Laserzahnmedizin 28.02.2011
Schmerzfrei dank Laser und Chlorhexidin
share
Dr. Alexander Bär verfügt über mehr als 17 Jahre praktische Erfahrung mit Dentallasern und gehört damit zu den Pionieren unter den Mitgliedern der Deutschen Gesellschaft für Laserzahnheilkunde. Als Laserexperte referiert er in Seminaren und Schulungen wie auch bei internationalen Messen und Kongressen. Dr. Bär setzt den Laser zunehmend in der Parodontologie ein, um seinen Patienten eine schmerzarme Alternative zum chirurgischen Eingriff anzubieten.
Die Nd:YAG-Laserbehandlung als unterstützender Einsatz in der Parodontaltherapie dient der Reduzierung der Keime und der Erleichterung der Plaqueentfernung (Trocknung der Plaque). Dabei macht man sich die weichgewebeabtragenden und bakterientötenden Eigenschaften des Laserlichtes zunutze.
Die Vorteile:
- Minimalinvasives Verfahren
- Deutliche Keimreduktion im Bereich des Wurzelkanals und der Parodontaltasche
- Kurze Behandlungszeit
- Quasi blutungsfreies OP-Feld
- Keine Nachblutungen
- Schmerzarm
- Gute Wundheilung
- Reduzierung der Ansteckungsgefahr von einem betroffenen Zahn auf den Nachbarzahn.
Im Anschluss an die Laserbehandlung folgt noch die Zahnsteinentfernung per Kürette sowie per Ultraschall mit einem Vektorgerät. Da die meisten Patienten Angst vor einer langwierigen Lappen-OP haben, sind sie zumeist dankbar, wenn ihnen durch die Laserbehandlung das mögliche Trauma einer offenen Kürettage erspart bleibt. Denn: Die kurze Impulsdauer der Laserstrahlen überlistet den Nerv und schont schmerzempfindliche Patienten. Darüber hinaus ist die Laserbehandlung von kürzerer Dauer. Das erklärt sehr leicht, warum die Mehrheit der Patienten diese Privatleistung gerne in Anspruch nimmt. Doch Dr. Bär hat die Erfahrung gemacht, dass bei tieferen Taschen ab 6mm die Laserbehandlung nur in Kombination mit dem 33%igen CHX-Präparat PerioChip zu einem 100 Prozent zufriedenstellenden Ergebnis führt.
Die Effizienz macht PerioChip so attraktiv:
- Auch hier eine kurze Behandlungsdauer: Das Handling ist einfach und unkompliziert. Der CHX-Chip wird binnen weniger Sekunden in die Zahnfleischtasche appliziert und löst sich innerhalb von sieben bis zehn Tagen vollständig auf.
- Die hohe Wirksamkeit von PerioChip liegt in der langen Verweildauer und der hohen Konzentration von Chlorhexidin direkt am Entzündungsherd begründet.
- Die Blutungen werden gestoppt, das Gewebe kann sich erholen und regenerieren, sodass die Taschentiefen reduziert werden. Die Zahnfleischtasche bleibt insgesamt drei Monate nach der Behandlung keimreduziert und beschwerdefrei.
- Privatleistung: PerioChip ist eine medizinisch sinnvolle Behandlung, die der Patient meistens problemlos akzeptiert, da die Behandlungsleistung sofort überzeugt.
Doch wie bei jeder Parodontitistherapie spielt die häusliche Mundhygiene des Patienten eine entscheidende Rolle. Nur die Patienten, die es schaffen, ihre Mundhygienegewohnheiten zu optimieren, sind in der Lage, die Intervalle zwischen den Parodontitisausbrüchen zu vergrößern. Zusätzlich sind regelmäßige Recall-Kontrolluntersuchungen wichtig, um die nächste Entzündung frühzeitig zu erkennen und zu behandeln.
Fallbeispiel
Eine Patientin, 44 Jahre, kam nach mehreren Jahren das erste Mal wieder in die Zahnarztpraxis. Sie klagte über bereits lang anhaltendes Zahnfleischbluten an den oberen Frontzähnen und den hinteren Backenzähnen, das sie selbst nicht wieder in den Griff bekam. Der Mundhygienestatus ergab folgendes Bild:
- Im gesamten Mundbereich war akkumulierte Plaque zu sehen.
