Kieferorthopädie 14.10.2015
Ätiologie und Behandlung von posterior offenen Bissen
share
Der folgende Beitrag basiert auf dem Lehrbuch „Orthodontics in the Vertical Dimension: A Case-Based Review“ von Southard, Marshall und Bonner. Dieses Buch wird auch als „kieferorthopädische Mini-Facharztausbildung“ bezeichnet. Wir danken insbesondere dem Verlag John Wiley & Sons, Inc., für die Erlaubnis, diese Materialien zu benutzen.
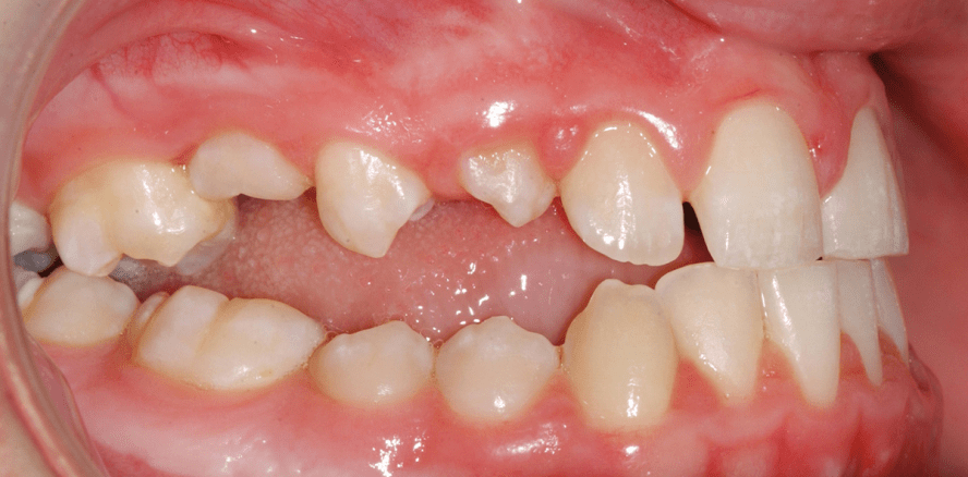
Das Ziel dieses Artikels ist die Erörterung der Ätiologie, der Behandlung und der Behandlungsstabilität posterior offener Bisse. Jay ist ein 15-jähriger männlicher Patient (Abbildung 1), der mit der folgenden vorrangigen Beschwerde bei uns vorstellig wurde: „Meine Backenzähne berühren sich nicht und deswegen fällt mir das Kauen sehr schwer.“ Die vorherige Krankengeschichte des Patienten war nicht beitragend, die bisherige Zahnkrankengeschichte war normal, seine Kiefergelenke asymptomatisch mit Übereinstimmung der zentrischen Relationsposition und zentrischen Okklusionsposition.
In der vertikalen Dimension stellten wir fest, dass Jays obere zentrale Schneidezähne in Okklusion und der distale Anteil der oberen ersten Molaren in Okklusion standen,während seine oberen seitlichen Schneidezähne, Eckzähne, Prämolaren und die Mesialhöcker seiner ersten Molaren jedoch nicht in Okklusion waren. Auch wenn es auf der Frontalsicht erscheint, als hätte der Patient eine lange untere vordere Gesichtshöhe (Lower Anterior Facial Height, LAFH) (Abb. 1a, Weichteil-Glabella-Subnasal < Subnasal-Weichteil-Menton), scheint er in der Profilansicht (Abb. 1c) eine normale LAFH zu haben, und seine Lippen sind kompetent. Das Verhältnis seiner unteren skelettalen Gesichtshöhe zur Gesamtgesichtshöhe (ANS-Menton/Nasion-Menton) war ein wenig größer als normal (LAFH/TAFH = 57%), aber sein Unterkieferebenenwinkel war im Normalbereich (FMA = 27°; SNMP = 32°). Also war Jay insgesamt vertikal normal, jedoch wies er einen beidseitigen posterior offenen Biss auf.
