die Gaumenklammer beseitigt anhaltende schädliche orale Gewohnheiten sowie das Stoßen und die Positionierung der Zunge zwischen den Frontzähnen (Abb. 4).11,17 Dies verbessert die Effizienz der Behandlungsmechanik mit den Gummizügen, indem die Faktoren beseitigt werden, die das Schließen des Bisses verhindern. Die Zungensporne haben eine ähnliche Wirkung und konditionieren die Zunge dazu, eine weiter hinten gelegene Ruhestellung einzunehmen. Da anormalen Muskelfunktionen beim Wiederauftreten eines offenen Bisses als wichtige Faktoren angesehen werden, hilft die Verwendung dieser Apparaturen, die Muskelfunktion begleitend während der Behandlung zu korrigieren und somit zur Verbesserung der Stabilität der Behandlung eines offenen Bisses beizutragen.

4. Aktive Retention

Eine aktive Retention kann entweder während oder nach der Behandlung durchgeführt werden (Abb. 5 und 6).16 Während der Behandlung müssen die intermaxillären anterioren Gummizüge, nachdem der Biss damit geschlossen wurde, weiterhin vier Monate lang 18 bis 20 Stunden pro Tag verwendet werden, um die Knochenbildung in der Alveole zu ermöglichen. Nach diesem Zeitraum wird eine zusätzliche Frist von durchschnittlich acht Monaten mit weiterer Verwendung der Gummizüge empfohlen. Der Umfang der täglichen Verwendung der Gummizüge wird in dieser Frist nach und nach reduziert. Nach der Behandlung kann ein modifizierter Hawley-Retainer mit Zungenklammer und posterioren Bite Blocks verwendet werden. Durch die Zungenklammer wird ein Vorstoßen und die Positionierung der Zunge zwischen den Frontzähnen verhindert. Die posterioren Bissblockaden beschränken die vertikale Entwicklung der posterioren Zähne, was beitragende Faktoren für ein Wiederauftreten eines offenen Bisses bei heranwachsenden Patienten sind. Auch wenn Einigkeit besteht, dass die aufgeführten Verfahren die Behandlungsstabilität erhöhen, müssen sie immer noch untersucht werden. 

5. Muskelfunktionstherapie

Beim bleibenden Gebiss ist es schwieriger, die Muskelfunktion nur mit einer kieferorthopädischen Therapie zu verbessern. Daher sollte nach der Behandlung eine Muskelfunktionsbeurteilung erfolgen. Wenn der Patient immer noch eine anormale Muskelfunktion zeigt, sollte er/ sie zur Korrektur des Problems an einen Logopäden verwiesen werden. Es ist gezeigt worden, dass kieferorthopädische Patienten mit offenem Biss, die eine Muskelfunktionstherapie absolviert haben, eine größere Stabilität zeigen als jene, die dies nicht getan haben.21

6. Verknüpfung der Behandlungsverfahren

Alle erwähnten Verfahren können miteinander verknüpft werden, um die Behandlungsstabilität zu erhöhen. Außerdem ist die okklusale Adjustierung ein weiteres Verfahren, das zur Behandlung von rückfälligen Patienten mit offenem Biss eingesetzt werden kann. Folglich wird die Stabilität zunehmen, wenn bei Rückfällen einer der Behandlungsansätze für offene Bisse mit der okklusalen Adjustierung verknüpft wird. Ein klinischer Fall illustriert die Verwendung von einigen dieser Verfahren (Abb. 7).

Extraktionsbehandlung

Bei der Extraktionsbehandlung muss die gleiche Differentialdiagnose verwendet werden wie bei der Non-Extraktionsbehandlung. Bei der Extraktionsbehandlung können zwei zusätzliche mechanische Verfahren helfen, den frontal offenen Biss zu schließen; diese sind das Zugbrücken-Prinzip und die Mesialisation der posterioren Zähne.2,13 In einigen Fällen sind die Frontzähne labial geneigt, sodass eine Retraktion der vorderen Zähne diesen Zähnen ermöglicht, sich lingual zu neigen, was einer Zugbrücke ähnelt (Abb. 8). Mit diesem Verfahren kann der frontal offene Biss reduziert werden, ohne die Frontzähne zu extrudieren. Wenn der offene Biss stark ausgeprägt ist, wird der Abschluss mithilfe intermaxillärer frontaler Gummizüge erreicht. In vielen Fällen kann durch eine Extraktion den posterioren Zähnen ermöglicht werden, bis zu einem gewissen Grad zu mesialisieren. Dieses Verfahren ermöglicht eventuell eine gewisse mandibuläre Rotation gegen den Uhrzeigersinn oder verhindert zumindest eine Rotation im Uhrzeigersinn, was die Korrektur des offenen Bisses unterstützt (Abb. 9).

