Oralchirurgie 02.04.2013
Rekonstruktion von Unterkieferdefekten nach Radiochemotherapie
Abstract
Hintergrund
Die primäre Rekonstruktion des Unterkiefers ist der Goldstandard der chirurgischen Behandlung im Rahmen mund-kiefer-gesichtschirurgischer Tumortherapie. Um Komplikationen der Wundheilung an der Empfängerregion, vor allem nach adjuvanter Strahlentherapie, zu reduzieren, werden verschiedene mikrovaskuläre Knochentransplantate verwendet. Der Verlust primärer Transplantate kann aufgrund adjuvanter Strahlentherapie oder Osteoradionekrose sekundäre Unterkieferrekonstruktionen notwendig machen. Zur Erweiterung der Alternativen für die sekundäre Rekonstruktion der Mandibula haben wir die Technik der Präfabrikation eines Radialislappens mit Spongiosa entwickelt. Die klinische Routine eines sicheren und zuverlässigen mikrovaskulären Transplantats mit geringer Entnahmemorbidität war der Ausgangspunkt für die Etablierung und Entwicklung dieser Technik.
Methoden
Zur Rekonstruktion von Unterkieferdefekten bei Patienten, die nach einer Tumoroperation mit primärer Rekonstruktion und anschließender Radiochemotherapie eine Komplikation entwickelten, wurden präfabrizierte Radialislappen für sekundäre Rekonstruktion des Unterkiefers verwendet. Spongiosazylinder wurden aus dem Beckenkamm entnommen und in den Unterarm implantiert, um die notwendige Vaskularisierung des knöchernen Transplantates zu ermöglichen. Nach einer Einheilzeit von vier Wochen wurde der präfabrizierte Radialislappen gehoben und in den Unterkieferdefekt transplantiert.
Ergebnisse
Alle Transplantate heilten komplikationslos ein. In einem Fall war zwei Tage postoperativ die Revision der venösen Anastomose erforderlich. Die Transplantate verbesserten die Kontur des Untergesichts durch eine suffiziente Korrektur der vorbestehenden Gesichtsasymmetrie. Im Nachsorgezeitraum von bis zu vier Jahren zeigten die radiologischen Kontrollen eine gute knöcherne Konsolidierung zwischen Transplantat und den Stümpfen des Unterkiefers sowie die Bildung von kortikalem Knochen um die Spongiosazylinder.
Diskussion
Die Ergebnisse zeigen, dass der präfabrizierte Radialislappen ein sicheres sowie zuverlässiges Transplantat zur Unterkieferrekonstruktion darstellt und als alternative Lösung bereitsteht, wo andere mikrovaskulären Knochentransplantate bereits fehlgeschlagen sind. In der Zukunft kann das Beckenspongiosatransplantat durch die Transplantation von Stammzellen besiedelten Matrizes ersetzt und dadurch die Entnahmemorbidität noch weiter reduziert werden.