Posterior offene Bisse können die Kaufähigkeit nachteilig beeinflussen, und ohne die Okklusionsunterstützung der hinteren Zähne können die vorderen Zähne eine vorzeitige Abnutzung erleiden. Daher sollten posterior offene Bisse korrigiert werden. Die klinische Erfahrung zeigt jedoch, dass ein posterior offener Biss eines der am schwierigsten zu korrigierenden kieferorthopädischen Probleme sein kann, wenn nicht sogar das schwierigste. Je nach Ätiologie und Behandlungsansatz ist es wichtig, den Patienten mitzuteilen, dass es eventuell nicht möglich sei, ihren posterior offenen Biss zu schließen oder geschlossen zu halten. Lassen Sie uns die möglichen Ursachen für posterior offene Bisse aufführen und die Ätiologie von Jays offenem Biss bestimmen:
- Interpositionelle Zungengewohnheiten: Wie bei (funktionellen) anterior offenen Bissen können interpositionelle Zungengewohnheiten die Eruption von Zähnen verhindern und posterior offene Bisse verursachen. Wenn Sie vermuten, dass ein Patient eine interpositionelle Zungengewohnheit hat (üblicherweise ein posterior offener Biss mit einer klassischen „Football“-Form, Abbildung 2a), fordern Sie ihn auf, seine Augen zu schließen und sich zu entspannen. Sprechen Sie während dieser Zeit kurz mit seinen Eltern oder Ihrer Zahnarzthelferin. Bitten Sie dann den Patienten, die Augen zu öffnen (um ihn abzulenken), während Sie schnell und sanft seine Lippen auseinanderziehen (Abbildung 2b). Wenn er eine interpositionelle Zungengewohnheit hat, sollten Sie diese beobachten können. Der Umstand, dass die linke und rechte Bissöffnung von Jay (Abbildungen 1g und 1i) eine klassische „Football“-Form haben, sollte Sie veranlassen, zu vermuten, dass eine interpositionelle Zungenhaltungsgewohnheit seine hinteren Zähne an der Eruption hindert.
- Fingerinterpositionsgewohnheiten: Jay streitet derartige Gewohnheiten ab.
- Vorübergehender posterior offener Biss nach normalem Ausfall der Milchmolaren, aber bevor die bleibenden Zähne Zeit hatten, bis zur Okklusion mit der gegenüberliegenden Dentition durchzubrechen: Dies scheint nicht die Ursache für Jays posterior offenen Biss zu sein.
- Platzmangel für die vollständige Zahneruption (Verdrängung von Zähnen): Auch dies scheint nicht die Ursache für den posterior offenen Biss des Patienten zu sein.
- Rapides Klasse III-Wachstum, das zu einer Kante-auf-Kante-Schneidezahnstellung führt: Dieses Wachstum könnte unter Umständen einen posterior offenen Biss entstehen lassen (Abbildungen 3a und b), insbesondere in Gegenwart eines sehr verengten Oberkiefers (die Zunge muss irgendwo Platz haben). Dies könnte eine Ursache oder ein Zusatzfaktor bei Jays posterior offenem Biss sein.
- Einige Therapien für Schlafapnoe (z.B. ein mandibuläres Protrusionsgerät): Dies ist bei Jay nicht der Fall.
- Systemische Faktoren bei Patienten mit bestimmten Syndromen wie etwa kleidokraniale Dysplasie, ektodermale Dysplasie, Gardner-Syndrom und Apert-Syndrom: Auch dies ist beim Patienten nicht der Fall.
- Ankylose der Zähne, was ihre vollständige Eruption bis zur Okklusion verhindert: Dies könnte eine beitragende Ätiologie zu Jays rechtem posterior offenen Biss sein. Beachten Sie, wie in den Abbildungen 1f und 1g erkennbar, dass der rechte obere zweite Milchmolar keinen Nachfolger hat und ankylosiert zu sein scheint (es besteht eine Stufe in der Ebene der Knochenkammhöhe des Alveolarfortsatzes zwischen dem zweiten Milchmolaren und den angrenzenden bleibenden Zähnen, die darauf hinweist, dass der zweite Milchmolar aufgehört hat, durchzubrechen).
