Laserzahnmedizin 24.05.2013
Ergänzende Parodontaltherapie mit Photothermischer Therapie
share
Während Effizienz und Indikation der Lasertherapie in der Parodontologie immer noch kontrovers diskutiert werden, bleibt ihre Akzeptanz seitens der Patienten unbestritten. Besonders die Photothermische Therapie (PTT) erweist sich hierbei als gute additive Behandlungsoption bei der initialen Therapie von Periimplantitis und Perimukositis.
Parodontale Erkrankungen haben neben der rein medizinischen Disziplin mit Befund, Diagnostik und Therapie auch immer mehr einen psychologischen Aspekt. Dieser tritt vor allem in Gestalt der oftmals schwierigen Motivation des Patienten bezüglich Mitarbeit bei der Mundhygiene auf, aber ganz speziell in der Akzeptanz umfangreicherer, weiterführender und damit auch oft invasiver Therapieformen. Häufig sehen Patienten die Notwendigkeit operativ-chirurgischen Vorgehens sehr viel schwerer ein als zum Beispiel die Durchführung einer geschlossenen Kürettage mit Wurzelglättung. Dies hat sicherlich vielschichtige Gründe, die es hier nicht weiter zu erläutern gilt. Fakt ist, dass aufgrund des oft fehlenden Leidensdruckes bei parodontalen Problemen und der irrigen Annahme, nach einer initialen Therapie sei man ja „geheilt“ und „alles fühle sich viel besser an“, chirurgische Therapien weniger leicht angenommen und nicht selten abgelehnt werden. Dies bringt weder für die Patientenseite noch für den Behandler den erwünschten dauerhaften Behandlungserfolg. Gleichfalls wird dem häufig geäußerten Wunsch des Patienten, „Gibt es denn da keine Pille, die ich nehmen kann?“, sehr schnell mit systemischer Antibiotikagabe nachgegeben. Dies ist auch auf jedem positiv ausfallenden Keimtest empfohlen. Als Behandler geben wir oft wider besseres Wissen nach. Dies ist meiner Ansicht nach ethisch bedenklich, vor allem vor dem Hintergrund einer immer rasanter ansteigenden Resistenz verschiedener Keime gegen Antibiotika. Sogar die WHO warnt inzwischen vor der allzu leichtfertigen Gabe von Antibiotika bei nichtigen Anlässen. Eine Lösung dieses Konfliktes maße ich mir hier nicht an, aber wir sind uns sicher einig, dass eine parodontale Therapie auf der einen Seite so konservativ wie möglich und auf der anderen Seite so aggressiv wie notwendig durchzuführen ist, dabei aber die persönliche Akzeptanz eines Patienten nicht überschritten werden darf, denn dann werden oft Behandlungen abgebrochen.
Vor diesem Hintergrund erweist sich die Photothermische Therapie (PTT), bisher fälschlicherweise als Photodynamische Therapie (PDT) bezeichnet, mit EmunDo als gute ergänzende Behandlungsmethode in der initialen parodontalen Therapie. Lasertherapie in der Parodontologie wird von der Effizienz und vom Einsatzgebiet her immer noch kontrovers diskutiert – es gibt nahezu genauso viele Studien, die deutliche Verbesserungen im Behandlungsergebnis zeigen wie Studien, die keinen Effekt demonstrieren, ja sogar negative Begleiterscheinungen attestieren. Unbestritten ist jedoch, dass die Akzeptanz bei den Patienten sehr hoch ist. Mit EmunDo steht uns eine Kombination aus Farbstoff und eines Lasers mit entsprechender Wellenlänge zur Verfügung, die negative Begleiterscheinungen einer klassischen Lasertherapie fast eliminiert. Zunächst ist der große Vorteil des Farbstoffes EmunDo, dass nur entzündetes Gewebe und Biofilm angefärbt werden. Gesundes Gewebe bleibt unangetastet. Der danach angewendete Laser mit 810 nm Wellenlänge bearbeitet bei der geringen geforderten Leistung von 100 bis 400 mW nur die angefärbten Areale und zerstört Zellmembranen durch den genannten photothermischen Effekt. Wie oben erwähnt, bleibt bei dieser geringen Laserlichtleistung nicht gefärbtes Gewebe unbehelligt. Dies ermöglicht eine selektive Behandlung betroffener Areale ohne Angst haben zu müssen, dass aufgrund zu hoher Laserleistung gesundes Gewebe in Mitleidenschaft gezogen wird.
Welches Ziel verfolge ich mit der PTT?