Einleitung
Die primäre Rekonstruktion nach Tumoroperationen ist die Voraussetzung für eine gute ästhetische und funktionelle Wiederherstellung des Unterkiefers sowie der umliegenden Weichteile. Für Weichteilrekonstruktionen stellen mikrovaskulär anastomosierte Lappen wie der Radialislappen, der laterale Oberarmlappen, der laterale Oberschenkellappen, der Latissimuslappen, der Rectus abdominis Lappen und der tiefe inferior-epigastrische Perforatorlappen (DIEP)1,2,3,4 den Goldstandard dar. Wenn die Kontinuität des Unterkiefers wiederhergestellt werden muss, werden mikrovaskuläre Transplantate wie Beckenkamm,5 Fibula- oder Scapulatransplantate in der Regel bevorzugt.1,6 Obwohl diese Ansätze in der primären Rekonstruktion sehr zuverlässig sind, können Komplikationen wie Lockerung von Osteosyntheseschrauben und Platten oder extraorale Exposition von Platten in der postoperativen Phase7 auftreten. Diese Komplikationen und die Auswirkungen einer adjuvanten Strahlentherapie, begleitende Infektionen oder andere Komplikationen, die den Verlust von Teilen oder der gesamten primären Rekonstruktion verursachen, machen die Entwicklung von Alternativen zur sekundären Rekonstruktion des Unterkiefers notwendig. Nach adjuvanter Radiochemotherapie zeigen sich nicht selten ungünstige Weichgewebsbedingungen an der Empfängerstelle, sodass die Notwendigkeit mikrovaskulärer Transplantate, insbesondere Weichgewebs-Knochen-Transplantate zur sekundären Unterkieferrekonstruktion besteht. Allerdings zeigen auch diese Transplantate Komplikationen. So variiert die Erfolgsrate von Fibulatransplantaten beträchtlich.8,9,10 Die Knochenqualität und das Volumen des Schulterblattes sind begrenzt. Gleichfalls ist eine besondere Positionierung des Patienten bei der Entnahme der Scapula erforderlich. Das freie Beckenkammtransplantat hat einen kurzen Gefäßstiel, was einen erheblichen Nachteil im voroperierten und zum Teil gefäßarmen Hals darstellt. Der Radialislappen ist ein etabliertes Verfahren im Rahmen der Rekonstruktion nach Tumoroperationen in der Mund-Kiefer-Gesichts-Chirurgie. Die Entnahmemorbidität dieses Lappens und der freien Beckenspongiosa sind niedrig.11,12,13,14 Der Radialislappen ist ein zuverlässiges mikrovaskuläres Transplantat mit einem langen Gefäßstiel und relativ kaliberstarken Gefäßen, das mit einem Segment des radialen Knochens gehoben werden kann. Die Entnahmemorbidität des osteokutanen Lappes und des osteosynthetisch mit einer Platte stabilisierten Radius sind vergleichbar zum fasziokutanen Lappen.15 Das Knochenvolumen ist jedoch für große Unterkieferrekonstruktionen oft zu gering.16 Daten aus der Literatur sowie eigenen Erfahrungen in der Prälamination des Radialislappens mit autologer17,18 oder durch Tissue-Engineering19 gezüchtete Mundschleimhaut führten zu der Idee eines mit Beckenkammspongiosa präfabrizierten osteokutanen Radialislappen.
Bis jetzt blieben Versuche der Präfabrikation von Lappen mit Knochen überwiegend experimentell.20,21,22 Die breite Anwendung dieser Technik kann uns in der Zukunft Unterkieferrekonstruktionen mit einer Kombination aus Lappen und stammzellbesiedelten Matrizes ermöglichen. Diese modifizierte Tissue-Engineering-Technik würde die Entnahmemorbidität weiter verringern. Der Artikel beschreibt die operative Technik der Präfabrikation und zeigt über einen Zeitraum von bis zu vier Jahren langfristige Ergebnisse in fünf Fällen nach Rekonstruktion von Unterkieferdefekten.
Patienten und Methoden
Patienten
Der präfabrizierte Radialislappen wurde bei fünf Patienten im Rahmen von Sekundärrekonstruktionen großer tumorbedingter Unterkiefer- und Gesichtsdefekte zwischen 2003 und 2006 angewandt. Alle Patienten wurden postoperativ adjuvant bestrahlt und die Primärrekonstruktionen sowohl mikrovaskulärer (2x Fibulatransplantation) als auch die freien Transplantationen (3x freier Beckenkamm – Fibula aufgrund von Gefäßvariation nicht möglich) verliefen erfolglos. Die Defektgröße lag zwischen 7 cm und 11cm (zwei Defekte vom Kieferwinkel bis zur Mittellinie, ein Defekt inter-foraminal, zwei Defekte am Ramus mandibulae betreffend). Eine detaillierte Darstellung findet sich in Tabelle 1. Dabei finden sich die Lokalisationen in Form der schwarzen Balken auf den Röntgenbildern wieder. Weiterhin sind Patientenalter und die Defektgröße angegeben.