- Primäre Zahneruptionsstörung (Primary failure of eruption, PFE): Eine Störung im Eruptionsmechanismus führt dazu, dass die Zähne nicht bis zur Okklusion durchbrechen. Eine nicht syndromale PFE zeigt ein autosomal-dominantes Erbmuster mit einem gut charakterisierten Typ infolge einer Mutation im PTHR1-Gen. Unser Wissen über diese Krankheit ist in der Entwicklung begriffen, genetische Untersuchungen sind wichtig, wenn ein Verdacht auf PFE besteht, und andere Eruptionsanomalien werden in Zukunft sicher identifiziert werden. PFE ist wahrscheinlich nicht die Ursache für Jays posterior offenen Biss. Warum? Wenn seine Prämolaren beteiligt gewesen wären, wären seine Molaren üblicherweise beteiligt. Tatsächlich ist dies ein wesentliches Unterscheidungsmerkmal zwischen primärer Zahneruptionsstörung und Zahnankylose – wenn die Ankylose den ersten Molaren an der Eruption gehindert hat, zeigt eine Serie von Röntgenbildern in Längsrichtung bei einem Jugendlichen üblicherweise die Eruption des zweiten Molaren. Lassen Sie uns wiederholen, die Zeichen von PFE sind unter anderem:
| a | Die posterioren Zähne sind häufiger betroffen. | |
| b | Wenn ein Zahn in einer weiter vorn befindlichen Position betroffen ist, sind die weiter hinten gelegenen Zähne üblicherweise ebenfalls beteiligt (d.h. wenn die Prämolaren betroffen sind, ist es wahrscheinlich, dass die Molaren ebenfalls beteiligt sind). | |
| c | Die ersten Molaren sind immer beteiligt und ohne offensichtliche Behinderung der Eruption präsent (100% für genetisch bestätigte PFE). | |
| d | Sowohl Milchzähne als auch bleibende Zähne können betroffen sein. | |
| e | Die Erkrankung ist oft beidseitig (50/50 für PFE-Patienten gegenüber 80/20 einseitig/beidseitig für Ankylose). | |
| f | Zähne in beiden Zahnbögen sind oft betroffen (91% bei Patienten mit genetisch bestätigter PFE). | |
| g | Die betroffenen Zähne resorbieren den Alveolarknochen über der Krone, können zur erstmaligen Okklusion durchbrechen und dann nicht weiter durchbrechen oder brechen möglicherweise überhaupt nicht durch. | |
| h | Betroffene Zähne können mit manuellem Druck nach hinten und vorn verschoben werden (was zeigt, dass sie zuerst nicht ankylosiert sind). Die betroffenen Zähne neigen jedoch dazu, zu ankylosieren, sobald kieferorthopädisch eruptive Kräfte angewandt werden. | |
| i | Wenn ein kleiner Bereich der Ankylose durch Manipulierung des ankylosierten Zahns aufgebrochen wird, ist es vielleicht möglich, den Zahn kurzzeitig zu bewegen, aber eine erneute Ankylose ist unvermeidbar. | |
| j | Andere begleitende skelettale Anomalien (Klasse III-Malokklusion bei 63% der genetisch bestätigten PFE-Patienten) und der dentalen Anomalien (Zahnunterentwicklung, Mikrodontie der oberen seitlichen Schneidezähne, anormale Wurzelmorphologie) können vorliegen. |
Lassen Sie uns als Nächstes die Behandlung posterior offener Bisse betrachten. Anterior offene Bisse können auf eine von zwei Arten behandelt werden: Eruption der vorderen Zähne (wird üblicherweise bei dentalen/funktionalen anterior offenen Bissen vorgenommen, in denen die normale Eruption der vorderen Zähne durch eine Gewohnheit behindert wurde) oder Intrusion der hinteren Zähne (wird üblicherweise bei skeletal anterior offenen Bissen vorgenommen).