Die klinische Stabilität von Extraktionsfällen, die durch Extrusion der Frontzähne mithilfe intermaxillärer vertikaler Gummizüge behandelt werden, unterstützt bzw. nicht unterstützt durch das Zugbrückenprinzip und/oder die Mesialisierung der posterioren Zähne, beträgt 74,2 %.7 Wie auch bei der Non-Extraktionsbehandlung wurde diese klinische Stabilität jedoch bei Patienten erreicht, bei denen keine Bemühungen erfolgten, den Überbiss überzukorrigieren oder die posterioren Zähne absichtlich aufzurichten. Es wurden keine aktive Retention oder gleichzeitige Gaumenklammern oder Zungensporne verwendet; zudem wurde eine Muskelfunktionstherapie nicht beurteilt. Daher können die gleichen mechanischen Strategien, die bei der Non-Extraktionsbehandlung verwendet werden, bei der Extraktionsbehandlung verwendet werden, um dieses Ausmaß der klinischen Stabilität zu verbessern. Behandlung mittels Instrusion der posterioren Zähne Wenn die Differentialdiagnose eine normale bis übermäßige Freilegung der oberen Schneidezähne beim Lächeln zeigt, muss die Behandlung mittels Intrusion der posterioren Zähne erfolgen.4,8 Die Intrusion der posterioren Zähne ermöglicht eine mandibuläre Rotation gegen den Uhrzeigersinn, und der frontal offene Biss wird geschlossen (Abb. 10). Die Behandlung kann entweder mit oder ohne Extraktion erfolgen, abhängig von den üblichen diagnostischen Faktoren wie dem Ausmaß des Engstands, der Protrusion der Frontzähne, der Schwere des offenen Bisses und der Gesichtsstruktur, um hier nur die wichtigsten zu nennen.3,13 Eine Molarenintrusion zeigt eine Rückfallquote von 20 bis 30 %,4,8,22 was darauf hinweist, dass eine Überkorrektur in Verbindung mit den anderen bereits erwähnten Verfahren erforderlich ist.

Kieferorthopädisch-chirurgische Behandlung

Diese Art der Behandlung eines offenen Bisses ist indiziert, wenn ein ausgeprägtes skelettales Problem besteht, das nicht empfänglich für eine allein kieferorthopädische Behandlung ist.5 Die klinische Stabilität beim kieferorthopädisch-chirurgischen Ansatz beträgt 82 %.10 Die mechanischen Strategien, die zur Verbesserung dieses Grads der klinischen Stabilität verwendet werden können, sind die unter den Nummern 4, 5 und 6 aufgeführten. Zusätzlich sollte eine ausschließlich maxilläre oder bimaxilläre Operation bevorzugt werden, um eine höhere klinische Stabilität sicherzustellen. Eine differenzierte Positionierung von Frontzahnbrackets und mesial angulierter posteriorer Attachments sind üblicherweise nicht indiziert, da sie eine dentale Korrektur erforderlich machen könnten und damit die skelettale Korrektur durch die Operation verhindern. Begleitend können in ausgewählten Fällen während der Behandlung Gaumenklammern oder Zungensporne verwendet werden.

Behandlung mit okklusaler Adjustierung

Eine Behandlung mit okklusaler Adjustierung ist üblicherweise bei der Therapie von erneut auftretenden offenen Bissen indiziert, wenn ein geringes Ausmaß des offenen Bisses und korrekte transversale und sagittale Beziehungen vorliegen.14 Jedoch beträgt die klinische Stabilität selbst mit diesem Verfahren 66,7 %. Der Relapse geschieht, um das physiologische Gleichgewicht zwischen den eruptiven Kräften und Kaukräften wiederherzustellen. Heranwachsende Patienten neigen stärker zu einem Relapse.15 Zur Verbesserung der Stabilität mit diesem Verfahren sollte nachfolgend eine Muskelfunktionstherapie erfolgen.

Fazit

Aufgrund des Grades des klinischen Relapses in der Behandlung offener Bisse im bleibenden Gebiss sollten zusätzliche mechanische Strategien und Verfahren verwendet werden, um die Stabilität zu verbessern.

Die Literaturliste kann hier heruntergeladen werden.

Mehr Fachartikel aus Kieferorthopädie

ePaper