Tab. 1: Patientenalter, Größe und Lokalisation des Unterkieferdefektes.
Methode der Präfabrikation
Präoperativ wurden bei allen Patienten ein Allen-Test und eine Dopplersonografie der Unterarmgefäße durchgeführt. Die Seite mit der besseren Durchblutung wurde als temporäre Empfängerseite der freien Beckenspongiosazylinder und als spätere Radialislappenentnahmeregion gewählt. Nach einer ca. 5cm langen Inzision auf dem Beckenkamm erfolgte die Präparation der subkutanen Schichten, die Exposition des Periosts und Inzision desselben. Anschließend wurden Spongiosazylinder mit einem Durchmesser von 1cm, einer Länge bis zu 9cm mittels Shepard-Meißel (Abb. 1) gewonnen und in einer Schale mit entnommenem Patientenblut aufbewahrt. Die Wunde im Bereich des Beckenkammes wurde ohne Einlage einer Wunddrainage mehrschichtig geschlossen. Im Folgenden wurden mehrere Spongiosazylinder mittels Vicryl (Vicryl 2-0, Ethicon, Norderstedt) zusammengebunden (Abb. 2). Am Unterarm wurden im weiteren Verlauf die radialen Gefäße, die geplante Position des Spongiosatransplantates und die geschätzte Größe des zukünftigen Radialislappens angezeichnet. Es wurde eine longitudinale Inzision an der ulnaren Seite des späteren Lappens durchgeführt und die Haut von der darunter liegenden Faszie separiert. Gleichfalls wurde die Faszie von ulnar in Richtung der radialen Gefäße isoliert und dargestellt. Die Spongiosazylinder wurden nun auf den radialen Gefäßen platziert und in die präparierte Faszie eingeschlagen. Die freie Seite der Faszie wurde subkutan über den radialen Gefäßen vernäht (Abb. 3). Es erfolgte der schichtweise Wundverschluss. Postoperativ wurden radiologische Kontrollen zur Darstellung der korrekten Position des Transplantats durchgeführt. Nach einer Einheilzeit von vier Wochen und annehmbar begonnener Vaskularisation der Spongiosa wurde die Wunde am Unterarm wieder eröffnet. Falls notwendig wurde die Hautinsel über dem Transplantat an die Situation der Empfängerregion angepasst. Der Radialislappen wurde nun mit dem in der Faszie eingeschlagenen Spongiosatransplantat gehoben (Abb. 4). Nach genauer Anpassung an den knöchernen Defekt der Mandibula wurde der präfabrizierte Radialislappen an die vorbereitete Empfängerstelle transplantiert (Abb. 5). Nach Entnahme des präfabrizierten Radialislappens erfolgte ein primärer Wundverschluss. War dieser nicht möglich, wurde Spalthaut am Oberschenkel entnommen und auf den Defekt am Unterarm transplantiert.