Posterior offene Bisse werden hingegen nur durch „Eruption“ der hinteren Zähne behandelt. Diese Eruption der hinteren Zähne könnte durch folgende Maßnahmen erreicht werden: Beseitigung der Zungeninterpositionsgewohnheit, erzwungene Eruption der hinteren Zähne (mit vertikalen Gummizügen oder durch die Eruption der unteren posterioren Zähne während eines Ausgleichs der Spee-Kurve), chirurgisches Downgrafting oder Distraktion posteriorer Zahnsegmente oder Zahnersatzbehandlung (Okklusionskompositaufbau, Kronen, Implantate mit verlängerten Kronen oder herausnehmbare Overlay-Teilgebisse).
Welche speziellen Behandlungen würden Sie zum Schließen eines posterior offenen Bisses empfehlen? Dies ist wie folgt von der Ätiologie abhängig:
- Interpositionelle Zungengewohnheit: Die Behandlung zielt darauf ab, die Angewohnheit zu beheben und die Eruption der Zähne zu ermöglichen. (Hinweis: Es ist immer wichtig, vorherzusagen, ob eine Behandlung zur Reduzierung des Zungenraums die Atmung behindern wird, indem die Zunge auf den Rachen zubewegt wird, insbesondere, wenn der Patient schläft. Bestimmen Sie die Vorgeschichte hinsichtlich Schnarchen und Schlafapnoe und ziehen Sie ggf. eine Überweisung für eine Schlafstudie in Betracht, soweit angemessen.) Optionen sind unter anderem:
| – | Das Einbeziehen von Loops zur Blockierung der Zunge als Teil eines herausnehmbaren Retainers (Abbildung 4a und b) oder Loops, die an einen unteren lingualen Haltebogen geschweißt sind. | |
| – | Aufforderung des Patienten, einen Zahnpositioner zu tragen (Abbildungen 4c bis e). | |
| – | Wenn festsitzende kieferorthopädische Apparaturen eingebracht wurden, kann der Patient veranlasst werden, vertikale Über-Kreuz-Gummizüge zwischen den Zahnbögen zu tragen (Abbildungen 4f und g). Mit Gummizügen über Kreuz wird die Zunge aus dem posterior offenen Biss ferngehalten, die bukkal-lingualen und lingual-bukkalen Kräfte auf beiden Seiten der Bögen eliminieren transversale Effekte, womit nur vertikale Effekte verbleiben, und der vertikale Teil der Kraft durch die Gummizüge bringt die hinteren Zähne zur Eruption, um den offenen Biss zu schließen. |
- Fingerlutschgewohnheit: Besprechen Sie mit dem Patienten die Notwendigkeit, mit der Angewohnheit aufzuhören, damit die hinteren Zähne in Okklusion durchbrechen können. Eine Oberkieferklammer kann effektiv darin sein, vom Lutschen an einem Finger abzuhalten, indem sie verhindert, dass der Finger den Gaumen berührt. Aber einige Patienten können ihren Finger um die Vorrichtung herum manövrieren und dennoch mit der Angewohnheit fortfahren. Eine Oberkieferklammer mit geschweißten Sporen kann diese Patienten oft von der Angewohnheit abhalten. Ein Daumenschutz/eine T-Guard-Vorrichtung (Abbildung 5) kann hierbei hilfreich sein, auch wenn dies die Unterstützung der Eltern erfordert.
- Vorübergehender posterior offener Biss nach normalem Ausfall der Milchmolaren: Es ist üblicherweise keine Behandlung erforderlich. Der offene Biss schließt sich mit Eruption der bleibenden Zähne.
- Rapides Klasse III-Wachstum, mangelnder Platz für einen Zahndurchbruch oder ein sehr eingeschränkter Oberkiefer: Kann durch Korrektur der Klasse III-Beziehung kieferorthopädisch behandelt werden, durch die Schaffung von Raum für die Eruption der Zähne oder Erweiterung des Oberkiefers.
