Parodontologie 15.07.2013

Vorimprägniertes Glasfaserband in der Parodontologie



Vorimprägniertes Glasfaserband in der Parodontologie

Erfahrungsbericht über den Einsatz von F-Splint-Aid Slim von Polydentia SA.

F-Splint-Aid Slim ist ein mit Bindemittel vorimprägniertes Glasfaserband. Die neue, schmale Version (nur 2 mm breit) gewährleistet die gleiche Festigkeit wie die breitere Variante und ist für die Behandlung von kleinen Flächen entwickelt worden. Diese Weltneuheit – in einer wieder verschließbaren Flasche verpackt – besitzt folgende Vorteile:

  • Gebrauchsfertig: Nur wenige Schritte für ein hervorragendes Resultat;
  • Nichtinvasive Behandlung: Schmerzlos, verlangt keine Anästhesie;
  • Hochästhetisch: Schienung mit ähnlicher Farbe wie die der natürlichen Zähne;
  • Erstklassiges Material: Das Glasfaserband sorgt für hervorragende Dauerhaftigkeit;
  • Einzigartige Verpackung: Dunkle Flasche aus Kunststoff (Lichtschutz), einfaches Öffnen und Schließen, keine Materialverschwendung, sehr langes Verfalldatum;
  • Wirtschaftlich: Angemessener Preis für ein stark innovatives Produkt!

Klinischer Fall

Im Rahmen einer parodontalen Erkrankung erhöht sich mit zunehmendem Attachmentverlust die Beweglichkeit der Zähne. Der erhöhten Mobilität kann speziell im Frontzahnbereich relativ einfach mit einer Schienung der beweglichen Zähne entgegengewirkt werden. Die parodontale Schienung als solches soll dabei vor allem als Begleitbehandlung verstanden werden und ist zur Erhöhung des Patientenkomforts bzw. als stabilisierende Maßnahme bei parodontalchirurgischen Eingriffen indiziert.


Produkt

Das F-Splint-Aid Slim System besteht aus zwei Komponenten: Eine Aufbewahrungsflasche, welche das Glasfaserband und die Adhäsivflüssigkeit enthält, sowie die autoklavierbaren Applikationsklammern „Clip&Splint“. Das Glasfaserband lässt sich einfach entnehmen und ist mit einer Schere sauber durchtrennbar. Die wiederverwendbaren Applikationsklammern ermöglichen eine gute Befestigung und Positionierung des Glasfaserbandes an den zu fixierenden Zähnen.

Fallbericht

  • Anamnese: Die 77 Jahre alte Patientin stört sich stark an ihrem erhöht beweglichen Zahn 31. Trotz fehlender Zähne im posterioren Seitenzahnbereich will die Patientin eine (teil)prothetische Versorgung unbedingt vermeiden.
  • Befund: Gute Mundhygiene, parodontaler Attachmentverlust mit geringen bis moderaten Sondierungstiefen, Zahn 31 bukkal 5 mm Sondierungstiefe und stark erhöhte Mobilität (Grad 2).
  • Diagnose: Generalisierte Parodontitis marginalis superficialis bei gleichzeitigem okklusalen Trauma von Zahn 31, Abrasionen.
  • Therapie: Parodontitistherapie (Deep Scaling, Root Planing), Beseitigung des okklusalen Traumas und Schienung von Zahn 31 mit den anderen UK-Inzisiven.


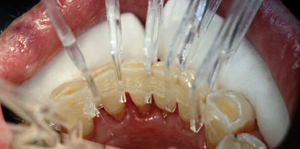
Praktisches Vorgehen

Nach Überprüfen der Okklusion wird der Schmelz der UK-Inzisiven angeätzt. Bei stark erhöhter Beweglichkeit mehrerer Zähne ist es empfehlenswert, die gewünschte Position der Zähne mit etwas Bonding oder einem fließfähigen Komposit approximal bereits initial leicht zu fixieren. Dies ermöglicht eine stabile Arbeitsgrundlage. Anschließend wird das F-Splint-Aid Slim Glasfaserband mithilfe der Applikationsklammern sauber und präzise angepasst. Die Klammern erlauben eine ergonomische Arbeitsweise, helfen bei der Positionierung des Splints und erlauben, das Glasfaserband gut in den Approximalraum hinein anzudrücken. In der gewünschten Position kann das Glasfaserband anschließend polymerisiert werden. Nach Entfernung der Klammern wird das Glasfaserband mit fließfähigem Komposit überdeckt und fertig ausgearbeitet.

Endresultat

Ein großer Vorteil des F-Splint-Aid Slim Systems ist seine hohe Stabilität und die Möglichkeit, das Glasfaserband eng in den Approximalraum hinein anzupassen. Dadurch kann sehr fein gearbeitet werden, und der Patient empfindet die Schienung in der Regel nicht als störend. Da 42/41/32 nicht erhöht beweglich waren, wurde auf eine Schienung von 33 bis 43 verzichtet und nur die Unterkieferinzisiven geschient.

Schlussfolgerung

Das F-Splint-Aid System der Firma Polydentia SA erlaubt mit wenig Zeitaufwand eine leicht herzustellende und kostengünstige parodontale Schienung von beweglichen Zähnen. Da die Schienung mit diesem System sehr grazil gestaltet werden kann, wird sie auch von den Patienten sehr gut toleriert. Sie wirkt weder funktionell störend noch beeinträchtigt sie die Ästhetik.

Mehr Fachartikel aus Parodontologie

ePaper