Rekonstruktion des Unterkiefers
Noch bevor die Entnahme des präfabrizierten Radialislappens durchgeführt wurde, ist über einen submandibulären Zugang sowohl der Defekt als auch die Empfängergefäße am Hals des Patienten dargestellt worden. Zur Darstellung und Begradigung der Knochenstümpfe der Mandibula wurde das narbige Umgebungsgewebe unter Identifikation und Schonung des Ramus marginalis des Nervus facialis präpariert. Das Herauslösen der beiden Knochenstümpfe aus dem vernarbten Umgebungsgewebe resultierte nicht selten in einer Verlängerung des zu überbrückenden Defektes. Aufgrund der postradiogen kompromittierten Weichgewebsbedingungen bietet es sich in einigen Fällen an, die Empfängergefäße auf der kontralateralen Seite des Defektes für die Mikroanastomose zu wählen. Für die arterielle Gefäßanastomose nutzten wir entweder die Arteria thyroidea superior oder Arteria lingualis als End-zu-End-Anastomose bzw. die Arteria carotis externa als End-zu-Seit-Anastomose. Die Vena jugularis externa diente als Empfängergefäß mit einer End-zu-Seit-Anastomose zum Anschluss der venösen Gefäße. Die Größe des präfabrizierten Radialislappens wurde teilweise durch Resektion von Spongiosa und Gewebe auf den Defekt an der Mandibula angepasst. Zur Fixierung des Transplantates wurden Osteosyntheseplatten (Leibinger Rekonstruktionsplatte [Firma Leibinger] oder zwei Pape Platten [Firma Martin]) verwendet. Bei der Kombination des präfabrizierten Radialislappens mit einer Hautinsel wurden die Platten durch einen subkutan präparierten Tunnel zwischen Spongiosa und Haut platziert (Abb. 5) und letztlich mit mindestens drei Schrauben an jeder Stumpfseite fixiert. Das spongiöse Transplantat wurde mit mindestens zwei oder drei Schrauben je Seite an den Osteosyntheseplatten fixiert. Nach erfolgter Gefäßmikroanastomose wurde die Wunde entweder direkt lokal verschlossen oder die Hautinsel im Defekt vernäht.
Klinische und radiologische Nachuntersuchungen
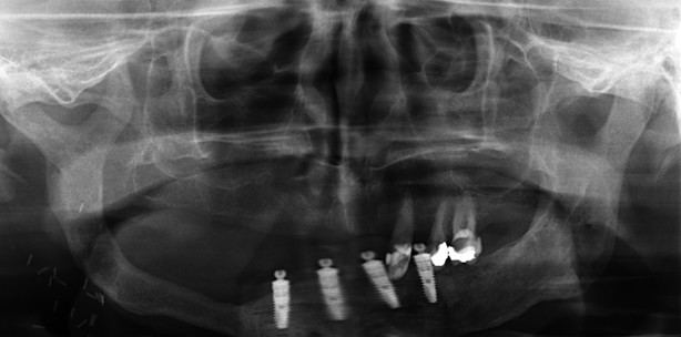
Nach der Rekonstruktion des Unterkiefers erhielten die Patienten zunächst die regulären drei- bis sechs- monatigen Nachuntersuchungen im Hinblick auf ein Tumorrezidiv. Bei einem der fünf Patienten konnte im Verlauf eine dentale Rehabilitation durchgeführt werden (Abb. 6). Radiologische Kontrollen mittels Orthopantomogramm wurden präoperativ, unmittelbar postoperativ, nach sechs Monaten, ein und zwei Jahre postoperativ durchgeführt.
Ergebnisse
Der präfabrizierte Radialislappen wurde an fünf Patienten, in fünf verschiedenen Regionen (Corpus mandibulae und interforaminal) eingesetzt. Der Knochenverlust im Bereich des Unterkiefers durch Osteoradionekrose oder der Verlust des knöchernen Primärtransplantates machte eine Sekundärrekonstruktion notwendig. Mittels präfabriziertem Radialislappen konnten Defekte der Mandibula mit einer Größe von 7cm bis 11cm rekonstruiert werden. Bei drei Patienten wurde sowohl der Unterkiefer selbst als auch das umliegende Weichgewebe ersetzt, da es aufgrund der Bestrahlung zu erheblicher Weichgewebsschrumpfung gekommen war.