- Primäre Eruptionsstörung und Ankylose der posterioren Zähne:
| – | Bei leichten Fällen Restauration der betroffenen Zähne mit Aufbauten oder Kronen nach Beendigung des vertikalen Wachstums. | |
| – | Bei mittelschweren Fällen Extraktion der betroffenen Zähne und Ersatz durch Knochentransplantate, gefolgt von Zahnimplantaten und Kronen (Abbildung 6a bis c). | |
| – | Bei Beteiligung von ersten und zweiten Molaren werden die betroffenen Zähne belassen und eine Prämolarokklusion wird akzeptiert (Abbildungen 7a und b). | |
| – | Segmentäre Osteotomie oder Distraktionsosteogenese zur Schließung des posterior offenen Bisses. | |
| – | Eine herausnehmbare (Overlay-)Teilprothese (RPD) zur Herstellung der posterioren Okklusion (Abbildungen 8a bis c). |
Ist die Schließung eines posterior offenen Bisses stabil? Studien zur Klärung dieser Frage fehlen in der Literatur. Der Spruch „Das Schließen eines posterior offenen Bisses und die Aufrechterhaltung der Schließung ist möglicherweise das schwierigste Problem, dem sich ein Kieferorthopäde gegenüber sehen kann“ ist ein Zeichen für die Schwierigkeit, die Stabilität eines behandelten posterior offenen Bisses aufrecht zu erhalten. Die klinische Erfahrung weist darauf hin, dass eine Eliminierung der Zungeninterposition bei Fällen, die durch eine Zungenangewohnheit verursacht wurden, mit Sicherheit der Schlüssel zur Stabilität ist. Ohne Eliminierung der Gewohnheit sind alle Behandlungen eines posterior offenen Bisses zum Scheitern verurteilt. Unserer Erfahrung nach sind Fälle von posterior offenen Bissen, die durch die Verwendung von Zahnimplantaten und Kronen geschlossen wurden, stabil.
Fazit
Zusammenfassend ist das Kennzeichen eines posterior offenen Bisses ein Okklusalkontakt der vorderen Zähne, aber mangelnder Okklusalkontakt der hinteren Zähne. Der Patient ist anderweitig in vertikaler Richtung normal. Posterior offene Bisse sind Folge einer Reihe von Ursachen, darunter unter anderem: interpositionelle Zungengewohnheiten, Fingerinterpositionsgewohnheiten, vorübergehende posterior offene Bisse infolge normalen Zahnausfalls der Milchmolaren, aber bevor die bleibenden Zähne Zeit hatten, in Okklusion durchzubrechen, Ankylose der hinteren Zähne, die ihren vollständigen Durchbruch in Okklusion verhindern; Mangel an Platz für vollständige Zahneruption (Blockierung von Zähnen), systemische Faktoren bei Patienten mit bestimmten Syndromen, primäre Eruptionsstörung und Klasse III-Wachstum, das zu einer Stellung der Schneidezähne Kante-auf-Kante, insbesondere in Gegenwart eines schwer eingeschränkten Oberkiefers.
Die Behandlung von posterior offenen Bissen besteht aus der Eruption der hinteren Zähne, bis sie die Okklusion erreichen. Wenn eine Angewohnheit den offenen Biss verursacht hat, muss diese Angewohnheit abgelegt werden. Eine kieferorthopädische Eruption der hinteren Zähne kann den Einsatz festsitzender Apparaturen in Kombination mit posterior vertikalen Gummizügen einschließen oder ein Ausgleich einer Spee-Kurve mittels Bogendrähte. Eine chirurgische Eruption kann unter anderem eine segmentale maxilläre Downgraft-Osteotomie oder eine Distraktionsosteogenese beinhalten. Natürlich können zahnärztliche Prothetikbehandlungen (Aufbauten, Kronen, Implantationsersatz mit verlängerten Kronen oder Overlay-RPDs) posterior offene Bisse schließen, was man auch als eine andere Form der posterioren Zahneruption ansehen kann.
Das Schließen eines posterior offenen Bisses und Aufrechterhaltung der Schließung ist möglicherweise das schwierigste Problem, mit dem sich ein Kieferorthopäde auseinander zu setzen hat. Sagen Sie Ihrem Patienten, dass Sie möglicherweise nicht in der Lage sind, den Biss zu schließen oder geschlossen zu halten. Sagen Sie ihm, dass er Rückfälle und einen möglichen Bedarf für eine Wiederholung der Behandlung erwarten sollte. Sorgen Sie dafür, dass Ihr Patient sein Leben lang bei Ihnen in Kontrolle bleibt.