Das mechanische Débridement und Weichgewebskürettage – ob mit Hand oder mechanischen Instrumenten – sind grundsätzliche und wichtige Voraussetzungen in der initialen parodontalen Therapie. Viele Studien belegen, dass die Reinigungsqualität aber mit zunehmender Taschentiefe und speziell bei der komplizierten Wurzelanatomie von Molaren deutlich nachlässt. Hier setzt die PTT neue Maßstäbe, weil auch mechanisch schlecht zu erreichende Stellen von dem sehr dünnflüssigen EmunDo-Farbstoff erreicht werden und so mit dem Laserlicht Bereiche zusätzlich gereinigt und desinfiziert werden können, die vorher nicht zugänglich waren. Der zweite und nicht zu unterschätzende Vorteil der PTT ist die Patientenakzeptanz. Es nützt wenig, einen Patienten klassisch mit initialer Parodontaltherapie zu behandeln, um dann hinterher nur einen Teilerfolg zu erzielen, sodass operativ-chirurgische Verfahren in jedem Fall notwendig werden. Es ist vielmehr so, dass der additive Schritt der PTT – die oftmals ohne Lokalanästhesie durchgeführt werden kann – zu besseren Resultaten der initialen Parodontaltherapie führt und somit das Vertrauen des Patienten in den Erfolg der Therapie deutlich fördert. Den gleichen Effekt sehe ich bei den regelmäßigen Recallsitzungen, bei denen PTT eingesetzt wird. In meiner fast ausschließlich auf Parodontologie und Implantologie beschränkten Praxis sehe ich eine deutliche Reduzierung der typischen Parodontal-Markerkeime nach einer PTT im Vergleich zu klassischer Parodontaltherapie ohne PTT. Der für mich jedoch maßgebliche Wert ist die Reduktion des MMP-8-Wertes (Firma Dentognostics), auch unter dem Namen Collagenase-2 bekannt. Dieser Wert zeigt mir aktuell an, ob eine parodontale Erkrankung aktiv ist, sprich ob Attachment-Abbau im Moment stattfindet oder ob ein momentaner Stillstand hergestellt ist. In Summe ist die Anwendung der EmunDo-Lasertechnologie sowohl von den medizinischen Ergebnissen als auch von der zusätzlich förderlichen Akzeptanz einer nichtinvasiven Parodontalbehandlung bei meiner Patientenschaft absolut positiv zu sehen.
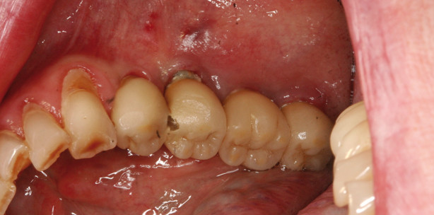
Periimplantitis
Wir wissen, dass in den nächsten Jahren eine ungeheure Welle an Periimplantitisfällen auf uns zukommen wird. Einige Studien berichten von bis zu 25 Prozent befallener Implantate. Dies ist nicht zuletzt dadurch verursacht, dass Implantate in parodontal insuffizient behandelte Lückengebisse inseriert werden und häufig auch jede Nachsorge fehlt. Momentan herrscht noch keine Einigkeit darüber, welches Therapiekonzept bei einem manifesten Periimplantitisbefall erfolgreich ist und ob es überhaupt gelingt, verloren gegangen Knochen zu rekonstruieren und zu einer Reintegration im Bereich dieser Implantatteile zu kommen. Nur die Vorstufe der Periimplantitis – die Perimukositis – scheint erfolgreich mit verschiedenen Therapiemodalitäten zu behandeln zu sein. Auch hier ist in der Therapie beider Erkrankungsstufen mit PTT mit EmunDo ein Erfolg zu verbuchen. Gerade die Perimukositis lässt sich als Kombination von akribischer mechanischer Reinigung der Implantatkomponenten und Desinfektion mittels PTT sehr gut rehabilitieren. Auch bei etablierter Periimplantitis ist ein deutlicher Entzündungsrückgang der umgebenden Schleimhautbereiche zu bemerken, ohne jedoch den Anspruch zu erheben, damit Periimplantitis geheilt zu haben (Abb. 1 und 2). Ich sehe aber aus Patientensicht den eklatanten Vorteil, eine vielleicht nicht erfolgreiche und invasive Therapie, die häufig die Ästhetik der Implantatrestauration zerstört, gegen eine nichtinvasive und zumindest palliative Therapie einzutauschen. Solange es keine gesicherten Behandlungsvorgaben für die erfolgreiche Periimplantitistherapie gibt, bleibe ich lieber auf der sicheren, nämlich deutlich entzündungsreduzierenden Therapieschiene. Auch hier, wie bei der Parodontaltherapie, stellt EmunDo-A.R.C.-Laser als PTT ein gutes Mittel dar, die vorhandenen Therapiemodalitäten zu erweitern, ohne den Patienten mit unsicheren aggressiven chirurgischen Behandlungen zu belasten.
Proto-Cam® Smart
Patientenbrille P07.P1P11.1001
Laserschutz-Lupenbrille F27P1M03
IPL-Brille F22P5L04 für Behandlungspersonal
F18P1C02 für Dentallaser Anwendungen
WaterLase MDX
Waterlase Epic X
Waterlase Express
Maskensystem Axess™
Accutron-Doppelmaskensystem seda-view®