Postoperative Phase
Unmittelbar nach der Operation wurde die Perfusion des Lappens in regelmäßigen Intervallen über die Reperfusion der Hautinsel oder mittels Dopplersonografie kontrolliert. Eine gute arterielle Versorgung konnte in drei von fünf Fällen gezeigt werden. In einem Fall zeigte sich eine temporäre venöse Insuffizienz, die durch Revision der Mikroanastomose und Anwendung von Blutegeln für fünf Tage therapiert werden konnte. Das Überleben der zwei ausschließlich ossären Lappen wurde mittels Dopplersonografie des Gefäßstiels kontrolliert. Es gab hierbei keinerlei Zeichen von Minderperfusion. Die Integration und Vitalität des transplantierten Gewebes wurde im Rahmen der Materialentfernung verifiziert.
Ästhetik und Funktion
Der Nachuntersuchungszeitraum betrug zwischen 8 und 48 Monaten (Mittelwert: 20 Monate). Eine ästhetisch zufriedenstellende Deckung der mandibulären Defekte konnte erreicht werden (Abb. 7). Die knöcherne Rekonstruktion führte zu einer guten und stabilen Korrektur der Asymmetrie des unteren Gesichtsdrittels mit verbessertem ästhetischen Resultat. Die extraorale Hautstruktur war befriedigend. Die Mundöffnung war vergleichbar derjenigen vor der sekundären Rekonstruktion und lag zwischen 2cm und 3,5cm. In einem Fall konnten dentale Implantate im Bereich der ursprünglichen Mandibula inseriert werden (Abb. 6).
Knochenremodeling
Im Rahmen der klinischen Nachsorge konnten weder Frakturen der Knochentransplantate selbst noch Frakturen im Kontaktbereich von Transplantat und ursprünglicher Mandibula beobachtet werden. Zu Schraubenlockerung oder extraoraler Exposition von Osteosynthesematerial kam es in keinem der Fälle. Die Rekonstruktionen unter Verwendung eines präfabrizierten Radialislappens waren nach Entfernung des Osteosynthesematerials nach sechs bis neun Monaten biomechanisch stabil. Es zeigte sich eine suffiziente Einheilung der Transplantate. Allerdings war in einem Fall eine zusätzliche Transplantation von freier Beckenspongiosa bei der Materialentfernung notwendig. Die Spongiosa wurde in einen Spalt zwischen mandibulärem Stumpf und Spongiosa des präfabrizierten Radialislappens eingebracht. Der Transplantatknochen zeigte im Rahmen der Materialentfernung mit einer deutlichen Blutung aus dem Knochen Zeichen der Revaskularisation. Zwei radiologische Befunde sind besonders erwähnenswert. Unmittelbar nach der Transplantation war keinerlei Radioopazität im Vergleich zu dem Unterkieferknochen feststellbar. Unter funktioneller Belastung nach der Materialentfernung zeigte sich im Rahmen der Nachkontrollen eine erhebliche Steigerung der Radioopazität als Indikator einer zunehmenden Mineralisierung und Knochenremodeling des Transplantates. Eine externe kompakte Knochenlamelle konnte ein Jahr nach der Transplantation des präfabrizierten Radialislappens nachgewiesen werden und wurde als Zeichen der Transformation des spongiösen Knochentransplantates in normale knöcherne Strukturen gewertet. Postoperative Röntgenaufnahmen (OPG) zeigten eine Abnahme der vertikalen Knochenhöhe von 18 mm auf 14mm während der Nachbeobachtungszeit (12 bis 17 Monate). Danach konnten keine weiteren Abnahmen der Knochenhöhe beobachtet werden.
Heberegion am Unterarm
Nach Transplantation der Spongiosazylinder in den Unterarm zeigte sich bei allen Patienten eine komplikationslose Wundheilung. Die Position des Transplantates im Unterarm wurde radiografisch kontrolliert. Blutungen aus der Spongiosa im Rahmen der Lappenhebung und der Konturierung des Transplantates wurden als Zeichen einer Revaskularisation der Spongiosa gewertet. Wundheilungsstörungen nach Entnahme des präfabrizierten Radialislappens an der Spenderregion am Unterarm wurden nicht beobachtet.