- Zahnfleischtaschen von 6 bis zu 9mm an den Zähnen 11, 12, 15, 17, 21, 22, 26, 27 sowie 41, 45, 46, 48
- Außerdem wurde eine mikrobielle Diagnostik vorgenommen mit dem Ergebnis: Hoher Bakterienload und Anwesenheit von Porphyromonas gingivalis, Prevotella intermedia sowie Treponema denticola.
- Trotz des schweren bakteriellen Befalls lagen noch keine Zahnlockerungen und kein Furkationsbefall vor.

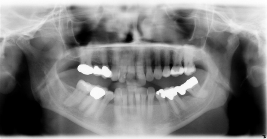
Abb.1: OPG der Patientin.
Nach der eindeutigen Diagnose einer chronischen Erwachsenen-Parodontitis und einem intensiven Aufklärungsgespräch, in dem ich die Patientin über die Ursachen und den Verlauf der Parodontitis und dem möglichen Zahnausfall aufgeklärt hatte, erläuterte ich ihr mein Therapiekonzept: Laser plus PerioChip. Wie so oft schreckte die Patientin mehr vor Schmerzen als vor Kosten zurück, sodass sie recht schnell von meiner Behandlungsmethode überzeugt war. Sie kam auf Empfehlung einer Bekannten und war darauf auch bereits vorbereitet.
So begann ich die Parodontitisbehandlung mit dem Laser erst im Oberkiefer, dann im Unterkiefer, um das Weichgewebe zu entfernen. Im Anschluss habe ich zusätzlich noch eine Kürettage mit Handinstrumenten und Ultraschall vorgenommen. Danach applizierte ich je einen halben PerioChip mesial wie distal an den oben genannten Zähnen mit Taschen von 6–9mm Tiefe. Insgesamt waren es 16 halbe, also acht ganze CHX-Chips. Die Laserbehandlung habe ich nach zehn Tagen – also nach der Auflösung der PerioChips – zur Deepithelisierung wiederholt. Der allgemeine Befund des Heilungsprozesses war ansonsten rundum positiv. Die ersten PerioChips hatten bereits erfolgreich gewirkt. Die Patientin war sichtlich beeindruckt von der für sie äußerst komfortablen Behandlung – weder Schmerzen während des Laserns noch Schmerzen oder Beeinträchtigungen während der Nachsorge und ohne eine körperlich belastende Antibiotikaeinnahme. Nur für den Fall eines hartnäckigen Rezidivs würde unter Umständen eine antibiotische Behandlung erfolgen.
Die Patientin musste ab dem Zeitpunkt nur noch lernen, ihre häusliche Mundhygiene zu optimieren und ihre Ernährung auf ein bisschen mehr Obst und weniger Süßigkeiten umzustellen. Sie schaffte es. Als sie nach drei Monaten zum Recall kam, genoss sie ihr wieder gesundes Zahnfleisch. Es musste lediglich ein wenig Zahnstein entfernt werden. Nach sechs Monaten kam sie erneut zur Zahnsteinentfernung und einem erneuten PA-Screening. Sie war immer noch entzündungsfrei und der PSI-Index ergab nur noch Taschen von 2 oder 3mm. Ein weiteres halbes Jahr später wurde eine gründliche PZR durchgeführt und ein OPG gemacht. Auf dem Röntgenbild wird deutlich erkennbar, dass der Knochenabbau erfolgreich gestoppt werden konnte und die Taschentiefen reduziert wurden. Der Erfolg der Behandlung steht in einem optimalen Verhältnis zur finanziellen Investition und motiviert die Patientin sich weiterhin verantwortlich um ihre Mundgesundheit zu kümmern. Sie erscheint regelmäßig alle drei Monate zur Kontrolle.
Fazit
Dr. Bär sieht eine sehr hohe Compliance bei seinen Patienten dank der effizienten und schmerzarmen Behandlungsmethoden. Seine Parodontitispatienten kommen vertrauensvoll zu den Recall-Terminen und sind bemüht ihren Teil zur Mundhygiene zu leisten. Die finanzielle Selbstbeteiligung ist für die meisten Patienten kein Hindernis, sondern vielmehr eine große Motivation die Putzgewohnheiten umzustellen, um die nächste Behandlung so weit wie möglich nach hinten zu verschieben.
Dr. Bär ist sehr zuversichtlich, dass sein Behandlungskonzept Nd:YAG-Laser + CHX-Chip = 100 Prozent Erfolg schon bald wissenschaftliches Interesse wecken wird und somit in naher Zukunft auch klinisch nachgewiesen werden wird.
Seitenanfang