Beckenkamm
Nach Entnahme der Spongiosazylinder am Beckenkamm kam es zu einer vernachlässigbaren Entnahmemorbidität und erlaubte dem Patienten eine Mobilisation ohne Unterarmgehstützen bereits am ersten postoperativen Tag. Die standardisierte Schmerzmedikation war ausreichend. Operationsbedingte Narben waren nach sechs Monaten praktisch nicht mehr sichtbar.
Diskussion
Die primäre Rekonstruktion ist nach wie vor der Goldstandard zur Wiederherstellung der Funktion und zur Vermeidung ästhetischer Nachteile bei der Behandlung von Tumoren in der Mund-Kiefer-Gesichts-Chirurgie.6 Viele in der Literatur beschriebene Lappen (Radialislappen, lateraler Oberschenkellappen, Latissimus dorsi Lappen) haben ihre Berechtigung in der Tumorrekonstruktion in der Mund-Kiefer-Gesichts-Chirurgie.1 Im Laufe der Jahre gab es erhebliche Fortschritte bei der Rekonstruktion großer Unterkieferdefekte nach der Behandlung oraler und fazialer Tumoren durch die Verwendung mikrochirurgischer Techniken.23,24 Trotz dieser Erfolge bleibt die adäquate Rekonstruktion von kombinierten Knochen- und Weichgewebsdefekten der Unterkieferregion eine Herausforderung. Sekundäre Rekonstruktionsverfahren kommen nach Versagen der primären Transplantate, zum Beispiel durch postoperative Strahlentherapie oder Osteoradionekrose, zum Einsatz. In Anbetracht der dadurch entstehenden ungünstigen Bedingungen, z.B. Störung der Vaskularisierung, ist der mikrovaskuläre Transfer von Knochengewebe die einzige praktikable Option. Da es im Rahmen der Primäroperation durch die Lymphknotenchirurgie zur Schädigung oder Verlust von Gefäßen im Hals kommen kann,25 hängt der Erfolg der Sekundäroperation u. a. maßgeblich von einem verlässlichen Lappen mit ausreichend langem Gefäßstil ab. Der Radialislappen erfüllt diese Kriterien. Eine begleitende Resektion des Radius bietet allerdings nur ein reduziertes Knochenvolumen vorwiegend kortikaler Textur.26,27 Dieser kortikale Knochen zeigt zwar eine gute Stabilität der mandibulären Rekonstruktion, seine Vaskularisation reicht nicht zur Ernährung des ihn umgebenden Gewebes aus. Das Knochenangebot des Scapulatransplanta-tes ist ebenfalls begrenzt. Obwohl das osteokutane Fibulatransplantat eine Alternative darstellt, weisen die beiden oben genannten Transplantate eine erhöhte Morbidität der Spenderregion auf,8,9,10,15 die bei der Transplantation von Spongiosa aus dem Becken reduziert ist. Um mikrovaskuläre Transplantate vielseitiger zu machen, haben Modifikationen mittels Prälaminierung oder Techniken der Präfabrikation Einzug gehalten.17,18,19,20,28,29 Diese Verfahren sind jederzeit nach der Tumorresektion durchführbar, wodurch sie für sekundäre Rekonstruktion gut geeignet sind. Unsere klinische Studie liefert Hinweise darauf, dass der präfabrizierte Radialislappen eine gute Alternative für die sekundäre Rekonstruktion nach Tumorchirurgie vor allem in stark beeinträchtigten Empfängerregionen ist. Ein ästhetisch und funktionell befriedigendes Ergebnis war auch nach Versagen anderer Rekonstruktionsverfahren möglich. Der präfabrizierte Radialislappen verbindet die Vorteile des herkömmlichen Radialislappens mit denen eines mikrovaskulären Knochentransplantates.
Der Radialislappen ist ein gut etablierter, dünner und adaptierbarer Lappen, der mit einer hohen Erfolgsquote in der Kopf- und Halsrekonstruktion eingesetzt wird.30 Die Entnahmemorbidität ist gering.30 Das Vorhandensein einer gut durchbluteten subkutanen Faszie ist Voraussetzung für die Präfabrikation des Lappens mit Knochen. Darüber hinaus ist die Gewinnung von Knochenzylindern aus dem Beckenkamm für Ober- und Unterkieferrekonstruktion ein sicheres und einfaches Verfahren.30,31 Eine gute Integration und Vaskularisation des transplantierten freien Knochens konnte nach Einheilen im Unterarm anhand von Blutungen aus den Enden der Spongiosazylinder vor der Transplantation in den Unterkieferdefekt gezeigt werden. Unserer Meinung nach stellt der präfabrizierte osteokutane Radialislappen mit seinem langen Gefäßstil im Rahmen von Sekundärrekonstruktionen eine brauchbare Alternative zum mikrovaskulären Beckenkammtransplantat dar. Bei der Anwendung des mikrovaskulären Beckenkammtransplantates sind nicht selten Gefäßinterponate notwendig. Das Risiko von Komplikationen durch mehrere mikrovaskuläre Anastomosen ist dabei deutlich erhöht. Die Verwendung des präfabrizierten Radialislappens in Kombination mit semirigiden Rekonstruktionsplatten zur Überbrückung von Unterkieferdefekten scheint zudem den Knochenaufbau zu erleichtern. Eine gesteigerte Radioopazität, speziell an der Außenseite des Spongiosatransplantates, lässt auf eine gesteigerte Mineralisation und kortikalen Knochenumbau schließen. Dies konnte im Rahmen der Plattenentfernung durch eine dichte Knochenoberfläche gezeigt werden. Dass sich der Prozess der Knochenumwandlung auch nach der Materialentfernung fortsetzt, konnte radiologisch nachgewiesen werden und ist ein Zeichen für die Vitalität des Transplantates. Aufgrund der häufigen Anwendung des Radialislappens ist eine breite Erfahrung im operativen Management und mikrovaskulären Transfer dieses Transplantates vorhanden. Gleichfalls vereinfacht die vaskuläre Anatomie (große Gefäßdurchmesser der Arterie und Vene) den Gewebetransfer. Die vergleichbar einfache Transplantation der Spongiosazylinder in den Unterarm macht den präfabrizierten Radialislappen zu einer sicheren und zuverlässigen Alternative der ossären Sekundärrekonstruktion des Unterkiefers. Die beschriebene operative Technik ist einfach durchzuführen. Durch die Möglichkeit des parallelen Operierens an Entnahme- und Empfängerstelle kommt es zudem zur Verkürzung der Operationszeit. Aufgrund der niedrigen Entnahmemorbidität können auch kompromittierte Patienten nach Bestrahlung oder mit zusätzlichen systemischen Erkrankungen für eine Rekonstruktion mit einem präfabrizierten Radialislappen ausgewählt werden. Diese Technik wurde zudem unter Berücksichtigung der zukünftigen Verwendung von Matrizes, die mit Stammzellen besiedelt werden können, entwickelt. Dies steht im Einklang mit unserem früheren Ansatz der Prälaminierung des Radialislappens mit gezüchteter Mundschleimhaut. Weitere Forschung auf diesem Gebiet eröffnet dem Chirurgen zukünftig unter Umständen die Möglichkeit, Unterkieferrekonstruktionen mit komplexen Transplantationen ohne Einsatz von Knochentransplantaten sowie der damit verbundenen Entnahmemorbidität durchzuführen.
Autoren: Alexander Nowak, Prof. Dr. Dr. Günter Lauer, Dr. Dr. Henry Leonhardt
Die Literaturliste finden Sie hier.
Seethrough
Synea Power Edition
Sprayschlauchsysteme
NovaBone
BaLUPO 3 HD
CS 2100
CS 1500
CS 1200
Striate+™
Xylonor Spray N 15 %